La endocarditis protésica valvular (EPV) es una forma grave de endocarditis infecciosa, que representa una proporción creciente en la globalidad de casos de esta entidad. Los cambios epidemiológicos derivados del envejecimiento poblacional, de la expansión de implantes de dispositivos, de los cuidados sanitarios y de los determinantes sociales, han modificado los agentes etiológicos más frecuentes, y derivado en formas más graves, con mayor extensión local. A pesar de los avances diagnósticos y terapéuticos, la EPV mantiene un pronóstico sombrío, y requiere la intervención de equipos multidisciplinares específicos para la optimización de resultados.
Prosthetic valve endocarditis (PVE) is a severe form of infective endocarditis that accounts for a growing proportion of the overall incidence of this condition. Epidemiological changes resulting from the aging population, the expansion of implantable devices, healthcare, and social determinants have modified the most common etiologic agents and led to more severe forms with greater local spread. Despite diagnostic and therapeutic advances, PVE maintains a poor prognosis and requires the intervention of dedicated multidisciplinary teams to optimize outcomes.
La endocarditis infecciosa (EI) es una enfermedad multisistémica que resulta de la infección, habitualmente bacteriana, de un daño endocárdico del corazón1. Descrita por primera vez en el siglo XVIII, cuando las autopsias eran la modalidad diagnóstica2. Broussais y Bouillard se refirieron con «endocarditis» al proceso inflamatorio. La teoría de los gérmenes, a finales del siglo xix3, reformuló el concepto y Sir William Osler relaciona los crecimientos micóticos valvulares con «transferencia de microbios a partes distantes»4, describiendo así el componente multisistémico1. La endocarditis protésica valvular (EPV) es una infección microbiológica endovascular de alguna parte de una prótesis valvular o válvula reparada5,6. Los primeros casos se describieron hace más de 60 años7. Aunque series tempranas referían que la EPV suponía el 5% de los casos de EI, series más recientes describen un incremento de esta proporción, hasta el 20%, en los últimos años8,9.
Afecta a prótesis mecánicas, biológicas, homoinjertos o válvulas reparadas, con o sin anillo protésico10. Otra consideración merece los dispositivos o catéteres intracardiacos, no conectados a estructuras endocárdicas, ya que son infecciones asociadas a polímeros, más propiamente que la EPV6.
A pesar de los avances en dispositivos, procedimientos, pruebas de microbiología molecular, medicina nuclear y abordaje multidisciplinar11, sigue siendo una entidad grave y con pronóstico sombrío. Se han iniciado programas de desinstitucionalización para completar eficazmente el tratamiento antibiótico parenteral en domicilio12, o desescalada a la vía oral13.
Material y métodosBúsqueda exhaustiva de artículos publicados en Medline, en la National Libraryof Medicine, Google Académico y buscador genérico Google, utilizando como palabras clave, en lengua inglesa y española: endocarditis protésica valvular-prosthetic valve endocarditis, endocarditis infecciosa-infective endocarditis, endocarditis prótesis transcatéter-transcatheter valve endocarditis, endocarditis protésica derecha-right-sided valve endocarditis. Se primaron las series con más de 15 pacientes, las más recientes y relevantes, por citación. Para aspectos específicos se han considerado series más pequeñas.
EpidemiologíaEl material protésico valvular, EI previa o las cardiopatías cianóticas son factores de riesgo conocidos para EI, multiplicando por 100, hasta 400 veces según algunas series14,15, el riesgo de la población general, que oscila entre 4-7,5/100.000 personas / año16. Aunque la incidencia en estudios comunitarios se mantuvo estable en las últimas décadas17, las nuevas terapias transcatéter pueden haber afectado estas cifras. La proporción de EPV ha experimentado un aumento reciente18, representando el 20-30% de los casos de EI19,20, el 31% según el registro EURO-ENDO21. La administración de profilaxis antibiótica está recomendada en los pacientes de alto riesgo11. El 2,5% de ellos requieren ingreso hospitalario por EI en un periodo de 5 años, durante el cual fallecen más del 20%14. A pesar de los avances, los pacientes con EPV duplican la mortalidad operatoria de la endocarditis valvular nativa (EVN). Esta forma grave de EI afecta al 3-6% de los pacientes con prótesis valvulares, en algún momento de su vida22, lo que supone entre el 0,3-1,2% por paciente / año. No hay diferencias significativas entre prótesis transcatéter (3,4/1.000 pacientes / año) o quirúrgicas (2,9/1.000 pacientes / año)23. Aunque hay estudios que reportan mayor riesgo de desarrollar EPV para prótesis biológicas, otros identifican una prevalencia similar a 5 años, en relación con las mecánicas, las cuales presentan mayor susceptibilidad para la infección durante los primeros 3 meses24.
El aumento de pacientes añosos y uso creciente de hardware implantable, han influido en los perfiles epidemiológicos, contrarrestando el beneficio global de los avances y aumentando la prevalencia y la exigencia diagnóstico / terapéutica25–27. La edad media de los pacientes con EPV ha aumentado 6 años en una década8.
El abuso de sustancias y otros determinantes sociales de la salud han incrementado el número de adictos a drogas por vía parenteral (ADVP)28 en Europa29, América30 y Australia31. La EI en ADVP cursa con aceptable mortalidad precoz32, pero peor pronóstico por más reinfecciones33 y asociación con Staphylococcus aureus (SA)34-36.
Agentes causalesParalelamente a la modificación de los factores de riesgo, también varían los agentes microbiológicos causales. Aunque Streptococcus y Staphylococcus causan el 80% de los casos, hay variaciones geográficas y temporales. El perfil epidemiológico ha cambiado desde la publicación de la Euro Heart Survey en el año 2005, habiendo aumentado los casos de EI nosocomial y/o estafilocócica20,37. En los registros contemporáneos el Streptococcus viridans ha sido superado por el SA38, Staphylococcus coagulasa negativos (SCN)39 y el Enterococcus spp40, debido a su relación con la endocarditis asociada a los cuidados, EPV y EPV sobre implante valvular aórtico transcatéter (TAVI)21,26,37, entidad en aumento y no exclusiva de países desarrollados41. El SA ha sido el microorganismo causal más frecuente, con el 31% de los casos, en el International Collaboration on Endocarditis-Prospective Cohort Study (ICE-PCS), seguido de los Streptococcus orales (17%) y SCN (11%)37, resultados similares al registro EURO-ENDO21. Algunas series sitúan al Enterococcus faecalis como tercera causa40. El SCN ha aumentado especialmente en los pacientes ancianos42–45. Las infecciones por hongos y otros bacilos gram negativos (BGN), aunque raras, guardan relación con la prestación de cuidados46,47. El 10% de los casos cursan con hemocultivos negativos, con identificación posterior en el 60% de ellos por pruebas serológicas o biopsias valvulares48.
