La endocarditis infecciosa (EI) continúa siendo una de las infecciones cardiovasculares más graves, con una incidencia aproximada de tres a 10 casos por 100.000 habitantes al año, con tendencia creciente en pacientes con dispositivos intravasculares y enfermedad renal crónica en diálisis1. La afectación más común ocurre en las válvulas nativas izquierdas, mientras que las derechas suelen comprometerse en usuarios de drogas intravenosas o pacientes con catéteres permanentes2. La válvula de Eustaquio, un vestigio embriológico en la aurícula derecha sin función hemodinámica significativa en el adulto, constituye un asiento excepcional de infección3.
Los casos reportados de vegetaciones en la válvula de Eustaquio son extremadamente infrecuentes y, en su mayoría, asociados a bacteriemias por Staphylococcus aureus (S. aureus) relacionadas a accesos venosos centrales3–6. La rareza de esta localización puede llevar a retrasos diagnósticos o interpretaciones erróneas de las imágenes ecocardiográficas3. La confirmación de vegetación requiere ecocardiografía transtorácica o transesofágica, aunque en ocasiones la diferenciación con otras estructuras anatómicas o trombos resulta compleja3.
Paciente femenina de 63 años que entre sus antecedentes patológicos personales destacaban enfermedad renal crónica estadio 5 en tratamiento sustitutivo con hemodiálisis trisemanal, hipertensión arterial en tratamiento con losartán 50mg cada 12 horas, diabetes mellitus tipo 2 sin tratamiento actual y hemorroides grado IV. No presentaba antecedentes de asma bronquial ni alergias conocidas; acude al servicio por disnea progresiva en reposo, de inicio insidioso, con empeoramiento marcado en las últimas 24 horas. Refiere antecedente de dos semanas de evolución de cuadro respiratorio caracterizado por rinorrea, tos húmeda con expectoración mucopurulenta amarillenta, sin estrías hemáticas. Fue evaluada en atención primaria, donde recibió tratamiento sintomático y aerosoles con budesonida y salbutamol, sin mejoría clínica. Una semana antes de su ingreso hospitalario, ante persistencia y exacerbación de síntomas, se indicó tratamiento con levofloxacina 500mg diarios por siete días, sin respuesta favorable.
El día previo a su hospitalización, durante su sesión habitual de hemodiálisis, presentó fiebre súbita de 38,5°C acompañada de escalofríos, que cedió parcialmente con antipiréticos. Posteriormente, desarrolló disnea progresiva incluso en reposo, motivo por el cual fue trasladada al hospital. Niega cefalea, dolor torácico, náuseas, vómitos o síntomas digestivos.
Al ingreso, la paciente se encontraba lúcida, disneica en reposo, con presión arterial de 138/86mmHg, frecuencia cardíaca de 102 latidos por minuto, frecuencia respiratoria de 26 respiraciones por minuto, temperatura de 37,8°C y saturación de oxígeno del 91% en aire ambiente. Presentaba palidez mucocutánea, murmullo vesicular disminuido en bases pulmonares y crepitantes bibasales, sin otros ruidos agregados, por lo que se coloca oxigeno suplementario por cánula nasal a 2 L/minuto logrando una saturación del 97% por oximetría de pulso y mejoría de la disnea. El examen cardiovascular mostró ritmo regular sin soplos evidentes. El abdomen era blando, depresible, no doloroso a la palpación superficial ni profunda. Al examinar la región yugular izquierda se observaba un catéter de hemodiálisis simple con secreción hematopurulenta y eritema local.
La tomografía axial computarizada de alta resolución del tórax mostró derrame pleural bilateral de distribución laminar. No se observaron zonas de consolidación pulmonar ni broncograma aéreo, y los hilios pulmonares no presentaron signos de congestión.
Los análisis de laboratorio iniciales evidenciaron leucocitosis de 13.140/mm3 con neutrofilia del 83%, proteína c reactiva de 26mg/L.
Se obtuvieron hemocultivos por duplicado, cultivo de secreción del sitio de inserción y cultivo de punta de catéter. El catéter yugular izquierdo fue retirado y se inició tratamiento antibiótico empírico con piperacilina/tazobactam y vancomicina, ajustados a función renal.
Los cultivos confirmaron desarrollo de S. aureus sensible a oxacilina en todas las muestras, incluyendo los hemocultivos y el cultivo de punta de catéter. Ante estos hallazgos se optimizó el esquema antibiótico hacia terapia dirigida.
