La agenesia pulmonar es una malformación congénita rara que se define como la ausencia total de parénquima pulmonar, bronquios y vasculatura. En la literatura se encuentran pocos casos de esta malformación en la edad adulta, debido a la presencia de otras malformaciones coincidentes, como desplazamiento mediastinal y cardiaco severos. La mayoría de los casos mueren prematuramente en los primeros 5años de vida. Se presenta el caso de un paciente de 31años de edad con agenesia pulmonar izquierda asociada a malformación genitourinaria: riñón en herradura.
Pulmonary agenesis is a rare congenital anomaly, defined as the absence of lung parenchyma, blood vessels and bronchus. In the literature there are few reports of this malformation in adulthood due to coincidence severe cardiac and mediastinal shift, and other malformations. Most cases have premature death within the first five years of life. We report a case of a 31years old patient with left pulmonary agenesis associated to genitourinary malformation: horseshoe kidney.
La agenesia pulmonar es una malformación congénita rara, con incidencia de un caso en cada 10,000 a 15,000 nacimientos, que consiste en la ausencia total del parénquima pulmonar, bronquios y vasos pulmonares1-5. El 50% de los casos, especialmente derechos, se asocian a malformaciones cardiovasculares, musculoesqueléticas, gastrointestinales y renales. El pronóstico es mejor en la agenesia pulmonar izquierda y cuando no hay malformaciones cardiacas2,5-7. En la literatura consultada se encontraron 14 casos en la edad adulta4,7-17. Por la asociación a otras malformaciones, la muerte prematura ocurre en los primeros 5años1,2,6,7. Se presenta el caso de un paciente de 31años en el que se encontró incidentalmente agenesia pulmonar izquierda asociada a malformación genitourinaria por riñón en herradura.
Caso clínicoVarón de 31años de edad con antecedentes de tabaquismo, alcoholismo y consumo de cocaína. Ingresó al servicio de urgencias referido de otra institución por probable hemotórax por trauma de tórax no penetrante, con antecedente de toracocentesis diagnóstica, en la que se obtuvo líquido de características hemáticas. A su ingreso se encontró con lesiones faciales, en estado de alerta, cefalalgia pulsátil frontoparietal bilateral de moderada intensidad y dolor en las regiones anterior y lateral del hemitórax izquierdo. Presentaba disnea grado 1 a 2 modified Medical Research Council (mMRC) desde la adolescencia. Ignoraba datos sobre los periodos pre y perinatal.
Sin alteraciones neurológicas, con equimosis y laceraciones faciales en regiones cigomática y mentoniana; en el ojo izquierdo, edema y equimosis palpebral. Tórax asimétrico por retracción notable del hemitórax izquierdo, con ausencia de movimientos y silencio respiratorio por ausencia de transmisión de la voz y vibraciones vocales. Sin evidencia de equimosis o laceraciones en tórax.
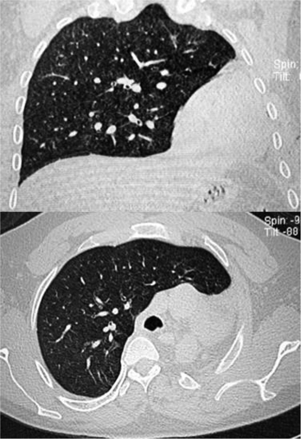
En la radiografía de tórax se observó la tráquea y el mediastino con notable desviación hacia la izquierda, con signo de columna vertebral desnuda y opacidad total del campo pulmonar izquierdo y hernia del pulmón derecho hacia la izquierda (fig. 1). Se realizó nueva toracocentesis diagnóstica sin obtener muestra, por lo que se solicita tomografía computada de tórax urgente por probable hemotórax coagulado, en la cual se observa ausencia de pulmón y arteria pulmonar izquierdos, coincidentes con la herniación de pulmón derecho sin alteraciones en el resto de parénquima. El corazón y los grandes vasos ocupan el hemitórax izquierdo (figs. 2 y 3), con asimetría de la caja torácica por disminución de los espacios intercostales, sin evidencia de fracturas costales. Riñón en herradura con malrotación (fig. 4). Se realizó broncoscopia, observándose disminución del calibre de la emergencia de bronquio principal izquierdo en fondo de saco con obstrucción total. Se instilaron 40ml de solución salina a presión, sin evidencia de permeabilidad, en el fondo de saco del nacimiento del bronquio principal izquierdo con epitelio de coloración amarillo nacarado. La evolución fue satisfactoria, sin evidencia de daño mediato por el trauma y egreso del servicio. No fue posible el seguimiento del caso.
