El origen anómalo de las arterias coronarias desde un seno no correspondiente en la aorta es poco frecuente. Presentamos una serie inicial de abordaje quirúrgico.
MétodosRevisamos 15 pacientes intervenidos entre 2018 y 2025. Ocho son mujeres y 7 varones; con edades entre los 3 y 66 años. Salvo un caso, todos comenzaron con síncope o angina. El restante fue detectado en una valvuloplastia quirúrgica. Los diagnósticos se completaron mediante ecografía, prueba de esfuerzo y tomografía axial computarizada (TAC). Un paciente presentaba antecedentes familiares. En 9 ocasiones, la coronaria derecha (CD) se originaba en el seno izquierdo y en 6 pacientes, la coronaria izquierda (CI) lo hacía desde el derecho.
ResultadosFueron realizados 2 unroofing, 2 reimplantaciones de botón coronario y 11 correcciones anatómicas (creación de neo-orificio coronario). El paciente más joven de la serie (3 años, 16kg) se sometió a una cirugía de Ross-Konno. En una paciente de 50 años se implantó una prótesis aórtica (procedimiento principal). Los resultados quirúrgicos fueron satisfactorios. El seguimiento ha sido completo (rango: 6 meses/7 años), sin presentar recurrencia de síntomas. La TAC de control del postoperatorio muestra patrón coronario permeable en todos los casos.
ConclusionesEl origen anómalo de las arterias coronarias desde un seno no correspondiente en la aorta es poco frecuente. La cirugía se determina para cada paciente, optando por la creación de un neo-orificio en los casos de CI. Los resultados quirúrgicos son buenos, confirmados en el seguimiento a medio plazo.
Anomalous origin of coronary arteries from the wrong sinus is rare. Our initial experience is displayed.
MethodsFifteen patients are recruited between 2018-2025: eight women and seven men. Age range was 3-66 years. Chest pain was the onset symptom in all but one, six of them on exertion. Previous surgical valvuloplasty showed the anomaly in the last one. Echo, stress test and CT scan fulfilled diagnosis. The father of one patient suffered the same condition. Right coronary (RC) arose from the left sinus in nine patiens, whereas the left (LC) did it from the right sinus.
ResultsTwo unroofing and two re-implantation techniques were performed, all for anomalous RC. Eleven anatomical corrections (Neo-ostium fashioning) were carried out. The youngest patient (3y-o, 16kg.) had a simultaneous Ross-Konno procedure. A fifty y-o woman had an aortic valve implant concomitantly. Surgical results were good. Follow-up was complete. Postoperative CT scan showed patent coronary flow.
ConclusionsAnomalous origin of the coronary arteries from the wrong sinus is rare. Surgical technique is customized, choosing anatomical repair for culprit LC and several procedures for RC. Surgical results are satisfactory in the mean follow-up.
El origen anómalo de las arterias coronarias desde un seno no correspondiente en la aorta es una enfermedad poco frecuente. Bien la coronaria derecha (CD) se origina en el seno izquierdo, bien la coronaria izquierda (CI) la que nace del derecho. Se estima una prevalencia inferior al 1%, siendo más frecuente la CD anómala1–3. Su importancia radica en el riesgo de muerte súbita durante el ejercicio4,5, especialmente en los pacientes con CI anómala, trayecto interarterial y edad entre los 10-30 años6. Existen guías clínicas americanas7 y europeas8 que revisan factores anatómicos, síntomas, evidencias de isquemia, sensibilidad y especificidad de las pruebas diagnósticas y con recomendaciones acerca de qué pacientes deben operarse.
Diversos factores anatómicos son responsables de la fisiopatología:
- 1.
Orifico estrecho y ovalado (slit-like).
- 2.
Trayecto sujeto a compresión (intramural o interarterial).
- 3.
Angulación entre el trayecto anómalo y «normal» de la coronaria afectada.
La cirugía busca crear un flujo sin obstrucción en la coronaria anómala; no está exenta de riesgo ni libre de recurrencia de síntomas. En la literatura podemos encontrar diversas series, uni- y multicéntricas sobre el particular9–15.
Nuestro objetivo consiste en describir una experiencia quirúrgica inicial, con pauta de seguimiento y resultados a corto-medio plazo.
