El eritema nudoso es la variedad clínico-patológica más frecuente de paniculitis aguda. Es una reacción de hipersensibilidad celular retardada, desencadenada por estímulos antigénicos muy diversos: infecciones, enfermedades inflamatorias, autoinmunes, fármacos, neoplasias y embarazo, entre otros. Se considera una lesión benigna desde el punto de vista dermatológico, ya que evoluciona en varias semanas hacia la curación, sin ulcerarse, ni dejar cicatriz o atrofia, y la recurrencia es infrecuente. Aunque en muchos casos es idiopático, puede ser el primer signo de una enfermedad sistémica y, por lo tanto, un diagnóstico correcto permite establecer un tratamiento etiológico específico.
Ya desde su primera descripción en el año 1789 por el dermatólogo inglés Robert Willan1, se destacaba que las mujeres se afectaban con más frecuencia. Fue Hebra2 en 1860 quien lo consideró una entidad específica, precisó sus características clínicas y propuso la denominación dermatitis contusiforme, debido al color, similar a una contusión, que presentan las lesiones en su evolución.
La mayoría de casos de eritema nudoso aparecen entre la segunda y cuarta décadas de la vida. En la edad infantil, se ha descrito que afecta por igual a ambos sexos, aunque un trabajo reciente con niños hospitalizados de nuestro entorno halló una relación entre niños y niñas de 1,5:13. Tras la pubertad, el eritema nudoso es 6 veces más frecuente en mujeres que en varones4,5.
Su prevalencia varía de unas áreas geográficas a otras, en función de las diferentes etiologías, y la incidencia anual oscila entre 1 y 5 casos por 100.000 habitantes. Se ha estimado que en España puede suponer el 0,38% de todos los pacientes atendidos en un departamento de medicina interna6. En un trabajo realizado en Lugo7, la incidencia anual de eritema nudoso demostrado mediante biopsia en mayores de 14 años fue de 52 casos por millón de habitantes. Al recoger sólo los casos con demostración histológica, probablemente la verdadera incidencia esté subestimada.
EtiologíaAunque con frecuencia es idiopático, se han descrito más de 150 entidades asociadas al desarrollo de eritema nudoso8, si bien la mayoría de ellas se pueden agrupar en 4 o 5 grupos fundamentales (tabla 1). A su vez, las diferentes etiologías han variado su frecuencia en el tiempo y vienen condicionadas por la localización geográfica, que determina la prevalencia de distintas infecciones, y la edad de los pacientes. Así, en la etapa infantil, la mayoría de trabajos consideran la infección estreptocócica como el principal agente causante del eritema nudoso. Por el contrario, en el estudio de Sota et al3 con niños hospitalizados entre los años 1985 y 2003, la tuberculosis fue la causa más frecuente, aunque desde el año 1991 fueron mucho más habituales las infecciones gastrointestinales. En la población adulta, la mayor parte de los casos son idiopáticos, con cifras que oscilan entre el 35% del estudio de Grecia9, y el 37% del estudio realizado en Lugo7. La sarcoidosis, que en las series más antiguas era poco frecuente6, ha ido adquiriendo más peso de forma paralela a la disminución de la infección estreptocócica y de la tuberculosis10; así, en la serie de Lugo, supone la principal causa identificable de eritema nudoso. En esta misma serie, aunque el total de las infecciones suponen casi un tercio de los casos, la tuberculosis fue la causa de sólo el 5% y la infección estreptocócica, del 7%7. Por tanto, la mayoría de infecciones precipitantes del eritema nudoso parecen ser infecciones no estreptocócicas del tracto respiratorio alto.
Principales grupos etiológicos del eritema nudoso
| Infecciones |
| Estreptococo betahemolítico |
| Tuberculosis |
| Enterobacterias: Yersinia, Salmonella, Campylobacter |
| Otros: toxoplasmosis, sífilis, CMV, VEB, VHB, VIH |
| Enfermedades inflamatorias |
| Sarcoidosis |
| Enfermedad inflamatoria intestinal |
| Enfermedad de Behçet |
| Enfermedades tejido conectivo |
| Neoplasias |
| Hematológicas: linfomas |
| Sólidas: carcinomas |
| Fármacos |
| Anticonceptivos orales |
| Antibióticos: penicilinas |
| Analgésicos |
CMV: citomegalovirus; VEB: virus de Epstein-Barr; VH:, virus de la hepatitis B; VIH: virus de la inmunodeficiencia humana.
