El implante de prótesis aórticas transcatéter (TAVI) ha revolucionado el tratamiento de la estenosis aórtica (EAO). La necesidad de tratar subgrupos de pacientes cada vez más heterogéneos hace que la revisión de las técnicas simplificadas (TAVI directa) cobre gran relevancia. En este trabajo pretendemos evaluar los resultados clínicos de diversas estrategias de implante (con o sin pre/post-dilatación) con el objetivo de adecuar el tratamiento a cada paciente.
La pre-dilatación conlleva mayor riesgo de inestabilidad hemodinámica. La TAVI directa (sin pre-dilatación) genera mayor tasa de regurgitación perivalvular (RPV), que se asocia a mayor necesidad de post-dilatación (al utilizar prótesis autoexpandibles). No existen diferencias estadísticamente significativas en términos de fracaso renal agudo, trastornos de la conducción o ictus al comparar ambas técnicas.
La post-dilatación incrementa la incidencia de rotura de anillo aórtico y embolización de la TAVI, pero no se observan diferencias en cuanto a trastornos de la conducción, ictus o daño protésico. Dicha post-dilatación también corrige la RPV y mejora, en consecuencia, los resultados a medio y a largo plazo.
En conclusión, la pre y/o post-dilatación debe realizarse de forma selectiva, atendiendo a parámetros clínicos y anatómicos, así como al tipo de prótesis a implantar, y solo cuando sea esperable un beneficio.
The implantation of transcatheter aortic valves (TAVI) has revolutionized the treatment of aortic stenosis (AS). The review of simplified techniques (direct TAVI) becomes relevant due to the increased heterogeneity of the subgroups of patients who need to be treated. In this review, we aim at determining the clinical results of different implantation strategies (with or without pre/post-dilation) with the object of adapting the best treatment to each individual patient.
Pre-dilation carries a higher risk of haemodynamic instability. Direct-TAVI (without pre-dilation) entails higher perivalvular regurgitation rates, which are associated with an increased need of post-ballooning (when implanting self-expandable devices). There are no statistically significant differences in terms of acute kidney injury, rhythm disturbances or stroke when both techniques are compared.
Post-dilatation is associated with a greater risk of annulus rupture and TAVI embolization, without differences regarding conduction disorders, stroke or prosthetic damage. Post-ballooning also corrects the perivalvular regurgitation, thus improving mid and long-term results.
Conclusively, the pre and/or post-dilation strategies must be undertaken selectively, bearing in mind clinical and anatomic parameters, as well as the prosthetic type to be implanted, and only when a benefit is expected.
Con la entrada en vigor de las últimas Guías Europeas de Práctica Clínica orientadas al manejo de las Valvulopatías1, el implante de prótesis aórticas transcatéter (TAVI, por sus siglas en inglés) ha expandido sus indicaciones y actualmente engloba el subgrupo de enfermos de riesgo intermedio. Diversos estudios2-5 han puesto de manifiesto la no inferioridad (incluso superioridad) de dicha técnica en comparación a la cirugía de sustitución valvular aórtica. La evolución paralela de la tecnología de los dispositivos y la mejora de los resultados asociados a la curva de aprendizaje han propiciado un incremento en el número de implantes a nivel mundial.
Cabe esperar que esta tendencia no cese, por lo que resulta imperativo implementar técnicas reproducibles, seguras y progresivamente más simplificadas, capaces de adecuarse a subgrupos muy heterogéneos de pacientes, siempre en aras de mejorar los resultados utilizando técnicas menos agresivas. En concordancia con nuestro argumento, numerosos grupos de trabajo minimizan la utilización del marcapasos transvenoso y la estimulación rápida, y apuestan por la canalización de la arteria radial para el acceso no terapéutico.
Una de las fases más controvertidas del procedimiento TAVI (objeto de este estudio) es la realización de la valvuloplastia con balón, así como su repercusión en los resultados clínicos. A través de esta revisión, intentaremos definir una estrategia de implante segura y factible, basada en la evidencia científica actual.
