¿ INTRODUCCIÓN
Las neoplasias malignas no odontógenas de los maxilares, tanto primarias como metastásicas, son poco frecuentes si se comparan con las que se originan en los tejidos blandos circundantes, cuando se diagnostica la presencia de un tumor maligno en alguno de los maxilares, tienen implicaciones muy graves en el pronóstico y frecuencia, la intervención quirúrgica está indicada en estos casos. Tumores como osteosarcomas de mandíbula y maxilar, predominan más en hombres con 62%, que en mujeres y afectan casi de igual proporción en el maxilar (51%) que en la mandíbula (49%). En la mandíbula tienen mayor predominio en el cuerpo mandibular (60%) y con menor frecuencia en sínfisis, ángulo, rama ascendente y articulación temporomandibular.1
La remoción de tumores mandibulares, representa un desafío para los oncólogos tanto en la enfermedad primaria como en su rehabilitación. La resección de la mandíbula se puede dividir en parcial o segmentada, en ocasiones con porciones de la lengua, de piso de boca o de cadenas ganglionares. La pérdida de la continuidad mandibular tiene como secuelas alteraciones en la fonación, masticación, deglución, incontinencia salival, desvío del fragmento mandibular residual, pérdida de identidad (desfiguramiento facial), todo esto hace que en ocasiones el paciente se aparte de su familia y amigos, por lo que también afecta su estado psicosocial.2
En los siguientes casos, la reconstrucción mandibular está indicada:
1. Hemimandibulectomía
2. Pérdida del arco mandibular
3. Mandibulectomía total
Para el tratamiento de la resección mandibular existen en el mercado diferentes materiales y técnicas que se pueden emplear en la rehabilitación mandibular:
1. Clavo de Kirshner
El clavo de Kirshner, se puede moldear dando la dimensión correcta a la curvatura mandibular, tomando en cuenta los puntos de análisis cefalométrico de Ricketts,3 para su mejor adaptación e implantación en el momento de ser utilizado en el quirófano.
Este tipo de material se puede moldear en quirófano, pero no nos proporciona una estabilidad al fragmento mandibular, en muchas ocasiones se expone, por lo que como consecuencia lleva a infecciones y finalmente el retiro del material.
2. Placas de titanio
Las placas de titanio hoy por hoy son un material bien aceptado para casi cualquier tipo de resección mandibular, las placas proporcionan estabilidad suficiente, aunque en ocasiones es recomendable utilizar doble placa, dependiendo de la extensión de la resección mandibular.
Se cuenta también con implantes condilares que mejoran el implante y se obtiene mayor estabilidad a la apertura y cierre mandibular.4
3. Regeneración ósea guiada
Está indicada cuando se realiza el corte de algún segmento de hueso, la regeneración ósea guiada permite la formación de la parte faltante de hueso; podemos encontrar hueso en dos versiones, cortical y esponjoso, con diferente resistencia mecánica a las fracturas. Tipos de hueso sintético:
Hueso bovino: origen de hueso natural desantigenizado a alta temperatura superior a 800°C. Utilizaciones: en cirugía oral y maxilofacial para reconstrucción.
Hueso equino: origen natural desantigenizado a una temperatura de 125°C; no presenta fase de calcinación clasificado como tejido óseo de injerto. Utilizaciones: en ortopedia, neurocirugía, cirugía oral y maxilofacial.
Especialmente se utiliza para la reconstrucción del hueso frontal, cigomático, ángulo mandibular, occipital, parietal, senos maxilares, piso y techo de orbitas, etc.
La combinación de las texturas hace que la absorción y adaptación sea en poco tiempo; el hueso sintético esponjoso tiene un tiempo de 4 a 6 semanas y el cortical de 8 a 12 semanas para su completa absorción, la desventaja para algunos pacientes es su alto costo.5
4. Metilmetacrilato (acrílico)
El metilmetacrilato es considerado como parte de los materiales médicos para implantes, este material puede ser aceptado por periodos más o manos prolongados en el cuerpo humano, teniendo en cuenta las características fisicoquímicas del material que compone el diseño y elaboración de la prótesis (implante), implica una interacción entre el material y el tejido vivo, por lo que nos conduce a llevar una evaluación de los aspectos relacionados con disfuncionalidad y biocompatibilidad que conlleva a los procesos y respuestas fisiopatológicas de la interacción con el ambiente biológico.
El metilmetacrilato es ideal para este tipo de reconstrucción, ya que favorece la osteointegración sin producir metalosis, corrosión o biodegradación de la superficie, es un material compatible, no tóxico, no cancerígeno, no alérgeno, tiene compatibilidad mecánica, además de resistencia a la presión, tracción y flexión.6
Especialidades como la ortopedia, cirugía plástica y reconstructiva, y ahora en el área de la oncología, han obtenido muy buenos resultados funcionales y cosméticos.
Antes de insertar un implante es importante tener en cuenta lo siguiente:
- Tener el suficiente tejido para poder cubrir el implante.
- El tejido sobre el que vamos a colocar este implante debe estar sano, no fibroso ni isquémico.