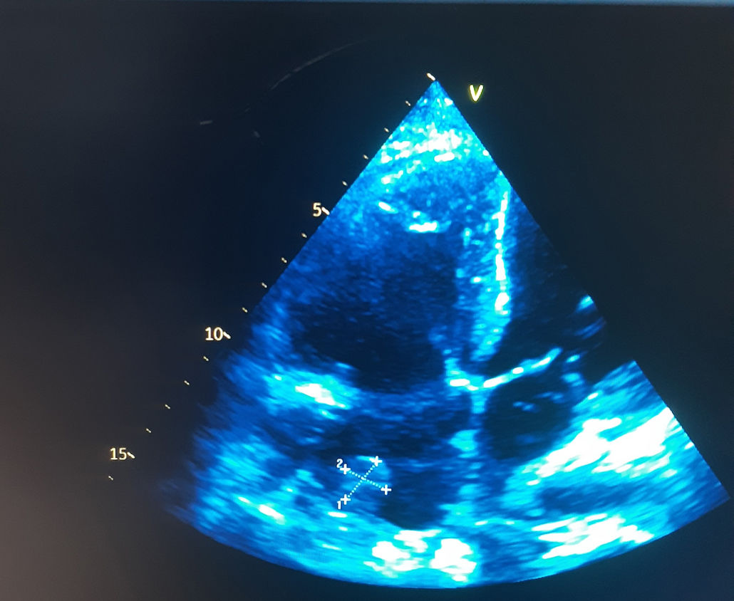
Se realizó ecocardiograma transtorácico que mostró aurícula izquierda de 41mm, fracción de eyección del ventrículo izquierdo del 52%, espesores septal y posterior de 15 y 13mm respectivamente, compatibles con hipertrofia concéntrica limítrofe. Se evidenció disfunción diastólica con retardo en la relajación y aumento de las presiones de llenado, insuficiencia mitral, aórtica y tricuspídea leves, así como hipertensión pulmonar leve. El hallazgo más relevante fue una imagen nodular de 19 por 16mm en la base de la aurícula derecha, en íntimo contacto con la válvula de Eustaquio, compatible con vegetación. Además, se describió derrame pericárdico leve sin repercusión hemodinámica (fig. 1).
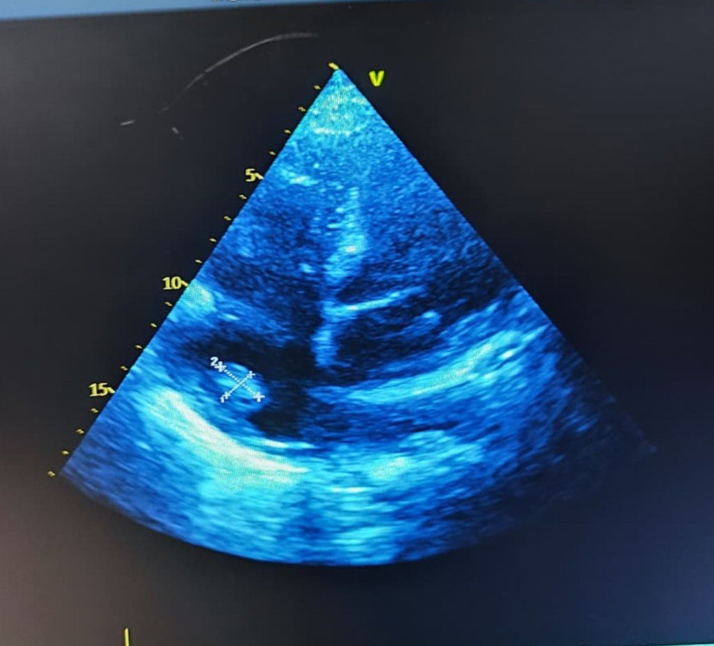
Los hemocultivos de control persistieron positivos para S. aureus en dos tomas posteriores, negativizándose en los controles subsiguientes tras el ajuste del tratamiento antibiótico. Luego de tres semanas de terapia dirigida, el ecocardiograma transtorácico de control mostró persistencia de la imagen nodular adherida a la válvula de Eustaquio, con dimensiones similares a las previamente informadas, sin evidencia de incremento en su tamaño ni de complicaciones adicionales (fig. 2). La paciente completó el esquema de antibióticos endovenosos prolongados, con mejoría progresiva de la disnea y estabilización de los parámetros inflamatorios, motivo por el cual fue dada de alta con tratamiento antibiótico oral para completar tres semanas adicionales con trimetoprim/sulfametoxazol. No se realizó ecocardiografía transesofágica debido a que el ecocardiograma transtorácico ofrecía una ventana acústica adecuada y permitía una visualización satisfactoria de las estructuras implicadas, por lo que se consideró suficiente para el seguimiento.