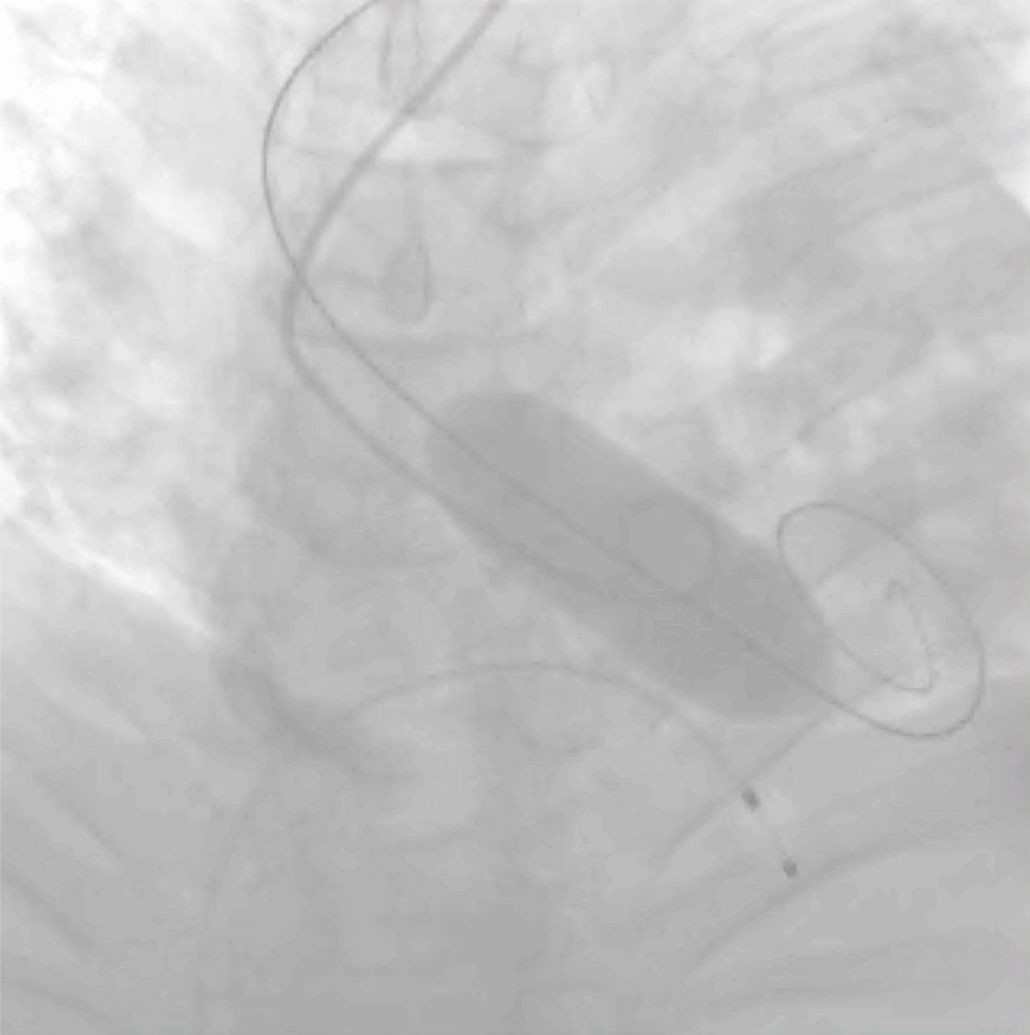
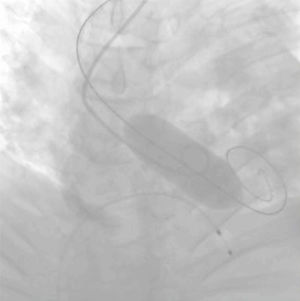
Pre-dilataciónEl efecto mecánico del balón (fractura del calcio y separación de las cúspides fusionadas) incrementa el área del orificio valvular y permite una progresión menos traumática del dispositivo TAVI (fig. 1). Además, acondiciona la válvula para el implante, asegura una expansión uniforme de la prótesis y reduce la fuerza radial. Con ello se consigue reducir la incidencia de malposición y regurgitación perivalvular (RPV). El diseño de las válvulas autoexpandibles les confiere una menor fuerza radial, motivo por el que pueden quedar infraexpandidas al desplegarse sin valvuloplastia previa, máxime en válvulas severamente calcificadas6.
La pre-dilatación es también una herramienta complementaria a la tomografía computarizada (TAC) que aporta valiosa información cuando existen dudas en la selección de la talla protésica, en pacientes con anatomía hostil (aorta angosta) o ante elevado riesgo de oclusión coronaria (nacimiento ostial bajo). Su despliegue permite evaluar la interacción del velo con la pared aórtica y así adelantar una posible obstrucción durante el implante valvular.
Sin embargo, esta maniobra no está exenta de posibles complicaciones, como el incremento de embolismos, alteraciones de la conducción o inestabilidad hemodinámica (especialmente deletérea en pacientes con disfunción ventricular)7. Y, contrariamente, existe el temor de que obviar este paso conlleve una manipulación más forzada y la subsiguiente necesidad de post-dilatación, con sus dificultades8.
