Se presenta el caso de una paciente de 77 años con edema macular quístico recurrente, tratada mediante implantes intravítreos de dexametasona (Ozurdex®, Allergan Pharmaceuticals, Westport, Ireland), que desarrolló una reacción inflamatoria intraocular aguda y severa tras la última administración. Los hallazgos clínicos e imagenológicos, junto con cultivos microbiológicos negativos y evolución favorable bajo tratamiento médico conservador, fueron compatibles con una endoftalmitis estéril o panuveítis inducida por el implante. Destacó la apariencia anómala del dispositivo, edematizado y rodeado de condensaciones vítreas, hallazgo que sugiere posibles alteraciones estructurales del implante o contaminación inadvertida durante la inyección, que podrían haber desencadenado una reacción inmunológica o irritativa, entre otros posibles mecanismos descritos en la literatura. Este caso subraya la importancia de reconocer presentaciones atípicas de inflamación intraocular tras Ozurdex®, diferenciarlas de cuadros infecciosos y notificar estos eventos a los sistemas de farmacovigilancia, dado que se trata de una reacción excepcional con muy pocos casos reportados en la literatura.
A case is presented of a 77-year-old woman with recurrent cystoid macular edema treated with intravitreal dexamethasone implants (Ozurdex®), who developed an acute and severe intraocular inflammatory reaction after the last administration. Clinical and imaging findings, together with negative microbiological cultures and favorable evolution under conservative medical treatment, were consistent with sterile endophthalmitis or implant-induced panuveitis. The implant showed an abnormal appearance —swollen and surrounded by vitreous condensations— suggesting possible structural alterations of the device or inadvertent contamination during injection, which could have triggered an immunologic or irritative reaction, among other mechanisms described in the literature. This case highlights the importance of recognizing atypical presentations of intraocular inflammation following Ozurdex®, differentiating them from infectious processes, and reporting such events to pharmacovigilance systems, given that this is an exceptional reaction with very few cases reported in the literature.
El implante intravítreo de dexametasona (Ozurdex®, Allergan Pharmaceuticals, Westport, Ireland) es una alternativa eficaz para el tratamiento del edema macular, con un perfil de seguridad favorable demostrado en ensayos clínicos aleatorizados1,2. Las complicaciones más frecuentes son la hipertensión ocular y la catarata1,2; sin embargo, en raras ocasiones se han descrito reacciones inflamatorias intraoculares severas. En este contexto, se presenta un caso de reacción inflamatoria intraocular atípica y severa tras la inyección de Ozurdex®, con hallazgos inusuales del implante y evolución favorable bajo tratamiento conservador. Se trata de un evento excepcional, con escasos reportes en la literatura3,4, cuyo principal diagnóstico diferencial es la endoftalmitis infecciosa. La presentación clínica y la evolución sugieren una etiología no infecciosa, en concordancia con las hipótesis propuestas como posibles desencadenantes del proceso inflamatorio3–5.
Informe del casoMujer de 77 años sin antecedentes clínicos de importancia, con historia de edema macular quístico seudofáquico recurrente (síndrome de Irvine-Gass) tras facoemulsificación sin complicaciones, tratada con 3 inyecciones previas de Ozurdex® en los últimos 4 años. La última aplicación se realizó según protocolo habitual —antisepsia con povidona yodada, blefarostato estéril y técnica aséptica—, sin incidencias. A las 48h presentó disminución visual aguda e indolora, asociada a fotofobia leve y de progresión gradual, consultando al quinto día. La agudeza visual mejor corregida en el ojo derecho se redujo a percepción de bultos. En la biomicroscopía se observó córnea clara con pliegues endoteliales sutiles, Tyndall 3+ e hipopión de 1,5mm, sin inyección cilioconjuntival. La presión intraocular fue de 14mmHg en ambos ojos. El fondo de ojo no fue valorable por marcada turbidez vítrea.
La ecografía ocular en modo B mostró densas condensaciones vítreas móviles en forma de membranas, sin punteado fino difuso (fig. 1). Se inició tratamiento empírico para endoftalmitis infecciosa con vancomicina (1mg/0,1ml) y ceftazidima (2mg/0,1ml) intravítreas, tras la toma de muestra de humor acuoso para estudio microbiológico, que resultó negativo. Se indicó ciprofloxacina oral y prednisolona tópica, sin añadir colirios antibióticos reforzados, conforme a las recomendaciones para el manejo inicial ante la sospecha de endoftalmitis.
Comparación del patrón ecográfico en modo B en 2 casos de inflamación intraocular con ocupación vítrea. A) Endoftalmitis bacteriana confirmada tras Ozurdex®, mostrando ocupación vítrea difusa, múltiples puntos hiperecogénicos e imágenes de membrana. B) Endoftalmitis estéril (caso propio) con bandas vítreas densas, móviles y organizadas, intercaladas con espacios anecoicos.
A las 48h se evidenció mejoría del segmento anterior, con resolución completa del hipopion en una semana. Con el aclaramiento progresivo de medios, se identificaron microhemorragias retinianas aisladas y un aspecto anómalo del implante —edematizado y rodeado de fibras vítreas blanquecinas en vórtice—, acompañado de condensaciones difusas en forma de sábanas densas, que disminuyeron gradualmente en controles posteriores (fig. 2).
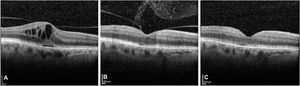
La angiofluoresceinografía mostró árbol vascular normal, sin áreas de hipoperfusión ni fugas. La tomografía de coherencia óptica evidenció resolución del edema macular y aclaramiento progresivo de puntos hiperreflectivos en vítreo posterior (figs. 3 y 4). La agudeza visual se recuperó a 0.7 logMAR, correspondiente a su nivel visual habitual.
