Introducció
Les malalties cardiovasculars més freqüents en la síndrome de Down (SD) són les malalties congènites (canal auriculoventricular i defectes del septe interventricular). Recentment s'han publicat estudis en què se suggereix que els pacients amb SD poden desenvolupar una vasculopatia tipus Moya moya. Hi ha una associació clara entre la trombosi venosa cerebral (TVC) i una gran varietat de malalties. No s'ha establert una associació clara entre la SD i la TVC1.
Presentem el cas d'un home jove amb SD que va presentar signes clínics i radiològics compatibles amb TVC.
Cas clínic
Home de 27 anys amb SD, que va acudir al servei d'urgències de l'hospital per cefalea, vòmits i hemiparèsia esquerra. A l'exploració física era conscient, orientat, collaborador, i tenia una pressió arterial de 150/75 mmHg, una freqüència cardíaca de 68 ppm i no presentava febre. Mostrava una auscultació cardiopulmonar normal. A l'exploració neurològica va destacar una endotropia de l'ull dret en posició basal de la mirada, hemiparèsia esquerra: MSI proximal 0/5, distal 4-/5, MII proximal 3/5, distal 2/5, ROT conservats. En l'analítica que va fer a urgències no es van observar alteracions significatives en l'hemograma ni en la bioquímica. L'estudi de coagulació no es va poder obtenir perquè era una mostra insuficient. Van sol·licitar-hi una tomografia computada (TC) cranial urgent en què es van observar signes indirectes de TVC consistents a una hiperdensitat del si longitudinal superior i el si transvers esquerre, i èctasi i hiperatenuació d'algunes venes corticals (fig. 1). La ressonància magnètica (RM) cranial va confirmar els descobriments de la TC (fig. 2). La causa d'aquesta extensa trombosi encara no està clara. Es va iniciar un tractament anticoagulant amb heparina i, a continuació, es va administrar Sintrom® durant 1 mes, amb la qual cosa hi va haver una evolució clínica favorable i actualment no presenta símptomes.
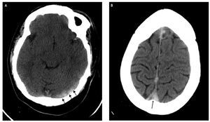
Figura 1 Tomografia computada cranial sense contrast iodat. A. augment de la densitat al si transvers esquerre (fletxes) amb mala definició de les vores, indicatiu de trombe recent. B. Nivell superior. Augment de la densitat al si longitudinal superior (fletxa).
Figura 2 Ressonància magnètica cranial, seqüència TSE-T1 3D amb gadolini. A. Secció sagital. Defectes de repleció al si longitudinal superior (fletxes llargues), premsa d'Heròfil (doble fletxa) i si recte (fletxa curta) originats per trombes. B. Secció axial. Trombe al si transvers esquerre (fletxes). Si transvers dret permeable.
Discussió
El 1825 Ribes va descriure per primera vegada la TVC i el 1828 Abercrombie la va ampliar2. És una entitat poc freqüent i difícil de diagnosticar, ja que té una clínica poc específica i polimorfa, i fa imprescindible recolzar-la amb tècniques de neuroimatgeria. La taxa d'incidència anual de la TVC és de 3-4 casos per milió d'habitants, amb més incidència en dones joves. El que afecta amb més freqüència és el si transvers (86%) i després el si sagital superior (62%)3.
Els factors de risc s'agrupen en condicions protrombòtiques genètiques (deficiència d'antitrombina, deficiència de proteïnes C i S, mutació del factor V Leiden), estats protrombòtics adquirits (síndrome nefròtica, anticossos antifosfolipídics), infeccions (otitis mitjana, sinusitis, meningitis), malalties inflamatòries (lupus eritematós sistèmic, malaltia inflamatòria intestinal), condicions hematològiques (leucèmia, trombocitosi), medicaments (anticonceptius orals), causes mecàniques i traumatismes, i d'altres, com la deshidratació en nens i els processos neoplàsics. La manifestació clínica més freqüent i específica és la cefalea (present en més del 90% dels casos), que pot anar acompanyada de crisis epilèptiques (40%).
S'ha descrit àmpliament en la bibliografia que els pacients amb SD són propensos a tenir ictus embòlics secundaris a cardiopaties congènites. Els ictus en pacients joves amb SD poden ser també secundaris a una vasculopatia tipus Moya moya. Actualment, el mecanisme subjacent de la TVC en la SD és incert. Hi ha nombroses malalties que podrien ser la causa de la TVC en el pacient que es presenta. Els pacients amb SD tenen més risc de desenvolupar leucèmia. La hipoacúsia és un altre problema freqüent en pacients amb SD, possiblement en relació amb episodis d'otitis mitjana no diagnosticada en aquesta població. Així, podem especular que els pacients amb SD poden tenir més risc de TVC a causa de leucèmia o otitis mitjana1.
Després de fer una revisió bibliogràfica per mitjà de la base de dades MEDLINE i d'haver fet servir com a motor de recerca PubMed, amb les paraules clau "cerebral venous thrombosis and Down's syndrome", només hem trobat dos casos publicats de SD i TVC1,4.
Per tal d'entendre la variabilitat simptomatològica del procés, cal diferenciar la trombosi de venes cerebrals, amb efectes locals causats per l'obstrucció venosa (edema cerebral, a l'inici d'etiologia isquèmica-citotòxica i posteriorment vasogènic i reversible, i infarts venosos), de la trombosi dels grans sins, que causa la síndrome d'hipertensió intracranial (l'obstrucció dels sins venosos provoca una alteració en la reabsorció del líquid cefaloraquidi, la qual cosa provoca una hidrocefàlia comunicant, que rarament origina dilatació del sistema ventricular), tot i que, en la majoria de pacients, aquests processos es produeixen de forma simultània3.
Antigament l'estàndard de referència per al diagnòstic de la TVC era l'arteriografia; avui dia, la prova diagnòstica més sensible i menys invasiva és la RM cranial combinada amb la venografia RM, en les quals s'observen els descobriments típics (senyal hiperintensa en T1 i T2 als sins durals trombosats i absència de flux a la venografia RM)5,6. La TC cranial té la mateixa precisió que la RM per al diagnòstic d'aquesta entitat (sensibilitat i especificitat del 100% en TC multidetector amb contrast intravenós), i s'hi observa un augment de densitat als sins durals (signe de la corda: el 64,6% de sensibilitat i el 97,2% d'especificitat per al diagnòstic de trombosi de venes superficials) i venes corticals (signe de la vena atenuada: el 100% de sensibilitat i el 99,4% d'especificitat per al diagnòstic de trombosi venosa profunda) en l'estudi sense contrast, i el clàssic signe del delta buit a la premsa d'Heròfil en l'estudi amb contrast; també es pot avaluar si hi ha signes d'infarts venosos o hemorràgia, no presents en el cas que descrivim7,8. Aquestes dues tècniques d'imatge són suficientment sensibles i específiques com per arribar al diagnòstic; actualment és poc freqüent haver de fer una arteriografia cerebral. Avui dia, el tractament consisteix en l'anticoagulació amb heparina, malgrat el risc de transformació hemorràgica (40%), la hipertensió cranial amb manitol i, en casos de pronòstic molt dolent, trombòlisi endovascular (urocinasa)4.
* Autor per a correspondència.
Correu electrònic: jesusgruiz@hotmail.com (J. Garzón Ruiz).
Rebut l'1 de novembre de 2010 ;
acceptat el 3 de maig de 2011