- No debe haber alteraciones patológicas.7
No en todos los casos se puede realizar una evaluación primaria para la rehabilitación, sin embargo, un análisis de estudio cefalométrico convencional de Ricketts,3 Shwarz8 y de Strang-Thompson,9 utilizados en la valoración de tratamientos ortodónticos, donde podemos localizar los puntos que con mayor frecuencia son desinsertados en la intervención quirúrgica, los cuales nos servirán de base para el diseño del implante (Figuras 1 y 2).
Figura 1. Puntos de estudio cefalométrico.
Figura 2. Guía de reconstrucción mandibular.
Este método nos ayuda a tener las dimensiones protésicas para la colocación del implante.
Actualmente, se utilizan diferentes tipos de prótesis en diversas partes del cuerpo, lo cual requiere de materiales que sean moldeados o construidos en diversas formas y tamaños. Entre los materiales empleados en la elaboración de implantes para restaurar defectos posteriores a una cirugía, se clasifican en materiales de implantación naturales y artificiales, dentro de los artificiales se encuentran los materiales aloplásticos como el metilmetacrilato.
El metilmetacrilato es un material termopolimerizable para la elaboración de prótesis de alto impacto con manipulación convencional con base en polimetilmetacrilato de metilo (PMMA) para la técnica de empaquetado.10 Se utiliza para prótesis totales y parciales.
¿ CARACTERÍSTICAS QUE DEBE REUNIR LA PRÓTESIS IDEAL* No ser modificado por los tejidos
* No causar reacción inflamatoria o de cuerpo extraño
* No producir estados de alergia o hipersensibilidad
* Ser químicamente inerte
* No ser carcinógeno
* Ser capaz de soportar esfuerzos y tensiones
* Poder ser fabricado en la forma deseada
* Ser esterilizable
¿ MATERIAL Y MÉTODO
El material que se eligió fue el metilmetacrilato, por su bajo costo y fácil manipulación.
El manejo del material se realiza según el fabricante, esto es que depende de la marca, la manipulación tiene que ser estrictamente como se describe en las instrucciones de uso.
Se debe hacer un modelo de la prótesis en cera, misma que se presenta en junta terapéutica con los oncólogos para determinar los márgenes y afinar detalles.
En el laboratorio se procede a la fabricación de la prótesis:
1. El modelo en cera se coloca en una mufla con yeso, para obtener el negativo.
2. Se manipula el metilmetacrilato (polvo y líquido) como lo indica el fabricante.
3. Se vierte en el negativo de yeso.
4. Se procede a la polimerización del material con el método de "baño María".
5. Se abre la mufla y se obtiene el implante.
6. Se pule, tratando de dejar algunas zonas con cierta rudeza.
7. Se esteriliza en gas.10
¿ CASO CLÍNICO
Paciente masculino de 26 años de edad, portador de tumor mixto en mandíbula (Imagen 1).
Imagen 1. Paciente con tumor mixto en el cuerpo mandibular.
Cirugía programada: hemimandibulectomía izquierda. Reconstrucción inmediata con implante de metilmetacrilato (Imagen 2).
Imagen 2. Prótesis mandibular elaborada con metilmetacrilato.
¿ ANÁLISIS DEL CASO
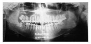
El paciente presenta tumor en el cuerpo mandibular (Imagen 3 se realizó hemimandibulectomía del lado izquierdo, con reconstrucción inmediata a través de la colocación de un implante de la rama mandibular afectada, la fijación se realizó con placa de titanio (Imágenes 4 y 5).
Imagen 3. Ortopantomografía. Imagen radiográfica donde se muestra el grado de extensión de la lesión en el cuerpo de la mandíbula.
Imagen 4. Resección quirúrgica de la hemimandíbula afectada, con amplio margen de seguridad e implante mandibular de metilmetacrilato.
Imagen 5. Colocación de una prótesis mandibular interna, de metilmetacrilato, confeccionada previamente.
En este caso en particular evitamos la desviación mandibular por la colocación inmediata del implante (Imagen 6).
Imagen 6. Paciente 6 días después de la cirugía, se evitó la desviación mandibular por la colocación inmediata del implante.
Después de un mes, el paciente tiene una apertura bucal de 3 cm, considerado una apertura normal (Imágenes 7 y 8).
Imagen 7. Paciente mostrando la apertura bucal.
Imagen 8. Paciente con un mes de evolución.
Después de seis meses el paciente se presenta a su cita para observar su evolución, ya sin inflamación de los tejidos y se comprueba la apertura y cierre mandibular. El paciente puede comer, deglutir y hablar sin dificultad.
¿ CONCLUSIONES
En este caso en particular podemos concluir que los pacientes que presentan tumores en la región mandibular, pueden ser rehabilitados con implantes mandibulares de metilmetacrilato, sin representar un costo excesivo, además es un material adaptable y con buena aceptación en los tejidos circundantes, mejorando la calidad de vida del paciente. Una opción médica, que contribuye a dignificar las profesiones en favor de la salud y a la Institución que lo desarrolla. Opción que puede ser hoy ofrecida a la comunidad, en especial a los enfermos que padecen un trastorno tan mutilante.











