To evaluate the clinical and radiological results in the treatment of moderate Hallux valgus with a minimally invasive system: Mini Tightrope® (MTR).
Material and methodsWe selected 32 patients, 36 feet (4 bilateral), with moderate Hallux valgus according to the criteria of Mann and Coughlin, and performed the Mini Tightrope® modified technique. The American Orthopaedic Foot and Ankle Society (AOFAS) scale, the measurement of intermetatarsal angle (IMA) and metatarsophalangeal (MTT-F), sesamoid position, first toe mobility and the level of satisfaction, were assessed in these patients.
ResultsA mean score of 88.0 points was obtained on the AOFAS scale (47.7 preoperative) after 24 months. In the last visit the radiographic correction of the IMA and the AH was 4.8° and 10.0° on average, respectively. There were 6 complications during follow-up (16%), 2 of which led to the patient being reoperated.
Discussion and conclusionsThe Mini Tightrope® is a reproducible technique that allows the treatment of moderate Hallux valgus. It achieves the same correction as osteotomies but preserving and avoiding the complications arising from those, being similar to less invasive percutaneous techniques. However, it is not without complications, some of them specific to this technique, which need to be determined.
Evaluar los resultados clínicos y radiológicos en el tratamiento del Hallux valgus moderado con el sistema mínimamente invasivo Mini TightRope® (MTR).
Material y métodoSe han seleccionado 32 pacientes, 36 pies (4 bilaterales), con Hallux valgus en grado moderado según los criterios de Mann y Coughlin, realizando la técnica Mini TightRope® modificada. A dichos pacientes se les ha aplicado la escala de la American Orthopaedic Foot and Ankle Society (AOFAS), la medición del ángulo intermetatarsal (IMA) y del Hallux valgus (AH), posición sesamoideos, movilidad primer dedo del pie, así como el grado de satisfacción obtenido.
ResultadosTras un seguimiento medio de 24 meses se obtuvo una puntuación de 88,0 puntos de media en la escala de AOFAS (47,7 preoperatorio). La corrección radiográfica del IMA y del AH fue de 4,8° y 10,0° de media respectivamente en la última visita. Hemos tenido 6 complicaciones durante el seguimiento (16%), dos de las cuales obligaron a reintervenir al paciente.
Discusión y conclusionesEl Mini TightRope® es una técnica reproducible que permite el tratamiento de Hallux valgus moderados. Obtiene la misma corrección que las osteotomías, pero preservando hueso y obviando las complicaciones derivadas de las mismas; así mismo comparte con las técnicas percutáneas su menor agresividad. No obstante, no está exenta de complicaciones, algunas de ellas específicas de esta técnica, que es preciso conocer.
More than 100 techniques have been described to correct Hallux valgus; these techniques can largely be classified into three main groups: classical open, mini-invasive, and strictly percutaneous surgery. Nevertheless, it is a matter of debate as to which technique is the most appropriate. The objective in any case would be to achieve good correction with the least amount of surgical aggression, having to adapt the technique to the degree of severity of the Hallux valgus we seek to correct.
Knowing that this pathological condition is typical of middle-aged women in whom pain is the main symptom associated, even more so than the aesthetic defect and with a series of known personal and environmental risk factors, the aim of this study is to analyze the results of a minimally invasive technique, the Mini TightRope® (hereafter, MTR)1 that has been modified with respect to the original for the treatment of moderate Hallux valgus.
This relatively new method has its conceptual origins in a technique described by Joplin2 to lessen the intermetatarsal angle by means of a trans-osseous suture using the extensor of the fifth metatarsal and the adductor of the hallux as tensors that make it possible to reduce the deformity. This technique has subsequently undergone various modifications until it converged with the new models that seek to imitate ligamentous functions and that have been used in other joints,3,4 from where they have been transferred to the correction of deformities in the forefoot. What Joplin did with tendinous transfers as a means of tensing, the MTR system does by means of its oblong button and its suture, correcting in this case the intermetatarsal angle, thereby doing away with the need to carry out said tendinous transfers.