Momento de infecciónTomando como referencia la fecha de la intervención, se distingue entre EPV temprana y EPV tardía6. La infección temprana se produce durante los primeros 12 meses tras el implante. Las más precoces, producidas los primeros 2 meses, son nosocomiales y se relacionan con los cuidados y la seguridad del paciente, mediante contaminación directa durante el procedimiento, o hematógena en el postoperatorio. Están producidas por SA, SCN o microorganismos nosocomiales (BGN, hongos). La EPV temprana que ocurre entre los 2 y los 12 meses se relaciona con los cuidados adquiridos en la comunidad49. La EI asociada a los cuidados representa el 27-30%20,21. La EPV tardía, a partir del año, se adquiere en la comunidad, y presenta un patrón microbiológico similar al de la EVN, con predominio de infecciones estreptocócicas y estafilocócicas (tabla 1).
Diferencias EVP precoz y tardía
| Tipo de EVP | Definición | Mecanismo y origen típico | Microorganismos | Características |
|---|---|---|---|---|
| Precoz | ≤12 meses tras la cirugía | Nosocomial. Infección perioperatoria por contaminación directa o hematógena asociada a cuidados / seguridad. Suele afectar la unión anillo / prótesis. | Staphylococcus aureus; Staphylococcus coagulasa negativos (SCN); bacilos gramnegativos (incluido Pseudomonas); Candida spp. | Alta mortalidad (≈40%). Afectación perivalvular (absceso, dehiscencia). Requiere cirugía precoz. |
| Tardía | >12 meses tras la cirugía | Comunitario. Infección adquirida por vía hematógena (oral, digestiva o cutánea). | Similar a la EI valvular nativa: Estreptococos α-hemolíticos (grupo viridans); Enterococcus faecalis; SCN; Staphylococcus aureus comunitario; ocasionalmente Coxiella burnetii u otros gramnegativos. | Curso subagudo. Menor afectación perivalvular. Pronóstico algo mejor. Riesgo embólico relevante si existen vegetaciones grandes. |
Los anillos, suturas y tejidos protésicos se endotelizan, lo cual actúa como protección, siendo el depósito de microtrombos plaquetarios el sustrato de adhesión para microorganismos durante episodios bacteriémicos. Los metales, como el titanio o el carbón pirolítico, no permiten, en ausencia de trombos, la adhesión de microorganismos. Por ello la infección, en las prótesis mecánicas, se produce en el anillo de sutura o en áreas de recirculación próximas, generando dehiscencias periprotésicas o extensión a tejidos adyacentes (fig. 1). En prótesis biológicas, la infección, al igual que en la EVN, tiende a iniciarse en las valvas50. Las infecciones de los dispositivos electrónicos intracardiacos no se asocian necesariamente a infecciones valvulares51.
Endocarditis protésica aórtica: a) dehiscencia periprotésica por EPV, b) prótesis mecánica aórtica infectada explantada, c) reconstrucción del anillo valvular con pericardio heterólogo, d) EPV mitral, e) prótesis mitral mecánica infectada explantada y f) integridad periprotésica mitral con vegetación en anillo de sutura.
Las infecciones por SA son más frecuentes en prótesis mecánicas, mientras que las biológicas presentan infecciones por Streptococcus viridans, Enterococcus o SCN, sin diferencias entre posición aórtica o mitral52. Los SCN, susceptibles a la novobiocina, son capaces de adherirse a superficies53 y de producir un biofilm que genera resistencia a antibióticos54. El Enterococcus faecalis, de menor relevancia históricamente, ha cobrado importancia al ser el principal responsable de EI sobre TAVI, por su resistencia intrínseca y formación de biofilm que dificultan el tratamiento55. La micobacteria no tuberculosa de lento crecimiento, Mycobacterium chimaera causa una infección nosocomial rara, asociada a cuidados, por diseminación desde las unidades de calentamiento de las máquinas corazón / pulmón y que afecta a prótesis valvulares, injertos vasculares y dispositivos de soporte circulatorio56. Tiene preferencia por afectación ocular57, y puede confundirse con enfermedades granulomatosas, como la sarcoidosis58. Su latencia hasta la manifestación clínica es un desafío diagnóstico y la producción de biofilm, un desafío terapéutico59.
Presentación clínica y diagnósticoEn las formas agudas, más frecuentemente causadas por SA, las manifestaciones más frecuentes son la fiebre y tiritona que junto con signos de insuficiencia cardíaca (IC), aparecen en las 2 semanas previas al diagnóstico. La existencia de material protésico en un paciente con fiebre, a pesar de su inespecificidad, debe aumentar la sospecha1,37. En las formas subagudas predominan la febrícula y los síntomas constitucionales; hallazgos de valvulitis, embolismos o fenómenos inmuno-vasculares y los agentes Streptococcus, SCN o Propionibacterium acnes60. La variabilidad clínica dificulta el diagnóstico.
El diagnóstico de la EPV incluye una combinación de datos clínicos, microbiológicos y ecocardiográficos (tabla 2) y debe llevarse a cabo en el seno de un equipo multidisciplinar de endocarditis11, cuya composición y funciones se describen ya en las guías europeas del año 201561.
