El quiste intracardiaco es una rara malformación que se localiza principalmente en el tejido endocardio de las válvulas semilunares o auriculoventriculares. Por lo general es asintomático y el diagnóstico, en la mayoría de las ocasiones, se presenta en los primeros años de vida. Presentamos el caso de un paciente en etapa escolar derivado por soplo cardiaco detectando de forma incidental quiste intracardiaco realizándose corrección quirúrgica con evolución adecuada.
An intracardiac cyst is a rare cardiac malformation located in the endocardium of the semilunar or atrioventricular valves. Patients are generally asymptomatic, and the diagnosis is mainly made in the neonatal of infant stage. We present the case of a school-age patient referred for a heart murmur, incidentally, detecting an intracardiac cyst. Surgical correction was performed with an adequate outcome.
Los tumores cardiacos benignos son raros, siendo los más frecuentes los mixomas. Los quistes intracardiacos son malformaciones congénitas inusuales, las cuales predominan en etapa lactante, principalmente en menores de dos meses, desapareciendo espontáneamente en los primeros seis meses de vida, haciendo sumamente raro la detección de quiste sanguíneo posterior a esta etapa1,2. La mayoría de estos pacientes son asintomáticos, sin embargo, algunos pueden presentar síntomas obstructivos, disfunción valvular o embolismo2. El manejo es controvertido, muchos recomiendan la escisión quirúrgica, mientras que otros solo vigilancia clínica y ecocardiográfica seriada especialmente en presencia de masas pequeñas para monitorizar velocidad de crecimiento. Sin embargo, por el potencial de embolización incluso de masas intracardiacas pequeñas se considera que la extirpación siempre se debe indicar para disminuir el riesgo de complicaciones y confirmar el diagnóstico exacto3,4. Presentamos el caso de un paciente de nueve años con un quiste intracardiaco localizado en la aurícula derecha en la desembocadura del seno coronario, el cual es raro tanto por la edad y localización de este.
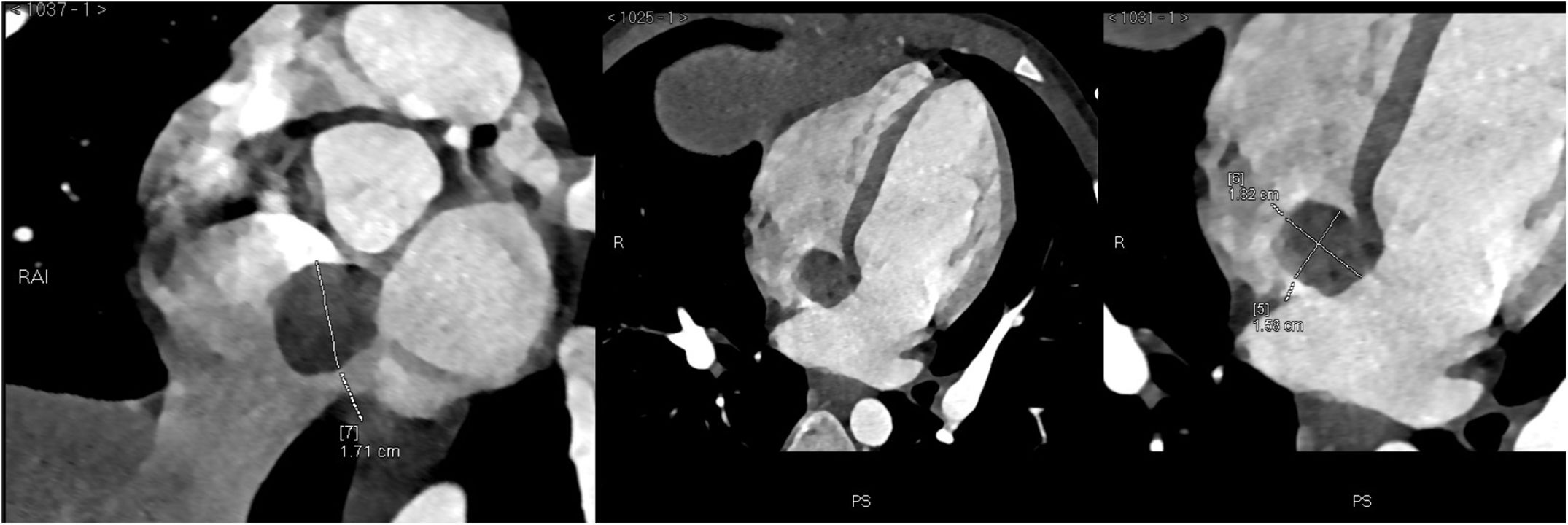
Presentación del casoMasculino de nueve años el cual es derivado por la presencia de soplo cardiaco. A la exploración se ausculta soplo sistólico expulsivo GII/VI en foco pulmonar sin irradiaciones, segundo ruido normal. En el ecocardiograma se observa masa intracardiaca quística en la aurícula derecha justo en desembocadura del seno coronario. Por lo que se solicita angiotomografía en la cual se reporta lesión quística intracardiaca en aurícula derecha con base en el septum interatrial por detrás del anillo tricúspideo y arriba del ostium del seno coronario, el quiste es ovalado de bordes lisos y bien definidos mide 17x16x18mm en sus ejes craneocaudal anteroposterior y transverso respectivamente con densidad promedio de 44 UH que sugiera componente hemático con un volumen aproximado de 2,5cc (figs. 1 y 2). La lesión no infiltra a la aurícula izquierda. Se presenta en sesión médica aceptándose para resección por accesos mínimos.