Material and methodThe sample was prospectively selected from patients who went to the foot and ankle clinic for assessment and treatment of their Hallux valgus during the period from January 1st, 2008, to April 30th, 2008 (187 patients). Patients with a diagnosis of moderate Hallux valgus (metatarsophalangeal or Hallux angle (hereafter HVA) of 20–40°, and intermetatarsal angle (hereafter IMA) of 11–16°, according to Mann and Coughlin's classification5) were included in the study. Mild cases of Hallux valgus, better suited for percutaneous surgery, were excluded from the study, as were cases of severe Hallux valgus, where this technique is a priori insufficient. Individuals exhibiting degenerative disease of the metatarsophalangeal joint of the first radius (arthrosis) or previous surgery on the same foot, as well as those presenting metatarsalgia as their predominant clinical picture and requiring the performance of osteotomy on the minor radii (mostly the 2nd metatarsal) incompatible with the placement of the MTR system, were also excluded from the study, as were patients whose main complaint was not caused by Hallux valgus. There were 40 patients (45 feet) who met the selection criteria, of whom, 8 (9 feet) did not want to participate in the study after the treatment they were to receive was explained to them. At the end of the selection process, 32 patients (36 feet) were left. All patients underwent surgery between June, 2008, and June, 2009. Thirty patients were female (93.75%), with 4 bilateral cases, 34 feet in total (94.4%), whereas two patients were male (6.25%) with two feet in total (5.6%). In all patients, previous conservative treatment with insoles, orthopaedic footwear or NSAIDs had failed to control their pain for at least 6 months. The technique to be used was explained to all the patients and all signed an informed consent form for the technique. The main reason for surgery was the presence of pain in all cases. There has been a mean follow-up of 24 months, with a minimum of 18 months’ follow-up; the mean age of the study participants was 49 years (range: 37–58 years). Twenty cases exhibited transfer metatarsalgia (55.5%). All the surgeries were carried out by the same surgeon during the study period. The metatarsal formula in all cases was index minus. Only 8 subjects presented a reducible 2nd hammertoe on which a percutaneous tenotomy technique was performed.
Radiological values of the intermetatarsal angle, Hallux valgus or metatarsophalangeal angle (HVA), relative position of sesamoids with respect to the first metatarsal (from 0 to 4) were all determined pre-operatively, in addition to the American Orthopaedic Foot and Ankle Society (AOFAS) rating scale,6,7 as well as their post-operative evolution, at 3 weeks, 6 weeks, 3 months, 1 year, and at the final visit. The angle of the distal metatarsal joint (proximal articular set angle or PASA) was also documented, as were the possible variations on the sagittal plane of the first metatarsal with respect to the second one on a pre- and post-operative standing X-ray. The presence and evolution of existing metatarsalgias, form and cuneometatarsal mobility, difficulty in putting shoes on, and degree of satisfaction were all recorded. The radiographic interpretation of the angles was conducted on standing lateral and anteroposterior projections, both pre- and post-operatively. All measurements are made by computer using the Syngo® (Siemens) computer system, which is the one implemented at our hospital and used to digitalize radiographic projections.
Surgical techniqueWith the patient in supine position, under spinal anaesthesia and ischaemia, a medial skin incision some 4cm in length centred over the metatarsophalangeal joint is performed. With this incision, we carry out the capsulotomy, exostosectomy and, mobilizing the retractors, we carry out a wide medial, superior and lateral capsular release, being more conservative when conducting the inferior release over the head of the first metatarsal so as to avoid devascularizing it. Over this same incision, we release the proximal part of the 1st phalanx and the adductor. This differs with respect to the original technique reported by the authors in which they perform a second 4-cm incision on the lateral edge of the 1st metatarsal to perform the release of the lateral capsule and the adductor. We eliminate this second incision.
After using finger pressure to verify that the 1st metatarsal can be reduced to the desired values and that the metatarsophalangeal angle can likewise be reduced as seen with the intra-operative scope, a mini-incision of 1.5cm is made on the lateral aspect of the 2nd metatarsal, by means of which we will place the guidewire and make the hole we will be using to pass the oblong button, tying it in the position of maximum reduction of the IMA, to the point of over-reduction if possible; all this is done under direct vision with endoscopic control before knotting. As a visual reference, we use the relative position of the sesamoids with respect to the first metatarsal, the one we mobilize to its native position, to check that we have obtained proper correction.