Material y métodosEstudio descriptivo transversal unicéntrico. Se revisaron las historias clínicas de todos los pacientes sometidos a cirugía cardíaca en nuestro centro, seleccionándose aquellos a los que se intervino de origen anómalo de arteria coronaria. Entre 2018 y 2025 nuestro servicio intervino quirúrgicamente a 15 pacientes con anomalía coronaria desde un seno no correspondiente (tabla 1). De ellos, 8 son mujeres y 7 varones; con edades comprendidas entre los 3 y 66 años. Diez se hallan en el rango de 10 a 30 años. En 9 casos, la CD se originaba en el seno izquierdo y en 6 pacientes la CI lo hacía desde el derecho.
Datos demográficos, cirugía y seguimiento
| N.° | Sexo | Edad | Peso | Diagnóstico/síntomas | Tipo | Cirugía | Seguimiento |
|---|---|---|---|---|---|---|---|
| 1 | Mujer | 54 | 57 | Angina | CI de seno derecho | Neo-ostium | 7 años |
| 2 | Varón | 18 | 83 | Angina (baloncesto) | CD de seno izquierdo | Reimplantación | 7 años |
| 3 | Varón | 15 | 75 | Síncope | CI de seno derecho | Neo-ostium | 6 años |
| 4 | Varón | 12 | 42 | Síncope (patinaje) | CI de seno derecho (coronaria única) | Neo-ostium | 5 años |
| 5 | Mujer | 16 | 56 | Síncope (voleibol) | CI de seno derecho | Neo-ostium | 4 años |
| 6 | Varón | 10 | 45 | Angina (padre operado) | CD de seno izquierdo | Neo-ostium | 3 años |
| 7 | Mujer | 16 | 55 | Angina (esquí) | CD de seno izquierdo | Neo-ostium | 3 años |
| 8 | Mujer | 48 | 53 | Angina | CD de seno izquierdo | Unroofing | 2 años |
| 9 | Mujer | 19 | 55 | Angina (esquí) | CI de seno derecho | Neo-ostium | 2 años |
| 10 | Mujer | 13 | 53 | Angina (balonmano) | CD de seno izquierdo | Neo-ostium | 2 años (síndrome pre-excitación) |
| 11 | Varón | 3 | 16 | plastia aórtica previa | CD de seno izquierdo | Reimplantación+Ross-Konno | 2 años |
| 12 | Varón | 25 | 70 | Angina | CI de seno derecho | Neo-ostium | Un año |
| 13 | Varón | 50 | 74 | Angina (estenosis aórtica) | CD de seno izquierdo | Unroofing+prótesis aórtica | Un año |
| 14 | Mujer | 66 | 72 | Angina | CD de seno izquierdo | Neo-ostium | Un año |
| 15 | Mujer | 28 | 70 | Angina | CD de seno izquierdo | Neo-ostium | 6 meses |
CD: coronaria derecha; CI: coronaria izquierda.
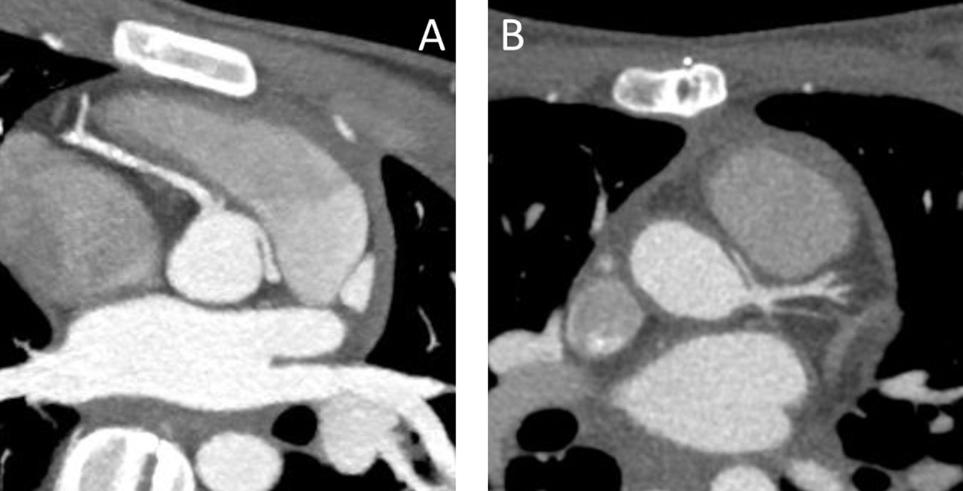
Salvo un caso, todos comenzaron con síncope o angina, y 6 de ellos (adolescentes n.° 2, 4, 5, 7, 9 y 10) durante la práctica deportiva. El restante fue detectado en una valvuloplastia aórtica quirúrgica (menor de un año, n.° 11). En el paciente n.° 13, diagnosticado de estenosis aórtica, se encontró la anomalía coronaria durante un cateterismo preoperatorio. Los estudios se completaron mediante ecografía, prueba de esfuerzo (positiva en todos) y tomografía axial computarizada (TAC) (fig. 1A). En un caso (n.° 4) la coronaria era única. El paciente n.° 6 presentaba antecedentes familiares de la misma enfermedad (padre con CD de origen anómalo en seno izquierdo, operado de revascularización coronaria).
