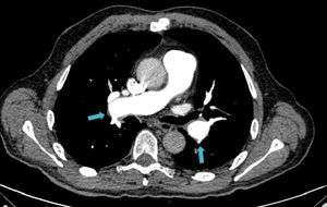
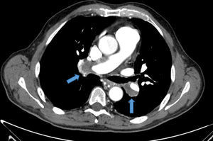
Presentamos el caso de un varón de 58 años diagnosticado de hipertensión pulmonar tromboembólica crónica (HPTEC), sometido a cirugía de endarterectomía pulmonar (EAP) bilateral, con excelente resultado. El paciente, con antecedente de hipertensión arterial bien controlada, con tratamiento con antagonistas de los receptores de la angiotensina II, consultó por astenia y disnea de varios meses de evolución, que había ido en aumento hasta hacerse de mínimos esfuerzos, presentando 7 días antes de su ingreso un episodio de mareo intenso. Su estado general era bueno, con adecuada perfusión de la piel y las mucosas. En la exploración física, la tensión arterial era de 120/64mmHg, la frecuencia cardiaca de 65lpm y la respiratoria de 14rpm. Presentaba ventilación pulmonar conservada y un soplo sistólico en foco tricuspídeo, grado II/IV, sin irradiación y con segundo tono normal en la auscultación cardiaca. La radiografía de tórax mostró una silueta cardiomediastínica dentro de la normalidad, y sin datos de enfermedad pleuropulmonar. En el electrocardiograma se advertía un ritmo sinusal con extrasístoles auriculares aisladas. La saturación arterial de oxígeno (SpaO2) era del 94,2%, con una presión parcial de O2 de 68,0mmHg y una presión parcial de CO2 de 34,0mmHg. La determinación del dímero D resultó normal. La angio-tomografía computarizada (angio-TC) torácica evidenció defectos de repleción en ambas arterias pulmonares principales, compatible con trombo crónico (fig. 1). La eco-Doppler de miembros inferiores no mostró datos de trombosis venosa profunda. Se practicó un ecocardiograma Doppler que mostró un ventrículo izquierdo con diámetros normales con función global conservada, así como una insuficiencia tricuspídea (IT) moderada y una presión sistólica pulmonar estimada (PSAPe) de 125mmHg, con moderada dilatación de cavidades derechas. El paciente fue diagnosticado de hipertensión pulmonar (HP) secundaria a embolia pulmonar (EP) crónica y tratada con anticoagulación. En el seguimiento a los 3 meses, el paciente mantenía disnea clase III de la World Health Organization (WHO), y en la ecocardiografía Doppler cavidades derechas moderadamente dilatadas con una IT leve y una PSAPe de 75mmHg. El estudio de hipercoagulabilidad resultó normal. El paciente fue sometido al protocolo diagnóstico de HPTEC: se practicó una gammagrafía de perfusión pulmonar que mostró múltiples defectos de perfusión intrapulmonares en segmentos superior e inferior de ambos campos pulmonares, hallazgos compatibles con alta probabilidad de EP; la espirometría mostró una limitación ventilatoria restrictiva de grado moderado; la prueba de marcha de los 6min (PM6M), realizada en aire ambiente, mostró una distancia total recorrida de 400m, SpaO2 basal del 94% y SpaO2 final del 88% (puntuación 7 en la escala Borg); el cateterismo cardiaco derecho confirmó una presión media arterial pulmonar (PmAP) de 47mmHg; y finalmente, se realizó una arteriografía digital pulmonar que mostró defectos de vascularización centrales en ambos pulmones, y una coronariografía que descartó enfermedad arterial coronaria. Previa implantación de un filtro de Greenfield en la vena cava inferior, se practicó al paciente una EAP bilateral mediante esternotomía media, con apoyo de circulación extracorpórea y periodos de parada circulatoria intermitente en hipotermia profunda (fig. 2). No se produjeron complicaciones posoperatorias. En el control a los 90 días, tras la cirugía, el paciente se encontraba en clase funcional I de la WHO con una SpaO2 del 99%, respirando aire ambiente. La nueva PM6M mostró una distancia total recorrida de 470m y una SpaO2 basal del 99% con una SpaO2 final del 94% (puntuación 1 en la escala de Borg). El estudio de la función pulmonar resultó normal y el ecocardiograma Doppler mostró una PSAPe de 35mmHg, con cavidades derechas de tamaño normal. En la angio-TC torácica no se identificaron defectos de repleción intravasculares (fig. 3). Todos los pacientes con HPTEC deben recibir anticoagulación indefinida con el fin de prevenir la trombosis in situ y el tromboembolismo recurrente1. La cirugía de EAP es el tratamiento de elección de la HPTEC, en los casos en que se estime que esta intervención permitirá la extracción de una cantidad significativa de material fibrotrombótico de las arterias pulmonares. La EAP es el único tratamiento que puede lograr la curación de la HPTEC, y es apropiada para más del 60% de los pacientes. La EAP consiste en la extracción quirúrgica del material trombótico intravascular organizado, la capa íntima engrosada, a la cual aquel está firmemente adherido, y parte de la capa muscular. La endarterectomía debe ser bilateral y completa, es decir, extirpando el material fibrotrombótico más periférico. Para ello se requiere esternotomía media, circulación extracorpórea y pausas de parada circulatoria completa que permitan visualizar adecuadamente el árbol vascular. Para evitar el posible daño cerebral durante la parada circulatoria, estas se limitan a una duración menor de 20min por lado, y se realizan en hipotermia profunda de entre 18-20°C. La intervención proporciona unos excelentes resultados, con un porcentaje de curación de la HP (valor de PmAP posoperatorio<25mmHg) cercano al 50%, mejoría de la hemodinámica y de la tolerancia al esfuerzo francas, y buena supervivencia a largo plazo2. La EAP no está exenta de complicaciones y requiere de experiencia, tanto del procedimiento quirúrgico como del manejo perioperatorio. La mortalidad en el periodo posoperatorio en los centros con mayor experiencia es actualmente del 4-5%. En un registro en el que se incluyeron 386 pacientes de 26 centros expertos europeos y uno canadiense, la mortalidad en el posoperatorio inmediato fue del 4,7%. Las complicaciones posoperatorias más frecuentes son el edema de reperfusión y la HP persistente tras la cirugía. La decisión debe ser individualizada para cada paciente, puesto que en el éxito de la cirugía interviene la relación que existe entre las lesiones trombóticas accesibles quirúrgicamente y el estado hemodinámico, la función del ventrículo derecho, la edad del paciente y las comorbilidades, entre otros factores. La angioplastia con balón de las arterias pulmonares es una técnica que se ha postulado en los últimos años, y que se podría tener en cuenta para pacientes que se consideran inoperables debido a enfermedad predominantemente distal o a enfermedades asociadas o en aquellos pacientes con HP persistente o recurrente después de la EAP.
Los autores declaran que para esta investigación no se han realizado experimentos en seres humanos ni en animales.
Confidencialidad de los datosLos autores declaran que han seguido los protocolos de su centro de trabajo sobre la publicación de datos de pacientes.
Derecho a la privacidad y consentimiento informadoLos autores han obtenido el consentimiento informado de los pacientes y/o sujetos referidos en el artículo. Este documento obra en poder del autor de correspondencia.




