Las malformaciones arteriovenosas (MAVs) cerebrales son anormalidades del desarrollo vascular, su localización generalmente es parenquimatosa subpial. Las MAVs intraventriculares son extremadamente raras. Se presentan clínicamente como hemorragias parenquimatosas que ocasionan desde cefalea, convulsiones hasta pérdida del estado de alerta. Su diagnóstico presuntivo se establece después de realizarse tomografía computarizada simple de cráneo (TC) o resonancia magnética (RM), y se corrobora por angiografía cerebral de sustracción digital. El tratamiento actual puede ser quirúrgico o conservador dependiendo su tamaño y localización. Presentamos el caso de una paciente con diagnóstico de MAV intraventricular con datos clínicos de hidrocefalia intermitente.
Arteriovenous malformations (AVMs) are well known as development abnormalities of the cerebrovascular system. They are of subpial location and clinically suspected by cerebral hemorrhage that causes headache and sometimes seizures.
According to their clinical presentation AVMs are often suspected by contrast and non contrast head computed tomography (CT) or magnetic resonance imaging (MRI) and corroborated by cerebral angiography. Treatment might be surgical or non-surgical depending on their location and size. We present an extremely rare case of an 18 year-old female presenting with intermittent hydrocephalus and the final diagnose of an intraventricular AVM.
Introducción
Las malformaciones arteriovenosas (MAVs) son anormalidades del desarrollo vascular cerebral que se localizan en la región subpial y que generalmente pueden ser parenquimatosas o durales, aunque pueden involucrar cualquier espacio a nivel intracraneal1-3. Su fisiopatología aún no es del todo clara pero se cuenta con evidencia experimental (2001) que relaciona a los receptores de tirosina cinasa (TYR), el Factor de Crecimiento Endotelial Vascular (VEGF-R1, VEGF-R2) y algunos síndromes genéticos, tal como Osler-Weber-Rendu, o clínicos como el Sturge-Weber1.
Su prevalencia es de 0.01% en la población general sin predilección por el sexo. No se relaciona familiarmente y la presentación en 2 miembros de una familia es meramente accidental. Pueden ser múltiples en el 0.3% al 3.2% de los casos. De los pacientes que mueren por hemorragia intraparenquimatosa el 12% se debe a MAVs, por lo tanto corresponde al 3° lugar de causa de hemorragia cerebral y 1° lugar entre los 20 a los 40 años de edad1. Una vez diagnosticadas el riesgo de sangrado es de 2%-4% por año y si debutaron con hemorragia, el riesgo anual de resangrado es del 18%, el cual disminuye anualmente durante 15 años hasta llegar de nuevo al 2%-4%1-4.
Clínicamente se presentan como: hemorragia en el 42%-72% de los casos, crisis convulsivas del 33%-46%, cefalea 14%-34% y déficit neurológico focal 21%-23%. La mortalidad de una MAV rota es del 9% y de un aneurisma del 21%1-4. Sin embargo, presentan mejor estado neurológico postsangrado las rupturas aneurismáticas que las MAVs (56% vs. 49%)1. Radiológicamente se sospechan por tomografía computarizada (TC) simple de cráneo y contrastada en casos de sintomatología aguda, y se corroboran por angiografía cerebral de sustracción digital4,5. La resonancia magnética (RM) es útil para descartar patología vascular angiográficamente oculta como los angiomas venosos o neoplasias3-6.
Las MAVs se clasifican por su anatomía microscópica y por su imagen radiológica. Esta última involucra su tamaño, su localización y el drenaje venoso del que dependen (Spletzer Martin)1.
Por su anatomía microscópica las malformaciones vasculares según McCormick, se clasifican en MAVs, telangiectasias capilares, angiomas venosos o también llamados cavernomas, transicional y mixta6.
Presentación del caso
Femenina de 18 años de edad, con lateralidad manual diestra, sin antecedente familiares o personales de importancia, con desarrollo psicomotor normal, fecha de última menstruación 3 semanas previas a la valoración. Inició su padecimiento 3 semanas previas a su ingreso, con cefalea holocraneana, paroxística, pulsátil, que empeora con los movimientos, mejora parcialmente con analgésicos de tipo no esteroideo, como síntomas acompañantes refiere náusea y vómito de una semana de evolución que exacerbaba la cefalea, asimismo temblor distal y trastornos del sueño caracterizados por insomnio.
