La tuberculosis (TB), infección producida por Mycobacterium tuberculosis, tiene una distribución mundial. La infección (a diferencia de la enfermedad clínicamente significativa) tiene lugar con mayor frecuencia en niños y adolescentes, aunque en los países industrializados, debido a una menor prevalencia de la enfermedad activa, se ha observado una mayor incidencia de infección en personas de más edad1-3.
La infección pulmonar se adquiere por vía aérea, siendo el grado de infectividad de la fuente infecciosa y las defensas del individuo expuesto los que determinan el riesgo de infección.
Desde el punto de vista fisiopatológico podemos diferenciar entre tuberculosis primaria, que es aquella que se desarrolla en pacientes que no han estado previamente expuestos a M. tuberculosis, y TB posprimaria, que es la observada en casos de reactivación de un proceso previo o de sobreinfección.
La radiografía de tórax continúa siendo esencial para el diagnóstico de sospecha de tuberculosis, y habitualmente se utiliza de manera conjunta con el test cutáneo de la tuberculina1,2,4,5. Una radiografía de tórax normal tiene un alto valor predictivo negativo para la presencia de TB activa; no obstante, existe un 1% de falsos negativos entre la población inmunocompetente y un 7-15% entre los individuos positivos para el virus de la inmunodeficiencia humana (VIH). En un estudio radiográfico de tórax, la detección de cualquier anormalidad (parenquimatosa, ganglionar o pleural) con o sin calcificación no precisa el grado de actividad6. Radiográficamente, la diferenciación entre enfermedad activa o inactiva sólo puede hacerse según la evolución en el tiempo. La ausencia de cambios radiológicos en 4-6 meses generalmente indica enfermedad inactiva; sin embargo, incluso hallazgos estables durante largo tiempo pueden asociarse con cultivos positivos. Por tanto, estos hallazgos radiológicos deben interpretarse como «radiográficamente estables» más que «radiográficamente inactivos»7.
Manifestaciones radiológicas de la tuberculosis primaria
Como hemos mencionado, la tuberculosis primaria ocurre en pacientes que no han estado previamente expuestos a M. tuberculosis. Se ha considerado clásicamente como una enfermedad de la infancia y sus manifestaciones radiológicas fueron en un principio descritas en la población pediátrica. Aún es la forma más frecuente de enfermedad en niños, con una mayor prevalencia entre 0-5 años. No obstante, con la introducción de medidas efectivas de salud pública, la proporción de adultos no expuestos previamente al bacilo y, por tanto, con riesgo de desarrollar tuberculosis primaria, ha ido aumentando. En la actualidad se estima que entre un 23 y un 34% de los casos de tuberculosis observada en adultos corresponden a enfermedad primaria1-3.
Afección del parénquima
Consolidación
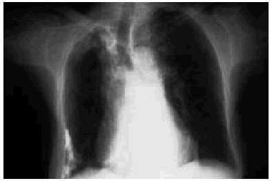
La tuberculosis primaria se manifiesta típicamente como una consolidación parenquimatosa unifocal; la consolidación multilobar es menos frecuente y se observa aproximadamente en el 25% de los casos. En ocasiones el proceso afecta a la totalidad de un lóbulo (a menudo el lóbulo medio). Es posible que este compromiso sea el resultado de una combinación de consolidación del parénquima (causada por invasión directa de los bacilos) y atelectasia (resultante de la obstrucción bronquial debida a compresión extrínseca por adenopatías o a proceso endobronquial) (fig. 1).
Fig. 1. Tuberculosis pulmonar primaria. La radiografía de tórax frontal revela una consolidación parenquimatosa unifocal y adenopatías paratraqueales derechas (flecha negra) y posiblemente hiliares ipsolaterales.
No existe un consenso sobre la localización más frecuente de la neumonía tuberculosa; en la mayoría de las series, los lóbulos superiores se encuentran afectados con una frecuencia levemente superior que los inferiores, en especial en niños. También se ha registrado una mayor frecuencia de afección en el segmento apical del lóbulo inferior, especialmente en adultos. No se observaron diferencias significativas entre los pulmones derecho e izquierdo (algunas series encuentran preferen cia por el lado derecho) ni entre los segmentos anteriores o posteriores. A efectos prácticos podemos considerar que la tuberculosis primaria puede afectar a cualquier lóbulo.
El aspecto radiológico típico es el de una neumonía de los espacios aéreos caracterizada por una opacidad homogénea de bordes mal definidos, salvo cuando entra en contacto con una cisura pulmonar, en ocasiones con broncograma aéreo, y de 1 a 7 cm de diámetro. A menudo es indistinguible de la neumonía bacteriana típica. Claves importantes para el diagnóstico son la linfadenopatía asociada (fig. 2) (la presencia de enfermedad parenquimatosa en ausencia de adenopatía aparece sólo en el 1% de los casos pediátricos y en el 38-81% de la TB primaria del adulto), la falta de toxicidad sistémica (la neumonía tuberculosa puede apreciarse como hallazgo casual en un paciente asintomático) y el fracaso en la respuesta a la terapia antibacteriana convencional. Asimismo, la evolución radiológica de la neumonía tuberculosa difiere de la de las infecciones bacterianas agudas: la neumonía neumocócica aguda en general se resuelve radiológicamente en 3-4 semanas, mientras que la neumonía tuberculosa puede tardar 3-9 meses. La velocidad con la que se produce el aclaramiento radiológico no tiene significado pronóstico ni tampoco es un indicador del éxito terapéutico. La asociación de neumonía de lenta resolución y adenopatía es casi siempre de origen tuberculoso1,2,8,9.
Fig. 2. Tuberculosis pulmonar primaria. Consolidación parenquimatosa homogénea del lóbulo medio, asociada a adenopatías paratraqueales derechas e hiliares ipsolaterales.
Tuberculosis miliar
La diseminación hematógena temprana y limitada, sin manifestaciones clínicas ni radiológicas, es frecuente en la tuberculosis primaria. La enfermedad miliar, detectada radiológicamente con significación clínica, se observa en un 1-7% de los pacientes con tuberculosis; los ancianos, los niños menores de 2 años y pacientes inmunodeprimidos son los afectados con más frecuencia.
