La resección de adenocarcinoma de cabeza de páncreas localmente avanzado con oclusión de la vena mesentérica superior (VMS) y afectación del confluente esplenomesentéricoportal (EMP) obliga en ocasiones a un clampaje venoso prolongado con riesgo de isquemia intestinal. La utilización de shunts venosos intraoperatorios ha sido publicado por grupos de referencia para permitir la resección con éxito. En nuestro centro realizamos una duodenopancreatectomía total por adenocarcinoma de cabeza de páncreas localmente avanzado con oclusión de VMS y confluente EMP. El uso de un shunt íleo-caval transitorio mediante un injerto venoso permitió la resección del tumor sin repercusión en el intestino. La cirugía finalizó con el cierre del shunt, anastomosis del injerto a la vena porta y reconstrucción digestiva. El paciente presentó buena tolerancia a la cirugía, siendo dado de alta el 7o día posoperatorio. El estudio anatomopatológico describió adenocarcinoma pancreático ypT1N0(R0) grado regresión GRT2/IIa, con 0/30 adenopatías afectas.
The resection of locally advanced adenocarcinoma of the pancreatic head with occlusion of the superior mesenteric vein and involvement of the splenomesentericportal confluent (EMP) sometimes requires prolonged venous clamping with risk of intestinal ischemia. The use of intraoperative venous shunts has been published by reference groups to allow successful resection. In our center we performed a total pancreatoduodenectomy for locally advanced pancreatic head adenocarcinoma with superior mesenteric vein occlusion (SMV) and splenomesentericportal confluent. The use of a transient ileo-caval shunt via a venous graft allowed resection of the tumor without repercussion on the bowel. The surgery ended with closure of the shunt, anastomosis of the graft to the portal vein and digestive reconstruction. The patient presented good tolerance to surgery and was discharged on the 7th postoperative day. The pathology report described pancreatic adenocarcinoma ypT1N0(R0) regression grade GRT2/IIa, with 0/30 affected adenopathies.
El tratamiento del adenocarcinoma de páncreas localmente avanzado se basa en la administración de quimioterapia neoadyuvante y resección ulterior1–3. La hipertensión portal prehepática por obstrucción tumoral del eje EMP implica habitualmente la aparición de colaterales venosas que dificultan la disección del páncreas y sus tejidos circundantes. La utilización de shunts venosos intraoperatorios es un recurso técnico utilizado por grupos de referencia para conseguir realizar una cirugía exerética desde hace años4–12.
Exponemos un caso clínico con el uso de shunt íleo-cava transitorio realizado mediante injerto venoso de cadáver en el curso de una duodenopancreatectomía total con esplenectomía por adenocarcinoma de páncreas.
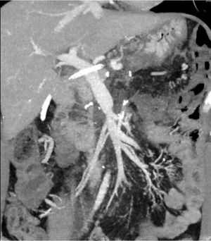
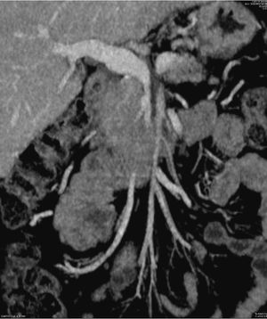
Técnica quirúrgica (vídeo cirugía)El uso de shunt íleo-cava transitorio se indicó en un paciente de 45 años afecto de adenocarcinoma de páncreas localmente avanzado que condicionaba una severa colateralidad venosa, con mutación BRCA2; tras recibir 11 ciclos de neoadyuvancia con esquema FOLFIRINOX, con buena tolerancia. Finalizado este, se realizó estudio mediante tomografía computarizada (TC) toraco-abdominal, PET/TC, y resonancia magnética nuclear (RNM), descartando afectación a distancia. Tras presentar el caso en comité multidisciplinario se planificó la intervención con ayuda de estudio 3D13 (figs. 1, 2, 3 y 4)(https://www.cellams.com). En el estudio preoperatorio se evidenció lesión pancreática con afectación del confluente venoso EMP con extensión hasta la confluencia de dos venas ileales (Vil1 y Vil2) y yeyunal (VYy), y contacto con la arteria mesentérica superior (AMS). La afectación de toda la extensión de la vena mesentérica superior (VMS) comportaba la imposibilidad de la anastomosis con seguridad.
Estudio 3D preoperatorio13. Se evidencia la oclusión del eje esplenoportomesentérico y abutment de la arteria mesentérica superior por el tumor.
SMA: arteria mesentérica superior; CHA: arteria hepática común; PHA: arteria hepática propia; GDA: arteria gastroduodenal; SA: arteria esplénica; PV: vena porta; SV: vena esplénica; VIL: vena ileal; VIL1: vena ileal tributaria 1; VIL2: vena ileal tributaria 2; VYY: vena yeyunal; IMV: vena mesentérica inferior; MSC: mesocolon.