Numerosas publicaciones sugieren que la TAVI directa (sin pre-dilatación) es factible. La técnica fue inicialmente evaluada en pequeños estudios llevados a cabo con válvulas autoexpandibles9,10 y balón-expandibles11,12. Sin embargo, no evaluaron los resultados clínicos. Los primeros trabajos al respecto13-19 fueron predominantemente registros no aleatorizados, revisiones o metaanálisis que no utilizaron criterios previamente especificados (Valve Academic Research Consortium [VARC])20, cuyas prótesis y material técnicos resultan obsoletos y que, inevitablemente, estaban ligados a un sesgo de selección entre los enfermos que fueron sometidos a pre-dilatación o a TAVI directa. Aunque pusieron de manifiesto una tendencia hacia la obtención de resultados similares, era preciso llevar a cabo ensayos clínicos que consolidaran sus hallazgos. Fue entonces cuando surgieron los DIRECT trials.
El DIRECT Trial21 fue concebido como un ensayo clínico aleatorizado de no-inferioridad cuyo objetivo era evaluar los resultados tras el implante de una familia de prótesis autoexpandibles (CoreValve, Evolut R y Evolut PRO, Medtronic, Minneapolis, Minnesota) con o sin el uso previo del balón de valvuloplastia. El implante directo resultó ser no inferior al implante usando pre-dilatación (objetivo principal), y en cuanto a los resultados clínicos (objetivos secundarios: mortalidad periprocedimiento e ictus, necesidad de implante de marcapasos definitivo, complicaciones vasculares y mortalidad a 1año), no hubo diferencias estadísticamente significativas entre ambos grupos. Al analizar otros parámetros (sangrado, fracaso renal agudo, estancia hospitalaria, RPV) los resultados fueron también similares. La necesidad de post-dilatación fue el único hallazgo que alcanzó la significación estadística, mayor en el grupo que no se pre-dilató.
Un año después se publicó el DIRECTAVI Trial22, un ensayo clínico de diseño similar al anterior que evaluaba, esta vez, los resultados tras el implante de una TAVI balón-expandible (SAPIEN 3, Edwards Lifesciences, Irvine, California) con o sin pre-dilatación como paso inicial. En cuanto al objetivo primario (éxito del procedimiento con ausencia de mismatch severo o RPV severa), el implante sin pre-dilatación fue no inferior a la estrategia convencional. Tampoco se observaron diferencias en los resultados clínicos (que constituían los objetivos secundarios: mortalidad a 30días, ictus, sangrado, necesidad de trasfusión, fracaso renal, complicaciones vasculares mayores, implante de marcapasos e insuficiencia aórtica). La post-dilatación global fue baja en ambos grupos, y no superior en el grupo TAVI directa en relación al grupo convencional23. Estos hallazgos parecen estar en íntima relación con el tipo de prótesis utilizada (balón-expandible y de gran fuerza radial). Cabe destacar que el 5,8% de los pacientes del grupo TAVI directa precisaron pre-dilatación, predominantemente por fracaso para atravesar la válvula en el contexto de anatomía compleja (válvula aórtica bicúspide, baja área valvular y elevada carga de calcio)22. Todo ello subraya la necesidad de individualizar la estrategia adaptándola a la complejidad de cada paciente.
A continuación analizaremos de forma individual la implicación de la pre-dilatación en cada una de las complicaciones peri-implante.
Inestabilidad hemodinámicaLa pre-dilatación puede generar compromiso hemodinámico agudo en un subgrupo de pacientes susceptibles (estenosis aórtica [EAO]) de bajo flujo y bajo gradiente, disfunción ventricular o hipertensión pulmonar severas) al interrumpir temporalmente el gasto cardíaco durante la estimulación rápida o induciendo la aparición de una insuficiencia aórtica de novo. Dicho deterioro es brusco, y puede conllevar una hipoperfusión orgánica clínicamente relevante24. Aunque los datos publicados15,25,26 difieren entre sí, se ha constatado un incremento de troponina al efectuar pre-dilatación y estimulación rápida que traduce un daño miocárdico a tener en cuenta, sobre todo en pacientes con disfunción ventricular6.
Trastornos de la conducciónEl efecto mecánico que produce el balón, el edema resultante y la compresión del sistema de conducción auriculoventricular pueden resultar en un trastorno de la conducción (transitorio o permanente) tras el implante de la TAVI6. Dichas alteraciones se asocian a mayor tasa de re-hospitalización y mortalidad.
Aunque diversos estudios25-27 argumentan que la pre-dilatación incrementa los trastornos del ritmo (bloqueo AV, bloqueo de rama izquierda), ninguno de los DIRECT trials21,22 demostró un aumento en el implante de marcapasos definitivo en este subgrupo.