El intervalo transcurrido entre la diseminación y el desarrollo de lesiones detectables radiológicamente puede ser de 6 semanas o más, lapso en el cual los focos tuberculosos son demasiado pequeños como para ser detectados en las radiografías. En estas fases tempranas, la gammagrafía con galio-67 puede revelar captación parenquimatosa difusa, y la única anormalidad radiológica detectable puede ser la hiperinsuflación pulmonar1.
La apariencia radiológica clásica de la tuberculosis miliar consiste en pequeñas opacidades nodulares de 2-3 mm distribuidas de forma difusa y uniforme en ambos pulmones, con un ligero predominio en los lóbulos inferiores (fig. 3). En ausencia de un tratamiento adecuado pueden alcanzar un tamaño de 5 mm antes de la muerte del paciente. En este momento adquieren un aspecto casi confluente, con una imagen que ha sido comparada con la de una tormenta de nieve. Pocos pacientes fallecen como consecuencia de una tuberculosis miliar (demostrada patológicamente) sin anormalidad radiológica detectable. En casos raros, la tuberculosis miliar puede complicarse con un neumotórax o un neumomediastino1,2.
Fig. 3. Tuberculosis miliar. Radiografía de tórax convencional.
La TAC de alta resolución es más sensible que la radiografía de tórax para la detección de tuberculosis miliar7,10-12. Los hallazgos radiológicos consisten en pequeños nódulos de 1-2 mm de distribución perivascular y periseptal; el engrosamiento nodular de los septos interlobulares puede dar una apariencia arrosariada, similar a la de la linfangitis carcinomatosa (fig. 4).
Fig. 4. TAC torácica en la que se observa un patrón intersticial micronodular bilateral y difuso.
Se han observado numerosas diferencias entre los patrones radiológicos de la tuberculosis miliar en niños y adultos, lo que con probabilidad refleja la presencia de una enfermedad primaria y una tuberculosis posprimaria, respectivamente. Se ha encontrado una incidencia de adenopatías del 95% en niños, frente al 12% en adultos. La consolidación parenquimatosa sugestiva del sitio primario de diseminación fue encontrada en el 42% de los niños y sólo en un 12% de los adultos. El derrame pleural fue un hallazgo poco habitual en ambos grupos.
La instauración de un tratamiento apropiado puede asociarse con una resolución extremadamente rápida, en general más rápida que en los casos de tuberculosis pulmonar no hematógena; la resolución radiológica por lo común es completa, más rápida en niños, y no se asocia con lesiones residuales. Las radiografías de tórax se normalizaron en el período de 16 semanas en la mayor parte de los casos. En ausencia de tratamiento, la causa principal de muerte es la insuficiencia respiratoria, si bien el síndrome del distrés respiratorio del adulto (SDRA) no es una complicación frecuente de la tuberculosis miliar. La calcificación miliar es rara.
Calcificación
La calcificación de las lesiones pulmonares y ganglios linfáticos ocurre en el 30% de los casos de tuberculosis primaria; el 70% restante se resuelve sin secuelas radiológicas, y habitualmente se requiere un tiempo que oscila entre 6 meses y 2 años para que tenga lugar el aclaramiento completo.
La lesión de Ghon consiste en una cicatriz parenquimatosa, calcificada o no, y ocurre en un 15-17% de los casos. El complejo de Ranke consiste en la asociación entre la lesión de Ghon y la calcificación de los ganglios linfáticos hiliares o paratraqueales (fig. 5). Los nódulos de Simon son focos de calcificación secundaria en los pulmones.
Fig. 5. Tuberculosis pulmonar primaria calcificada (complejo de Ranke). Una radiografía posteroanterior revela un pequeño granuloma pulmonar calcificado (lesión de Ghon), asociado a adenopatías hiliares calcificadas.
El complejo de Ranke constituye una evidencia razonablemente fidedigna de tuberculosis primaria, pero también puede desarrollarse como secuela de histoplasmosis o de otras infecciones micóticas que afectan a los pulmones y los ganglios linfáticos. El carácter de las calcificaciones esplénicas puede constituir un elemento decisivo para establecer la diferencia. En la histoplasmosis, por lo general las calcificaciones esplénicas se presentan como sombras múltiples, pequeñas y puntiformes, frente a las sombras menos abundantes y de mayor tamaño de la tuberculosis1.
Tuberculomas
Los tuberculomas son opacidades nodulares persistentes, redondas u ovaladas, situadas más frecuentemente en los lóbulos superiores (75%); la mayoría son regulares y bien delimitadas, aunque hasta en un 25% de los casos pueden ser de contornos lobulados; suelen ser menores de 3 cm de diámetro, pero se han descrito lesiones de hasta 5 cm. Aunque la verdadera frecuencia de estas lesiones es difícil de determinar, porque un 11% de los pacientes con tuberculomas probados son PPD negativos, se considera una manifestación infrecuente de la tuberculosis. Usualmente se considera que son el resultado de una enfermedad primaria curada y con frecuencia son encontrados como hallazgo casual en adultos asintomáticos1,2,6 (fig. 6).
Fig. 6. Tuberculoma. Una radiografía posteroanterior de tórax revela una opacidad derecha ovalada, de bordes bien definidos, con calcificación en su interior.
En la población general representan un 14-24% de los nódulos solitarios resecados. En un 20% de los casos se observan tuberculomas múltiples, y en el 80% se evidencian pequeñas lesiones satélite que se presentan como pequeñas sombras aisladas en la vecindad inmediata de la lesión principal.
Cavitación
La cavitación es una manifestación rara de la tuberculosis primaria en lactantes y niños que viven en comunidades expuestas desde hace tiempo al bacilo tuberculoso. Ha sido encontrada en un 7-29% de los adultos (fig. 7). La formación de cavidades es un hallazgo mucho mas frecuente en lactantes y niños que viven en comunidades donde la tuberculosis ha sido introducida recientemente, debido a la menor capacidad para confinar la lesión primaria1,2.
Fig. 7. Tuberculosis pulmonar primaria cavitada. La radiografía posteroanterior de tórax pone de manifiesto una condensación parenquimatosa, con cavitación en su interior. La cavidad tiene un contorno interno ligeramente nodular.
Los neumatoceles, hallazgo infrecuente en niños, han sido encontrados en un 12% de los adultos con tuberculosis primaria.
