El término acrometástasis se utiliza para definir a las metástasis distales de codos y rodillas, son poco comunes, y solo representan el 0.1% de todas las lesiones óseas metastásicas. El adenocarcinoma endometrioide (AE) es el cáncer más frecuente en el tracto genital femenino en los países desarrollados. Las metástasis óseas son raras en el AE.
Reporte de casoMujer de 57 años, que inicia con sangrado transvaginal, ultrasonido y biopsia de endometrio con reporte de AE moderadamente diferenciado, tratada inicialmente con histerectomía, linfadenectomía pélvica bilateral y paraaórtica más radioterapia externa 50.4Gy, y braquiterapia intracavitaria. Seis meses después refiere dolor en tobillo izquierdo e incapacidad para la deambulación. Se realiza tomografía axial computarizada donde se observa lesión lítica expansiva de predominio en astrágalo. Por lo que se biopsia ósea con reporte de AE moderadamente diferenciado metastásico, se inicia tratamiento con radioterapia 30Gy, se difiere el apoyo e inicia quimioterapia paliativa con paclitaxel y carboplatino en 6 ciclos, así como, aplicación mensual de ácido zoledrónico. Actualmente, a 12 meses de seguimiento, la paciente presenta buena evolución, sin dolor en tobillo izquierdo y tolerando la deambulación.
ConclusiónLa estrategia de tratamiento en pacientes con acrometástasis aisladas continúa siendo motivo de controversia, existen pocos casos descritos en la literatura. Se considera habitualmente a la radioterapia externa como el manejo de elección de estas lesiones. Las acrometástasis son extraordinariamente raras, sin embargo debemos tenerlas en cuenta en aquellos pacientes con cáncer que presentan dolor intenso en manos y pies, sin causa aparente.
The term acrometastasis is given to those metastases distal to the elbows and knees. They are rare and account for only 0.1% of all metastatic bone lesions. Endometrioid adenocarcinoma (EA) is the most frequent in the female genital tract cancer in developed countries. Bone metastases are rare in EA.
Case reportA 57 year old female 57 years presenting with trans-vaginal bleeding (TVB). The ultrasound and endometrial biopsy reported a moderately differentiated AE. This was initially treated with a hysterectomy, bilateral pelvic and para-aortic lymphadenectomy plus 50.4Gy external radiotherapy, and intracavitary brachytherapy. Six months later she complained of pain in left ankle and inability to walk. Computed tomography showed an expansive lytic lesion, predominantly in the talus. As the bone biopsy reported a moderately differentiated metastatic endometrioid adenocarcinoma, treatment is initiated with radiotherapy of 30Gy. Support was deferred and palliative chemotherapy started with paclitaxel and carboplatin in six cycles, as well as monthly application of zoledronic acid. Currently, after twelve months follow-up the patient has made good progress, with pain in left ankle, and tolerating walking.
ConclusionThe treatment strategy in patients with isolated acrometastasis remains controversial, and there are few cases described in the literature. External radiotherapy is usually considered as treatment of choice for these lesions. Acrometastasis is rare but should be taken into account in patients with cancer, who have unexplained severe pain in hands and feet.
Se define como acrometástasis a aquellas metástasis óseas distales de codos y rodillas1. La primera descripción de estas fue realizada por Handley en 1906, en una lesión en mano2, y en 1920 Bloodgood publicó el primer reporte de metástasis en el pie3.
La enfermedad ósea metastásica es cada vez más diagnosticada en los pacientes con cáncer; sin embargo, las acrometástasis tan solo representan el 0.1% de todas las lesiones óseas metastásicas1. En la actualidad, el cáncer de pulmón representa el 50% de los casos publicados de acrometástasis1.
El adenocarcinoma endometrioide (AE) es el cáncer más frecuente en el tracto genital femenino en los países desarrollados4,5. El primer síntoma que se presenta es el sangrado transvaginal entre el 75-90% de los casos, y la mayoría de las pacientes, al diagnosticarse, se encuentran en una etapa temprana (70-80% en estadio i)4,5.
Los sitios más frecuentes de metástasis del AE son ganglios linfáticos, hígado y pulmones; mientras que las metástasis óseas son raras, con una frecuencia entre el 2-15%, encontrándose estas principalmente en vertebras, pelvis, costillas y esternón4,5.
