Paciente varón de 64 años con antecedentes personales de linfoma de Hodgkin clásico y síndrome mielodisplásico subtipo displasia multilínea con necesidad de transfusiones periódicas. Acudió a urgencias por astenia de 2semanas de evolución. Precisó ingreso en hematología tras objetivarse recaída de su linfoma esplénico y óseo. Se inició tratamiento con protocolo BRESHAP, que incluye brentuximab vedotina junto a quimioterapia con etopósido, solumedrol, dosis altas de Ara-C y platino.
A los 8 días de recibir la quimioterapia desarrolló neutropenia (750 neutrófilos/μL), que se hizo grave en 48 h (10 neutrófilos/μL), con elevación de la proteína C reactiva a 350mg/L; apareció fiebre, tos y deterioro del estado general. Se realizó radiografía de tórax en ese momento, sin infiltrados. Se solicitó PCR de exudado nasofaríngeo para VRS, virus influenza A y B, y SARS-CoV-2; todas las pruebas fueron negativas. Se inició tratamiento antibiótico con cefepima, que se escaló a meropenem más amikacina ante la persistencia de la fiebre.
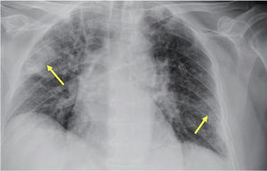
A los 6 días del inicio de la fiebre se consultó con el Servicio de Enfermedades Infecciosas por persistencia de esta, aparición de expectoración herrumbrosa y desarrollo de insuficiencia respiratoria. El paciente persistía con neutropenia severa y, pese al tratamiento antibiótico, la proteína C reactiva había aumentado a 480mg/L. Dos cultivos de esputo y varias tandas de hemocultivos habían sido negativos. Se realizó una nueva radiografía de tórax en la que se objetivaron infiltrados pulmonares periféricos bilaterales (fig. 1).
Evolución y diagnósticoSe inició tratamiento con posaconazol oral y se realizó una determinación en suero de antígeno de galactomanano, que resultó positivo con una reactividad por técnica de ELISA (Platelia Aspergillus®) de 6,34. El paciente presentó un deterioro clínico rápidamente progresivo, por lo que se cambió el posaconazol por isavuconazol intravenoso, pese a lo cual desarrolló insuficiencia respiratoria grave, que precisó intubación orotraqueal y ventilación mecánica invasiva a los 7 días del inicio de la fiebre.
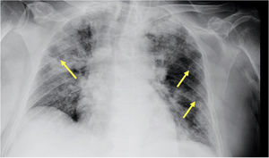
Durante su estancia en UCI, presentó mala evolución respiratoria con progresión radiológica y desarrollo de cavitaciones (fig. 2). Se añadió al tratamiento anfotericina B liposomal y se realizó broncoscopia con lavado broncoalveolar. La determinación de β-glucano en las muestras del lavado fue positiva y en el cultivo del BAL en agar Sabouraud se observó el crecimiento de colonias sugestivas de corresponder a 2tipos de hongos filamentosos distintos (fig. 3), que se identificaron por espectrometría de masas (MALDI-TOF) como Aspergillus fumigatus y Aspergillus terreus. El antifungigrama de ambas especies presentó un fenotipo salvaje, sin encontrar resistencias adquiridas; la cepa de A. fumigatus era resistente a fluconazol y la de A. terreus a fluconazol y a anfotericina B liposomal. Ambas cepas resultaron sensibles a caspofungina, itraconazol, voriconazol, posaconazol, anidulafungina, micafungina e isavuconazol.
El cuadro respiratorio siguió empeorando y el paciente falleció a los 5 días del ingreso en UCI. No se cambió el tratamiento antifúngico al haberse aislado las 2especies de Aspergillus el mismo día del fallecimiento del paciente y haber obtenido los resultados de los antifungigramas post mortem.
Aunque la aspergilosis pulmonar invasiva (API) es una complicación típica de la neutropenia severa en los pacientes hematológicos, la producida por la coinfección por 2especies diferentes de Aspergillus es muy poco frecuente. En concreto, la API causada simultáneamente por A. fumigatus y A. terreus es excepcional y al revisar la bibliografía solo hemos encontrado 2casos1,2. Es de resaltar la importancia de la toma de varias muestras respiratorias para aumentar la sensibilidad de los métodos microbiológicos en la infección fúngica invasiva, como ocurrió en nuestro caso.
Debido a su rareza, el tratamiento óptimo de la coinfección por 2especies de Aspergillus no está establecido. Ambas especies son de forma innata sensibles a los triazoles. En el caso que presentamos se decidió iniciar tratamiento con posaconazol antes del empeoramiento del paciente. Hay que tener en cuenta que la API no es frecuente en pacientes con linfoma tratados mediante quimioterapia, por lo que, por regla general, no está indicada la profilaxis para hongos filamentosos. Sin embargo, ante la neutropenia mantenida, se decidió usar dicho fármaco por eficacia contrastada en la profilaxis y también en el tratamiento de la API, habiéndose demostrado que no es inferior a voriconazol en este último aspecto3. Ante el empeoramiento manifiesto, la aparición de cavitaciones pulmonares y la necesidad de tratamiento por vía intravenosa, se decidió cambiar a isavuconazol, asociando anfotericina B liposomal por no poder excluir, a la espera de los cultivos, la posibilidad de mucormicosis asociada, pese a lo cual el paciente falleció a los pocos días.
Consideramos que la infección por las 2especies de Aspergillus, a pesar de lo inusual de los casos de coinfección y la falta de experiencia en su manejo, influyó en el pronóstico del paciente, puesto que, a pesar de llevar relativamente poco tiempo de neutropenia, el cuadro clínico evolucionó de forma inusualmente rápida.