Imagen de fondo de ojo. Retinografía multicolor (A): Condensaciones vítreas difusas en patrón de «sábanas densas». Angiofluoresceinografía en tiempos: coroideo-arterial (B), arteriovenoso (C) y venoso (D), mostrando buen llenado con conservación del árbol vascular, sin áreas de isquemia ni enlentecimiento circulatorio. Se observan puntos hipofluorescentes dispersos por efecto de bloqueo, compatible con hemorragias retinianas aisladas.
Tomografía de coherencia óptica con evolución temporal del perfil macular y del vítreo posterior. A) Preinyección: engrosamiento retiniano con edema macular quístico, leve desprendimiento subfoveal y hialoides posterior parcialmente adherida. B) Fase aguda (día 10 postinyección): resolución de espacios cistoideos y ocupación del vítreo posterior por densidades hiperreflectivas. C) Fase resolutiva (día 30 postinyección): recuperación completa del perfil foveal y aclaramiento del espacio vítreo.
Se mantuvo pauta descendente de corticoides tópicos durante 4 semanas hasta resolución completa. Dada la evolución favorable, no fueron necesarias nuevas inyecciones intravítreas ni vitrectomía —opciones descritas en la literatura en casos de endoftalmitis asociada a Ozurdex®.
DiscusiónLa aparición de inflamación intraocular aguda tras una inyección intravítrea obliga a descartar endoftalmitis infecciosa por su evolución potencialmente grave y necesidad de intervención urgente6,7. Sin embargo, en este caso varios elementos apoyan una etiología no infecciosa (endoftalmitis estéril).
Aunque el implante de dexametasona podría enmascarar parcialmente una infección vítrea, la ausencia de un cuadro hiperagudo y florido —esperable por la inoculación directa y la inmunosupresión local—, junto con la evolución con ojo blanco, sin dolor ni inyección ciliar, y la rápida resolución del hipopion y la vitritis bajo corticoides tópicos, refuerzan esta sospecha. En la endoftalmitis infecciosa se observan típicamente dolor, hiperemia, hipopion y condensación vítrea7–9; cuando estos signos son mínimos o ausentes, como en este caso, la sospecha se orienta hacia inflamación estéril3,4.
No obstante, aunque la evolución clínica sugiere un proceso estéril, no puede descartarse por completo una infección de baja virulencia ni la contribución de los antibióticos intravítreos iniciales a su control. Por ello, el tratamiento antibiótico intravítreo empírico sigue siendo prudente, dada la existencia de casos atípicos con cultivos positivos descritos en la literatura10.
El hallazgo más distintivo fue la apariencia anómala del implante —edematizado y rodeado de sábanas vítreas—, diferente de las complicaciones clásicas de Ozurdex® y de las imágenes ecográficas típicas de vitritis infecciosa (figs. 1 y 2), sugiriendo una alteración de su cápsula polimérica, con posible liberación acelerada de dexametasona o de polímeros (PLGA), desencadenando una reacción inflamatoria intensa de tipo irritativo o inmunológico3–5. Estos hallazgos apoyan una inflamación directamente relacionada con el implante y no con un proceso infeccioso difuso3.
Asimismo, la manipulación del implante o una técnica de inyección inadecuadas —como la introducción rápida o perpendicular a la esclera con aguja de 22 G— se han vinculado a respuestas inflamatorias inusuales, por introducción inadvertida de microcontaminantes, trazas de iodo o endotoxinas4,5.
Las microhemorragias retinianas podrían explicarse por el aumento de la permeabilidad capilar mediado por citoquinas inflamatorias y la tracción del vítreo condensado sobre la retina interna4. La angiofluoresceinografía mostró circulación retinocoroidea conservada, sin áreas de hipoperfusión ni alteraciones vasculares, hallazgo que refuerza la etiología estéril, a diferencia de la endoftalmitis infecciosa, donde es habitual una disrupción más difusa de la barrera retiniana con fugas, vasculitis o isquemia7–10.
A diferencia de la endoftalmitis infecciosa, generalmente asociada a peor recuperación visual incluso tras tratamiento quirúrgico, los cuadros estériles suelen recuperar la agudeza visual basal y presentan un pronóstico favorable4,6.
Este caso subraya la importancia de reconocer presentaciones clínicas atípicas e integrar los hallazgos clínicos e imagenológicos para un diagnóstico preciso. La evolución indolente, la respuesta favorable al tratamiento conservador y la angiografía normal respaldaron el diagnóstico de endoftalmitis estéril. La experiencia clínica, junto con una anamnesis y exploración detalladas, resulta esencial para orientar el diagnóstico y evitar intervenciones innecesarias sin subestimar la posible gravedad del cuadro.
Finalmente, resulta fundamental la notificación de estos eventos a los sistemas de farmacovigilancia para ampliar el conocimiento sobre complicaciones infrecuentes asociadas a implantes intravítreos de liberación prolongada.
AutoríasTodos los autores certifican que cumplen los criterios actuales del International Committee of Medical Journal Editors (ICMJE) para la autoría, y que han contribuido de forma sustancial a la elaboración del manuscrito.
Consentimiento informadoSe obtuvo el consentimiento informado por escrito del paciente para la publicación de los datos clínicos e imágenes incluidos en este artículo.
FinanciaciónLos autores declaran que no han recibido financiación para la realización de este trabajo
Consideraciones éticasEl presente trabajo se realizó de acuerdo con los principios éticos internacionales. Debido a la naturaleza descriptiva del caso, no se requirió aprobación por parte de un comité de ética.
Uso de inteligencia artificialNo se ha utilizado inteligencia artificial generativa para la creación de contenido científico ni para la manipulación o generación de imágenes.
Conflicto de interesesLos autores declaran no tener conflictos de intereses.