Validez de las principales modalidades diagnósticas en endocarditis protésica valvular en cuanto a sus características intrínsecas. Principales limitaciones de las mismas
| Modalidad diagnóstica | Sensibilidad (%) | Especificidad (%) | Limitaciones |
|---|---|---|---|
| Criterios Duke modificados62 | 85 | 94 | Hemocultivos positivos. |
| ETT vegetaciones82 | 30 | 90 | Vegetaciones pequeñas. |
| ETT periprotésica82 | 36 | 90 | Definición. |
| ETE 2D vegetaciones84 | 85-90 | 90-100 | Pequeñas. |
| ETE 2D perivalvular86 | 87 | 95 | Sombra acústica. |
| PET/TC100 | 86 | 88 | Supresión previa de actividad metabólica.FN: antibioterapia previa, diabetes, vegetaciones móviles, bajo grado de inflamación.FP: cirugía reciente, trombosis, uso de sellantes. |
| Escintigrafía con leucocitos marcados87,110 | 64-90 | 100 | Preparación compleja (extracción de sangre, centrifugado, marcaje, reinfusión).Adquisición de imágenes precoces y tardías.Resolución espacial limitada. |
ETT: ecocardiografía transtorácica.
La European Society of Cardiology (ESC) y la Duke-International Society for Cardiovascular Infectious Diseases (Duke-ISCVID) han actualizado sus criterios diagnósticos para la EI en 202311,62 (tabla 3). Ambos criterios modificados tienen similar sensibilidad (84-85%), aunque los Duke-ISCVID son más específicos (94 vs. 82%)63, con una sensibilidad, previa a su modificación, del 80%, sensibilidad, aún menor en la EPV por la mayor frecuencia de hemocultivos negativos64.
Criterios diagnósticos para endocarditis infecciosa (EI) - Duke-ISCVID 2023
| Criterios patológicos(EI definitiva) | Identificación de microorganismos en tejido, material protésico, vegetaciones o émbolos.Evidencia de endocarditis activa (vegetación o cambios tisulares adyacentes) en válvula nativa, protésica, o en dispositivo intracardíaco | Análisis microbiológico o patológico de tejido o material protésico explantado |
|---|---|---|
| Criterios clínicos mayores - Microbiológicos | Microorganismos típicos de EI en ≥ 2 hemocultivos separados (o persistentes).En EPV se amplía la lista de microorganismos típicos: SCN, Corynebacterium jeikeium,Cutibacterium acnes, Serratia, Pseudomonas, micobacterias no tuberculosas, Candida spp.Métodos moleculares (PCR, secuenciación metagenómica) para microorganismos fastidiosos: Bartonella, Coxiella burnetii, Tropheryma whipplei.Ecocardiografía o TC: vegetación, absceso, seudoaneurisma, fístula intracardíaca o nueva dehiscencia de la válvula protésica. | En EI sobre prótesis o dispositivos, el umbral para considerar «microorganismos típicos» es más amplio. Se simplificaron los requisitos de toma de hemocultivos. |
| Criterios clínicos mayores - Imagen/cirugía | PET/TC con 18F-FDG: captación metabólica anómala en válvula nativa, protésica o dispositivos (> 3 meses tras la implantación).Hallazgos intraoperatorios compatibles con EI (vegetación, absceso, dehiscencia). | En válvulas o dispositivos protésicos se recomienda TC o PET/TC |
| Criterios clínicos menores | Condición predisponente: material protésico, EI previa, cardiopatía congénita o ADVP.Fiebre>38°C.Fenómenos vasculares: émbolos arteriales, infartos sépticos, aneurisma micótico, hemorragia intracraneal, hemorragias conjuntivales, lesiones de Janeway.Fenómenos inmunológicos: factor reumatoide positivo, nódulos de Osler, manchas de Roth, glomerulonefritis.Evidencia microbiológica que no cumple criterio mayor (hemocultivo único o serología/PCR positiva).La captación patológica en PET/TAC, que en EPV es más específica tras los primeros 3 meses. | La presencia de material protésico ya es, per se, un factor predisponente. La captación metabólica precoz (<3 meses) puede reflejar inflamación postquirúrgica, no infección. |
| Categorías diagnósticas | Endocarditis definitiva: criterio patológico o (≥2 mayores) o (1 mayor + 3 menores) o (5 menores).Endocarditis posible: (1 mayor + 1 menor) o (3 menores).Endocarditis rechazada: diagnóstico alternativo firme, resolución sin tratamiento antibiótico o criterios no cumplidos. | La EPV requiere, con frecuencia, imagen multimodal y microbiología avanzada. |
ADVP: adictos a drogas por vía parenteral; EI: endocarditis infecciosa; EPV: endocarditis protésica valvular; PCR: proteína C reactiva; SCN: Staphylococcus coagulasa negativos.
Fuente: Fowler et al.62.
Laboratorio: Los biomarcadores más utilizados son la proteína C reactiva (PCR) y la procalcitonina11 y, aunque contribuyen a la estratificación, su sensibilidad es mejorable y no son específicos de la EI65.
Microbiológico: Los hemocultivos son la prueba inicial, y la más importante66. La mayoría de los pacientes tienen hemocultivos positivos 37, y proporcionan información de susceptibilidad. Se recomienda obtener 3 muestras, en intervalos de 30 min, antes del inicio de la antibioterapia67,68, ya que el inicio de antibioterapia previo puede disminuir la proporción de positivos69, siendo esta la causa más frecuente de hemocultivos negativos11,70.
Pruebas serológicas de inmunohistología para detección de anticuerpos específicos (Coxiella burnetii, Bartonella spp, Aspergillus spp, Mycoplasma pneumoniae, Brucella spp y Legionella pneumophila)71-75 o medios de cultivo especiales, como en el caso de la Bartonella.
Por histopatología, cultivando el tejido valvular o de vegetaciones, y técnicas de microscopia71, p. ej., en el caso de agentes intracelulares, o técnicas moleculares (PCR DNA o secuenciación de RNA ribosómico 16S o 18S)61,76 se puede aumentar un 30% las posibilidades de diagnóstico en los casos de cultivos negativos o gérmenes fastidiosos77. La secuenciación metagenómica de DNA plasmático de células no infectadas muestra resultados prometedores con potencial diagnóstico etiológico en válvulas explantadas74,78. La realización de PCR en las regiones V1 a V3 de los genes de RNA ribosómico de la subunidad 16S, en plasma o sangre, permite la detección de material genético de los patógenos en el 70% de los casos, incluso en aquellos con hemocultivos negativos79.