Cabe mencionar la estrategia publicada por Lange et al.28, que propone una pre-dilatación moderada (con balón de diámetro inferior al del anillo aórtico nativo) y el implante posterior de una prótesis autoexpandible, sin mayores necesidades de marcapasos definitivo. De forma congruente con los hallazgos propuestos por Nuis et al.27, cuanto mayor es la ratio balón:anillo, mayor es la frecuencia de aparición de anomalías de la conducción.
Fracaso renal agudoLa hipotensión arterial causada por el uso del marcapasos y la dilatación del tiempo del procedimiento, unidas a una mayor cantidad de contraste utilizado, pueden contribuir a la aparición de fracaso renal agudo6.
Algunos trabajos29-31 asocian la omisión de la pre-dilatación (y el menor uso de contraste asociado) a una reducción del daño renal. No obstante, en los DIRECT trials21,22 no se establecen tales diferencias.
IctusMención especial merece el ictus, al constituir una complicación tan temida como devastadora. Diversos escenarios se han asociado a la aparición de ictus temprano tras TAVI (mayor duración del implante, mayor manipulación, válvula severamente calcificada, reposicionamiento valvular, etc.). Otros factores, como el tipo de válvula utilizada (balón o autoexpandible) o la experiencia del operador, presentan una evidencia contradictoria en los estudios32,33. Por último, las características clínicas inherentes a cada paciente (carga de calcio, válvula aórtica bicúspide, trombosis subclínica de velos y aparición de fibrilación auricular de novo) también deben ser subrayados. En conjunto, traducen implantes complicados en pacientes de elevado riesgo.
Aunque el inflado del balón podría fragmentar el calcio de una válvula severamente enferma34, los estudios con Doppler transcraneal coinciden en que el posicionamiento y el despliegue protésicos son las dos fases principalmente asociadas a la mayor carga embólica35. Consecuentemente, las manipulaciones adicionales durante la progresión de la prótesis sin pre-dilatación resultarían incluso en una incidencia de ictus mayor31,36.
Globalmente, los datos publicados no asocian la valvuloplastia con balón (pre o post-despliegue valvular) con la aparición de ictus37, incluyendo los DIRECT trials21,22.