At this point, capsular plicature is performed in the traditional manner and the incisions are closed; the post-operative corrective bandages are as important as in percutaneous surgery. An orthopaedic shoe with an inverted heel is recommended and weight-bearing is not allowed for 2 weeks, at which time the sutures are removed and partial, gradual weight-bearing is begun starting at week 3. Patients can normally wear a non-orthopaedic shoe starting in week 6, at which time full weight-bearing is started (Figs. 1 and 2).
SPSS version 18.0 computer software (Student's t) was used to evaluate statistical significance of the clinical and radiographic variables, both pre- and post-operatively and those variables having a p<0.05 have been considered statistically significant.
ResultsAll the patients went to the scheduled visits and no patients were lost during the follow-up period. The mean follow-up was of 24.0±4.1 months (range: 18–30 months).
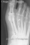
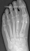
The 36 feet treated with this technique were evaluated and improvement of the IMA was achieved from 13.8° (range: 11–16°) to 7.6° in the immediate post-operative (range: 7–10°) with a mean improvement of this parameter of 6.2° (p<0.01). The HVA improved from a mean pre-operative value of 26.8° (range: 19–34°) to a mean value in the immediate post-operative period of 13.7° (range: 12–20°), showing a mean improvement of 13.1° (p<0.05). The results obtained at 15 days did not differ from the initial outcomes, although the results obtained starting at week 6 did improve, when the mean post-operative IMA was 8.6° and the HVA, 15.2°, with mean losses of 1° and 1.5°, respectively, in reduction. The values obtained at 3 months reveal a mean IMA of 9° and HVA of 16.2°, i.e. a loss of 1.4° in correction with respect to the initial IMA and 3.5° insofar as the initial HVA is concerned. At the 6-month, 1-year, and final follow-up visits, there were no variations as regards the IMA, but the HVA at the 1-year follow-up was 16.8° (Table 1). Therefore, there was an overall improvement at the final follow-up visit of 4.8° in the IMA (p<0.05), having lost 22% of the initial gain, and 10° in the HVA (p<0.05), having lost 27% of the initial gain (Table 2).
Evolution of radiographic results over time (mean in degrees).
| IMA (mean) | HVA (mean) | Position sesamoids first metatarsal (mean relative position from 0 to 4 and median) | |
| Pre-operatively | 13.8 | 26.8 | 2.4 (2) |
| Immediate postoperative period | 7.6 | 13.7 | 0.4 (0) |
| 2 weeks | 7.6 | 13.7 | 0.4 (0) |
| 6 weeks | 8.6 | 15.2 | 0.6 (0) |
| 3 months | 9 | 16.2 | 0.7 (0) |
| 1 year | 9 | 16.8 | 0.7 (0) |
| Last visit | 9 | 16.8 | 0.7 (0) |
HVA: Hallux valgus angle; IMA: intermetatarsal angle.
Radiological results. Values are expressed as the mean, standard deviation, and range.
| IMA (°) | HVA (°) | |
| Pre-operatively | 13.8±3.4 (11–16) | 26.8±8.1 (20–35) |
| Post-operatively, last check-up | 9.0±2.6 (6–12) | 16.8±6.1 (12–25) |
| Improvement, last check-up | 4.8±1.2 | 10±2.1 |
| p value | p<0.05 | p<0.05 |
HVA: Hallux valgus angle; IMA: intermetatarsal angle.
The position of the sesamoids improved from a pre-operative value of 2.4±1.1 to a value of 0.4±0.3 in the immediate post-operative period and stabilizing at a value of 0.7±0.6 at the last follow-up visit (Table 3).
Result of the AOFAS scale at the last check-up versus pre-operatively. Expressed as the mean and standard deviation. All improvements were statistically significant (p<0.05).
| AOFAS (0–100 points) | Pre-operatively | Postoperatively (last follow up) |
| Pain (0–40 points) | 17.25±6.1 | 36.2±6.5 |
| Function (0–45 points) | 22.36±8.2 | 38.2±6.2 |
| Alignment (0–15 points) | 8.1±2.8 | 13.6±3.1 |
| Total | 47.71±5.2 | 88.0±8.2 |
AOFAS: American Orthopaedic Foot and Ankle Society rating scale.
The mean value on the AOFAS rating scale for pain was 17.25±6.1 points pre-operatively to 36.20±4.5 at the last visit (p<0.05).
