La resección hepática de las lesiones del segmentoI se consideran complejas, con alto riesgo de hemorragia. El abordaje mínimamente invasivo ha mostrado una mejor visualización con resultados similares o incluso mejores al abordaje abierto1,2.
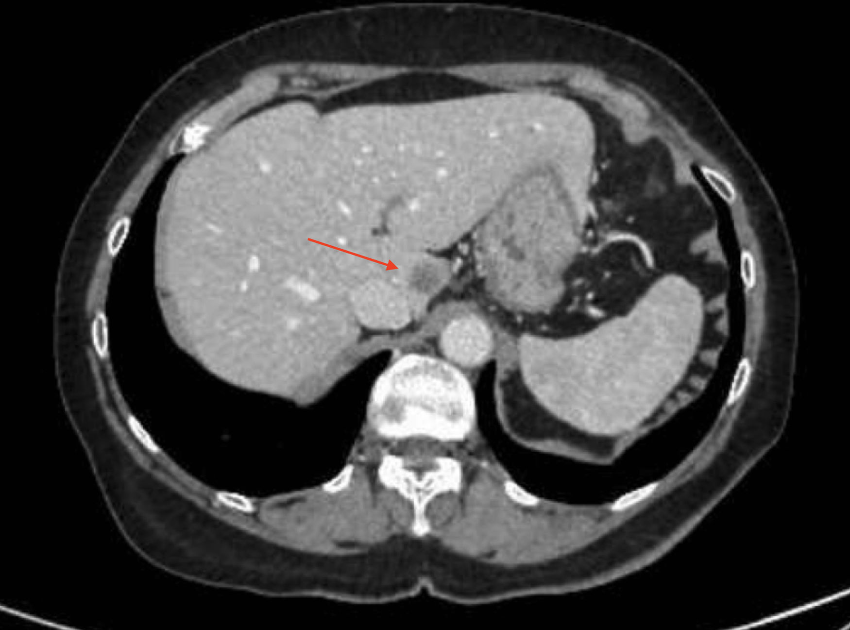
Presentamos el caso de una mujer de 72años a la que se le realizó una hemicolectomía derecha laparoscópica en septiembre de 2022. El CEA subió a 10,8, por lo que se realizó una TAC y una RM, que mostraron una metástasis en el segmentoI hepático, por lo que se propuso una resección hepática robótica del segmentoI mediante el sistema Da Vinci Xi.
El tiempo quirúrgico fue de 105minutos (90minutos de cirugía y 15minutos de docking). La pérdida de sangre fue inferior a 50mililitros. No fue necesaria ninguna maniobra de Pringle. La paciente fue dada de alta al tercer día sin ninguna complicación.
El abordaje robótico para la resección del segmento hepáticoI en casos seleccionados es un procedimiento seguro que ofrece una excelente visualización del área quirúrgica, lo que facilita una intervención rápida y con mínimo sangrado, siempre que sea realizado por cirujanos experimentados en técnicas hepáticas mínimamente invasivas (fig. 1).
FinanciaciónNo se ha recibido ningún apoyo económico o beca.
Declaración sobre el uso de inteligencia artificialDurante la preparación de este trabajo los autores utilizaron Vidnoz AI a fin de mejorar la redacción y la claridad en el audio. Tras utilizar dicha herramienta/servicio, los autores revisaron y editaron el contenido según necesidad, asumiendo la plena responsabilidad del contenido de la publicación.
Contribución de los autoresBeltrán Miranda, P: diseño, redacción, edición de vídeo, revisión crítica y aprobación final.
Alba Valmorisco, M: diseño, revisión crítica y aprobación final.
Moreno Asencio, MT: diseño, revisión crítica y aprobación final.
Balongo García, R: diseño, revisión crítica y aprobación final.
Conflicto de interesesLos autores declaran no presentar ningún tipo de conflicto de intereses.
Parte del contenido de este artículo fue presentado en el 16th Biennial Congress of the European-African Hepato-Pancreato-Biliary Association.