Afección de la vía aérea: atelectasia
La atelectasia lobar o segmentaria es una manifestación radiológica frecuente de la tuberculosis primaria en niños menores de 2 años; es menos habitual en niños mayores (9%) y adultos (18%).
El colapso pulmonar puede ser secundario a obstrucción endobronquial o a compresión extrínseca por adenopatías. El bronquio de los niños es particularmente susceptible a esta compresión extrínseca. Estos hallazgos se han observado con menos frecuencia en adultos, debido al mayor calibre de la vía aérea y la baja prevalencia de las adenopatías. Raramente se produce una hiperinsuflación obstructiva por mecanismo valvular previo a la atelectasia.
A diferencia de las lesiones de la tuberculosis posprimaria, que presentan una tendencia a localizarse en los segmentos apical y posterior de los lóbulos superiores y en los segmentos superiores de los lóbulos inferiores, las atelectasias de la tuberculosis primaria de manera característica afectan al segmento anterior de un lóbulo superior o al segmento medial del lóbulo medio (fig. 8), y típicamente persisten hasta que las adenopatías regresan.
Fig. 8. Tuberculosis primaria. La radiografía de tórax posteroanterior revela una atelectasia del segmento medial del lóbulo medio. La broncoscopia confirmó la presencia de granuloma endobronquial.
Siempre que la obstrucción bronquial no haya sido demasiado prolongada, la perforación de un ganglio linfático en el interior del árbol bronquial en general se acompaña de la desaparición de la atelectasia, presuntamente como consecuencia de la desaparición de la compresión.
Si bien la obstrucción endobronquial y la atelectasia resultante son hallazgos menos frecuentes en los adultos, cuando estas complicaciones se producen tienden a afectar al segmento anterior de los lóbulos superiores y simular un carcinoma broncogénico.
Un porcentaje considerable de niños que desarrollan atelectasia durante el estadio activo de la enfermedad presentan evidencias broncográficas residuales de distorsión y dilatación del árbol bronquial en las áreas afectadas1,9,13.
Linfadenopatía
El compromiso de los ganglios linfáticos hiliares o paratraqueales es el hallazgo radiológico que permite una diferenciación más precisa entre tuberculosis primaria y posprimaria, especialmente en adultos. Este hallazgo radiológico se encuentra en un 10-43% de los adultos y en cerca del 96% de los niños con tuberculosis primaria; es, pues, la «marca» de la enfermedad en niños, y también puede resultar la anormalidad radiológica de presentación en pacientes adultos, en particular en mujeres jóvenes de raza negra.
Los ganglios típicamente afectados son los hiliares, los paratraqueales derechos y con menos frecuencia los subcarinales y de la ventana aortopulmonar. Aunque el hallazgo típico es la afección unilateral en el lado derecho (fig. 9), las adenopatías bilaterales ocurren hasta en el 31% de los casos.
Fig. 9. Tuberculosis primaria ganglionar. La radiografía de tórax posteroanterior revela adenopatías paratraqueales derechas e hiliares ipsolaterales (flechas negras).
Las adenopatías, aunque habitualmente se observan asociadas con consolidación parenquimatosa o atelectasia, también pueden representar la única evidencia radiológica de enfermedad; en estos casos, dado que sólo el 40% de los pacientes tienen esputo bacteriológico positivo, el diagnóstico definitivo requiere una biopsia ganglionar, debido a la imposibilidad de diferenciarlas radiológicamente de la sarcoidosis o el linfoma.
La detección radiológica de adenopatías precisa radiografías de alta calidad y elevado kilovoltaje. En los ni ños pueden manifestarse como una prominencia hiliar mal definida más que como un aumento ganglionar definido, la cual a menudo se detecta mejor en la radiografía lateral. La TAC es más sensible que la radiografía simple para detectar adenopatías tuberculosas intratorácicas12,14. La adenitis tuberculosa mediastínica, especialmente si los ganglios son mayores de 2 cm de diámetro, puede tener una apariencia característica consistente en áreas centrales de baja atenuación, con un anillo de realce periférico tras la administración de contraste (fig. 10). Este patrón de realce ganglionar, aunque característico, no es patognomónico de la adenitis tuberculosa. Las adenopatías más pequeñas pueden no realzar o hacerlo escasamente. Las adenopatías tuberculosas captan galio-671.
Fig. 10. Tuberculosis primaria ganglionar. TAC torácica. Un corte axial con contraste a la altura de los vasos braquiocefálicos revela la existencia de múltiples adenopatías hipodensas con anillo de realce periférico.
Es característico que las linfadenopatías tuberculosas aisladas típicamente se resuelvan de manera más lenta que las asociadas con enfermedad parenquimatosa, y usualmente curan sin secuelas significativas, aunque puede quedar calcificación ganglionar residual. Ésta se suele desarrollar 6 meses o más después de la infección inicial, es más común que la calcificación parenquimatosa y aparece con más frecuencia en adultos. El hallazgo de lesión parenquimatosa calcificada (foco de Ghon) y de adenopatías hiliares también calcificadas se conoce como complejo de Ranke. Este hallazgo, aunque sugestivo de tuberculosis primaria, también puede ocurrir en la histoplasmosis.
La Sociedad Torácica Americana recomienda efectuar una evaluación radiográfica anual hasta que las adenopatías tuberculosas se resuelvan o se estabilicen8,15. En algunos casos, la adenitis tuberculosa o mediastinitis tuberculosa puede ocasionar compresión traqueal, síndrome de la vena cava superior, compresión esofágica, formación de fístulas y pericarditis tuberculosa. La pericarditis puede también resultar de diseminación hematógena.
Derrame pleural
El derrame pleural como manifestación de tuberculosis es particularmente frecuente en adolescentes y adultos jóvenes con tuberculosis primaria; sin embargo, es muy infrecuente en niños menores de 2 años. Suele manifestarse 3-7 meses después de la exposición inicial, es el patrón radiológico de mejor pronóstico y el que menos complicaciones presenta. El empiema, fístula broncopleural, erosiones óseas y fístulas pleurocutáneas (empiema necesitatis) son complicaciones raras1,16.
El derrame es con más frecuencia unilateral y de moderada a gran cuantía. La resolución del derrame generalmente es rápida y completa con la terapia apropiada; en ocasiones queda como secuela un engrosamiento pleural residual. Cuando en la radiografía de tórax el engrosamiento pleural residual es mayor o igual de 2 cm, la TAC a menudo revelará líquido persistente que puede contener bacilos viables.