The global results on the AOFAS scale were 47.71±5.2 points, pre-operatively, and 88.0±8.2 post-operatively with a statistically significant difference (p<0.05) (Table 3).
The mean pre-operative PASA value was 7.2±1.3 and the post-operative value was exactly the same at both the immediate, as well as the final follow-up visit. No ascents or descents in the first metatarsal were detected in the sagittal plane on the lateral Rx with respect to the pre-operative status at the various follow-up visits.
The cuneometatarsal joints were circumferential in 28 feet, 5 were oblique, and three were straight. The clinical examination did not detect a single case of manifest hypermobility of this joint. In our study, great toe mobility was unaffected except for one case in which dorsal flexion was limited to 10°, although it was not painful. We have not seen any necrosis in our series.
Of the 20 patients with metatarsalgia of the 2nd radius, this pain disappeared in 12 (60%) and failed to disappear in 8 cases, despite the decrease in the size of the hyperkeratosis and how painful it was to this latter group of patients. In the remaining patients who did not present metatarsalgia, there has been no de novo metatarsalgia during the follow-up period.
Of the 26 patients who had problems putting on footwear, only three continued to have this problem after the surgery.
We have had 6 complications (16%). We had one case of cellulitis of the surgical wound that responded to oral antibiotics. We also had the previously mentioned case of metatarsophalangeal stiffness that was not painful.
In another 4 cases, we have had problems specific to this technique during follow-up. Two of them with stress fracture of the second metatarsal, at the level of the orifice made to pass the oblong button, both of which were recorded at the 6th week timepoint, mainly due to the clinical symptoms, not only due to the fact that the pain had failed to improve, but also because of increased pain on weight-bearing, especially on palpation, and very selectively in the area where the button had passed through the 2nd metatarsal, since on X-ray, the fracture had not been seen to have shifted. They required another 6 weeks without weight-bearing for full clinical (disappearance of pain) and radiological healing (increased cortical thickening that confirmed our clinical suspicion), and in another two cases, rupture of the oblong button system with migration of this system and loss of reduction; one was documented at the 3rd week and another one at week 6. These last two cases required re-intervention of the patient to remove the material and perform a classical technique.
The subjective evaluation of patient satisfaction revealed that 24 were very satisfied with the result, 7 found the results to be acceptable, 3 fair, and 2 poor. Of the total, 32 patients would undergo the same procedure with the same surgeon; 1 would opt for the same procedure with a different surgeon; 2 would choose a different procedure and the same surgeon, and another one would prefer a different procedure and surgeon.
DiscussionAs we all know, Hallux valgus covers a spectrum of pathologies that can be encompassed in the nosological framework of insufficiency of the first radius, for the treatment of which more than 100 techniques have been described. This implies that, while many of them are beneficial, none is best, since each technique can have its ideal indication in different degrees of severity of Hallux valgus. In any case, the objective of any of these techniques is, first of all, to control the pain and balance the biomechanics of the foot, followed, when possible, by improvement in the cosmesis of such concern to patients and the possibility of wearing any kind of footwear (for good reason most of the patients are women).8
We believe that in recent years, minimally invasive techniques have been yielding outstanding outcomes in the treatment of mild and moderate Hallux valgus,9,11 even overlapping minimally invasive techniques to perform osteotomy with lateral arthroscopic release12 with good results. In this group, we can include the MTR system, which makes it possible to correct moderate Hallux valgus. In cases defined as mild-moderate, in our own hands and in the light of the works published13–17 it is yielding good results with minimal morbidity and faster recovery of the patient, although the reviews of percutaneous surgeries such as the mini-invasive techniques speak of the poor methodology in these reviews.18
The use of percutaneous surgery only in moderate-severe cases, using osteotomies such as the Reverdin-Isham osteotomy is much more complex to perform than in mild cases, requiring a long learning curve with a minimum margin of error, as Bauer points out,19 where there is the risk of over correcting the distal metatarsal articular angle and making the metatarsophalangeal joint incongruent.