Regurgitación perivalvular y necesidad de post-dilataciónLa evidencia actual al respecto es, una vez más, discutible. Mientras diversos autores argumentan que el implante directo evitaría la disrupción del calcio permitiendo una aposición valvular más segura obviando así la RPV, otros sugieren que adecuar el lecho nativo ayudaría a reducir la infraexpansión protésica y, con ello, la RPV resultante y los elevados gradientes25,30,38 (situación compleja especialmente con el uso de válvulas autoexpandibles)6.
En el DIRECTAVI Trial22 no hubo diferencias estadísticamente significativas en tasas de post-dilatación entre los grupos con pre-dilatación o no, pero es importante subrayar que se llevó a cabo con prótesis balón-expandibles. Así, en el DIRECT Trial (que evaluó prótesis autoexpandibles) sí hubo diferencias significativas, con una mayor necesidad de post-dilatación en el grupo TAVI directa21. Atendiendo a estos hallazgos, el planteamiento debería ajustarse, entre otros, al tipo de prótesis a implantar.
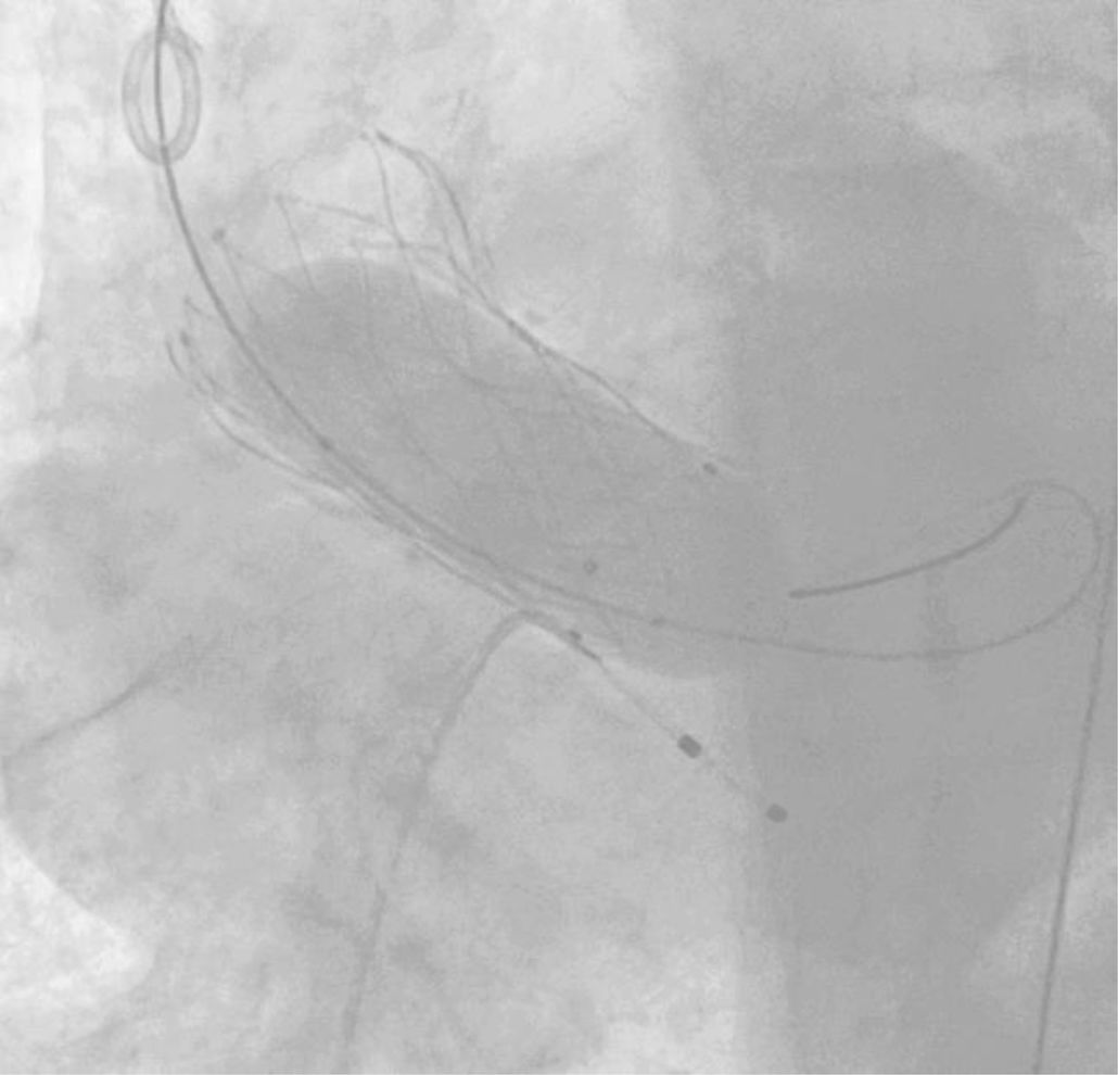
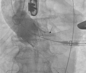
Post-dilatación (fig. 2)Cuando se trata de dirimir cuáles son los resultados clínicos de pacientes sometidos o no a post-dilatación, la evidencia de la que disponemos38-45 nace, una vez más, de estudios no aleatorizados y sesgados. Ello explica la disparidad de sus conclusiones y traduce la necesidad de interpretarlas con cautela.
Recientemente publicado, el artículo de Sanz Sánchez et al.41 (prospectivo, multicéntrico, con 6años de seguimiento y utilización de criterios VARC-3) no establece diferencias en términos de mortalidad global y cardiovascular, ictus/accidente isquémico transitorio, trombosis valvular, deterioro estructural valvular o endocarditis entre el grupo sometido a post-dilatación o no al utilizar una prótesis autoexpandible.
Asimismo, Harrison et al.45 tampoco describen diferencias clínicas estadísticamente significativas, salvo por una mayor tasa de fracaso renal agudo en el grupo sometido a post-dilatación (que atribuyen al mayor uso de contraste).