Diagnóstico por imagenLa ecocardiografía es la segunda línea de diagnóstico y la modalidad de imagen de elección para diagnóstico y seguimiento. Debe realizarse en todos los casos sospechosos de EI61,80. Es esencial en la toma de decisiones, y sus hallazgos constituyen un criterio diagnóstico mayor. Proporciona información pronóstica, de monitorización de tratamiento y de valoración perioperatoria81.
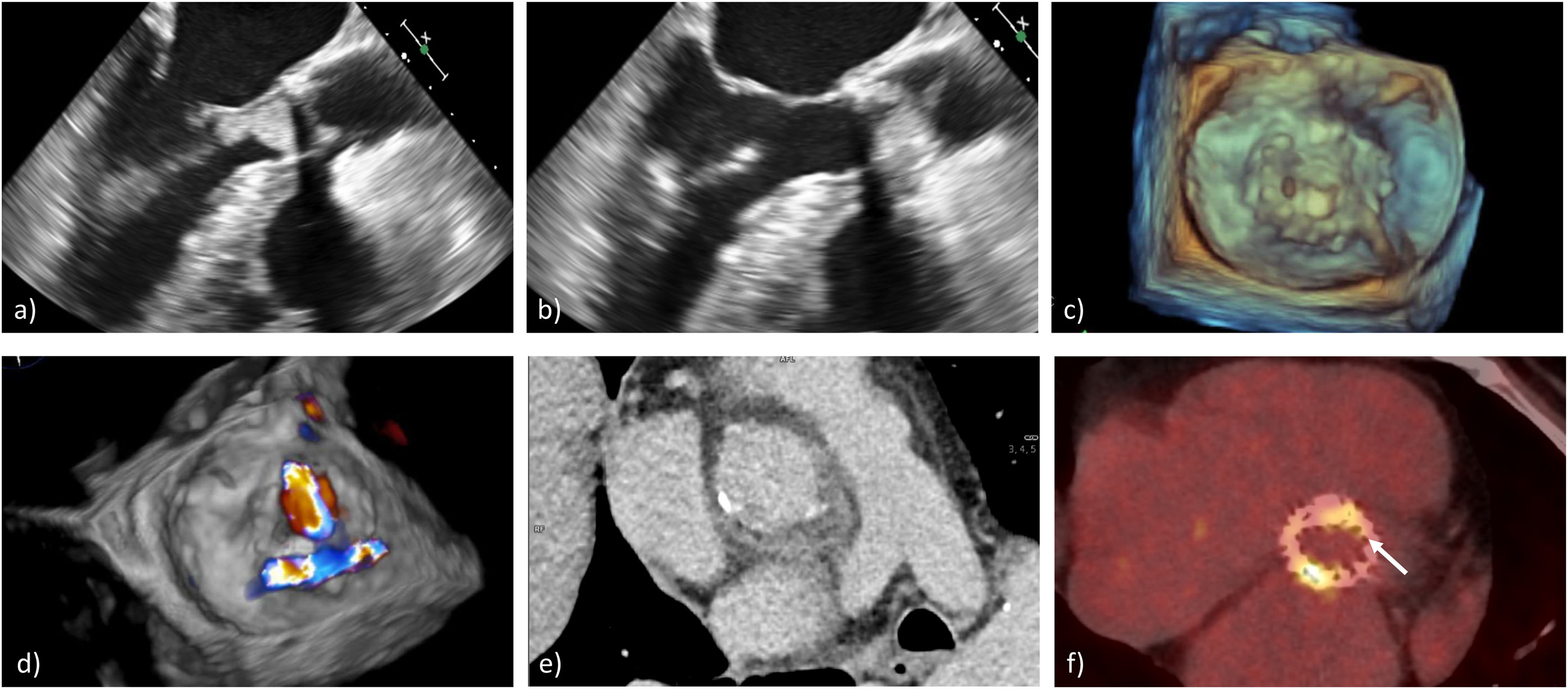
La ecocardiografía transtorácica (ETT), a pesar de su discreta sensibilidad (30% en el caso de vegetaciones y 36% en afectación periprotésica), tiene una elevada especificidad (>90%), similar a la de la ecocardiografía transesofágica (ETE)82,83 (figs. 2a y b).
Endocarditis protésica: a) ETE-2D: vegetación protésica aórtica en tracto de salida del ventrículo izquierdo en diástole, b) la misma vegetación con protusión sistólica en la aorta, c) ETE-3D vegetaciones en EPV mitral, d) ETE-3D: fuga periprotésica en EPV mitral, e) TC cardiaca, corte axial: absceso periprotésico aórtico y f) PET con 18F-FDG: hipercaptación multifocal y heterogénea sobre TAVI balón-expandible.
La ETE se indica en los pacientes con ETT negativa o para caracterizar la extensión local de la infección por su mejor desempeño para la detección de vegetaciones de pequeño tamaño, complicaciones periprotésicas o infección de dispositivos electrónicos implantables6,84, con una sensibilidad y especificidad del 85-90% y 90-100%, respectivamente85, que serían del 87 y 95% en el caso de extensión local86,87. A pesar de ello, todavía existen variabilidades acerca de su utilización88 y según datos de EURO-ENDO, el 99,8% de los pacientes diagnosticados de EI tienen un ETT (156 hospitales de 40 países). Sin embargo, solamente el 58,1% han realizado ETE (66 vs. 53% EPV vs. EVN; p<0,0001). La sombra acústica del material protésico puede ser una limitación, sobre todo en la cara anterior de la raíz aórtica83, al igual que la presencia de hilos de sutura, restos del aparato subvalvular mitral o hematomas periaórticos, que requieren de contextualización clínica60. La ETE-3D (fig. 2c), aunque no como herramienta inicial, ha demostrado utilidad complementaria, combinada con la ETE-2D89, para caracterizar las complicaciones periprotésicas (localización, tamaño, extensión), gravedad de lesiones y perforaciones90. La ecocardiografía debe realizarse tan pronto como exista sospecha, ya que las complicaciones locales o embólicas aumentan paralelamente al tiempo transcurrido desde la primera ecocardiografía91.