On the other hand, in cases defined as severe, the techniques that work solely with soft tissue20 present a relapse rate of up to 70% while the technique we present is insufficient to recover the best alignment of the forefoot: the more aggressive surgeries required are largely based on surgery of soft tissues with associated osteotomies in their different variants.21–24
These techniques, despite having documented good mid- to long-term results, have also been seen to entail many of the complications derived from them, in all their variants, including avascular bone necrosis of the first metatarsal, shortening of the first metatarsal, iatrogenic fractures or pseudoarthrosis, although the last two hardly ever occur,25–29 as well as the biomechanical consequences derived from them and that limit the capacity for correction we are able to achieve.30,31
We feel that it is essential to avoid shortening of the already short first metatarsal, which would be capable of producing transfer metatarsalgia or of worsening it in cases where it is already present. In fact, some authors advocate improving painful plantar calluses with the mere correction of Hallux valgus without the need to perform osteotomies on the minor metatarsals with good results.32,33 In fact, in our study we manage to improve 60% of the metatarsalgias existing in the pre-operative period, as well as decreasing the pain and size of remaining metatarsalgias.
As regards pain control, the main reason for undergoing surgery, improvement reaches statistical significance on the AOFAS scale, which means that the number one aim of the surgery is corrected with this system. In addition, patient satisfaction is close to 90%, according to the survey conducted at the last follow-up visit.
In our opinion, optimal radiological correction can be defined in terms of the initial classification (obtaining angle values within normal limits, namely IMA < 9° and HVA <11°) or in statistical terms (significant differences with a p value of at least <0.05). Insofar as the correction values obtained in this study are concerned, they demonstrate that this system makes it possible to achieve adequate correction of the IMA (both statistically and in “ideal” terms) and of the HVA (more statistical than classification, given that we manage to lessen the severity, albeit not bringing it back to normality, strictly speaking), comparable to other series that have made use of classical techniques34–36 (Table 1), although the immediate follow-up (up to 3 months) saw a 20% loss in the correction initially gained with the surgery. This does not increase over the subsequent follow-up visits and in no case has caused symptoms that have necessitated re-intervention for this reason (Figs. 3 and 4). In the same regard, if re-intervention is necessary because an osteotomy on the first metatarsal had not been performed, this would enable us to perform the pertinent technique without the problem of working on bone that has already been osteotomized.
In our experience, good reduction of the metatarsal with respect to the sesamoids is fundamental, since it allows for the best correction while protecting from future recurrences.37–39
As far as possible recurrences are concerned, it must be pointed out that the cuneometatarsal joint has been evaluated as a relevant aetiopathogenic factor in Hallux valgus, although not the only one.40–42 In our opinion, the number one biomechanical cause of Hallux valgus, when we refer to its relation with the cuneometatarsal joint, has to do with the shape of this joint. When it is curved, it is more prone to developing Hallux valgus, as it is considered to be intrinsically unstable.
These are the cases in which this technique would be best indicated, since it achieves external rotation of the metatarsal, which slides easily and is held in place without a great deal of tension, avoiding relapse or mechanical failure, unlike the oblique and straight (least common) variants of this joint, which theoretically would have a higher risk of failure, given that more tension is supported, since rotation on an uneven surface (straight or oblique) could cause contact stress. Therefore, in cases of a curved cuneometatarsal joint, we believe that the stability of this joint is achieved and should theoretically last over time.
We have not observed any manifest cuneometatarsal instability in our study, since, in fact, it is generally associated with more severe degrees of Hallux valgus than the ones treated in this study.43,44 In contrast, mechanical failures of the system and stress fractures were seen in one circumferential cuneometatarsal joint (two cases: one rupture and one stress fracture), one oblique (stress fracture) and one straight (rupture). Proportionally, these data corroborate what has been referred to previously in the text.
Unlike other authors,45 we believe that weight-bearing should not be allowed in the immediate post-operative period, because the system is resistant, although it is also dependent on the correct stabilization of soft tissue. We therefore do not allow partial, gradual weight-bearing until the patient returns for the first visit 2 weeks after surgery, during which time the soft tissue has partially healed, which is why the system should not exert any extra force and thereby avoid early loss of correction or stress fractures, mainly of the 2nd metatarsal.46,47
The only outright contraindication to this technique in our opinion, apart from the usual of any surgical technique, not only severe Hallux valgus in which great angulation must be corrected and the system is insufficient, but also those cases with clinically relevant metatarsalgia, fundamentally of the 2nd radius, that would require osteotomy, for instance the Weil osteotomy. In these cases, we would have difficulties not only in placing the oblong button, but we would also increase the risk of yatrogenic fracture, both intra-operatively as well as during follow-up.48
With respect to the distal metatarsophalangeal articulation angle (DMAA), also known as PASA, this technique is not capable of modifying it, since the metatarsal is mobilized en bloc, and therefore does not affect the relationship of the metatarsal axis with respect to its distal articular aspect. The pre-operative results in the measurement of this angle present normal values for this angle; as a result, it did not require correction in the cases in this study. If we had had any pathological PASA and had to correct it, this technique would not have been ideal.