A la exploración física se encuentra así: frecuencia cardiaca 78 lat/min, frecuencia respiratoria 16 resp/min, presión arterial 110/70 mmHg, temperatura 36.4ºC, SpO2 98%, edad aparente a la cronológica, bien hidratada, cráneo normocéfalo, narinas y cavidad orofaríngea bien conformada, cuello cilíndrico, tráquea central, sin plétora yugular, pulsos carotídeos homócrotos y sincrónicos con el radial, tórax normolíneo con adecuada amplexión y amplexación, claro pulmonar a la percusión y con murmullo vesicular generalizado a la auscultación, precordio normodinámico, con ruidos cardiacos rítmicos, abdomen blando, depresible, con normoperistalsis, no dolorosos y sin visceromegalias, extremidades eutróficas, genitales de acuerdo a sexo y edad.
A la exploración neurológica las funciones cerebrales superiores, se encuentra somnolienta, al reactivarla al estímulo verbal se mantiene alerta y atenta, orientada en tiempo, espacio y persona, cooperadora, Glasgow 14 (O3, V5, M6), gnosias, praxias, lenguaje, cálculo, abstracción y juicio sin alteraciones, nervios craneales sin alteraciones, excepto el II nervio craneal con agudeza visual valorada con carta de Snellen 30/20 ojo derecho y 20/20 ojo izquierdo, campimetría por confrontación y colorimetría sin alteraciones, ojo derecho e izquierdo papila con bordes borrados, aumento de la excavación fisiológica al 70% aproximadamente, pulso venoso ausente; sistema motor con adecuado tono y trofismo en la musculatura axial y apendicular, fuerza 5/5 en las 4 extremidades de forma distal y proximal, reflejos de estiramiento muscular estilorradial, bicipital, tricipital, patelar y aquileo +++/++++, Babinski y sucedáneos con respuesta indiferente bilateral, sistema sensitivo con sensibilidad superficial y profunda sin alteraciones en los dermatomos explorados, sistema vestíbulo cerebeloso con ausencia de nistagmus, eumétrico, diadococinesia, marcha sin alteraciones, es importante comentar la ausencia de signos meníngeos desde el ingreso.
La paciente fue evaluada con una TC simple y contrastada de cráneo a su ingreso donde se observó una imagen en el atrio del ventrículo lateral izquierdo, con unas dimensiones de 31 x 37 mm en el corte axial de bordes regulares bien delimitada, heterogénea, que refuerza con el medio de contraste, se identifica un pedículo hacia el plexo coroideo ipsi-lateral, se observa aumento de la talla del ventrículo lateral izquierdo en el asta temporal y otra imagen hiperdensa formando un nivel en el mismo, diagnosticándose probable papiloma de plexos coroides (fig. 1).
Figura 1. A) Tomografía prequirúrgica de cráneo contrastada en corte axial, donde se observa lesión (flecha) atrial izquierda de bordes bien definidos, heterogénea que realza al medio de contraste y que ocasiona dilatación del atrio. B) Tomografía prequirúrgica de cráneo contrastada en corte sagital donde se observa en atrio izquierdo, lesión (flecha gruesa) de bordes bien definidos con realce al medio de contraste que depende del plexo coroideo (flecha delgada). C) Tomografía posquirúrgica inmediata de cráneo simple en corte axial, donde se observa sangrado en el lecho quirúrgico (flecha). D) Tomografía posquirúrgica inmediata de cráneo simple en corte sagital, donde se observa sangre en asta temporal (flecha delgada) y hemorragia en lecho quirúrgico (flecha gruesa), así como neumoencéfalo y hematoma subgaleal.