La tomografía computarizada (TC), la resonancia magnética (RM) y la radiología nuclear proporcionan imágenes complementarias que ayudan a confirmar o descartar, así como a delimitar la extensión local y las complicaciones extracardíacas92. La TC cardiaca, es una herramienta fiable para la evaluación de extensión periprotésica (fig. 2e) y complementado con imágenes de medicina molecular juegan un papel relevante en la EPV11,93 mediante su integración en flujos de trabajo de imagen multimodal69.
Las técnicas de medicina molecular no se basan en el análisis morfológico, sino en la actividad metabólica y son útiles en enfermedades oncológicas, infecciosas e inflamatorias95,96. La tomografía por emisión de positrones (PET) con 18F-Fluorodesoxiglucosa (FDG), combina la información anatómica de la TC con la captación metabólica de FDG (fig. 2f). En fiebre de origen desconocida presentan una sensibilidad del 88% y una especificidad del 100%97. En la EPV la sensibilidad es elevada, del 85% aproximadamente (73-100%)7,98. En la EVN su utilidad es controvertida, por la baja sensibilidad99,100, limitándose a la detección de embolias como criterio menor. En la serie de Saby et al. para EPV la sensibilidad y la especificidad han sido del 73 y 80%, respectivamente, que aumenta al 92 y 100%; mejorando el rendimiento diagnóstico cuando se utiliza sincronizado con el electrocardiograma y en combinación con ETE, permitiendo reclasificar a un 20% de los pacientes101. Ha demostrado utilidad en la detección de lesiones metastásicas por embolia séptica en órganos con baja actividad metabólica (tejido músculo esquelético o bazo)102. La importancia de esta modalidad en el diagnóstico de infecciones de dispositivos electrónicos intracardiacos es creciente, ya que permite, además, localizar la infección en la bolsa o en los electrodos103,104. Sin embargo, requiere preparación con dieta baja en hidratos de carbono y rica en grasas durante las 72h previas. La administración previa de antibióticos y/o hiperglucémica pueden dar falsos negativos95,105, como en los pacientes diabéticos descompensados106. La cirugía cardíaca reciente y trombosis86 resulta en falsos positivos.
Las imágenes de PET/TC se han considerado en los criterios de la ESC61 y en las guías de la de American College of Cardiology/American Heart Association107.
El PET/TC con 18F-FDG está disponible en el 70% de los centros afiliados a la ESC, realizándose en uno de cada 4 pacientes con EPV (25% EPV vs. 9% EVN; p<0,0001), lo que implica una mayor utilización en Europa occidental que en otras áreas21.
La inteligencia artificial y el aprendizaje automático son líneas de desarrollo en el diagnóstico de EPV108, con mayor utilidad en centros con experiencia limitada en la interpretación de estas imágenes, ya que se ha demostrado el aumento de la sensibilidad diagnóstica cuando se añaden a los criterios de Duke101,109,110. La adición de esta prueba como criterio mayor diagnóstico ha aumentado la sensibilidad al ingreso, a expensas de los casos de EI posible, sensibilidad que fue del 92% en los casos con indicación quirúrgica86.
En la escintigrafía o single photon emission computed tomography (SPECT) se han utilizado radiotrazadores para marcar leucocitos autólogos del paciente (tecnecio-99m, indio-111, galio-67) siendo prometedora en los casos de endocarditis protésica. La principal fortaleza de esta técnica es en la reclasificación de los pacientes con ETE de difícil interpretación, permitiendo llegar al diagnóstico y teniendo correlación pronóstica, aunque presenta peor sensibilidad que el PET/TC. Es superior en la fase aguda por el mayor acúmulo de granulocitos neutrófilos y tiene mayor especificidad para el diagnóstico de EI con ETE no concluyente111,112. Para la detección de embolias es necesario considerar que el patrón gammagráfico de embolia esplénica o de espondilodiscitis, área fría, puede verse en otras entidades benignas o metástasis92.
Endocarditis tras sustitución valvular aórtica quirúrgicaHay factores de riesgo comunes con las TAVI113: jóvenes113, varones16,114,115, FA, diálisis116 y EuroSCORE logístico elevado. Aunque hay series que no han encontrado diferencias respecto al tipo de prótesis utilizadas113, otras identifican mayor incidencia en las prótesis biológicas6,117, que en las mecánicas8,118. Series históricas reflejan una menor frecuencia en la afectación en posición mitral que aórtica6,54. Estas diferencias podrían haberse incrementado con la expansión global de TAVI. En la sustitución valvular aórtica quirúrgica (SVAQ), un índice de masa corporal (IMC) elevado113 se asocia a mayor riesgo de EPV.
Endocarditis tras implante valvular aórtico transcatéterLa incidencia de EI tras TAVI es similar a la obtenida en las principales series quirúrgicas, tanto en los estudios observacionales como en los aleatorizados23,119,120, oscilando entre el 0,3-2,0 por 100 pacientes / año11,26. Revisiones sistemáticas y metaanálisis recientes estiman la incidencia entre 2 y 8 casos por cada 1.000 pacientes / año según la EPV sea tardía o precoz, respectivamente, con una mortalidad global de casi el 40%121. Los datos del National Institute for Cardiovascular Outcomes Research (NICOR) muestran una incidencia similar en series transcatéter y quirúrgicas, si bien, limitaciones en la codificación pueden infraestimar la primera113. Sin embargo, la población sometida a TAVI es más envejecida y presenta mayor susceptibilidad a EI, por inmunosenescencia y requerimiento de intervenciones invasivas122,123.
A pesar de ello, los estudios PARTNER 1 y 2 (NCT00530894 y NCT01314313) no han identificado diferencias significativas de incidencia67, identificando 5,2 casos en pacientes TAVI por 1.000 pacientes / año (IC 95%: 4,26-6,38) y 4,1 en los pacientes sometidos a SVAQ por 1.000 pacientes intervenidos / año (IC 95%: 2,33-7,22)124. Los estudios PARTNER 3 y Evolut Low Risk han mostrado cifras en torno al 0,2% pacientes / año125,126, más bajas que otras series26.
La mayoría de las infecciones tras TAVI (65%) ocurren en los 3 primeros meses114, aunque los avances técnicos y la reducción de complicaciones están mejorando estas cifras114,127.
