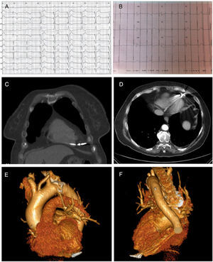
Se presenta el caso de una paciente mujer de 73 años remitida para implante de marcapasos por bloqueo aurículo-ventricular completo paroxístico decidiéndose implante de marcapasos bicameral realizado a través de vena subclavia izquierda con colocación de electrodos de fijación activa en orejuela de AD y en ápex de VD. A las 24h, la paciente refirió dolor torácico en hemitórax izquierdo punzante refractario. Se revisó el dispositivo que mostró fallo de sensado y de captura a máxima energía de estimulación del electrodo ventricular (fig. 1A-B). La radiografía de tórax no mostró alteraciones y la ecocardiografía mostró derrame pericárdico ligero sin signos de taponamiento no pudiendo observar la punta del electrodo. Se realizó tomografía computarizada (TC) torácica urgente que demostró perforación de la pared anterior del VD por el electrodo llegando hasta grasa paracardiaca (figs. 1C-F).
A) Electrocardiograma tras el implante en sala de electrofisiología. B) Electrocardiograma tras la perforación cardiaca. C y D) TC torácica. Electrodo perforando la pared miocárdica penetrando en grasa paracardiaca. E y F) Reconstrucción tridimensional donde se visualiza punta de electrodo traspasando miocardio de pared anterior de VD.
La perforación miocárdica por cable de marcapasos es una complicación que oscila entre el 0,1-0,8%, siendo mayor la tasa en implantes de desfibrilador automático implantable (DAI) (0,6-5,2%)1. La frecuencia de complicaciones agudas por implante de dispositivos es del 3-7%, siendo la más frecuente el hematoma de la bolsa del generador. Puede ser aguda (primeras 24h), subaguda (24h al primer mes) o crónica. El principal factor predictor descrito es el uso de marcapasos transitorio previo al implante. Otros factores son sexo femenino, edad avanzada, delgadez, implante de electrodo con excesiva tensión, electrodos auriculares por delgadez de la pared auricular, colocación en ápex en lugar de en septum o en tracto de salida, delgadez del miocardio (miocardiopatía dilatada, infarto previo), esteroides o electrodos de fijación activa entre otros. La presencia de hipertensión pulmonar parece factor protector por la hipertrofia ventricular2. Puede manifestarse como dolor torácico, disnea, dolor abdominal, hipo por estimulación diafragmática, síncope, descargas inapropiadas en DAI, hasta arritmias o taponamiento cardiaco. Sin embargo, se ha descrito que puede ser asintomática hasta en el 15%.
Ante la sospecha clínica, la evaluación urgente ha de incluir una ecocardiografía, que es la primera prueba para el diagnóstico, comprobando si hay derrame pericárdico y datos de taponamiento intentando visualizar la punta y trayecto del electrodo; y una radiografía de tórax valorando desplazamiento de electrodos, silueta cardiaca, derrame pleural o neumotórax; además, se ha de re-interrogar el dispositivo. La TC aporta una gran ayuda en el diagnóstico dada su capacidad para visualizar la punta del electrodo3. Con respecto al tratamiento, la cirugía cardiaca es de elección en caso de pacientes inestables y con taponamiento. Si el paciente está estable, puede realizarse tracción y recolocación percutáneamente si bien es conveniente realizarlo en quirófano de cirugía cardiaca ante la posibilidad de hemopericardio y taponamiento, tal como sucedió en nuestro caso.
Responsabilidades éticasProtección de personas y animalesLos autores declaran que para esta investigación no se han realizado experimentos en seres humanos ni en animales.
Confidencialidad de los datosLos autores declaran que han seguido los protocolos de su centro de trabajo sobre la publicación de datos de pacientes.
Derecho a la privacidad y consentimiento informadoLos autores han obtenido el consentimiento informado de los pacientes y/o sujetos referidos en el artículo. Este documento obra en poder del autor de correspondencia.