Se decide realizar resección de la lesión a través de un abordaje transulcar parietal izquierdo en el giro supramarginal, llegando al atrio del ventrículo lateral izquierdo, se identificó una lesión firme, violácea, de aproximadamente 3 x 3 cm de bordes regulares, multilobulada, se identificó un pedículo el cual se coaguló con bipolar y se extrajo la lesión en pieza única, enviándose a Patología, donde se reporta macroscópicamente un nódulo de 4.6 x 3.8 cm con superficie externa de aspecto fibroso, de color café grisáceo; al corte se observan bandas de fibrosis que rodean tejido color café rojizo de consistencia blanda. En el examen microscópico corresponde a una malformación vascular, compuesta por vasos sanguíneos de distintos calibres y con espesor aumentado debido al depósito de colágeno tipo I (colágeno maduro) que se hace más evidente con la tinción especial de tricrómico de Masson; se realizó la tinción de fibras elásticas (tinción de Verhöeff) en el que se hace evidente la presencia de la capa elástica en los elementos arteriales de la lesión. El diagnóstico definitivo histopatológico es de MAV (figs. 2, 3 y 4).
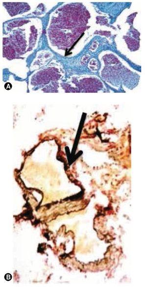
Figura 2 A). Pieza quirúrgica de 3 cm de eje mayor, corresponde a montaje de la lesión teñida con técnica de hematoxilina & eosina; es bien delimitada constituida por múltiples conductos vasculares confluentes y congestivos, de calibre y espesor de pared variables. B) El componente principal de las paredes vasculares es tejido conjuntivo denso regular rico en colágeno tipo I tricrómico de Masson, tejido que también delimita la lesión sin formar una cápsula verdadera.
Figura 3. A) El aspecto histológico de la malformación vascular está compuesto por luces vasculares dilatadas de distintos calibres, con paredes engrosadas y colagenizadas demostradas por el color azul (flecha) en la tinción de tricrómico de Masson. B) En la pared de algunos vasos sanguíneos se identifican fibras elásticas, que se denotan por el color negro (flecha) con la tinción argéntica de Verhöeff.
Figura 4. A) La consistencia dura de la lesión se justifica por la presencia de abundante tejido conjuntivo denso fibroso (tricrómico de Masson), B) resultado de la ruptura vascular y sangrados previos que condicionan el depósito de hemosiderina en el tejido conjuntivo denso, en tinción de hematoxilina & eosina. C) Lesión rica en colágeno tipo I, en color azul tricrómico de Masson. D) Macrófagos con hemosiderina, resultado de la fagocitosis de eritrocitos y degradación incompleta de la hemoglobina -grumos azules citoplasmáticos- (Perl).
La paciente evolucionó con acalculia, los primeros 7 meses mejoró con rehabilitación, durante 2 años de seguimiento no ha vuelto a presentar datos de hipertensión endocraneana, se continúa su vigilancia a través de Consulta Externa.
Discusión
Las MAVs son defectos en el desarrollo vascular que anatómicamente constan de 3 partes, arteria aferente, nido displásico o conexiones anormales arteriovenosas y vena eferente; en un 15% a 20% están asociadas a un aneurisma. Su desarrollo depende de factores de crecimiento endoteliales, vasculares y un estado hemodinámico de alto flujo1.
Las manifestaciones clínicas ante una malformación vascular pueden ir desde hemorragia intraparenquimatosa o hemorragia subaracnoidea que condicionen cefalea o déficit focal, hasta lesiones que ocasionen la muerte1-3. En el caso particular de las MAVs intraventriculares, sus manifestaciones de acuerdo a lo reportado previamente en la literatura suelen tener una presentación subclínica y diagnosticarse en el estado posquirúrgico2,6,7 como ocurrió con el presente caso, donde posteriormente se realizó el diagnóstico y por lo tanto se clasificó de acuerdo a Spetzler Martin como grado 3 (tamaño 2 puntos, drenaje 1 punto, elocuencia 0 puntos), sugiriendo el tratamiento quirúrgico de la lesión como primera opción, aunque algunos autores recomiendan la embolización o radiocirugía concomitante8.