Otras etiologías, como enterobacterias (Yersinia, Salmonella, Campylobacter), sífilis, toxoplasmosis, virus de Epstein-Barr o citomegalovirus, son menos frecuentes y dependen de aspectos epidemiológicos y geográficos.
Las reacciones de hipersensibilidad a fármacos pueden suponer entre el 3 y el 10% de los casos. Entre ellos deben señalarse los antibióticos, algunos, como la amoxicilina, de uso común, y los anticonceptivos orales, especialmente los de primera generación, con más contenido hormonal11.
Aunque en los adultos el eritema puede preceder a la manifestación de una enfermedad inflamatoria intestinal, en la mayoría de casos suele coexistir con el brote de la enfermedad, generalmente asociado a una colitis ulcerosa12.
Los pacientes con enfermedad de Behçet presentan con frecuencia lesiones clínicas indicativas de eritema nudoso. Sin embargo, al realizar estudios histopatológicos, algunos autores demuestran que la lesión se corresponde con una paniculitis lobar con vasculitis en lugar de una septal, como es característico del eritema nudoso13.
PatogeniaNo se conoce con exactitud la patogenia del eritema nudoso. Se considera que la lesión representa una respuesta de hipersensibilidad frente a una gran variedad de estímulos antigénicos, ante los cuales se expresaría una reacción cutánea similar. Se ha indicado un mecanismo basado en la formación de inmunocomplejos y su depósito en torno a las vénulas del tejido conjuntivo septal de la grasa subcutánea. En los pacientes con eritema nudoso, se ha demostrado la presencia de inmunocomplejos circulantes y la activación del complemento14, y las técnicas de inmunofluorescencia muestran el depósito de inmunoglobulinas en las paredes de los vasos septales15. Por el contrario, otros autores no encuentran un aumento de inmunocomplejos circulantes16, por lo que la respuesta de hipersensibilidad retardada tipo IV desempeñaría el principal papel patogénico en esta entidad, ya que con frecuencia coexiste con enfermedades granulomatosas, como sarcoidosis, tuberculosis y colitis granulomatosa.
En los últimos años se ha destacado el papel que los leucocitos polimorfonucleares activados podrían desempeñar en la patogenia del eritema nudoso. Estos neutrófilos activados liberarían una serie de mediadores (ROI, del inglés reactive oxygen intermediates), que favorecerían la oxidación tisular y promoverían la inflamación. Algún trabajo demuestra un aumento de estos mediadores ROI en sangre periférica de pacientes con eritema nudoso, en comparación con los individuos sanos, e incluso una relación entre el porcentaje de células productoras de estos mediadores y la gravedad del eritema nudoso17.
Más recientemente, debido al papel que el factor de necrosis tumoral (TNF) desempeña en las reacciones granulomatosas, se ha relacionado la presencia de eritema nudoso asociado a sarcoidosis con la producción de un TNF alfa alterado (TNF-αII) por un polimorfismo en el promotor del gen18.
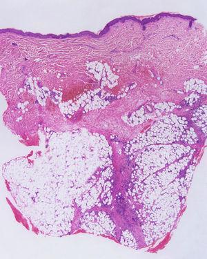
HistopatologíaLa lesión histopatológica característica del eritema nudoso es la paniculitis septal. Los septos están engrosados y hay un infiltrado de células inflamatorias que se extiende hasta las áreas periseptales de los lobulillos grasos (fig. 1). En ocasiones, este infiltrado parece extenderse hacia el centro del lobulillo y puede confundirse con una paniculitis lobulillar; sin embargo, a diferencia de ésta, nunca se produce necrosis de los adipocitos del lobulillo. El tipo de infiltrado varía en función de la antigüedad de la lesión. En las más tempranos hay predominio de neutrófilos que rodean los capilares y se pueden producir fenómenos hemorrágicos y edema. Este infiltrado se sustituye posteriormente por linfocitos, histiocitos, células gigantes multinucleadas, fibrosis y, en ocasiones, granulomas (fig. 2). Uno de los hallazgos histopatológicos más característicos del eritema nudoso es la presencia de los granulomas radiales de Miescher19,20. Constituidos por agregados nodulares de histiocitos en torno a un espacio de aspecto estrellado, se rodean de neutrófilos y están situados en el límite entre el septo afectado y el lobulillo. No se conoce la naturaleza de la estructura estrellada central de estos granulomas, y aunque se han considerado espacios linfáticos, estudios recientes han demostrado expresión de mieloperoxidasa y, por tanto, un posible papel de las células mieloides21. Son más habituales en las lesiones agudas, aunque pueden observarse en todos los estadios evolutivos y para algunos autores su presencia se considera un dato específico para el diagnóstico de eritema nudoso8; para otros, sin embargo, pueden haber lesiones similares en el síndrome de Sweet, eritema indurado de Bazin o en la enfermedad de Behçet22.
