El término encefalopatía asociada al VIH alude al compromiso primario del cerebro debido al propio retrovirus en ausencia de otras enfermedades o condiciones comórbidas. La leucoencefalopatía multifocal progresiva (LMP) es una enfermedad desmielinizante del SNC, de evolución subaguda a crónica, marcadora del sida, causada por el poliomavirus JC (VJC), un DNA virus de distribución universal.
Caso clínicoPaciente de 28 años, con diagnóstico reciente de infección por VIH, sin tratamiento antirretroviral de gran actividad (TARGA), que ingresó por cuadro de deterioro neurocognitivo progresivo, afasia mixta, amaurosis bilateral y déficit motor en hemicuerpo derecho. El examen neurológico reveló un déficit motor, cognitivo y del campo visual de evolución progresiva. Plejía braquial y paresia crural derecha severas, arreflexia osteotendinosa generalizada, sin clonus ni Hoffman y con reflejos plantares indiferentes, pupilas isocóricas, la derecha hipo-arreactiva con amaurosis bilateral, limitación de la mirada conjugada horizontal a la izquierda con corrección parcial con reflejos óculo-cefálicos (ROC) y signo de Foix negativo derecho. El recuento de linfocitos T CD4+ fue de 57cél/μl (5%) con una carga viral (CV) plasmática para VIH de 274.000copias/ml (log10 5.4).
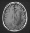
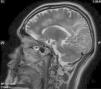
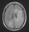
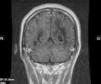
Se efectuó resonancia magnética por imágenes (RMI) con contraste en la que se observó extensa lesión subcortical en lóbulo frontal, parietal y occipital izquierdos, con extensión al esplenio del cuerpo calloso y mesencéfalo superior del lado izquierdo, y compromiso de los lóbulos parietal y occipital derechos. Las imágenes predominaban en lóbulos posteriores y dibujaban las fibras subcorticales en «U». No hubo realce con el contraste IV, ni efecto de masa sobre estructuras adyacentes de la línea media (figs. 1-5).
El examen físico, químico y citológico del líquido cefalorraquídeo (LCR) evidenció discreta pleocitosis a predominio mononuclear. Los exámenes directos y cultivos para BAAR, hongos y gérmenes comunes fueron negativos, la VDRL no reactiva y la reacción en cadena de la polimerasa (PCR) fue negativa para virus herpes tipo I y II, CMV, VEB, VZV y HHV-6. La PCR para poliomavirus JC fue positiva y la CV en LCR para VIH fue de 600.000copias/ml (log10 5.8).
DiscusiónLa característica más saliente del complejo cognitivo motor asociado al VIH es el déficit cognitivo progresivo, y se corresponde con el descripto para las demencias subcorticales1. En el LCR se detecta el RNA del VIH, cuya concentración es muy variable, pero por lo general, inferior a la plasmática, aunque en ocasiones puede superarla, como en el caso que se describe. Los niveles de carga viral en LCR se reducen con el tratamiento antirretroviral y hasta pueden convertirse en indetectables. Una alta carga viral en LCR, como en el caso que se presenta, avala el diagnóstico de encefalopatía por VIH. Otros hallazgos del LCR incluyen una moderada pleocitosis a predominio mononuclear y la presencia de marcadores de activación inmune2. Los hallazgos más comunes en la tomografía computarizada (TC) incluyen la atrofia central y cortical, el agrandamiento ventricular y la atenuación difusa de la sustancia blanca profunda. En la RMI las anomalías características incluyen áreas hiperintensas bilaterales, simétricas y difusas usualmente localizadas en la sustancia blanca periventricular3.
El VJC se reactiva ante cuadros de inmunosupresión grave, e induce la infección lítica de los oligodendrocitos con lesiones multifocales de desmielinización. La enfermedad tiene una prevalencia del 1 al 4% entre los pacientes con sida. El curso clínico es progresivo y con déficit neurológico focal en el 80% de los pacientes afectados. El examen del LCR es normal o con alteraciones inespecíficas, (hiperproteinorraquia moderada y pleocitorraquia mononuclear)4. La RM muestra la presencia de lesiones, por lo general bilaterales, simétricas o asimétricas, con predominio en lóbulos parieto-occipitales, bien delimitadas y localizadas en áreas periventriculares y en la sustancia blanca subcortical. Pueden ser únicas o múltiples, no refuerzan con el contraste, no están rodeadas de edema, ni producen efecto de masa, y dibujan las fibras subcorticales en «U» o fibras arcuatas; un tercio de los pacientes tienen compromiso de la fosa posterior. Entre un 5-10% de los casos, esta última localización se revela como la única manifestación de la enfermedad4. El diagnóstico se confirma por la PCR en el LCR. La sensibilidad de la prueba es variable (40-80%), posee una alta especificidad (mayor del 90%) y un valor predictivo positivo del 100%5.
En conclusión, si bien la encefalopatía por VIH y la LMP poseen patrones imagenológicos bien caracterizados y definidos, estos no resultan diagnósticos per se. Además, en los estadios iniciales, cuando las lesiones de ambas entidades son pequeñas, resulta difícil diferenciar una de otra, lo que aporta un problema más al diagnóstico diferencial entre ambas. Más aún, cuando las 2 complicaciones neurológicas pueden coexistir en un mismo paciente con diagnóstico de enfermedad VIH/sida.
Responsabilidades éticasProtección de personas y animalesLos autores declaran que para esta investigación no se han realizado experimentos en seres humanos ni en animales.
Confidencialidad de los datosLos autores declaran que han seguido los protocolos de su centro de trabajo sobre la publicación de datos de pacientes.
Derecho a la privacidad y consentimiento informadoLos autores declaran que en este artículo no aparecen datos de pacientes.
FinanciaciónLos autores declaramos no haber recibido financiación para la realización de este trabajo.