La agenesia pulmonar se observó por primera vez en 1673 por De Pozze en la necropsia de una mujer1,6,7. El primer caso clínico fue presentado por Haberlein en 188718. Es una malformación rara con una incidencia de uno por cada 10,000 a 15,000 autopsias, sin predominio de sexo; la mayoría de los casos es unilateral1-5, siendo más frecuente la agenesia pulmonar izquierda7,19; sin embargo, algunos autores describen que puede ocurrir en uno u otro lado1,5,6,20. La expectativa de vida parece ser mayor en la agenesia izquierda, probablemente en relación con la menor distorsión de la vía aérea, grandes vasos y otras estructuras mediastinales, incluyendo el corazón. Puede presentarse de manera aislada o en asociación con otras malformaciones en más del 50% de los casos5-7.
Desde 1912, las alteraciones del desarrollo pulmonar se clasificaron en 3 categorías según Schneider; posteriormente, en 1955, Boyden modificó la clasificación, siendo esta la más usada (tabla 1)1-3,6,21,22. En 1972, Morales publicó una nueva clasificación de malformaciones congénitas broncopulmonares que consistía en 4 categorías: 1)malformaciones pulmonares, en la cual incluía la agenesia junto con aplasia, hipoplasia y secuestro; 2)anomalías traqueobronquiales o de segmentación; 3)quistes mediastinales o pulmonares, y 4) combinación de 2 o más anomalías broncopulmonares, cardiovasculares, de vías digestivas y de diafragma23.
Clasificación de malformaciones pulmonares congénitas
| Categoría | Descripción |
| Agenesia pulmonar | Ausencia completa de parénquima pulmonar, bronquio y vasculatura pulmonar |
| Aplasia | Presencia de un bronquio rudimentario y ausencia de tejido pulmonar y su vasculatura |
| Hipoplasia | Presencia de bronquio y pulmón rudimentario, sin embargo alveolos y vasos pulmonares disminuidos en número y tamaño |
Tomado y modificado de Biyyam et al.6.
La etiología es desconocida. Se han propuesto factores genéticos, como la trisomía parcial de los cromosomas 2p y 21q, factores teratogénicos, infecciones virales y factores mecánicos como causa de agenesia pulmonar6,7. Una hipótesis refiere que durante el periodo embriogénico, en la cuarta semana de gestación, hay un flujo sanguíneo anormal en el arco aórtico dorsal que condiciona la agenesia pulmonar; además, se ha encontrado cierta asociación con deficiencia de vitaminaA o ácido fólico o el empleo de salicilatos durante el embarazo1-3,7. También se ha descrito que el oligohidramnios durante el estadio canalicular temprano del desarrollo pulmonar (16 a 20semanas de gestación) puede causar defectos en el desarrollo pulmonar20.
La agenesia bilateral implica una falla temprana en el proceso de morfogénesis bronquial, y el factor de crecimiento de fibroblastos 10 parece tener un importante papel en este estadio y en la deficiencia en su receptor de factor de crecimiento FR2 (FGFR2). La agenesia bilateral es claramente fatal24.
La agenesia y la hipoplasia pulmonar se observan en conjunto con otras malformaciones, como defectos diafragmáticos, anormalidades genitourinarias en el 9% (como el caso del paciente que se presenta con riñón en herradura), secuestro pulmonar, defectos musculoesqueléticos en el 12% (hemivértebras, ausencia de costillas, cambios en las extremidades, como ausencia del radio), malformaciones gastrointestinales (14%), como fístula traqueoesofágica y atresia duodenal, y alteraciones faciales. Aproximadamente un tercio de los pacientes tienen alguna malformación cardiaca; aunque la más común es la persistencia del foramen oval, también se han observado defectos del septum ventricular, persistencia del conducto arterioso y coartación de la aorta1-3,5,8,18,21,22,25-27.
La agenesia pulmonar ocurre como parte de varios síndromes, como la anomalía oculoauriculovertebral de Goldenhar, la secuencia VACTERL, el síndrome velocardiofacial (microdeleción 22q11), el síndrome de Holt-Oram, la asociación Mardini Nyhan, el síndrome de Opitz G, el síndrome de Fryns y el síndrome de PDAC/Spear/ Mattew-Wood, y como parte de defectos ipsilaterales, como el complejo de disgenesia mesodermal19,24,28.