Otro de los aspectos que diferencia el eritema nudoso frente a otras paniculitis es la ausencia de vasculitis (fig. 3). En el clásico trabajo de Sánchez Yus et al19, no se observó vasculitis leucocitoclástica en ninguno de los 79 casos de eritema nudoso analizados, y sólo en 18 casos había discretas alteraciones inespecíficas en algunas vénulas. Sin embargo, algún estudio con microscopía electrónica ha mostrado necrosis de células endoteliales de los pequeños vasos de los septos en algunos pacientes con eritema nudoso no asociado a enfermedad de Behçet23.
Durante la evolución de la lesión, los septos se engrosan, desarrollan fibrosis y aparecen granulomas, y los lobulillos se reducen al quedar englobados entre los septos fibrosos. En estas fases puede ser difícil distinguir si se trata de una paniculitis septal o lobulillar. A pesar de la intensa fibrosis, la lesión se resolverá en unas semanas sin dejar cicatriz ni atrofia.
Manifestaciones clínicasEl diagnóstico clínico del eritema nudoso resulta relativamente sencillo, porque la lesión presenta un aspecto muy característico. Los nódulos eritematosos aparecen de forma súbita, son dolorosos, calientes, con un tamaño que varía entre 1 y 5cm, generalmente con una distribución simétrica y bilateral. Inicialmente presentan un color rojo brillante y pueden confluir formando placas ligeramente elevadas (fig. 4); en los días siguientes, se tornan purpúricos y se aplanan, y en las fases más avanzadas adquieren una coloración amarillenta-violácea semejante a un hematoma. Esta coloración tardía, semejante a una contusión, es muy característica y facilita el diagnóstico. En la mayoría de los casos, las lesiones se localizan en la región pretibial, aunque pueden verse afectadas otras regiones, como las superficies de extensión de antebrazos, muslos y tronco. En su evolución no es común la ulceración y, como se ha comentado, los nódulos curan sin dejar cicatriz ni atrofia en uno o 2 meses5,8.
De una a 3 semanas antes de la aparición del eritema, el paciente puede presentar pródomos, consistentes en febrícula, malestar, astenia, pérdida de peso, tos, artralgias e incluso artritis. Aparece fiebre en la mitad de los casos y la afectación articular puede persistir hasta 2 años después de la resolución del eritema11,24.
El eritema nudoso es una de las principales manifestaciones cutáneas de la sarcoidosis y puede aparecer en la fase aguda de la enfermedad, junto con adenopatías hiliares bilaterales en la radiografía de tórax. Esta asociación configura el denominado síndrome de Löfgren25, de curso benigno y más frecuente en mujeres. Juntamente con el eritema nudoso, son frecuentes las poliartralgias, que cursan de forma aditiva y simétrica, y afectan fundamentalmente a tobillos y rodillas26. En ocasiones no hay una artritis auténtica, pero resulta característica la tumefacción y el edema del tejido periarticular en tobillos. Las adenopatías hiliares bilaterales suelen coexistir con el eritema nudoso, aunque en algunos casos sólo son evidentes unas semanas después en la radiografía de tórax10. La distribución simétrica de estas adenopatías permite establecer el diagnóstico diferencial con otras entidades, también asociadas al eritema nudoso, como tuberculosis, linfoma o metástasis, que cursan con una distribución asimétrica de las adenopatías hiliares.
Desde el punto de vista clínico, se han descrito algunas variantes del eritema nudoso, entre ellas se incluye el eritema nudoso migrans27, la paniculitis migratoria nodular subaguda de Vilanova y Piñol28 y el eritema nudoso crónico29. Sin embargo, para muchos autores posiblemente estas lesiones son expresiones de los distintos estadios evolutivos del propio eritema nudoso y no tienen suficientes diferencias clínicas e histopatológicas para considerarlas entidades diferenciadas8,22.