Por medio de mini toracotomía anterior periaerolar extendida en 4to espacio intercostal se realiza canulación aortica y de venas cavas y posteriormente se realiza auriculotomía derecha observando un quiste simple roto adyacente al seno coronario (fig. 2), se resecan paredes y pedículo, se cierra miocardio resecado con prolene 5-0. Tiempo CEC 44 minutos, pinzamiento 36 minutos. El paciente sale en ritmo sinusal, sin apoyo aminérgico ni ventilatorio invasivo egresándose a las 96 horas posquirúrgicas. El reporte histopatológico confirma quiste sanguíneo.
DiscusiónLas neoplasias cardiacas benignas son sumamente raras y entre estas el quiste intracardiaco sanguíneo es aún más infrecuente. Los quistes sanguíneos intracardiacos se observan principalmente en el periodo neonatal y lactantes, siendo raros después del primer año de vida afectando principalmente a las válvulas intracardiacas y generalmente desaparecen durante el crecimiento5. Se reporta una incidencia aproximada del 1,5%6. En adultos, ocasionalmente se pueden diagnosticar y se presentan principalmente en la válvula mitral3 y en algunos casos puede ser un hallazgo incidental en necropsia, sin embargo, en algunos casos dependiendo su localización se asocia con obstrucción a los tractos de salida o embolización sistémica y coronaria con complicaciones graves como infarto o evento vascular cerebral3; y algunos otros han reportado síntomas como síncope, disfunción valvular6. En el caso que presentamos el paciente fue derivado por soplo cardiaco sin alteración en la clase funcional.
Se han planteado varias hipótesis en el desarrollo de quistes sanguíneos intracardiacos. Estas incluyen lesiones derivadas de deformaciones durante el desarrollo valvular inicial o del mesotelio pericárdico primitivo, quistes sanguíneos que representan vasos sanguíneos ectásicos dentro de la válvula y quistes que representan la formación de hematomas debido a la oclusión de las arterias terminales intravalvulares (la cual pudiera ser la explicación en este caso). Y la tercera hipótesis suele estar impulsada por alguna lesión (como inflamación, anoxia, hemorragia, manipulación quirúrgica, etc.)7.
En cuanto al manejo es controvertido algunos estudios reportan que prefieren la vigilancia clínica y ecocardiográfica seriada puede ser adecuada en presencia de masas pequeñas4, no obstante, otros autores refieren que debido al potencial riesgo de embolización incluso de masas pequeñas debe considerarse siempre la extirpación quirúrgica no solo para prevenir el riesgo de complicaciones sino también para determinar o confirmar el diagnóstico exacto3. En este caso se decidió la extirpación por el riesgo de embolización en el caso presentado por Bews et al.6 el quiste media alrededor de 20mm siendo muy similar al caso que presentamos, como comentamos previamente no existen muchos casos en la literatura y la mayoría son en pacientes adultos. la evolución posquirúrgica hasta el momento ha sido adecuada sin complicaciones.
ConclusionesLos quistes intracardiacos son masas benignas extremadamente raras que por lo general afectan a las válvulas auriculo ventriculares. La importancia de este informe es la rareza de la entidad, edad y la ubicación anatómica.
FinanciaciónLos autores declaran que no hubo financiamiento para este artículo.
Consideraciones éticasSe obtuvo el consentimiento informado por escrito de los padres para la posible publicación del caso.
Consideraciones éticasLos tutores firmaron carta para aceptar la publicación de los datos.
Declaración de uso de Inteligencia ArtificialNo se utilizó inteligencia artificial.
Contribución de autoresTodos los autores participaron en el procedimiento quirúrgico y la revisión del manuscrito.
Conflicto de interesesLos autores declaran no tener ningún conflicto de intereses.