Todos los procedimientos se realizaron por esternotomía media y bajo circulación extracorpórea. Se utilizaron 3 estrategias, en función del tipo de trayecto anómalo (intramural/interarterial), la posición relativa de la comisura intercoronariana y la distancia entre ambos orificios coronarios.
- 1.
Unroofing o destechado. La sección del endotelio aórtico a lo largo del trayecto intramural desplaza el origen de la coronaria a su lugar correspondiente. No usamos esta técnica si la comisura intercoronaria es craneal al trayecto intramural (riesgo de insuficiencia aórtica posterior).
- 2.
Reimplantación de la coronaria anómala. Tras desinsertarla de su origen (con una pastilla de pared aórtica) es reimplantada en su seno correspondiente, en una posición ligeramente craneal (button transfer).
- 3.
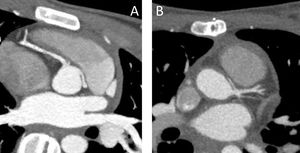
Creación de un nuevo orificio coronario (Neo-ostium). En los pacientes con trayecto intramural no subsidiarios de unroofing y en trayectos interarteriales no aptos para reimplantación. Consiste en unir la pared aórtica del seno correspondiente con la coronaria afectada en el segmento inmediatamente posterior al anómalo, ampliando la sutura con un parche de pericardio propio fresco. La técnica fue descrita como «corrección anatómica» por el grupo de Necker16 (París, Francia) en 2014 (fig. 2).
Pueden encontrar imágenes (vídeo) de las 3 técnicas en los siguientes enlaces17,18: DOI: 10.25373/ctsnet.29636831 y 10.25373/ctsnet.29582852.
ResultadosEn los pacientes con CD anómala se realizaron 2 unroofing (para trayecto intramural) y 2 reimplantaciones de botón coronario (en trayecto interarterial). En los 5 casos restantes se practicó una corrección anatómica. Todos los pacientes con anomalía de la CI fueron operados mediante técnica de corrección anatómica (tabla 1).
Realizamos procedimientos asociados (principales, de hecho) en 2 casos:
- •
N.° 11: técnica de Ross-Konno, por doble lesión valvular aórtica (3 años, 16kg). Conocíamos la anomalía en el origen y trayecto de la CD desde una cirugía previa. En cualquier caso, la cirugía de Ross-Konno conlleva desinserción y reimplantación de los botones coronarios.
- •
N.° 13: implantación de prótesis aórtica, además del unroofing de la CD.
Nuestro protocolo de seguimiento, basado en las guías descritas7,8, incluye prueba de esfuerzo precoz antes de permitir retomar actividades deportivas y la TAC durante el primer año, además de sucesivas TAC cada 5 años. El seguimiento ha sido completo con un rango de 3 meses a 7 años. Las imágenes de la TAC del postoperatorio (fig. 1B) muestran patrón coronario permeable en todos los casos.
No ha habido recurrencia de síntomas en ninguno, salvo en el n.° 10 que presentó dolor atípico durante el ejercicio (balonmano) año y medio después de la cirugía. Una coronariografía resultó normal y se detectó un síndrome de preexcitación en un estudio electro-fisiológico.