En amarillo se señala el tumor pancreático.
Detalle de la vascularización venosa del estudio 3D13.
A. Fase inicial y de disección
- 1.
Inicio. La cirugía se inició con una laparoscopia exploradora que descartó enfermedad a distancia. A continuación, se realizó una laparotomía media supra-infraumbilical.
- 2.
Abordaje transmesentérico. Se practicó una incisión horizontal en el mesenterio14,15. Dada la extensión caudal del tumor hacia el mesenterio, se expuso y rodearon las venas VYy, Vil1,Vil2, así como la AMS.
- 3.
Maniobra de Kocher y linfadenectomía interaortocava. Se realizó una maniobra de Kocher amplia hasta el margen izquierdo de la Aorta abarcando desde la raíz de la arteria mesentérica inferior hasta el tronco celíaco. Se disecó y rodeó la inserción de la AMS y se realizó una linfadenectomía interaortocaval y periarterial en Triangle16. En este punto de la disección, se insinuó el inicio del abordaje «artery first approach»17,18 en sentido craneocaudal.
- 4.
Disección hilio hepático. Se realizó la disección del hilio hepático, con colecistectomía, sección vía biliar, identificación y sección de la arteria gastroduodenal. Se disecó la vena porta en la porción craneal a la cabeza pancreática.
- 5.
Disección caudo-craneal de la cabeza pancreática. Se procedió a la disección de la cabeza pancreática visualizando la vena ileal y AMS, hasta palpar la densidad de la tumoración pancreática.
B. Fase de planificación y derivación venosa
- 6.
Planificación resección venosa: el paso del Rubicón. En este punto de la disección se evidenció la necesidad de practicar una resección venosa de longitud larga con implicación del confluente EMP, y esplenopancreatectomía total para extirpar totalmente la enfermedad. Dada la complejidad de la resección, con evidente territorio venoso hipertrofiado, se decidió la realización de un shunt veno-venoso íleo-cava transitorio mediante injerto de cadáver. En este momento se procedió a la administración de 30mg de heparina sódica (fig. 5).
Figura 5.Diagrama de la afectación venosa por el tumor (A) y planificación de la reconstrucción practicada: anastomosis vena yeyunal a vena ileal2 (B), shunt íleo-cava (C), y visión final con injerto de cadáver interpuesto y suturas íleo-injerto e injerto-porta (D). Elaboración: Audiovisuales y Diseño, Gabinete de Comunicación y Relaciones Institucionales. Hospital Universitari de Bellvitge.
- 7.
Primera anastomosis: vena yeyunal a vena ileal. Se realizó en primer lugar la sección de la VYy en su nacimiento, en la vertiente derecha de la VMS y su descruzamiento por detrás de la AMS. A continuación, y con el fin de preservar dicho aporte venoso, se realizó anastomosis entre las venas yeyunal y vena ileal2 (fig. 5B).
- 8.
Segunda anastomosis: injerto de cadáver a vena cava inferior. A nivel retropancreático se realizó clampaje lateral de la vena cava y se realizó la anastomosis término-lateral. A continuación se adecuó la longitud del injerto a la vena ileal caudal a la cabeza del páncreas. Se clampó la vena ileal, caudal a la VMS, se seccionó la confluencia de la vena ileal principal.
- 9.
Clampaje venoso mesentérico y tercera anastomosis de vena ileal a injerto de cadáver. El drenaje venoso mesentérico permaneció clampado durante 15 minutos. Anastomosis término-terminal de vena ileal a injerto de cadáver, tras la realización de la misma se procedió a la apertura del shunt íleo-cava (fig. 5C y fig. 6).
Figura 6.Diagrama del shunt intraoperatorio íleo-cava y fotografía intraoperatoria shunt íleo-cava.
SMA: arteria mesentérica superior; CHA: arteria hepática común; PHA: arteria hepática propia; GDA: arteria gastroduodenal; SA: arteria esplénica; PV: vena porta; SV: vena esplénica; VIL: vena ileal; VIL1: vena ileal 1; VIL2: vena ileal2; VYY: vena yeyunal; IMV: vena mesentérica inferior; MSC: mesocolon.
En asteriscos se señalan las suturas venosas, de vena yeyunal a vena ileal2; de vena ileal a injerto venoso; y de injerto venoso a la vena cava.
C. Finalización de la exéresis pancreática con shunt venoso en funcionamiento
- 10.
Progresión en la duodenopancreatectomía total con esplenectomía. Se ligó la arteria esplénica, progresando en la disección del cuerpo-cola pancreático y ligando los vasos cortos gastroesplénicos. Se movilizó el cuerpo y cola pancreáticos y luxándolos hacia la derecha del paciente.