Manifestaciones radiológicas de la tuberculosis posprimaria
La TB posprimaria habitualmente se produce como consecuencia de la reactivación de un foco infeccioso adquirido en una fase previa de la vida; en ocasiones es el resultado de una infección inicial por microorganismos virulentos en un paciente vacunado con anterioridad con BCG. Un reducido subgrupo de casos presenta una sobreinfección exógena en un caso de infección original inactiva (o incluso activa), es decir, una verdadera reinfección. La TB posprimaria es una enfermedad casi exclusiva de la adolescencia y la edad adulta, aunque los hallazgos radiológicos son superponibles a los de la TB primaria. Existe una serie de características que marcan la diferencia entre ambas1,2,8,9,13, como la afección predominante de los lóbulos superiores (especialmente los segmentos apical y posterior), la ausencia de adenopatías y la tendencia a la cavitación.
Afección del parénquima
Exudativa y fibrocaseosa
El hallazgo más temprano de la TB posprimaria es una opacidad heterogénea de límites mal definidos (lesión exudativa), con una distribución focal o confluente, preferentemente localizada en los segmentos apical o posterior de un lóbulo superior o en el segmento superior de un lóbulo inferior (fig. 11). La afección de los segmentos anteriores o basales ocurre en el 75% de los casos, pero sólo cuando los segmentos pulmonares habituales están también afectados. Esta distribución segmentaria contribuye a la diferenciación radiológica entre la tuberculosis y otras enfermedades granulomatosas, como la histoplasmosis, que a menudo afectan al segmento anterior. En el 88% de los casos existe afección de más de un segmento pulmonar.
Fig. 11. Tuberculosis pulmonar posprimaria exudativa. Una radiografía posteroanterior de tórax revela opacidades inhomogéneas en la porción axilar del lóbulo superior izquierdo. El cultivo de esputo demostró la presencia de M. tuberculosis.
Si la infección no es adecuadamente contenida, progresa a opacificación pulmonar lobar o completa, y la destrucción puede ser rápida. En la mayoría de los casos, la lesión exudativa mal delimitada es reemplazada por opacidades reticulonodulares mejor definidas (lesiones fibroproductivas o fibroproliferativas). Las lesiones puramente exudativas o fibroproductivas son infrecuentes, observándose un patrón mixto en el 79% de los casos. La curación tiene lugar a través del reemplazo del tejido de granulación tuberculoso por tejido fibroso. Las lesiones pueden calcificar y ocasionar distorsión de la arquitectura ganglionar, atelectasia cicatrizal y bronquiectasias por tracción. La fibrosis grave, con pérdida de volumen de los lóbulos superiores, retracción hiliar, y traqueomegalia secundaria, se observa en aproximadamente el 29% de los casos (fig. 12)1,2. Si la disminu ción de volumen del pulmón afectado es de magnitud suficiente, podrán apreciarse signos compensatorios, como la elevación del hilio ipsolateral, la hiperinsuflación del pulmón restante afectado y, en algunos casos, la formación de bullas. En el 41% de los casos puede observarse «casquete pleural» (fig. 13); se ha apreciado mediante TAC que estas opacidades apicales son debidas a engrosamiento pleural, atelectasia subpleural, fibrosis pulmonar y depósito de grasa extrapleural, lo cual es indicativo de cronicidad del proceso inflamatorio.
Fig. 12. Tuberculosis residual. La radiografía posteroanterior de tórax revela atelectasia cicatrizal del lóbulo superior izquierdo, con elevación hiliar y traqueomegalia secundaria.
Fig. 13. Tuberculosis pulmonar posprimaria fibroproductiva o residual. Atelectasia cicatrizal del lóbulo superior derecho, asociada a casquete pleural y a calcificación pleural basal ipsolaterales.
La actividad de la enfermedad no puede ser establecida con seguridad por la radiografía de tórax6,7. La estimación incorrecta de actividad es una de las causas más comunes de error diagnóstico en pacientes con TB. Aunque la infección activa se asocia con más frecuencia con lesiones exudativas o cavitación, lesiones fibroproductivas también pueden indicar enfermedad activa. Los pacientes pueden tener cultivos de esputo positivos para M. tuberculosis pese a la curación radiológica. La estabilidad radiológica durante un período de al menos 6 meses y cultivos de esputo repetidamente negativos son el mejor indicador de enfermedad inactiva, aunque en estos casos debería hablarse de enfermedad radiológicamente «estable» mejor que «inactiva» o «curada».
Cavitación
La cavitación tiene lugar en un 40-87% de los pacientes con tuberculosis posprimaria; se produce cuando el material caseoso licuefaccionado es expulsado desde el centro de la lesión hacia el interior del árbol bronquial. El material evacuado puede ser expectorado en el esputo o aspirado hacia otros segmentos bronquiales. La TAC es más sensible que la radiografía simple para el diagnóstico de cavitación, especialmente en casos complicados por fibrosis extensa y distorsión de su arquitectura10.
El tamaño de una cavidad puede variar desde unos pocos milímetros hasta varios centímetros, y puede haber múltiples cavidades; típicamente ocurren en áreas de consolidación, aunque en ocasiones se encuentran aisladas. La pared de una cavidad tuberculosa no tratada puede revelar un grosor variable y un contorno regular o con nodulaciones internas. En casos raros una bulla pulmonar puede simular una cavitación.
El tratamiento adecuado habitualmente conlleva la desaparición de la cavidad; en ocasiones, el tratamiento se asocia con un marcado adelgazamiento de la pared cavitaria, persistiendo un espacio quístico lleno de aire. Estas cavidades persistentes después de la quimioterapia no indican necesariamente la presencia de enfermedad activa. En un reducido porcentaje de pacientes, el cultivo de esputo se positiviza una vez interrumpida la quimioterapia, pero en la mayor parte de los casos el seguimiento no revela evidencia de actividad.
En un estudio comparativo de las cavidades causadas por M. tuberculosis con las ocasionadas por M. kansaii y M. intracelulare, algunos autores encontraron que las cavidades de pared delgada son causadas con más frecuencia por micobacterias no tuberculosas1,2.