La agenesia pulmonar puede ocurrir como una malformación aislada y se ha encontrado en hermanos, lo que sugiere que puede ser una enfermedad monogénica en algunas familias, aunque la mayoría de los casos son esporádicos19.
Los pacientes asintomáticos no requieren intervención alguna, especialmente en ausencia de otras anormalidades. Sin embargo, en pacientes con agenesia pulmonar, principalmente derecha, por su asociación con malformaciones cardiacas, malrotación de carina, desviación a la derecha del corazón y mediastino y distorsión de las estructuras vasculares y bronquiales, lo cual ensombrece el pronóstico, puede considerarse el tratamiento quirúrgico2,3,8,25,26.
Se han descrito algunas técnicas quirúrgicas en pacientes con insuficiencia respiratoria y agenesia pulmonar, como implantes de prótesis inflables en la cavidad torácica con el fin de estabilizar el mediastino, aortopexia anterior para liberar la compresión traqueal por el arco aórtico, aortopexia con implante de expansor pleural, colocación de bypass aórtica para aliviar la compresión traqueal y translocación diafragmática ipsilateral al lado afectado para estabilizar el mediastino20.
En algunos casos, al nacimiento, la agenesia se manifiesta como síndrome de insuficiencia respiratoria aguda; en otros, el paciente se mantiene asintomático hasta la edad adulta, cuando se detecta incidentalmente la malformación en algún examen de rutina1-3,25,26. En el presente caso el paciente llegó a la edad adulta asintomático, y el diagnóstico se realizó durante los estudios para trauma de tórax.
En la radiografía de tórax se muestra una opacidad total del hemitórax afectado e hiperplasia compensatoria del pulmón contralateral con desplazamiento mediastinal hacia el lado afectado. La angiotomografía de tórax es importante para confirmar la ausencia de parénquima pulmonar, bronquios y vasos pulmonares del lado afectado; este estudio se considera como el estándar de oro para el diagnóstico1-4,8,25,26. Sin embargo, es factible hacer el diagnóstico con TAC sin medio de contraste, donde se puede detectar la ausencia de la arteria pulmonar correspondiente y la presencia de hernia pulmonar hacia el hemitórax afectado, donde coincide con una opacidad hemitorácia uniforme y desviación del mediastino tal como se ilustra por Cavada et al.5, Boulton y Force7, Deleanu et al.18 y Kishu et al.20. En este caso no fue factible hacer el estudio contrastado por la corta estancia del paciente y no fue posible su seguimiento. La toracocentesis no está formalmente indicada; en este caso se practicó, y la aspiración de líquido hemático pudo obedecer a la lesión vasos intercostales.
La resonancia magnética nuclear permite evaluar malformaciones congénitas múltiples en estos pacientes5. El ecocardiograma es útil para demostrar la presencia de anormalidades cardiacas y datos sugestivos de hipertensión pulmonar1-3,8,25,26.
El diagnóstico en este paciente se confirmó con la tomografía de tórax, que muestra ausencia de arteria pulmonar izquierda y ausencia total de parénquima pulmonar izquierdo; en la broncoscopia se observó un pequeño fondo de saco a nivel del nacimiento del bronquio principal izquierdo.
Como diagnósticos diferenciales deben considerarse: atelectasia pulmonar, eventración diafragmática, hernia diafragmática, neumonía masiva, situación tardía posneumonectomía, hipoplasia pulmonar, malformación adenoidea quística, fibrotórax pleurógeno, fibrotórax tuberculoso y secuestro pulmonar1,7. En el caso presentado, el diagnóstico diferencial se hizo con hemotórax coagulado y atelectasia pulmonar.
El pronóstico en general no es favorable. Se estima el 33% de mortalidad durante el primer año de vida, y el 50% en los primeros 5años de vida. La mortalidad es resultado de infecciones graves del pulmón único y malformaciones cardiacas y/o de grandes vasos20. En el presente caso la sobrevida es de 31años.
Limitaciones del estudioLa ausencia de imágenes broncoscópicas y angiográficas puede ser objeto de discusión. Sin embargo, Cavada et al.5, Boulton y Force7, Deleanu et al.18 y Kishu et al.20 mencionan que el estudio cuidadoso de la radiografía y la TAC del tórax sugieren fuertemente el diagnóstico de agenesia.
Conflicto de interesesLos autores declaran no tener ningún conflicto de intereses.