- 11.
Disección AMS (divestment). La realización del shunt desplaza el confluente venoso permitiendo la disección de la cara anterior de la AMS con seguridad. La finalización de la exéresis consistió dejando la pieza quirúrgica únicamente dependiendo de la vena porta. Por último, se procedió a la sección de la vena porta y extracción de la pieza de resección.
- 12.
Cierre delshuntíleo-cava. El cierre del shunt venoso se realizó mediante sutura mecánica (TA) a la entrada del shunt en la vena cava. A continuación, se adecuó la longitud del injerto venoso rectificando su trayecto hasta la vena porta.
D. Reconstrucción del flujo venoso y reconstrucción tránsito digestivo
- 13.
Cuarta anastomosis: de injerto de cadáver a vena porta. Finalizamos esta fase mediante una anastomosis del injerto a la vena porta (fig. 5D y fig. 7). El desclampaje se llevó a cabo sin incidencias. El shunt íleo-cava estuvo en funcionamiento durante 94 minutos, sin presentar alteraciones hemodinámicas y persistiendo el campo quirúrgico exangüe y el intestino con buen aspecto.
Figura 7.Diagrama de la configuración venosa tras el cierre del shunt venoso y finalización de la reconstrucción venosa y fotografía intraoperatoria tras el cierre del shunt venoso y finalización de la reconstrucción venosa. Se adecuó el injerto venoso a la longitud de la vena porta para evitar acodamientos.
SMA: arteria mesentérica superior; CHA: arteria hepática común; PHA: arteria hepática propia; GDA: arteria gastroduodenal; SA: arteria esplénica; PV: vena porta; SV: vena esplénica; VIL: vena ileal; VIL1: vena ileal1; VIL2: vena ileal2.
- 14.
La cirugía finalizó mediante las suturas hepaticoyeyunal y gastroenteroanastomosis. Se dejaron dos drenajes aspirativos. La cirugía duró 660 minutos, y no se realizó transfusión.
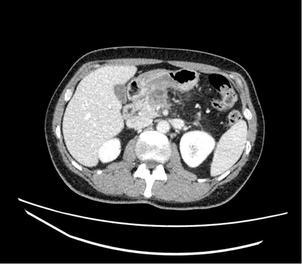
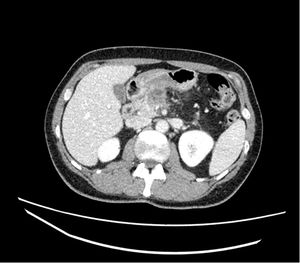
Posoperatorio inmediato y análisis anatomopatológico. El posoperatorio transcurrió sin incidencias, se realizó un TC abdominal de control a los cinco días (fig. 8), y fue dado de alta el día 7 posoperatorio sin complicaciones. El análisis anatomopatológico evidenció un adenocarcinoma pancreático de 2,5cms de diámetro invasión vascular de vaso de pequeño calibre e invasión de la capa adventicia de la VMS, márgenes venosos y quirúrgicos libres; sin infiltración perineural, 0 ganglios afectos de 30 analizados, ypT1ypN0 R0 (UICC8aEd), grado regresión GRT 2 (respuesta parcial), Grado regresión Evans GIIa.
DiscusiónEn 2016 se llevó a cabo el 20o congreso de la International Association of Pancreatology (IAP) en Sendai, Japón. En esta, se sentaron las bases de consenso para la definición de adenocarcinoma de páncreas resecable, borderline resectable y localmente avanzado3. La oclusión de le VMS no reconstruible es el criterio para definir como localmente avanzado, pues una oclusión corta o afectación> 180° reconstruible sería borderline resectable. El tratamiento de elección de estos pacientes es la resección quirúrgica tras quimioterapia, ya que aporta una mejoría en la supervivencia1–3. Diversos avances técnicos recientes en cirugía pancreática acompañados de buenos resultados a largo plazo con líneas de quimioterapia neoadyuvante han implicado un salto cualitativo en la supervivencia a largo plazo tras la extirpación de dicho tumor1. Entre los avances técnicos, el abordaje mesentérico descrito por Nakao14,15, la linfadenectomía en Triangle16, la constatación que la maniobra de disección de la AMS en primer lugar, conocida como «artery first approach» aporta beneficios17,18, o el «divestment» o denudar la AMS19.