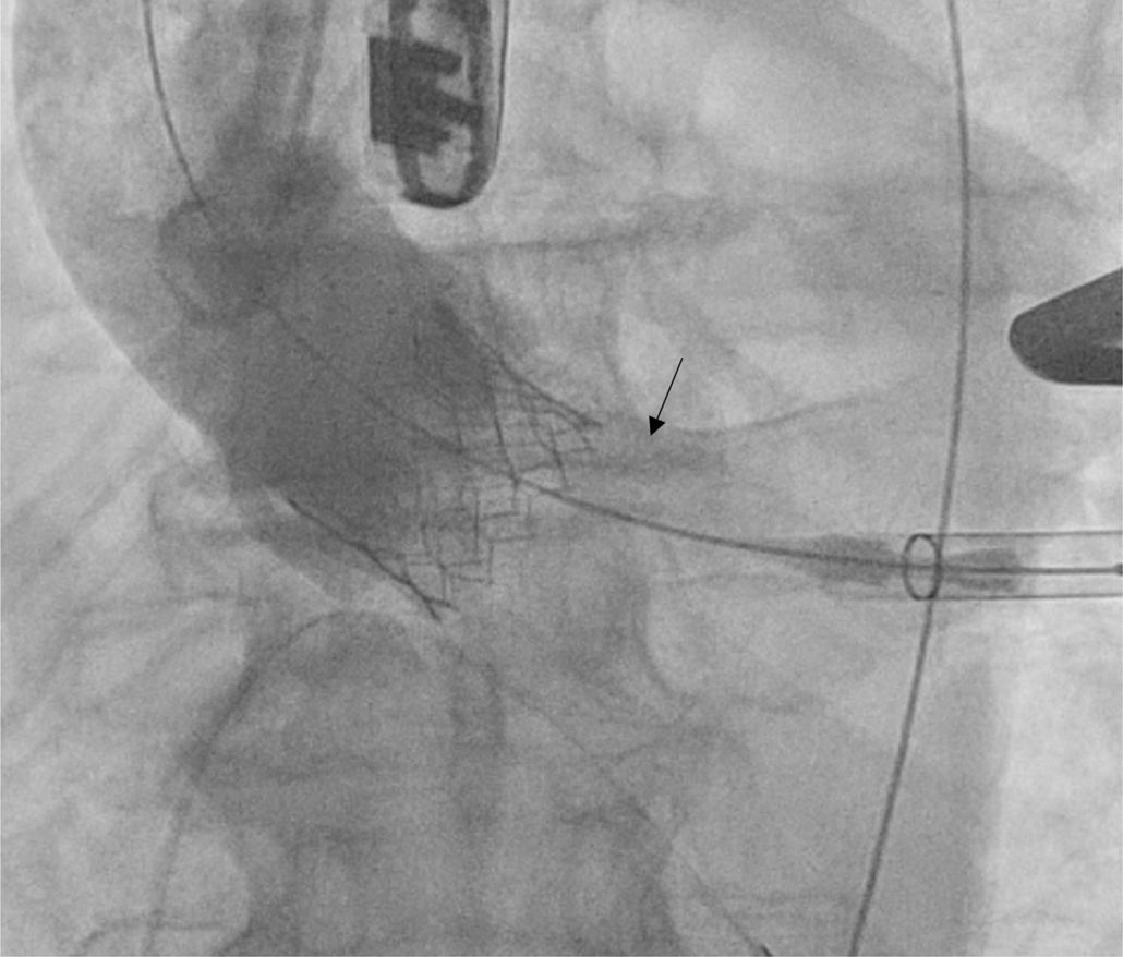
Existen numerosos escenarios que motivan el planteamiento de la post-dilatación tras el implante de una TAVI. Quizá el más importante (por su elevada frecuencia y repercusión negativa) sea la reducción de la severidad de una RPV, pues el baloneo promueve una expansión óptima de la prótesis (figs. 3 y 4). Con ello, también se consiguen un aumento del área valvular efectiva, una disminución de los gradientes y, en consecuencia, una reducción del mismatch (que se ha asociado a una mayor incidencia de trombosis valvular clínica y subclínica)46.
Regurgitación perivalvularLa RPV es consecuencia de una aposición incompleta de la prótesis al anillo nativo por intensa calcificación y excentricidad anular, infra, sobredimensión o posicionamiento inadecuado de la TAVI.
Aunque su incidencia ha disminuido progresivamente fruto de avances tecnológicos y optimización del procedimiento (actualmente la prevalencia de RPV moderada-severa es inferior al 5%)47, los implantes de última generación en poblaciones de bajo riesgo todavía exhiben una RPV moderada-severa a 30días del 0,8% en las TAVI balón-expandibles y del 3,4% de las autoexpandibles. Igualmente, la incidencia de RPV ligera sigue siendo muy elevada en este subgrupo de enfermos a 30días: del 29% en prótesis balón-expandibles y del 36% en autoexpandibles5,48.
La RPV moderada-severa se asocia, de forma consistente, a una mayor mortalidad. Sin embargo, no ocurre lo mismo con la ligera. La información disponible actualmente es contradictoria al respecto, debido a diferencias en el riesgo quirúrgico y el uso de diferentes métodos de cuantificación y gradación de la misma42. De cualquier modo, parece lógico pensar que un ventrículo hipertrofiado y con disfunción diastólica por una EAO de larga data tolerará mal el incremento de la presión telediastólica que supone una RPV de novo, sea cual sea su envergadura.
Li et al.49 realizaron un estudio computacional in vitro que simulaba el implante de una TAVI autoexpandible mediante dos modelos diferentes de dilatación (pre y post) con objeto de analizar su impacto en los resultados (estrés vascular, morfología del stent y RPV). Sus conclusiones argumentan que la pre-dilatación genera menor impacto que la post-dilatación, que puede mejorar la morfología protésica y, con ello, el funcionamiento y la durabilidad valvular. También optimizaría la adhesión al stent, con la subsiguiente reducción de la RPV en más del 30%.