La presencia de niveles hidroaéreos intracavitarios es una manifestación infrecuente que suele indicar infección secundaria, probablemente por microorganismos anaerobios; las dos terceras partes de estas cavidades se localizan en los segmentos apical y posterior de los lóbulos superiores. Asimismo, es altamente probable que la gangrena pulmonar, forma rara y con frecuencia fatal (70%) de tuberculosis cavitada, represente una infección mixta con microorganismos anaerobios, aunque la teoría que postula el desarrollo de trombosis vascular también debe ser considerada17,18.
Una cavidad tuberculosa puede ser colonizada por Aspergillus; estas bolas de hongos o aspergilomas se manifiestan radiológicamente como masas intracavitarias, separadas de la pared de la cavidad adyacente por un área radiotransparente en forma de semiluna (fig. 14). En la TAC los hallazgos característicos consisten en un nódulo móvil intracavitario que habitualmente está rodeado de aire, aunque puede llenar por completo la cavidad; en imágenes realizadas en prono y supino, el aspergiloma caerá a la posición más declive. El neumotórax espontáneo es infrecuente y ocurre en menos del 5% de los pacientes con enfermedad cavitaria severa.
Fig. 14. Tuberculosis pulmonar posprimaria cavitada con micetoma. En la radiología convencional se evidencia una lesión quístico-cavitaria con un nódulo homogéneo bien delimitado en su interior.
Diseminación broncógena y bronconeumonía tuberculosa aguda
La complicación más común de la cavitación tuberculosa es la diseminación endobronquial, detectada radiológicamente en un 19-58% de los casos, y por TACAR (TAC de alta resolución) en el 98%.
Esta diseminación endobronquial determina el establecimiento de nuevos focos de infección en el mismo lóbulo o en otros lóbulos pulmonares. De manera característica se forman múltiples sombras acinares pequeñas de 5-10 mm de diámetro que tienden a agruparse en las porciones dependientes de los pulmones (a veces del pulmón contralateral) (fig. 15).
Fig. 15. Tuberculosis pulmonar posprimaria con diseminación broncógena. Extensa afección del lóbulo superior derecho con cavitación y pérdida de volumen, asociada a pequeñas opacidades focales en el lóbulo medio y en el inferior derecho, así como en el pulmón contralateral, lo cual sugiere diseminación broncógena.
La extensión de la enfermedad a través de los espacios aéreos circundantes puede generar una neumonía aguda, indiferenciable de la causada por Streptococcus pneumoniae. El origen tuberculoso del proceso es sugerido por la presencia de una cavidad abierta en el pulmón afectado o en el pulmón contralateral, o por la observación de sombras acinares separadas en regiones del pulmón alejadas del área de consolidación masiva. La TACAR demuestra la localización peribronquiolar y centrilobular de estos nódulos; este patrón, denominado apariencia de «árbol florido», es indicativo de tuberculosis activa.
Cuando tiene lugar la curación pueden persistir cicatrices, nódulos residuales, calcificación parenquimatosa o endobronquial hasta en el 30% de los casos. En la TAC pueden observarse áreas localizadas de bajo valor de atenuación que, cuando no se asocian a distorsión del parénquima, son debidas a atrapamiento aéreo secundario a estenosis bronquiolar residual, y cuando se asocian a distorsión de la arquitectura, habitualmente reflejan enfisema paracicatrizal.
Tuberculosis miliar
La tuberculosis miliar es menos frecuente en la tuberculosis posprimaria que en la primaria. Existe un tipo de enfermedad miliar posprimaria conocida como tuberculosis generalizada tardía, que se presenta de forma insidiosa en ancianos o personas debilitadas. La diseminación puede ocurrir no sólo de una fuente pulmonar, sino también de focos sistémicos reactivados. A menudo se diagnostica post mórtem y tiene alta mortalidad. La evidencia radiológica de tuberculosis pulmonar crónica coexistente se observa en un 19-32% de los casos.
Tuberculomas
Los tuberculomas se presentan en el 3-6% de los casos de tuberculosis posprimaria.
Linfadenopatía
La linfadenopatía hiliar y mediastínica es una rara manifestación de la enfermedad posprimaria. Se observa en un 5-6% de los pacientes con enfermedad activa, y habitualmente se asocia con enfermedad parenquimatosa extensa y cavitación.
Afección de la vía aérea: broncoestenosis
y bronquiectasias
Broncoestenosis
La fibrosis y broncoestenosis como consecuencia del proceso de cicatrización ocurre en un 10-40% de los pacientes con tuberculosis. Las manifestaciones radiológicas resultantes incluyen colapso lobar o segmentario, neumonitis obstructiva, hiperinsuflación e impactación mucoide.
Estos hallazgos pueden ser erróneamente interpretados como carcinoma pulmonar. En ocasiones, el tejido de granulación puede acumularse en cantidad suficiente como para formar una masa polipoidea endobronquial, con el consiguiente desarrollo de atelectasia y neumonitis obstructiva.
La TAC es más sensible que la radiografía simple para demostrar la anormalidad bronquial existente; los hallazgos radiológicos incluyen estrechamiento bronquial segmentario largo con engrosamiento concéntrico de la pared (41-43%), obstrucción endobronquial completa (32%) y la obstrucción extrínseca por adenopatías adyacentes (23-50%)1,19.
Bronquiectasias
Las bronquiectasias son una complicación frecuente de la tuberculosis posprimaria y pueden desarrollarse por 2 mecanismos: a) con mayor frecuencia a través de la destrucción y fibrosis del parénquima pulmonar, lo que determina retracción y dilatación bronquial irreversible (bronquiectasia por tracción), y b) pueden resultar de broncoestenosis cicatrizal secundaria a una infección endobronquial localizada, con dilatación bronquial distal.
Dado que la gran mayoría de los casos de tuberculosis posprimaria afectan a los segmentos apical y posterior de un lóbulo superior, las bronquiectasias suelen aparecer en esta localización; habitualmente son asintomáticas debido a la existencia de un adecuado drenaje bronquial. En los casos sintomáticos, el síntoma más frecuente es la hemoptisis. El estudio con TAC puede revelar las alteraciones características de bronquiectasias que no habían sido sospechadas en las radiografías convencionales1,19. Al igual que ocurre con las cavidades tuberculosas, en los bronquios ectásicos también pueden desarrollarse micetomas saprofíticos.