Estas malformaciones vasculares corresponden a un espectro de alteraciones morfológicas histopatológicas; la correlación clínico-histopatológica no es posible realizarla en la totalidad de los casos debido a que las arteriolas se pueden esclerosar e hialinizar, por lo que la capa media compuesta por músculo liso se pierde; igualmente las vénulas que componen la lesión pueden engrosarse debido al depósito de colágeno y proliferación de fibroblastos semejando leiomiocitos, caracterizando el término de "arteriolización".
En el presente caso se puede demostrar la presencia de depósito de colágeno en la totalidad de los vasos, y se puede discriminar entre paredes arteriales y venosas por la presencia de la capa de fibras elásticas con la tinción de Verhöeff. Al ser una combinación de arterias y venas sin una red capilar intermedia, se concluye el diagnóstico de malformación vascular tipo MAV.
El manejo resolutivo de las MAVs es quirúrgico y este dependerá de la situación anatómica y la complejidad vascular intrínseca de la malformación. La primera descripción de una resección de una MAV, se reportó por Oliveiro en 19329. No obstante, existen diferentes terapias como la radiocirugía o la cirugía asistida con endoscopia7,8. La radiocirugía, es una opción como monoterapia, cuando la lesión está en una zona elocuente o la MAV es clasificada en un grado III (controversial), IV o V de Spletzer Martin, sin embargo no es manejo resolutivo, ya que se puede repermeabilizar la lesión5.
Existen pocos casos reportados en los cuales se utiliza radiocirugía intraventricular7, los descritos en la literatura fueron primeramente operados por craneotomía con o sin asistencia de endoscopia, y posteriormente tratados con radiocirugía. De momento no se ha reportado el uso de la radiocirugía como única opción terapéutica en las MAVs puramente intraventriculares, ya que las reportadas son con extensión intraventricular8.
La localización intraventricular es extremadamente rara, en una revisión electrónica de los últimos 50 años en la literatura en inglés y español se han descrito desde 1954 hasta 2006 sólo 152 casos de defectos vasculares intraventriculares, de los cuales 61% eran MAVs9. Anatómicamente, el 83% se encontró en los ventrículos laterales, con un promedio de edad de 30.4 años; el 78% se presentó como hemorragia intraventricular, ninguno como hidrocefalia intermitente5, sólo se encontraron 2 casos en los que la malformación estaba cercana al agujero de Monro y otra en el tercer ventrículo, las cuales debutaron con hidrocefalia como único síntoma3-9.
Las MAVs intraventriculares carecen de características especiales en estudios radiológicos para diferenciarlas de tumores u otras lesiones neoplásicas. Sin embargo, resulta imperativa una TC de cráneo simple y contrastada, ya que es el método no invasivo más eficaz para la sospecha diagnóstica10. No obstante, la RM permite establecer el diagnóstico diferencial con tumores intraventriculares de origen no vascular. Por último y no menos importante, la panangiografía cerebral por sustracción digital debe permitir la valoración de las arterias involucradas1,2.
Conclusión
Las MAVs intraventriculares son extremadamente raras, aproximadamente se han reportado 25 casos en la literatura médica desde 1950 y sólo 2 de ellos presentaron hidrocefalia como síntoma debutante10. La hidrocefalia en estos casos es poco común, pero debe ser considerada como una opción de presentación con o sin hemorragia precedente. Los métodos de imagen en especial la TC de cráneo simple, contrastada y la panangiografía por sustracción digital, son definitorias en su diagnóstico; su tratamiento resolutivo es la resección quirúrgica, ya sea por craneotomía y/o asistida por endoscopia.
Conflicto de intereses
Los autores declaran no tener ningún conflicto de intereses.
Financiamiento
No se recibió ningún patrocinio para llevar a cabo este artículo.
Recibido: 25 julio 2013;
Aceptado: 07 marzo 2014
* Autor para correspondencia:
Cuauhtémoc N° 997, Colonia Del Valle, Delegación Benito Juárez, C.P. 03020, México D.F., México.
Correo electrónico: ogandorivas@hotmail.com (E. Ogando-Rivas).