Factores de riesgo tras implante valvular aórtico transcatéterLos gradientes elevados, flujo turbulento y posterior lesión endotelial, que sirve como base para la formación de vegetaciones113,123. Otros factores predisponentes identificados son la edad joven, género masculino y disfunción renal11,115,120,124,128–130.
La regurgitación periprotésica, aunque ha disminuido en sus grados moderados o graves, con los modelos más recientes, se asocia con eventos cardiovasculares131,132 y favorece el desarrollo de EI26,115. Incluso en el estrato de riesgo bajo la insuficiencia periprotésica mayor que ligera (>3%) es la principal causa de reintervención126,133.
Hay autores que descartan asociación entre implante de marcapasos post-TAVI y desarrollo de EI114, pero este aspecto requiere validación, ya que se trata de un procedimiento invasivo.
Aunque existen estudios que muestran un riesgo aumentado para prótesis autoexpandibles43, otros para las que requieren despliegue mecánico113, la incidencia y resultados son similares en ambos tipos134,135.
Las vegetaciones no se localizan en las valvas en el 38-60% de los casos, tratándose de engrosamientos que derivan en patrones obstructivos94. Se localizan en el stent, en el 12% de los casos (19% en prótesis autoexpandibles)134. Pueden estar libres de vegetaciones o localizarse en la válvula mitral hasta en un tercio de los casos115,127,128.
Los enterococcus son más predominantes en ancianos136 y en TAVI-TF y junto con los SA, son los agentes etiológicos más frecuentes115,127 y el 20% de los pacientes carece de antecedentes febriles.
Endocarditis protésica valvular mitralLa mayoría de las series clásicas y recientes de EPV, identifican la afectación mitral con menor frecuencia que la aórtica137,138, aunque hay excepciones en sentido contrario139. La extensión local de la infección ocurre con mayor frecuencia que en la endocarditis nativa. Su localización anatómica, complejidad geométrica, afectación del anillo mitral, surco auriculoventricular, cuerpo fibroso o fistulización confieren mayor complejidad a la intervención, que se refleja en un riesgo quirúrgico amentado24.
El riesgo de EI tras la técnica borde a borde percutánea es bajo, y los casos incidentales documentados se relacionan con reposicionamientos y reimplantes140.
Tratamiento antimicrobianoLos principios básicos en tratamiento antimicrobiano son comunes a la EVN. Existen, sin embargo, algunas consideraciones: la dosis debe pretender una concentración plasmática máxima no tóxica, concentración mínima inhibitoria ha de ser ≥4μg/ml, para favorecer la penetración en vegetaciones mayores; la duración también es más larga. Tras la obtención de muestras para hemocultivos se iniciará antibioterapia de amplio espectro que cubra microorganismos gram positivos (incluyendo SA resistente a meticilina) y BGN (incluyendo seudomonas). Podría ser vancomicina + cefepime o piperacilina / tazobactam. En infecciones relacionadas con los cuidados, con preocupación por BGN o Enterococcus; puede añadirse gentamicina, con precaución por nefrotoxicidad. Se recomienda el uso de bactericidas durante 6 semanas tras el último hemocultivo positivo11,80. La producción de biofilm y adhesión irreversible al material protésico de SCN dificulta la curación con antibioterapia.
Uno de los principales avances en antibioterapia ha sido el cambio de paradigma basado en la administración intravenosa e intrahospitalaria. Estudios recientes soportan 3 nuevas estrategias: 1) antibioterapia oral en la comunidad13, 2) antibioterapia intravenosa en hospitalización a domicilio y 3) antibióticos con propiedades que permiten la administración semanal98. Con la desescalada a vía oral, los resultados a 5 años no presentan diferencias respecto a la pauta completa intravenosa, según el ensayo Partial Oral Treatment of Endocarditis (POET)141, y es efectiva y segura12, tanto en la endocarditis derecha, izquierda o protésica142. Además, disminuye complicaciones derivadas de la estancia, de catéteres, reduce costes y mejora los efectos secundarios y calidad de vida. Hay evidencia que soporta el uso de antibióticos de larga duración, como el lipoglucopéptido dalbavancina, que permite el alta hospitalaria precoz y administración semanal o bisemanal, en los pacientes seleccionados143.
Tratamiento quirúrgico: indicaciones, consideraciones generales y principiosAl igual que en la EVN las indicaciones de intervención quirúrgica responden a 3 tipos: hemodinámicas, infecciosas o prevención de embolias60,61 (tabla 4).
Tabla. Resumen indicaciones quirúrgicas EVP
| Situación clínica | Ámbito | Recomendación | Clase / Nivel |
|---|---|---|---|
| Insuficiencia cardíaca aguda por disfunción protésica | IC | Cirugía urgente en los pacientes con EVP e IC grave o shock cardiogénico por disfunción valvular. Emergente si edema pulmonar refractario o shock. | Clase I / Nivel B |
| Extensión perivalvular | Control infección | EVP complicada: absceso, seudoaneurisma, fístula, dehiscencia o nuevo BAV. | Clase I / Nivel B |
| Infección persistente (bacteriemia >7 días) | Control infección | EVP con bacteriemia persistente, a pesar de tratamiento antibiótico adecuado. | Clase IIa / Nivel B |
| Infección por microorganismos difíciles | Control infección | Cirugía precoz en EVP por hongos o bacterias multirresistentes, difíciles de erradicar. | Clase I / Nivel C |
| Vegetaciones grandes. Riesgo embolígeno | Prevención embolia | La cirugía debe considerarse con vegetaciones grandes móviles (≥10mm) tras uno o más eventos embólicos o en presencia de otros factores de riesgo embólico. | Clase I / Nivel B |
| Complicaciones neurológicas | Prevención embolia | La cirugía no debe retrasarse en los pacientes con ictus isquémico sin hemorragia intracraneal significativa* y si es posible diferirse >4 semanas si hemorragia extensa**. | Clase I / Nivel B* y Clase IIa / Nivel C** |
| Dispositivos cardiacos implantables, con infección confirmada y afectación valvular | Otras | En los pacientes con EVP y marcapasos o desfibrilador, debe extraerse el dispositivo y realizarse cirugía valvular si existe compromiso de la prótesis o absceso. | Clase I / Nivel B |
| Endocarditis tras TAVI | Otras | Individualizada. | Individualizada |
BAV: bloqueo aurículo ventricular; EVP: endocarditis valvular protésica; IC: insuficiencia cardíaca; TAVI: implante valvular aórtico transcatéter.