Enfermedad pleural
Aunque el derrame pleural es una de las manifestaciones típicas de la tuberculosis primaria, puede ocurrir en un 18% de pacientes con enfermedad posprimaria; suelen ser pequeños y asociados a enfermedad parenquimatosa.
El empiema tuberculoso es poco frecuente (1-4%)1,16; se manifiesta de manera característica como una colección pleural loculada asociada a enfermedad parenquimatosa extensa y cavitación. En la TAC con contraste intravenoso puede observarse un engrosamiento liso de las pleuras visceral y parietal, separadas por una cantidad variable de líquido pleural (fig. 16).
Fig. 16. Empiema pleural. En la TAC se evidencia una gran colección pleural loculada, con engrosamiento y calcificación de la pleural parietal y visceral, y con presencia de un nivel hidroaéreo.
La enfermedad pleural puede complicarse con fístulas broncopleurales, ya sea por rotura de una cavidad en un paciente con tuberculosis activa, o secundariamente a un empiema. La presencia de niveles hidroaéreos puede hacer sospechar esta complicación. En ocasiones, la fibrosis pleural puede ocasionar pérdida de volumen pulmonar.
Las fístulas pleurocutáneas espontáneas (empiema necessitatis), las masas de pared torácica y la destrucción costal y vertebral pueden resultar de empiemas no tratados; la afección costal es infrecuente excepto en usuarios de drogas.
Una presentación poco habitual de la tuberculosis pleural consiste en la presencia de múltiples opacidades pleurales lobuladas que se asemejan a un mesotelioma; se han registrado casos de mesotelioma asociados con enfermedad tuberculosa. El engrosamiento pleural y la calcificación también pueden ocurrir1,2.
Otras complicaciones
Aneurismas de Rasmussen
Los aneurismas de Rasmussen son dilataciones localizadas de arterias de pequeño a mediano calibre, adosadas a la cápsula fibrosa de una cavidad. Aunque son raros clínicamente, aparecen en un 4-5% de las autopsias en pacientes con tuberculosis crónica. Se presentan con una hemorragia catastrófica y se asocian con una elevada mortalidad (84%). Ocurren casi de forma exclusiva en la tuberculosis fibrocaseosa crónica, son habitualmente únicos y localizados de manera característica en los lóbulos superiores. Las radiografías de tórax pueden revelar una «masa» o una consolidación parenquimatosa, que aparece rápidamente debida a hemorragia pulmonar. La embolización de urgencia puede salvar la vida del paciente1.
Pericarditis tuberculosa
La pericarditis tuberculosa puede tener lugar por diseminación hematógena o por rotura de un ganglio linfático mediastínico hacia el pericardio. El diagnóstico debe realizarse mediante ecocardiografía, aunque puede sospecharse en la radiografía de tórax ante un aumento de tamaño de la silueta cardiopericárdica. La evolución suele ser favorable; no obstante, en el 10% de los casos puede producirse pericarditis constrictiva; en ocasiones puede aparecer como secuela una calcificación pericárdica visible en una radiografía.
Tuberculosis y cáncer de pulmón
La relación entre tuberculosis y cáncer de pulmón es controvertida20,21. La frecuencia de la coexistencia entre ambas enfermedades es del 5%. Los pacientes con tuberculosis previa tienen a lo largo de su vida un riesgo de desarrollar cáncer de pulmón 5-10 veces superior que la población general. Este fenómeno es a menudo atribuido al efecto oncogénico putativo de la fibrosis y a inflamación crónica (también llamado carcinoma de la cicatriz). Asimismo, el cáncer de pulmón puede causar reactivación de la tuberculosis, bien por erosión de focos previamente encapsulados, bien por supresión de la inmunidad celular. Por tanto, los cultivos de esputo positivos para M. tuberculosis no deberían demorar los procedimientos diagnósticos destinados a la investigación de la posible neoplasia. Sin embargo, la mayoría de los estudios recientes sugieren que la relación entre el cáncer de pulmón y la tuberculosis puede ser puramente circunstancial, dado que ambas enfermedades tienden a afectar preferentemente a los lóbulos superiores en pacientes de edad avanzada.
Cuando el cáncer coincide con la tuberculosis, el diagnóstico suele retrasarse, ya que las manifestaciones radiológicas del cáncer a menudo son mal interpretadas como progresión de la TB.
Ciertos hallazgos radiológicos deben alertar sobre la existencia de una neoplasia coexistente en pacientes con enfermedad pulmonar posprimaria (fig. 17): enfermedad progresiva pese a una quimioterapia antituberculosa apropiada, adenopatías hiliares o mediastínicas, masa focal mayor de 3 cm de diámetro y cavidades con paredes nodulares.
Fig. 17. Tuberculosis pulmonar y cáncer. La radiografía de tórax frontal en un paciente con cultivo de esputo positivo para M. tuberculosis revela una lesión cavitada de gran tamaño, con nivel hidroaéreo y contorno interno nodular. El empeoramiento radiológico, pese a la terapia aplicada con antituberculostáticos, alertó sobre la presencia de un carcinoma asociado.
Otras complicaciones intratorácicas poco frecuentes de la tuberculosis incluyen osteomielitis vertebral y abcesos paraespinales y prevertebrales. La radiografía de tórax es anormal en aproximadamente el 75% de los pacientes con tuberculosis espinal.
Respuesta al tratamiento
La radiografía de tórax tiene un papel primordial para valorar la respuesta al tratamiento en aquellos pacientes en los que el cultivo de esputo fue negativo8; esto es especialmente frecuente en niños (dado que en éstos la confirmación bacteriológica se obtiene sólo en un tercio de los casos). En pacientes con bacteriología positiva, los cultivos de esputo son la mejor forma de evaluar la respuesta al tratamiento, siendo la evaluación radiológica de menor importancia.
La regresión de los hallazgos radiológicos en la TB pulmonar es un proceso lento. El empeoramiento radiológico en los primeros 3 meses puede ocurrir en más de un tercio de los pacientes pediátricos, pese al tratamiento adecuado. Este comportamiento radiológico también se ha descrito en adultos con adenitis tuberculosa13,22. La causa exacta se desconoce, aunque puede ser debida a una reacción de hipersensibilidad que habitualmente ocurre a las 2.ª-10.ª semanas de la infección inicial. En la mayoría de los pacientes, las enfermedades parenquimatosa y ganglionar suelen regresar en paralelo.