La post-dilatación, no obstante, también se asocia a efectos deletéreos cuya trascendencia clínica debemos analizar.
Rotura del anillo aórticoAunque poco frecuente (<1%), es una complicación potencialmente fatal. Son factores de riesgo una gran calcificación en el tracto de salida ventricular izquierdo o una sobredimensión de la prótesis a implantar >20%6. La post-dilatación se ha identificado como una causa precipitante50.
IctusEl riesgo de embolización de la post-dilatación se considera menor que el de la valvuloplastia pre-implante. Aunque los residuos potencialmente embólicos quedarían apuntalados por la TAVI implantada37, la suelta de fragmentos cálcicos se considera actualmente la causa verdadera del ictus35.
La evidencia observacional sugiere un ligero incremento en el riesgo de ictus con la post-dilatación43, aunque con resultados dispares entre publicaciones. En un análisis del PARTNER Trial, Hahn et al.40 encontraron que el ictus temprano (<7días) aumentaba con la valvuloplastia post-implante (4,9% versus 2,6%, p=0,04)39. En un trabajo posterior, este mismo autor analizó el PARTNERII Trial y no encontró diferencias estadísticamente significativas en la incidencia de ictus con o sin post-dilatación. Aunque tras 1año de seguimiento sí hubo una asociación significativa a favor del ictus asociado al baloneo, esta desapareció al ajustar, entre otros, por carga de calcio. Los estudios más recientes apoyan el no incremento del riesgo de ictus atribuido a la post-dilatación41.
Trastornos de la conducciónLa post-dilatación es otra injuria al sistema de conducción tras el despliegue protésico que podría, teóricamente, incrementar el riesgo de trastornos de la conducción. No obstante, la relación entre ambos es débil y los estudios que evalúan específicamente esta asociación son muy limitados en número6.
La evidencia actual coincide en que no existen diferencias estadísticamente significativas en el implante de marcapasos definitivo con post-dilatación, tanto en válvulas balón-expandibles como en autoexpandibles8,41,45,50,51.
Resulta evidente, sin embargo, que en pacientes con otros factores de riesgo (trastornos de la conducción previos y potencial necesidad de marcapasos) se debería plantear con cautela la post-dilatación, ponderando riesgos y beneficios6.
Daño protésicoLa post-dilatación puede jugar un doble papel al respecto. Por una parte, expandir una TAVI por encima de su talla nominal puede dañar su estructura (armazón, velos). Pero si esta quedara infraexpandida, el estrés mecánico de las turbulencias de flujo a su través también podría contribuir a su deterioro precoz.
Aunque en la evidencia más reciente41 no se demuestran diferencias estadísticamente significativas a 6años entre grupos, es imperativo actuar con prudencia y post-dilatar en aquellos casos en los que sea esperable un claro beneficio.
Embolización de la TAVILa embolización de la TAVI se asocia, entre otros factores, a la post-dilatación52, y en ocasiones conlleva la necesidad de realizar múltiples implantes valvulares, resultando en numerosas secuelas.
Algoritmo decisionalPre-dilataciónNo existen directrices establecidas a la hora de realizar un implante TAVI, pues cada paciente es único y debemos ofrecerle un procedimiento individualizado. Pero tras esta revisión, sí podemos extraer ciertas recomendaciones (no por ello verdades absolutas) en términos de pre y post-dilatación atendiendo a algunas características clave.
Todo paciente candidato a TAVI debe ser evaluado en base a tres pilares fundamentales: clínica, anatomía y selección protésica (fig. 5).
Algoritmo para decidir pre-dilatación.
Fuente: adaptado de McInerney et al6.
La edad y las comorbilidades son fundamentales a la hora de plantear la estrategia. El implante directo podría favorecer al paciente añoso, con trastornos previos de la conducción, disfunción ventricular o inestabilidad hemodinámica.
AnatomíaAunque la TAC constituye la piedra angular del estudio preoperatorio, en ocasiones resulta necesaria una herramienta concomitante que añada una valoración dinámica, promoviendo un implante más seguro. La valvuloplastia pre-implante puede predecir una potencial oclusión coronaria, así como determinar el tamaño protésico definitivo si la talla a implantar resulta dudosa.
La TAC también ayuda a identificar un subgrupo de pacientes con anatomía hostil (válvula aórtica bicúspide, con elevada carga cálcica, aorta horizontalizada, angosta o severamente calcificada) que, sin duda, se beneficiarían de la pre-dilatación.