Desde los años 90 Nakao et al.4,5,10 y Suzuki et al.21 defendieron el uso de la derivación venosa como herramienta útil en la extirpación del cáncer de páncreas ayudados por un catéter heparinizado o bien por bomba de centrífuga. Christians et al. y el grupo de Winsconsin en 2013 publicó el uso del shunt mesocava y esplenorrenal en la resección pancreática6,7. Un año después, Bachellier publicaba la utilidad de los shunts mesoportales temporales para conseguir la resección con éxito mediante prótesis vasculares8. En ese mismo año, Suzuki amplió la experiencia del grupo de Kobe y demostraba la utilidad del uso de una bomba de centrífuga entre la VMS y la vena umbilical19. En su estudio evidenció beneficio para prevenir la isquemia hepática y la congestión venosa intestinal durante la cirugía pancreática con resección venosa o sin resección venosa. En una revisión de gran calidad, Kinny-Köster de Johns Hopkins exponía en 2020 las diversas opciones técnicas comentado posteriormente por Christians en una excelente carta22,23.
En la mayoría de las resecciones venosas durante la cirugía pancreática el uso de shunts venosos no parecen necesarios, ya que la extirpación puede llevarse a cabo con éxito sin ellos24–27. Así, en nuestro centro hemos realizado 99 resecciones vasculares entre 2010-2024 en cirugía pancreática, en 17 de ellos se han resecado la vena ileal o vena yeyunal. En ninguno de los pacientes registrados fue necesaria la utilización de derivación venosa por considerar que el clampaje y la disección no lo harían necesario. Ahora bien, la combinación de afectación caudal y afectación del eje EMP del paciente comentado, comportaba mayor complejidad al caso.
La afectación venosa extensa puede comportar diversos problemas. En primer lugar, la presencia de colaterales venosas de gran tamaño puede comportar una hemorragia grave intraoperatoria. En segundo lugar, en casos con afectación del eje EMP hasta el confluente de las venas yeyunal e ileal la disección y reconstrucción posterior puede requerir un clampaje venoso superior a 60 minutos, puede poner en riesgo el flujo hepático o comportar congestión intestinal8. La preservación del flujo hepático parece clave para evitar la isquemia hepática en un hígado que ha sufrido los cambios de la quimioterapia neoadyuvante. Por último, en el cáncer de páncreas localmente avanzado, la afectación de la AMS se asocia frecuentemente, por lo que será necesario un prolongado tiempo de disección. Dichos argumentos son los que justifican el uso de shunt venoso intraoperatorio22,23. Entre las variantes de shunts definidos hasta el momento, hallamos el shunt mesoportal prerresección o postresección, el shunt mesocava temporal o definitivo, o bien shunt distal esplenorenal; con sus diferentes indicaciones propuestas4–13,20–23,28,29. Los materiales utilizados suelen ser biológicos mediante injerto autólogo o bien con material sintético6,8. En nuestro centro, utilizamos injerto de cadáver desde hace años en caso realizar una resección venosa de gran longitud.
Respecto al caso presentado, en primer lugar, el estudio tres dimensiones fue imprescindible para planificar la cirugía. Una vez evidenciada la afectación del confluente EPM, de las venas yeyunal e ileal, y el contacto con la AMS; planificamos una esplenopancreatectomía total con resección venosa de larga longitud. Ante este escenario, optamos por disecar el campo quirúrgico craneal y caudalmente al tumor identificando los vasos afectos. Un detalle importante fue preservar la vena yeyunal dado su diámetro, anastomosándola a la vena ileal; a pesar de ser una vena frágil y que en ocasiones se aconseja sacrificar para evitar problemas con su reconstrucción23. Decidimos realizar un shunt intraoperatorio que permitiera progresar en la disección de la AMS, VMS y en la disección del cuerpo-cola pancreático. Una vez desclampado el shunt íleo-cava el campo quirúrgico se mantuvo exangüe, y el flujo hepático se mantuvo a través de la arteria hepática y la vena esplénica y el confluente portal. Finalmente, el estudio anatomopatológico evidenció una resección R0.
En conclusión, el uso de shunt íleo-cava intraoperatorio transitorio en la cirugía del adenocarcinoma pancreático tras neoadyuvancia, así como la preservación del flujo de la vena yeyunal es una opción para conseguir una resección con éxito. La aparición de los shunts venosos intraoperatorios abren la puerta a la resección de tumores pancreáticos con afectación «ultrabaja», es decir, aquellos que obligan resección de la totalidad de la VMS y anastomosis de las venas yeyunal e ileal con afectación simultánea del eje esplenomesentéricoportal (EMP), o aquellos con afectación de la pared de la AMS simultánea.
FinanciaciónEste estudio ha recibido el apoyo del Institut de Investigació Biomèdica de Bellvitge (Fundación IDIBELL).
Conflicto de interesesLos autores declaran no tener ningún conflicto de intereses.
Los autores desean agradecer a la Fundación IDIBELL y al Programa CERCA / Generalitat de Catalunya el apoyo institucional prestado.