En adultos, la ausencia de mejoría radiológica después de 3 meses de iniciado el tratamiento sugiere resistencia a la medicación o bien un proceso añadido. La Sociedad Torácica Americana recomienda efectuar una evaluación radiográfica con intervalos de 2 a 3 meses desde el inicio de la terapia, hasta que los hallazgos radiológicos se resuelvan o se estabilicen.
La resolución de las anomalías parenquimatosas habitualmente requiere de 6 a 12 meses en las radiografías, y más de 15 meses en la TAC. Las adenopatías pueden persistir años después del tratamiento.
El tórax postoperatorio
Antes del desarrollo de la quimioterapia efectiva se utilizaron varias formas de colapso pulmonar para el tratamiento de la tuberculosis cavitaria1: plombaje, lesión del nervio frénico, neumotórax artificial y toracoplastia.
Plombaje
Se realizaba mediante la inserción de packs de plástico, bolas de metilmetacrilato (lucita) (fig. 18) o esferas de politeno en el espacio extrapleural. También puede realizarse mediante la inyección extrapleural de aceite o parafina (oleotórax).
Fig. 18. Plombaje. En la radiografía de tórax posteroanterior se observan numerosas cavidades redondeadas producidas por bolas de lucita localizadas en el espacio extrapleural.
Las complicaciones de esta modalidad terepéutica incluyen la migración del plomo, infección, expectoración de plomo, degeneración maligna y formación de fístulas broncopleurales, broncoesofágicas y pleurocutáneas. En estos casos puede ser necesaria la retirada quirúrgica del plomo con descorticación y toracoplastia.
La apariencia radiológica del plombaje depende del material empleado; las bolas de lucita se manifiestan como múltiples esferas lucentes bien definidas; con el tiempo, y debido a la presencia de infección, estas esferas pueden perder su forma original y desarrollar niveles hidroaéreos. Aunque esta apariencia puede ser confundida con cavitación, la pared de la cavidad y su tamaño uniforme sugieren el diagnóstico apropiado.
Los paquetes de polistán y el oleotórax se manifiestan como masas extrapleurales bien delimitadas en el hemitórax superior y, aunque suelen mantenerse estables, pueden expandirse y causar sintomatología respiratoria.
Toracoplastia
Consiste en la resección parcial de la pared torácica con el consiguiente colapso pulmonar secundario (fig. 19). Puede desarrollarse insuficiencia respiratoria tardía como consecuencia de la deformidad torácica.
Fig. 19. Toracoplastia. Deformidad posquirúrgica de los primeros arcos costales derechos. Se visualizan, además, varios granulomas calcificados en el hemitórax izquierdo.
Conclusión
La radiografía de tórax continúa siendo esencial en la evaluación radiológica de la tuberculosis; la TAC no ha demostrado tener un impacto significativo en el manejo de pacientes tuberculosos.
La tuberculosis primaria está aumentando en la población adulta.
La tuberculosis primaria habitualmente se manifiesta como una consolidación parenquimatosa en cualquier lóbulo o segmento pulmonar.
Las adenopatías unilaterales hiliares o mediastínicas son muy frecuentes en niños con tuberculosis primaria y menos habituales en adultos.
La tuberculosis posprimaria típicamente se manifiesta como una opacidad heterogénea, a menudo cavitada en los segmentos apical o posterior de los lóbulos superiores o en el segmento superior de los inferiores.
La radiografía de tórax no permite establecer la actividad de la enfermedad posprimaria.
La cavitación es el hallazgo radiológico más importante, implica alta infectividad y numerosas complicaciones asociadas.
La pleuresía tuberculosa es más frecuente en adultos jóvenes con tuberculosis primaria.
La enfermedad miliar, aunque más frecuente en la enfermedad primaria, está aumentando su incidencia en pacientes mayores con tuberculosis posprimaria y tiene una elevada mortalidad.
Tuberculois pulmonar y sida
La tuberculosis pulmonar es una infección frecuente en nuestro medio, cuya incidencia no se ha modificado en los últimos años. Desde la aparición de la epidemia por el virus de la inmunodeficiencia humana (VIH) se ha constatado en estos enfermos una predisposición mayor a padecer TB que en la población general23.
España sigue siendo el país europeo con mayor prevalencia de TB, y presenta también una elevada incidencia de pacientes infectados por el VIH, por lo que la probabilidad de asociación de TB y VIH supera a la mayoría de países desarrollados, siendo la TB la infección oportunista más frecuente en nuestros pacientes positivos para el VIH23.
La patogenia de la TB en adultos positivos para el VIH suele atribuirse a reinfección. La infección tuberculosa puede permanecer durante años en estado latente, siendo el VIH el responsable del desarrollo de la infección manifiesta13,24.
De los mecanismos de defensa inmunológica que protegen al huésped de la infección por M. tuberculosis, el más importante es la hipersensibilidad retardada tipo IV mediada por células, responsable de la positividad de la prueba de la tuberculina (Mantoux). Esta inmunidad celular se ve comprometida por la infección directa de los macrófagos alveolares por el VIH, con una disminución de los productos solubles de los linfocitos. La disminución de los linfocitos CD4 hace al huésped particularmente susceptible a M. tuberculosis; de hecho, es importante conocer el grado de inmunosupresión de los pacientes con VIH para realizar una correcta evaluación de las radiografías de tórax, dado que los patrones radiológicos varían en función del grado de inmunosupresión13,25-27. Los pacientes con función inmunocelular relativamente intacta (linfocitos CD4 por encima de 200/µl) presentan hallazgos radiológicos similares a los observados en la población general negativa para el VIH. Con grados severos de inmunodepresión (cifras de CD4 inferiores a 200 linfocitos/µl), las manifestaciones radiológicas y clínicas son atípicas y diferentes de la población general23, caracterizándose por los hallazgos que describimos a continuación.
Diferencias clínicas
Existe mayor número de pacientes positivos para el VIH que presentan un test de Mantoux negativo que pacientes negativos para el VIH. En algunas series, el test de Mantoux es negativo hasta en el 80% de los pacientes positivos para el VIH y sólo en el 25% de los negativos.
Los pacientes positivos para el VIH tienen mayor riesgo (2,25 veces más) de padecer TB que la población general.