DiagnósticoEl diagnóstico clínico del eritema nudoso suele ser sencillo en la mayoría de los casos. A pesar de ello, algunos expertos recomiendan realizar siempre biopsia de la lesión, ya que ésta permite confirmar el diagnóstico al excluir otras enfermedades de presentación similar, como la vasculitis nodular, la panarteritis nudosa cutánea, el eritema indurado de Bazin o el linfoma subcutáneo7. Además, en regiones donde la tuberculosis es endémica, la biopsia puede permitir la detección del microorganismo mediante el cultivo de la muestra30. Para otros autores, la biopsia sólo debería realizarse en los casos de clínica dudosa (ulceración, localización atípica o curso prolongado), o en aquéllos en que se plantee el uso de glucocorticoides10,11 y no estaría claramente indicada cuando se sospeche un eritema nudoso en el contexto de un síndrome de Löfgren31. Si se decide realizarla, se debe intentar obtener una muestra lo suficientemente profunda, y es preferible hacerla en la fase aguda, donde las características histopatológicas son más evidentes y, por tanto, el diagnóstico resulta más sencillo.
El interés del eritema nudoso no sólo reside en obtener una correcta aproximación diagnóstica a la lesión cutánea, ya que ésta en la mayoría de las ocasiones tiene un pronóstico excelente. El verdadero reto radica en alcanzar el diagnóstico de los posibles procesos extracutáneos y sistémicos asociados para poder establecer un tratamiento específico. De hecho, no hay ningún dato que indique en qué pacientes con eritema nudoso es probable la existencia de una enfermedad subyacente asociada. Asimismo, como la lista de posibles etiologías es extensa, es necesario definir qué estudios adicionales deben realizarse a los pacientes con eritema nudoso, para así conseguir una aproximación diagnóstica que sea coste-eficaz. De acuerdo a estas premisas, se ha propuesto realizar a todo paciente con eritema nudoso los estudios siguientes6–8 (fig. 5):
- 1.
Historia clínica y exploración física, donde especialmente se considerarán los datos siguientes: a) episodios previos similares que indiquen nódulos recurrentes; b) consumo de fármacos, en especial anticonceptivos orales, antibióticos y antiinflamatorios; c) gestación reciente; d) síntomas y signos compatibles con faringitis u otras infecciones del tracto respiratorio superior; e) historia de diarrea crónica con datos de inflamación que indique una posible enfermedad inflamatoria intestinal, o brotes agudos que indiquen una posible infección intestinal; f) síntomas y signos compatibles con enfermedades autoinflamatorias, úlceras orales y genitales o uveítis en el caso de la enfermedad de Behçet, y signos de artritis o tumefacción periarticular en tobillos que orienten a sarcoidosis, y g) presencia de adenopatías o visceromegalias que indiquen linfomas o neoplasias sólidas.
- 2.
Pruebas complementarias, que deberán incluir: a) hemograma (ya que la presencia de anemia puede indicar ciertas etiologías, como enfermedad inflamatoria intestinal u otros procesos crónicos), bioquímica elemental y velocidad de sedimentación globular, que en niños se correlaciona con el número de lesiones cutáneas32; b) cultivo faríngeo que demuestre presencia de estreptococo, pero dado que el eritema nudoso puede aparecer 2-3 semanas tras el episodio de faringitis32, el cultivo puede ser negativo, por lo que se debe completar con la determinación del título de antiestreptolisina O (ASLO). Dos determinaciones consecutivas separadas entre 2 y 4 semanas, con un aumento del 30% en la segunda determinación se considera significativo. El desarrollo de las técnicas de reacción en cadena de la polimerasa (PCR) en tiempo real es actualmente una alternativa prometedora para el diagnóstico de la faringitis por estreptococos del grupo A. Con alguna de estas pruebas de PCR se alcanza una sensibilidad del 93% y una especificidad del 98%, con un valor predictivo positivo y negativo del 88 y 99%, respectivamente, lo que supone una buena alternativa a las técnicas rápidas de detección de antígeno por inmunoanálisis para el diagnóstico de las faringitis estreptocócicas33. Sin embargo, esta tecnología no está aún disponible para todos los clínicos; c) radiografía de tórax, donde se pueden observar adenopatías hiliares bilaterales que indiquen un síndrome de Löfgren u otros signos que apoyen el diagnóstico de tuberculosis. En los casos con sospecha de sarcoidosis no se recomienda la determinación de los valores de la enzima de conversión de la angiotensina (ECA), que son normales hasta en el 50% de las sarcoidosis en su fase aguda, y tampoco se recomienda por su baja sensibilidad y especificidad el uso sistemático de la gammagrafía con galio 6710, y d) prueba cutánea de la tuberculina, que si bien puede ser positiva con frecuencia en áreas con alta prevalencia de infección latente, permite detectar los casos de tuberculosis asociada a eritema nudoso, en algunos de los cuales no hay foco evidente de infección.
En resumen, una anamnesis y una exploración correctamente dirigidas, junto a unas pocas pruebas complementarias, permiten establecer la sospecha de enfermedad subyacente al eritema nudoso.