Fuente: ESC 2023, sección 9.3.1; Eur Heart J. 2023;44:3991-5. PMID: 37622656.
La extensión perivalvular se ve con mayor frecuencia en la EPV que en la EVN (49,5 vs. 25,9%; p<0,000121. Esto asociado a una importante proporción de pacientes que reciben tratamiento médico en lugar de reintervención quirúrgica curativa deriva en una mayor mortalidad acumulada43,115,144. Por ello, más de la mitad de los pacientes con EPV requieren de intervención quirúrgica19,61, porcentaje mayor en el caso de EPV precoz49,145,146, por su extensión periprotésica más frecuente86,147.
Se han descrito varios tipos de lesiones periprotésicas (absceso, pseudoaneurisma, fístula, dehiscencia protésica, perforación valvular, aneurisma)60, que junto con el tamaño de la vegetación o alteraciones de la conducción de nueva aparición son signos de infección localmente descontrolada, más frecuentes en posición aórtica, pudiendo afectar al 50% y extenderse a la continuidad mitro-aórtica21,148. Ramanathan et al. lo atribuyen a aspectos intracardiacos y de los microorganismos, y no a comorbilidades del paciente93.
La EVP presenta una mortalidad hospitalaria elevada (20-40%) y una disminución de la supervivencia a largo plazo11,149,150. La cirugía ha demostrado ser potencialmente curativa y es un predictor independiente de supervivencia11. Sin embargo, la estimación del riesgo quirúrgico en la EI, mediante las escalas clásicas de riesgo (EuroSCORE II y STS), es deficiente debido a su bajo rendimiento, en términos de discriminación y calibración, ya que estos modelos fueron desarrollados en una población mayoritariamente sometida a intervenciones electivas de cardiopatía isquémica y/o valvulopatías degenerativas, obviando la fisiopatología séptica y destructiva de la EI, subestimando, por tanto, el riesgo (ABC-ROC<0,8)151. Se han desarrollado escalas específicas para EI con mejor rendimiento predictivo, ya que incorporan variables clave con importancia en el pronóstico, como son la presencia de abscesos, shock séptico, agentes etiológicos o urgencia quirúrgica (AEPEI, EndoSCORE, PALSUSE, RISK-E)151-154, con ABC-ROC>0,8 en el caso del EndoEuroSCORE y RISK-E (tabla 5).
Escalas de riesgo quirúrgico específicas para EI
| Escala | Variables pronósticas específicas | ABC-ROC | Referencia |
|---|---|---|---|
| AEPEI(2017, Gatti) | Estado crítico, insuficiencia cardíaca refractaria, absceso perianular, motivo de la intervención, cirugía de urgencia, endocarditis protésica. | 0,78 (IC 95%: 0,734-0,822) | Gatti G et al.152. |
| EndoSCORE (2017, Di Mauro) | Shock peroperatorio, endocarditis protésica, absceso perivalvular, número de válvulas tratadas Staphylococcus aureus, hongos o Pseudomonas. | 0,85 (IC 95%: 0,845-0,858). | Di Mauro et al.151. |
| RISK-E(2017, Olmos) | Complicaciones perianulares, Staphylococcus aureus u hongos, trombocitopenia, shock séptico o cardiogénico. | 0,82 (IC 95%: 0,7-0,88) | Olmos C et al.154. |
| PALSUSE(2014, Martínez-Sellés) | Prótesis valvular, destrucción valvular extensa, Staphylococcus spp, cirugía urgente. | — | Martínez-Sellés et al.153. |
ABC-ROC: área bajo la curva ROC; EI: endocarditis infecciosa; IC 95%: intervalo de confianza del 95%.
El tratamiento quirúrgico responde a una recomendación clase I, nivel de evidencia C, en las guías de ESC, dentro de los primeros seis meses tras la cirugía valvular. La EPV precoz, edad avanzada, diabetes mellitus, infección derivada de los cuidados en salud y la no realización de la cirugía a pesar de indicación clara, son factores de mal pronóstico21,155. Sin embargo, solamente el 73% de los pacientes con EPV del EURO-ENDO han sido sometidos a cirugía, a pesar de tener una indicación clara21. Aunque hay series en las que la intervención precoz no disminuye la mortalidad, al menos de forma indiscriminada, ya que hay una pérdida de beneficio tras el ajuste de sesgo156, sí ofrece mejores resultados cuando se realiza por regurgitación valvular, vegetaciones, abscesos, fistulas o dehiscencia periprotésica157. En estos pacientes mejora los resultados precoces y a un año158. Se han propuesto escalas de riesgo, como ENDOVAL, para la identificación de los pacientes con mayor beneficio quirúrgico159. La estrategia conservadora podría tener lugar en la EPV tardía no estafilocócica11, siempre asociada a un seguimiento estrecho para la detección precoz de indicaciones quirúrgicas11,160. La EPV precoz, más frecuentemente estafilocócica, tiene menos probabilidad de cura con antibioterapia aislada161.
Los datos del INFECT-REGISTRY muestran, para las prótesis mecánicas, menor tasa de recurrencia y mejor supervivencia en adultos jóvenes con EPV aórtica162. En casos complejos puede considerarse el homoinjerto aórtico163.
En la EPV post-TAVI, solamente el 20% de los pacientes son intervenidos, por beneficio dudoso y apenas demostrado en una serie de pacientes con extensión local. La decisión ha de individualizarse, pudiendo recomendarse en casos con extensión local en ausencia de riesgo prohibitivo164. Se han realizado intervenciones valve-in-valve tras un mes desde la negativización de hallazgos ecocardiográficos165.
Durante la intervención deben continuarse los antibióticos iniciados, válidos, generalmente, para la profilaxis de la infección del sitio quirúrgico, pudiendo asociarse en caso contrario, la pauta habitual de la misma11. El manejo intraoperatorio de la vasoplejia asociada requiere de vasopresores166, azul de metileno167 y/o hemoadsorbentes, beneficio este último que requiere de nuevas evidencias168.