Selección protésicaLa utilización de válvulas balón-expandibles permitiría obviar la pre-dilatación, ya que el baloneo va implícito en el implante protésico.
No ocurre lo mismo con los dispositivos autoexpandibles, máxime si no son recapturables: su menor fuerza radial y la imposibilidad de reposicionarlos hace que la pre-dilatación sea un paso fundamental en el implante.
Post-dilataciónAtendiendo a los resultados angio y ecocardiográficos, así como a los parámetros anteriormente referidos, valoraremos la necesidad de añadir la post-dilatación al procedimiento.
La situación que más frecuentemente plantea la necesidad de post-dilatar es la existencia de una RPV (fig. 6). Quizá la envergadura de la misma (moderada/severa) sea uno de los factores más potentes, pero debemos atender también a otras características. Un paciente joven, de moderado/bajo riesgo, con anatomía favorable y sin comorbilidad o trastorno previo de la conducción se beneficiaría, sin duda, de la misma. También el implante de prótesis autoexpandibles, estenosis aórtica pura previa o aquellos casos en los que prima una gran durabilidad del implante.
Contrariamente, la mencionada post-dilatación puede conllevar más riesgos que beneficios en pacientes ancianos, de alto riesgo y comórbidos (trastornos de la conducción, ictus), con amenaza de rotura anular o embolización del dispositivo al añadir manipulaciones. Si durante la RPV es ligera, la anatomía hostil y en el preoperatorio presentaban doble lesión aórtica, parece también prudente obviar este paso.
Por último, un despliegue óptimo depende también de la experiencia del equipo implantador. Así, una mayor casuística, junto al uso de dispositivos modernizados y grados progresivamente menores de RPV, hacen que el papel de la post-dilatación sea menos prominente.
ConclusionesMientras la pre-dilatación conlleva mayor riesgo de inestabilidad hemodinámica, su omisión incrementa la RPV y esta se asocia a mayor necesidad de post-dilatación (con el uso de prótesis autoexpandibles).
Por su parte, la post-dilatación incrementa la incidencia de rotura de anillo y embolización de la TAVI, pero corrige de manera eficaz la RPV y, con ello, los resultados clínicos a corto y a largo plazo.
Ninguna de estas técnicas se asocia de forma estadísticamente significativa a parámetros como fracaso renal, trastornos de la conducción, ictus, daño protésico, etc. Deben considerarse maniobras factibles y complementarias a la TAVI, que han de plantearse de forma individualizada (atendiendo a aspectos clínicos, anatómicos y selección de prótesis) y realizarse de forma selectiva, solo cuando quepa esperar beneficio.
Es imperativa la necesidad de nuevos estudios aleatorizados y ensayos clínicos para identificar el subgrupo de pacientes que más podría beneficiarse de estas maniobras. Y, claramente, es el Heart Team quien debe decidir la mejor estrategia basándose en la evidencia y las características de cada paciente y de cada equipo.
FinanciaciónNo se ha recibido financiación alguna para la realización de este trabajo.
Consideraciones éticas- •
¿Su trabajo ha comportado experimentación en animales?: No.
- •
¿En su trabajo intervienen pacientes o sujetos humanos?: No. No se ha utilizado, por lo tanto, el consentimiento informado.
- •
¿Su trabajo incluye un ensayo clínico?: No.
- •
¿Todos los datos mostrados en las figuras y tablas incluidas en el manuscrito se recogen en el apartado de resultados y las conclusiones?: Sí.
No se ha utilizado inteligencia artificial para la realización de este trabajo.
Contribución de los autoresCandela-Navarro, Gemma P. Autoría principal. Ha realizado concepción y diseño del estudio, adquisición de datos y análisis e interpretación de los mismos, así como el borrador de la revisión.
Montesino-Villafranca, Jhonny J. Colaborador en la adquisición de datos y concepción y diseño del estudio. Colaborador en la revisión del contenido.
Meseguer-Oller, Juan. Revisión crítica del contenido intelectual.
Bernabeu-Sánchez, Eduardo. Revisión crítica del contenido intelectual.
García-Valentín, Antonio J. Revisión crítica del contenido intelectual.
Campos-Carot, Elena. Colaboradora en la adquisición de datos.
Solbes Moltó, Ana Isabel. Colaboradora en la adquisición de datos.
Hurlé-González, Aquilino. Colaborador en la concepción y diseño del estudio.
Daroca-Martínez, Tomás. Revisión crítica del contenido intelectual y aprobación definitiva de la versión que se presenta.
Gómez-Vidal, Miguel A. Revisión crítica del contenido intelectual y aprobación definitiva de la versión que se presenta.
Conflicto de interesesNo existen conflictos de intereses.







