L'hèrnia de Morgagni (HM) es una hèrnia diafragmàtica poc freqüent, amb un índex d'hèrnies diafragmàtiques congènites del 2%. La síndrome de Down (SD) és l'anomalia cromosòmica més freqüent notificada. Hi ha una variació molt àmplia entre individus des del punt de vista clínic pels seus trets característics i les malformacions sistèmiques associades. La coexistència d'hèrnia de Morgagni i síndrome de Down s'ha notificat en un 20% de casos, aproximadament.
Una dona amb SD va ser ingressada al servei d'urgències per avaluar una pneumònia recurrent acompanyada de febre i tos seca persistent. En aquest cas, es va observar que l'anomalia radiogràfica era en realitat una HM amb nanses intestinals al costat dret del tòrax. Presentem aquest cas per deixar constància d'una associació asimptomàtica entre SD i HM.
Morgagni hernia (MH) is a rare diaphragmatic hernia with 2% rate of congenital diaphragmatic hernias. Is reported Down's syndrome (DS) the most common chromosomal anomaly. There is a wide range variation among individuals clinically by its characteristic features and associated systemic malformations. The coexistence of Morgagni hernia and DS is reported approximately 20%.
A female patient with DS was admitted to emergency department for evaluation of recurrent pneumonia accompanied by persistent dry cough and fever. In the case the radiographic abnormality was actually found to be MH with intestinal loops in the right thorax. We report this case to notify an asymptomatic association between DS and MH.
Pagina nueva 4
Introducció
L'hèrnia de Morgagni (HM) és una hèrnia diafragmàtica (HD) congènita causada per un defecte diafragmàtic localitzat en la part anterior. És poc freqüent, amb una incidència d'1 de cada 2.200 naixements, i suposa el 3-5% de totes les HD1.
Normalment els pacients presenten destret respiratori uns quants dies després del seu naixement. El diagnòstic d'HM en adults és fortuit al ser generalment asimptomàtica, tot i que de vegades pot ser complex. El 50% d'HM s'associa amb anomalies congènites, cardiopatia congènita, defectes del tub neural i anomalies cromosòmiques2. En la bibliografia3-6 hi ha poques referències a la seva associació amb la síndrome de Down (SD). En aquest cas, presentem una HM associada amb SD en una pacient adulta que va presentarse a la nostra clínica per destret respiratori.
Cas clínic
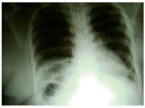
Una pacient de 22 anys, amb diagnòstic de SD, va ingressar al servei d'urgències amb febre i dispnea. La pacient estava sotmesa a un seguiment regular i no presentava comorbiditats, tret de la SD. Tenia una tos seca persistent des de feia una setmana. A l'exploració física inicial presentava 39,2 °C de febre, cianosi i so respiratori reduït a la part baixa del pulmó dret. A l'avaluació analítica es va detectar leucocitosi i acidosi respiratòria greu. Els paràmetres bioquímics eren normals. La pacient, hemodinàmicament estable, va rebre tractament amb oxigen nasal i va ser controlada de prop. A l'exploració posterior amb radiografia del tòrax, es van observar nanses intestinals al costat dret del tòrax amb radioopacitat infiltrant conforme a pneumònia (fig. 1). El pulmó esquerre no presentava cap afecció.
Figura 1 En la radiografia toràcica s'observen nanses intestinals al costat dret del tòrax.
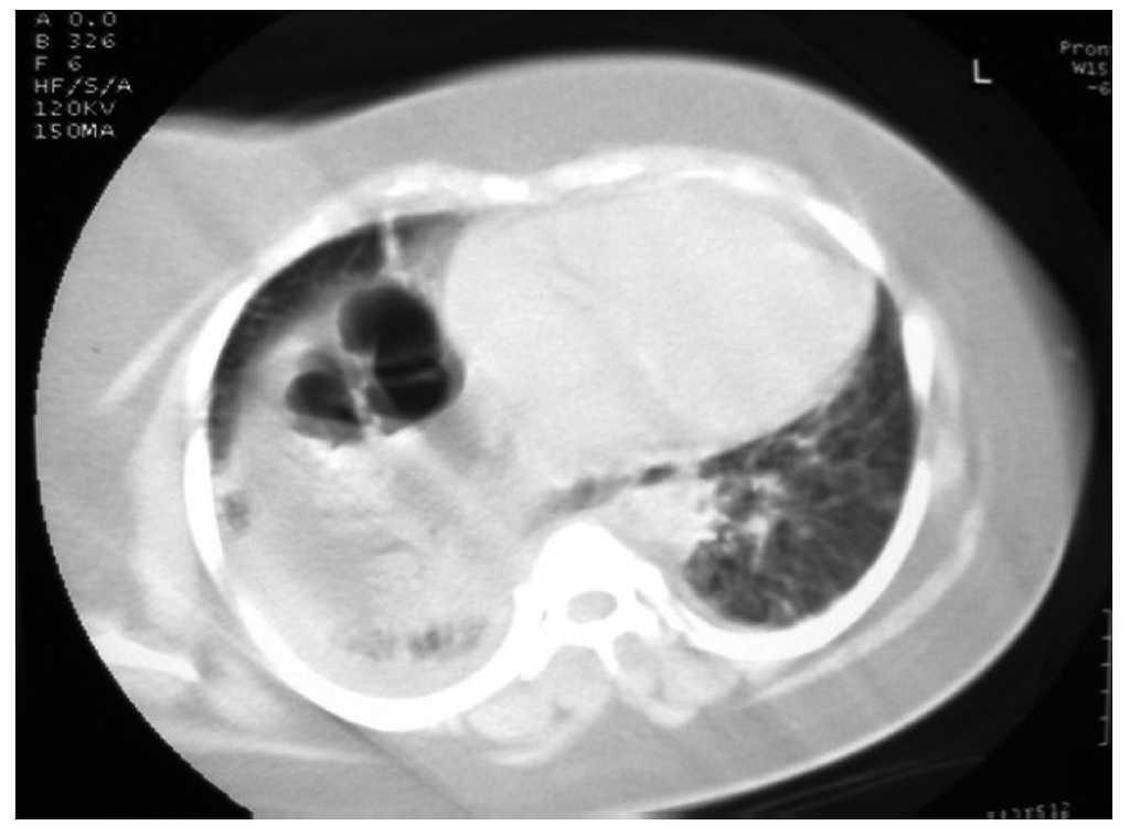
La tomografia computada del tòrax va confirmar els diagnòstics d'hèrnia intestinal a través del diafragma i d'infiltració. La localització i la morfologia de l'hèrnia s'ajustaven a HM (fig. 2). La pacient va ser traslladada a la unitat de cures intensives (UCI) per continuar amb l'elaboració del diagnòstic.