Los pacientes positivos para el VIH con severa inmunodepresión presentan baciloscopia positiva en esputo en menos del 50% de los pacientes con TB. En contraste, en pacientes inmunocompetentes con cavitación la baciloscopia es positiva en el 98% de los casos12.
Los pacientes positivos para el VIH tienen mayor incidencia de afección extratorácica (sobre todo ganglionar y también meníngea) y mayor tendencia a la progresión de sus lesiones que la población negativa.
Los pacientes positivos para el VIH presentan mayor incidencia de infecciones coincidentes (Citomegalovirus, Neumocistis carinii, M. avium y cocos grampositivos) que la población no infectada por el VIH.
La evolución clínica tiene peor pronóstico en pacientes positivos para el VIH.
Manifestaciones radiológicas
Los hallazgos radiológicos en pacientes con inmunodepresión son más parecidos a los de la TB primaria, pese a que la reactivación de bacilos latentes es el modo usual de infección en estos pacientes13,23,24,28-31.
Afección del parénquima pulmonar (tabla 1)
Existe una menor incidencia de aparición de granulomas y de cavitación en los pacientes positivos para el VIH con marcada inmunodepresión, debido al escaso número y función de los linfocitos, pudiendo aparecer la cavitación sólo en aproximadamente el 10-15% de los pacientes, frente al 40% de la población general23,32.
También es menor la presencia de lesiones fibrocicatrizales en los pacientes con VIH, así como la presencia de nódulos pulmonares y de calcificaciones.
La forma más frecuente de afección pulmonar en pacientes con inmunodepresión avanzada es la enfermedad difusa bilateral (40%), que puede ser alveolar, intersticial o mixta. Pueden aparecer formas localizadas en el 20%. En cuanto a la localización de las lesiones, no existe predisposición especial por la afección de los lóbulos superiores.
La afección miliar es mucho más frecuente en pacientes positivos para el VIH9,13,23, siendo en algunas series hasta 40 veces más frecuente que en la población general.
Algunos autores mencionan una forma llamada tuberculosis primaria progresiva que inicialmente revela alteraciones morfológicas propias de una primoinfección, y después evoluciona sin intervalo libre hacia formas secundarias, con tendencia a la diseminación tanto torácica como generalizada.
Adenopatías
Las adenopatías son el hallazgo radiológico más frecuente9,13,23. Tienen una alta prevalencia en los pacientes positivos para el VIH: el 48% frente al 12% en los negativos, siendo su localización más frecuente las hiliares, las paratraqueales, la ventana aortopulmonar y las subcarinales (tabla 2) (fig. 20).
Fig. 20. Tuberculosis ganglionar en un paciente positivo para el VIH. La radiografía de tórax posteroanterior revela adenopatías hiliares derechas y en el mediastino superior; no existe evidencia de lesión pulmonar.
La TAC aumenta la detección de adenopatías y, al igual que en los pacientes inmunocompetentes, en el estudio de TAC con contraste intravenoso suelen presentar realce periférico y zona central de baja atenuación12,13,23.
Se considera que no existen adenopatías torácicas banales en pacientes positivos para el VIH, por lo que todo ganglio mediastínico aumentado de tamaño debe ser estudiado exhaustivamente para su filiación etiológica, ya que su diagnóstico diferencial es amplio (micobacterias, pneumocystis carinii, linfoma, sarcoma de Kaposi y Criptococcus neoformans como causas más probables)9.
Enfermedad pleural
En relación con la enfermedad pleural, ésta es ligeramente menos frecuente en pacientes positivos para el VIH, aunque existe disparidad en las conclusiones de los distintos autores en cuanto a su incidencia13,23. De las distintas manifestaciones de lesión pleural (derrame, engrosamiento, neumotórax o absceso de pared), la forma más frecuente es el derrame (tabla 3).
La TAC puede ser útil en pacientes con enfermedad pleural para descubrir focos de patología parenquimatosa subyacente o para estudiar casos en que parecen en grosamientos pleurales16, ya que a veces se trata de derrames encapsulados activos desde el punto de vista microbiológico que pueden evolucionar a fístula broncopleural, sobre todo cuando el engrosamiento es mayor de 2 cm.
Radiografía de tórax normal
Un hallazgo radiológico relativamente frecuente es la existencia de una radiografía de tórax normal en pacientes positivos para el VIH con infección tuberculosa. La frecuencia de aparición varía según distintos autores, oscilando entre el 10 y el 33% de los casos13,23,33,34. Estas diferencias pueden deberse en parte a la diferencia de incidencia de TB en los distintos países y en parte a la forma de los estudios, pues aquellos con resultados más elevados se basan en la búsqueda exhaustiva del diagnóstico.
Es importante recordar que una radiografía de tórax normal en un paciente positivo para el VIH no excluye el diagnóstico de TB, y que el estudio radiológico desempeña un papel complementario junto con la clínica, los tests cutáneos y el cultivo de esputo4,13,25,33.
Por todo ello se debe ser precavido en zonas con una elevada incidencia y en grupos de alto riesgo (sobre todo en pacientes severamente inmunodeprimidos), aunque la baciloscopia sea negativa, para evitar las consecuencias negativas del retraso o del fallo en el diagnóstico.
Cabe señalar que la TAC de tórax en estos casos puede ayudar a la detección de lesiones no visualizadas en la radiografía simple7,10,13,14,19,23, como adenopatías, engrosamiento peribronquial, cavidades en el seno de una consolidación, enfermedad miliar o afección pericárdica. En algunos casos, la TAC ayuda al diagnóstico revelando hallazgos en otras áreas: hepatoesplenomegalia, adenopatías retroperitoneales, etc., o características típicas, como la captación periférica de contraste de las adenopatías, aunque en ningún caso estos hallazgos son específicos, ya que pueden observarse en otros procesos, como el linfoma, etc.
Aunque la TB pulmonar en pacientes positivos para el VIH adultos probablemente se debe a reactivación o reinfección, la radiografía a menudo sugiere enfermedad primaria, en especial si el paciente está severamente inmunodeprimido, presentando una alta frecuencia de radiografía de tórax normal, adenopatías y de patrón miliar en comparación con la población general, y una menor incidencia de cavitación, cicatrices parenquimatosas, pérdida de volumen y calcificaciones.
