DiscusiónEl manejo de los pacientes con origen anómalo de una coronaria de un seno no correspondiente sigue siendo controvertido. La decisión dependerá de la presencia de isquemia, demostración de una causa anatómica (prueba de esfuerzo, TAC, etc.) y posibilidades quirúrgicas. Las guías clínicas7,8 establecen la indicación quirúrgica en los casos sintomáticos (grado de recomendación I, nivel de evidencia C) y lo aconsejan en los casos asintomáticos de la CI por mayor riesgo de muerte súbita (grado de recomendación IIa, nivel de evidencia C). Persisten las dudas en los pacientes asintomáticos con anomalía de la CD (grado de recomendación III, nivel de evidencia C), aunque cada vez más son intervenidos si el trayecto es interarterial, en menores de 30 años, antecedentes familiares, experiencia quirúrgica, deportistas, etc.2,4–6,19,20.
La elección de una técnica quirúrgica, igualmente, se basa en la experiencia del grupo. Maniobras como el unroofing y la reimplantación son conocidas en otros escenarios para un cirujano de cardiopatías congénitas. Determinados patrones coronarios en la cirugía neonatal de la transposición de grandes vasos conllevan el unroofing junto a la desinserción de la comisura intercoronariana, además de separar la pastilla única en 2 botones coronarios21. La reimplantación de una coronaria es habitual en cirugías como Bentall, David, Ross, etc. Ambas técnicas pueden solucionar un porcentaje de anomalías coronarias, aunque no están exentas de riesgos y no siempre son aplicables. Es difícil discernir si el trayecto es intramural o interarterial22,23, y podemos provocar una insuficiencia valvular aórtica al manipular la comisura intercoronariana o recurrencia de síntomas si el unroofing no es completo. La reimplantación en un trayecto interarterial no siempre es factible, como en el caso n.° 4 de coronaria única.
Nuestro grupo prefiere la corrección anatómica16,18 con creación de un Neo-ostium coronario como técnica de elección en la anomalía de la CI y en los casos de CD no susceptibles de unroofing o reimplantación. Uno debe prever alternativas ante una duda diagnóstica (trayecto intramural vs. interarterial) o un imprevisto en el campo quirúrgico. Aunque apenas mencionado, la posibilidad de realizar una revascularización coronaria (como en el padre del paciente n.° 6) queda prácticamente descartada24, reservándose como alternativa o rescate de complicaciones y/o recurrencia de síntomas15.
La literatura recoge un número cada vez mayor de estudios9–15, algunos de ellos multicéntricos y revisiones recientes15. Destacan la prevalencia (quirúrgica) de anomalías en CD, preferencia por unroofing, y cierta tasa de recurrencia con necesidad de reintervención (revascularización coronaria, reparación/sustitución valvular aórtica). Son variables los protocolos de seguimiento, aunque cada vez más uniformes de acuerdo con las guías clínicas7,8. Nuestra serie de 15 casos iniciada en 2018 recoge 5 pacientes con seguimiento igual o superior a 5 años. Los protocolos de seguimiento se ajustan a las guías anteriormente citadas. Un webinar reciente25 recoge las impresiones quirúrgicas de diferentes centros, debatiendo indicaciones, técnicas y resultados (unroofing completo para evitar recurrencia de síntomas, reimplantación con/sin botón de pared aórtica, etc.).
ConclusionesLas anomalías de origen coronario desde un seno no correspondiente son escasas, pero potencialmente graves cuando afectan a la CI, con trayectos interarteriales y en menores de 30 años. La indicación quirúrgica de las anomalías en la CD para casos asintomáticos continúa siendo objeto de debate. Quirúrgicamente, existen varios procedimientos en función de la anatomía detectada. Nuestro grupo prefiere la corrección anatómica (creación de Neo-ostium) en casos de anomalías en la CI y como alternativa al unroofing o reimplantación en la CD. Los resultados iniciales son satisfactorios.
Derecho a la privacidad y consentimiento informadoTodos los pacientes (tutores, en los menores de edad) firmaron el correspondiente consentimiento informado.
Declaración de IA generativa y tecnologías asistidas por IA en el proceso de redacciónNo utilización de inteligencia artificial.
FinanciaciónLos autores declaran no haber recibido financiación para la realización de este trabajo.
Conflicto de interesesLos autores declaran no tener ningún conflicto de intereses.