Asimismo, no se logró efectuar un ecocardiograma transtorácico de control al finalizar el esquema antibiótico ambulatorio, dado que la paciente no acudió a las consultas programadas para seguimiento por nuestro servicio.
La EI sobre la válvula de Eustaquio es una entidad extraordinariamente infrecuente. La válvula de Eustaquio representa un remanente embrionario de la vena cava inferior en la aurícula derecha y, en condiciones normales, carece de función fisiológica en adultos3. Su rareza como asiento de infección probablemente explique la limitada experiencia clínica y la ausencia de protocolos específicos de manejo3.
En este caso, la paciente presentaba múltiples factores predisponentes: enfermedad renal crónica en estadio terminal, dependencia de hemodiálisis con catéter venoso central y episodios repetidos de manipulación vascular2. La literatura reciente destaca que los pacientes en diálisis tienen un riesgo hasta 50-60 veces mayor de EI en comparación con la población general, siendo S. aureus el agente más frecuente2. Además, la colonización del catéter y la bacteriemia asociada son los mecanismos más comunes en esta población2.
La clínica inicial de nuestra paciente simuló una infección respiratoria comunitaria, con tos y expectoración purulenta, lo cual retrasó la sospecha de endocarditis. Solo tras la aparición de fiebre durante la hemodiálisis y la disnea progresiva se consideró un origen bacteriémico relacionado al acceso vascular. La presencia de secreción hematopurulenta en el sitio de inserción yugular fue un hallazgo clave, confirmado posteriormente con los cultivos positivos a S. aureus.
El diagnóstico definitivo se sustentó en la ecocardiografía transtorácica, que reveló una vegetación nodular de 19×16mm en la válvula de Eustaquio3. Aunque la ecocardiografía transesofágica suele ser más sensible en la detección de vegetaciones en estructuras atípicas, en este caso las características anatómicas permitieron la identificación mediante el abordaje transtorácico3. La diferenciación entre vegetación verdadera y otras estructuras como la red de Chiari, trombos o masas intracavitarias resulta esencial para evitar falsos diagnósticos3–6.
El manejo consistió en la retirada inmediata del catéter infectado, inicio precoz de antibióticos empíricos de amplio espectro y posterior adecuación a terapia dirigida con betalactámicos activos contra S. aureus sensible a oxacilina. La persistencia inicial de hemocultivos positivos resalta la agresividad del germen y la importancia de un tratamiento prolongado, que en este caso se extendió por al menos seis semanas1. A diferencia de las vegetaciones en válvulas izquierdas, la indicación quirúrgica en válvulas derechas es más restringida, reservada para casos de fracaso terapéutico, embolias recurrentes o vegetaciones de gran tamaño con riesgo de complicaciones1. En este caso, la paciente evolucionó favorablemente con tratamiento médico exclusivo, sin necesidad de intervención quirúrgica.
Este caso enfatiza, en primer lugar, la importancia de considerar endocarditis en pacientes en diálisis con fiebre y bacteriemia por S. aureus, aun cuando no existan soplos o signos típicos2. En segundo lugar, la necesidad de una evaluación ecocardiográfica exhaustiva que incluya estructuras atípicas como la válvula de Eustaquio3. En tercer lugar, la confirmación de que el manejo médico intensivo con antibióticos dirigidos puede ser eficaz, aunque requiere seguimiento estrecho y prolongado1.
La EI sobre la válvula de Eustaquio constituye una localización extremadamente rara, pero que debe considerarse en pacientes en hemodiálisis con bacteriemia persistente por S. aureus. La ecocardiografía resulta fundamental para la identificación de vegetaciones en estructuras atípicas, y el tratamiento médico con antibióticos dirigidos, junto con la retirada del catéter infectado, puede ser suficiente en ausencia de complicaciones. Este caso subraya la necesidad de mantener un alto índice de sospecha en poblaciones de riesgo y aporta evidencia clínica a una entidad poco reconocida en la práctica diaria.
FinanciaciónNo se recibió financiación externa para la realización ni publicación del presente trabajo.
Consideraciones éticasPara la presentación y publicación de este caso clínico como aporte científico, se obtuvo consentimiento informado de la paciente, quien autorizó el uso de sus datos clínicos y hallazgos paraclínicos. Se le explicó de manera clara que la información sería utilizada únicamente con fines académicos y de investigación, asegurando la confidencialidad y evitando cualquier perjuicio para la paciente.
Conflicto de interesesLos autores declaran no tener ningún conflicto de intereses.