El objetivo es erradicar la infección mediante el desbridamiento de todo el tejido necrótico y subsecuente reconstrucción de cámaras y válvulas, para reestablecer la anatomía y la función hemodinámica. Puede ser técnicamente exigente por la extensión local de la infección más allá del anillo. Es preciso tomar muestras para anatomía patológica, microbiología y biología molecular. Las bioprótesis y los homoinjertos son las opciones preferidas cuando hay destrucción local extensa169-171. Puede utilizarse cola de fibrina impregnada de antibiótico como sellante o relleno172.
Cuando hay extensión a la continuidad mitro-aórtica puede repararse con un parche de pericardio (fig. 1c). En ocasiones se reseca en bloque la continuidad mitro-aórtica, con reconstrucción del cuerpo fibroso intertrigonal mediante la técnica de David173, denominada «comando» o «UFO»174 (fig. 3). La modificación «hemicommando» se puede realizar si el velo posterior y el borde libre del velo anterior de la válvula mitral están preservados175. En los pacientes sin otras opciones, el trasplante cardíaco podría ser considerado176.
Endocarditis protésica valvular derechaLa EPV derecha representa el 5-10% de casos de EI177, y en el 90% de casos se localiza en la válvula tricúspide (VT). Se asocia ADVP, dispositivos intracardiacos, catéteres venosos centrales y cardiopatías congénitas178. El SA es responsable del 60-90% de los casos, seguido por Streptococcus viridans52,179.
El reemplazo quirúrgico de VT se considera en alteraciones estructurales o funcionales avanzadas180. En el Registro Italiano para el Tratamiento Quirúrgico de la Endocarditis Infecciosa en Válvula Nativa o Protésica solo el 3,8% de las EI tricúspides aisladas fueron tratados quirúrgicamente y únicamente el 5% de ellas eran EPV. La mortalidad y la reinfección fueron elevadas (>50% y entre 1,7 y 2,3 por cada 100 pacientes / año, respectivamente)181,182. En prótesis transcatéter, la incidencia es similar (2,6% de casos de EI, con una tasa de incidencia anualizada de 1,5% por paciente / año)183.
La EPV de válvula pulmonar (VP) afecta a jóvenes con múltiples intervenciones valvulares7,184 y el reemplazo transcatéter185 se ha convertido en el tratamiento de elección para los pacientes seleccionados con disfunción del tracto de salida del VD, con resultados excelentes y duraderos186,187. El 93,4% de las bioprótesis pulmonares están libres de EI a los 15 años188. En este contexto, la mortalidad por intervención en caso de EPV oscila entre el 0 y el 17%188–190. Sin embargo, la EI de las VP transcatéter es amenaza potencial a largo plazo191, con una incidencia estimada de 16-27/1.000 personas / año192–194, superando las tasas de las bioprótesis quirúrgicas186,191,195,196. Los principales factores de riesgo son edad joven, EI previa y gradiente elevado (pre o postimplante)197. La mortalidad es del 6,6%, mayor en las infecciones estafilocócicas197. Las válvulas de vena yugular bovina y los homoinjertos tienen menor riesgo que las válvulas Melody198.
Son frecuentes las presentaciones atípicas199. El ETT es útil para la VT11,200 y el ETE para la VP, si bien las vegetaciones pueden ser difíciles de identificar11. El 18F-FDG PET/TC ha demostrado una buena precisión diagnóstica (sensibilidad 79,1%; especificidad 72,7%), y elevado valor predictivo positivo (91,9%)199.
En general, la cirugía, aunque depende del tamaño de la vegetación y la extensión del daño valvular39, suele estar indicada188,201. En los pacientes cuidadosamente seleccionados, con un riesgo quirúrgico prohibitivo, el sistema de aspiración mecánica percutánea, AngioVac® (AngioDynamics, Latham, NY) podría constituir una alternativa potencial de rescate202,203, reduciéndo la carga infecciosa, bien como modalidad de tratamiento complementario, como puente a la intervención quirúrgica, o como terapia de destino para los pacientes inoperables en base a factores basales inmodificables204, si bien la clase de recomendación es baja (IIb), en base a un nivel de evidencia C11.
ConclusionesEl envejecimiento poblacional, el uso creciente de dispositivos implantables y determinantes sociales han tenido impacto epidemiológico, aumentando la proporción de casos de EPV, impidiendo así una reducción global de la incidencia de EI. Paralelamente, ha aumentado la EPV asociada a los cuidados y agentes como SA, SCN o Enterococcus faecalis han superado al Streptococcus viridans. Presentaciones atípicas son cada vez más frecuentes debido a la expansión de TAVI en los pacientes añosos. Estos hechos tienen como consecuencias formas graves de EI, con mayor extensión local y dificultad de curación sin una cirugía de creciente complejidad. Nuevos regímenes antibióticos permiten altas hospitalarias más precoces. El enfoque diagnóstico y terapéutico debe realizarse en el seno de un equipo multidisciplinar específico de EI (equipo de endocarditis).
FinanciaciónEste estudio no recibió financiación específica de agencias del sector público, del sector comercial o de organizaciones sin ánimo de lucro.
Consideraciones éticasEl estudio fue realizado conforme a los principios éticos establecidos en la Declaración de Helsinki y a las normativas vigentes sobre investigación con seres humanos/animales (según corresponda).
Declaración sobre el uso de inteligencia artificialSe declara que no se ha utilizado inteligencia artificial para el diseño, el análisis de datos o la interpretación de los resultados de este estudio.
Contribución de autoríaTodos los autores contribuyeron de manera sustancial a la concepción, el diseño, el análisis y la interpretación de los datos, así como a la redacción y revisión del manuscrito. Todos los autores aprobaron la versión final y se responsabilizan de su contenido. Los autores revisaron y aprobaron de forma crítica todo el contenido generado antes de su inclusión en la versión final.
Consentimiento informadoTodos los participantes fueron informados y otorgaron su consentimiento informado por escrito antes de su inclusión.
Conflicto de interesesLos autores declaran que no existe ningún conflicto de intereses que declarar, que pueda haber influido en la interpretación de los datos presentados en este manuscrito.