Figura 2 El diagnòstic es confirma per mitjà de tomografia computada.
Durant el seguiment a l'UCI, el destret respiratori i l'escala de coma de Glasgow de la pacient van empitjorar progressivament i va haver de ser intubada. Amb la ventilació mecànica, el destret respiratori i l'acidosi van millorar de manera progressiva. La pacient va rebre tractament amb levofloxacina amb un diagnòstic de pneumònia adquirida a la comunitat. Es va observar una resposta ràpida als antibiòtics, i la leucocitosi i la febre van remetre. A la radiografia de tòrax del segon dia, les nanses intestinals de la cavitat toràcica havien desaparegut i havien deixat una infiltració. La pacient es va sotmetre a un seguiment de 8 dies i a continuació va ser extubada. Després de 12 dies de seguiment, va ser traslladada a la planta.
Un cop a la planta, va rebre tractament amb oxigen nasal. El tractament amb levofloxacina es va interrompre el catorzè dia de tractament. El segon dia de seguiment a la planta es va observar un desenvolupament progressiu de dispnea i cianosi. Es va tornar a traslladar la pacient ràpidament a l'UCI amb la sospita d'una recidiva de l'HD i la possibilitat d'un ràpid deteriorament clínic. La pacient es va sotmetre a oxigenoteràpia i a un seguiment exhaustiu. La radiografia toràcica va tornar a revelar segments intestinals al costat dret de la cavitat toràcica. Durant el seguiment no es va requerir cap més reemplaçament invasiu d'oxigen i l'acidosi respiratòria va remetre amb mascareta facial d'oxigen. El mateix dia de l'ingrés, en la radiografia toràcica es va observar que les nanses intestinals havien desaparegut. Després de la millora clínica de la pacient, es va traslladar a la planta de cirurgia per sotmetrela a una altra operació per l'hèrnia recurrent, de perill vital.
Discussió
L'HM és un defecte diafragmàtic poc corrent. No està clara la seva patogènia real, però una de les hipòtesis és que és el resultat d'un mal tancament dels plecs pleuroperitoneals7. Les HD s'han associat amb anomalies cromosòmiques, sobretot amb les trisomies 18, 13 i 21. L'associació amb la trisomia 21 és poc freqüent. Alguns estudis indiquen una incidència més alta d'HM i SD a l'Aràbia Saudita, cosa que posa de manifest la importància de la genètica com a factor etiològic. Normalment, les HD es produeixen al costat esquerre i les del costat dret afecten l'11% de totes les HD; l'hèrnia bilateral, només el 2% de totes les HD. Normalment les hèrnies bilaterals s'associen amb altres anomalies congènites8.
En el període neonatal, l'HD apareix amb destret respiratori, mentre que en pacients adults apareix sobretot amb símptomes gastrointestinals no específics, infeccions recurrents de les vies respiratòries baixes i normalment presenten un inici insidiós. En dos casos es va notificar l'aparició de pneumònia recurrent en SD, que va ser la causa d'un diagnòstic d'HM, i es va poder tractar amb bon resultat mitjançant una operació quirúrgica5. La nostra pacient també presentava pneumònia, a més d'HM. No obstant això, un cop resolta la pneumònia, la recidiva de l'hèrnia va descompensar la pacient i hi va caldre assistència respiratòria. Ja s'ha notificat una associació entre HM i SD amb destret respiratori, tot i que, a diferència de la resta de casos, la nostra pacient va necessitar més seguiment a l'UCI i assistència respiratòria invasiva9,10.
El diagnòstic d'hèrnia es realitza amb una radiografia del tòrax i visualitzant el contingut abdominal herniat a la cavitat toràcica, i la modalitat de tractament definitiva és la cirurgia. En el cas que ens ocupa, s'observaren segments d'intestí herniats a la radiografia toràcica inicial. A causa del deteriorament clínic progressiu, es van haver de fer més exploracions radiològiques, tot i que no es van detectar altres vísceres en la cavitat toràcica.
Conclusió
L'associació entre HM i SD és poc freqüent, tot i que podria suposar un desafiament diagnòstic de pacients amb insuficièn cia respiratòria. Els metges han de tenir present que els pacients amb SD poden presentar diferents anomalies i que la pneumònia recurrent, les afeccions dispèptiques i especialment el destret respiratori de perill vital poden ser els únics símptomes de l'HM.
* Autor per correspondència.
Correu electrònic:drsemih@gmail.com (S. Degerli).
Rebut el 14 de setembre de 2012;
acceptat el 21 de desembre de 2012