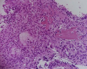
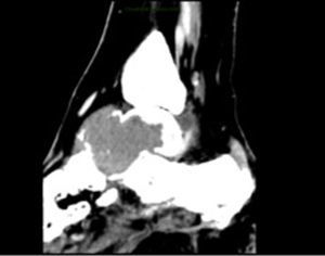
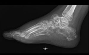
Caso clínicoPaciente mujer de 57 años de edad, que inicia cuadro clínico con sangrado transvaginal y dolor pélvico, por lo cual acude a valoración, se realizan estudios de extensión, entre ellos ultrasonido y toma biopsia endometrial, con reporte de AE y, por lo tanto, se le realiza histerectomía, linfadenectomía pélvica bilateral y paraaórtica con reporte histopatológico de adenocarcinoma endometrial de tipo endometrioide moderadamente diferenciado (G2), que infiltra a 0.1cm de la superficie serosa del útero, con extensión a ambos parametrios, con permeación linfovascular presente, sin evidencia de lesión en márgenes quirúrgicos, adenopatías negativas (EC II FIGO), por lo que recibe tratamiento con radioterapia externa 50.4Gy y braquiterapia intracavitaria. Durante su seguimiento, a 6 meses de terminado el tratamiento, refiere dolor intenso y edema en tobillo izquierdo, así como incapacidad para la deambulación. En las radiografías solicitadas observamos disminución en la densidad ósea de los huesos del tarso, y alteración en la morfología del hueso astrágalo (fig. 1). La tomografía axial computarizada de dicha región muestra lesión lítica expansiva de predominio en astrágalo con extensión a partes blandas y huesos del tarso (fig. 2), PET-CT con 18F-fluordesoxiglucosa (FDG) con actividad tumoral a nivel de hueso astrágalo izquierdo con lesión lítica expansiva y afección de tejido blandos adyacentes (fig. 3). Por tal motivo se le realiza biopsia de astrágalo con reporte histopatológico de AE moderadamente diferenciado metastásico (fig. 4). Se inicia tratamiento con radioterapia 30Gy en 10 fracciones, se difiere el apoyo y quimioterapia paliativa con paclitaxel y carboplatino en 6 ciclos, así como aplicación mensual de ácido zoledrónico, hasta completar 6 dosis. Actualmente, a 12 meses de detectada la enfermedad en el astrágalo izquierdo, la paciente presenta buena evolución, sin progresión de la enfermedad y tolerando la deambulación sin dolor (figs. 5 y 6).
Presentamos un caso de AE moderadamente diferenciado, con acrometástasis en astrágalo, condicionando dolor intenso y limitación funcional en la paciente, por lo que es manejada con quimioterapia paliativa, radioterapia y ácido zoledrónico. Estas medidas llevaron a la mejoría funcional de la paciente.
La estrategia de tratamiento en pacientes con acrometástasis aisladas continúa siendo motivo de controversia, ya que existen pocos casos descritos disponibles en la literatura, y de estos casos, los sitios afectados son diferentes. Por tal motivo, el tratamiento debe ser individualizado a cada paciente. Sin embargo, la estrategia comúnmente descrita para el manejo de estas lesiones en todos los reportes, consideran a la radioterapia como el tratamiento de elección para las acrometástasis1,6–9,10. Algunos autores sugieren la asociación de esta con bifosfonatos, en especial con el ácido zoledrónico, si las condiciones del paciente lo permiten9,10,11.
A pesar de la rareza de las acrometástasis, es necesario tener un alto índice de sospecha en pacientes con antecedente de cáncer, que presentan dolor e inflamación en manos y pies, sin causa aparente8.
El astrágalo es un hueso singular en cuanto a sus características anatómicas. Sin inserciones musculares o tendinosas en su superficie, esta se encuentra recubierta de cartílago entre un 60-70% de su extensión, manteniéndose en su posición gracias a las estructuras capsulares, ligamentosas y sinoviales que le unen a los huesos adyacentes. La arteria tibial posterior proporciona la mayor parte del aporte vascular intraóseo, al que también contribuyen en menor medida la arteria tibial anterior y la rama perforante anterior de la arteria peronea12,13. La cúpula del cuerpo del astrágalo se considera la parte más vulnerable al compromiso vascular, al carecer de una arteria nutricia propia, ser un hueso más denso y, por tanto, menos penetrable para la red vascular intraósea, y depender casi exclusivamente del aporte vascular de los pequeños vasos de las partes blandas que la rodean14. Todo esto condiciona que las metástasis en dicho sitio sean aún más raras.
En conclusión, la incidencia de metástasis óseas del AE es baja y, usualmente, conlleva un pobre pronóstico. Las acrometástasis son extraordinariamente raras, sin embargo debemos tenerlas en cuenta en aquellos pacientes con cáncer que presentan dolor intenso en manos y pies, sin causa aparente. El astrágalo es un sitio infrecuente de acrometástasis debido a sus características anatómicas.
Conflicto de interesesLos autores declaran no tener ningún conflicto de intereses.