TratamientoAunque el eritema nudoso suele ser una entidad benigna y autolimitada que cura sin dejar secuelas, puede ser muy dolorosa. Por tanto, el tratamiento tendrá un doble objetivo: a) el tratamiento específico de la enfermedad subyacente, siempre que sea posible, y b) el tratamiento sintomático de la lesión cutánea y las manifestaciones asociadas. Para este último aspecto, la mayoría de los datos disponibles proceden de estudios observacionales sobre series de casos, por lo que establecer unas recomendaciones de tratamiento concretas es difícil y, con frecuencia, éste depende de la experiencia y las preferencias del clínico responsable del paciente.
En muchas ocasiones, el reposo en cama es suficiente para la resolución del eritema, cuando el reposo es ineficaz puede utilizarse aspirina u otros antiinflamatorios no esteroideos (AINE), como indometacina en dosis de 100–150mg/día34, o naproxeno a dosis de 500mg/día35. En los casos en que pueda haber una enfermedad de Crohn subyacente, deben evitarse los AINE, ya que pueden desencadenar o empeorar los brotes de la enfermedad.
En las situaciones en que la lesión sea persistente o no se logre un control de los síntomas con AINE, puede ser eficaz utilizar ioduro potásico, un fármaco conocido desde hace más de 150 años y «redescubierto» para el tratamiento de ciertas paniculitis. Dosis entre 400 y 900mg/día durante un mes producen mejoría en un grupo importante de pacientes36–38. No se conoce con exactitud el mecanismo de actuación de este fármaco, que, entre otras acciones, podría inhibir la quimiotaxis de los neutrófilos39. En los pacientes que reciban este tratamiento, se recomienda el seguimiento de la función tiroidea, ya que se han descrito casos de hipotiroidismo40–42, y su utilización en gestantes está contraindicada por el riesgo de inducir bocio en el feto43.
Aunque se ha descrito la utilización de glucocorticoides en pacientes con eritema nudoso, especialmente en aquéllos con síntomas consuntivos, fiebre, lesiones muy extensas y dolorosas o artritis, su indicación y dosis son controvertidas. No deben utilizarse si hay sospecha de infección subyacente, especialmente debe descartarse tuberculosis, y pueden enmascarar una enfermedad inflamatoria o neoplásica subyacente. Las dosis propuestas son variables y oscilan entre 40 y 60mg/día de prednisona8,11.
En algunos casos de eritema nudoso asociado a enfermedad de Behçet se ha utilizado también la colchicina con resultados satisfactorios44–46. La hidroxicloroquina también parece ser una alternativa útil para algunos pacientes47,48.
Un aspecto de especial interés y controversia es el tratamiento de los pacientes con eritema nudoso y prueba de la tuberculina positiva. Algunos autores defienden instaurar tratamiento antituberculoso a todo paciente con eritema nudoso y prueba de Mantoux positiva, independiente de la existencia o no de foco de infección evidente11. Un trabajo realizado hace pocos años en la India evaluó de forma retrospectiva la utilidad del tratamiento antituberculoso en los pacientes con eritema nudoso y Mantoux superior a 15mm de induración49. De los 47 pacientes que recibieron tratamiento antituberculoso con 3 o 4 fármacos, en 45 no aparecieron nuevas lesiones de eritema nudoso y en los otros 2 las lesiones fueron menos numerosas y menos sintomáticas. Para estos autores, la existencia de un Mantoux fuertemente positivo indica la existencia de un foco de infección no detectado con las técnicas habituales de diagnóstico, y el tratamiento evitaría en los pacientes con eritema nudoso la progresión de la infección a otros órganos. A la hora de interpretar estos resultados, debe tenerse en cuenta que el estudio se realizó en la India, donde aún hoy, como en otros países en vías de desarrollo, la tuberculosis es muy prevalente y con frecuencia se asocia a eritema nudoso. Asimismo, todos los pacientes incluidos presentaban eritema nudoso de más de 3 meses de evolución y con recurrencias frecuentes. Los resultados no pueden extrapolarse fácilmente a todas las áreas geográficas, ni a todos los tipos de eritema nudoso. Tampoco se ha establecido si en estos casos sería suficiente la instauración de un tratamiento con un solo fármaco, como isoniacida durante 6 o 9 meses, como realizaríamos ante una infección latente. Por tanto, creemos que el verdadero papel del tratamiento antituberculoso en el eritema nudoso, donde se observa infección tuberculosa mediante prueba de Mantoux, está aún por establecer en nuestro medio.