The position and initial surgical technique are widely known; the most difficult part is the process of properly positioning the oblong button, since placement in the first metatarsal under direct vision is straightforward, always in the metaphyseal-diaphyseal area and from plantar to dorsal, but this is not the case with the 2nd metatarsal. In this case, because it is much thinner, if we place the system very distal, at the metaphyseal-epiphyseal level, it may cause yatrogenic fracture of the neck and if we place it too proximal, it will not achieve proper correction of the IMA. This is why the optimal position must include a couple of centimetres distal to the neck of the metatarsal, far enough away so as not to fracture it and close enough to allow for adequate correction.
Other authors who have used this system advocate for the placement of two oblong buttons. Based on our experience, we believe this is not necessary because first of all, we fail to achieve the appropriate reduction and second, a second perforation in the diaphysis of the second metatarsal would clearly increase the risk of fracturing it; this risk is not justified.
In our series, we have only had one superficial infection of the surgical wound that responded correctly to conservative treatment. The fact that no material is left exposed as in other techniques,49 as well as a minimal incision, limits the risk of infection.
In another case we have documented the loss of mobility of the metatarsophalangeal joint, which can be related to the lateral capsular release,50 although this gesture is needed if the IMA is to be corrected. In our study it has had no clinical repercussion except for the one already mentioned; just to delve deeper into the importance of being careful not to injure the digital branch or the plantar stabilizers.
As regards the other complications we have had, a total of 4, these were the typical ones we think of in relation to this surgical technique (Table 4). First, two fractures of the second metatarsal at the level of the drillhole that occurred at the 6-week visit. Both cases were female, 52 and 54 years of age, among the oldest in the study and menopausal for the last 2 and 5 years, respectively. Insofar as the aetiological factors of these fractures are concerned, we might think that the bone fragility associated with menopause might contribute to the bone fracture in an area subject to stress due to the hole made in the metatarsal and because it is the place where the force sustaining the intermetatarsal reduction is exerted, although significant radiological osteopenia was not predicted pre-operatively. With respect to the time interval, it is clearly related to the beginning of weight-bearing. In both situations, weight-bearing was not allowed until radiological healing; the reduction was maintained during the follow-up period and pain was improved after healing, hence, surgical revision was not needed.
Epidemiology of the complications encountered during follow-up, solution, and possible cause.
| Complication number | Number of surgery in chronological order with MTR technique | Epidemiology | When (weeks postoperative) | Problem | Solution | Possible cause |
| 1 | 2 | 48 years old female | 2 | Stiffness 1st radius | No treatment | Poor technique |
| 2 | 4 | 52 years old female | 6 | Stress fracture, 2nd metatarsal | Conservative, eliminate weight-bearing | Poor technique, osteopenia |
| 3 | 5 | 54 years old female | 6 | Stress fracture, 2nd metatarsal | Conservative, eliminate weigh-bearing | Poor technique, osteopenia |
| 4 | 7 | 43 years old male | 3 | Rupture MTR | Surgery | System failure |
| 5 | 9 | 38 years old female | 6 | Rupture MTR | Surgery | System failure |
| 6 | 10 | 49 years old female | 1 | Infection | Conservative, antibiotic | Poor post op care |
MTR: Mini TightRope.
With respect to the other two cases, the MTR system ruptured and reduction was lost, the implant migrated, and pain made it necessary to operate on the patients again (Figs. 5 and 6). These complications occurred in a 43-year-old male, between the 2nd and 3rd week, which forced him to go to the Emergency Room where it was diagnosed. The other was the case of a 38-year-old female, at the follow-up visit after 3 months. In both cases, they were fairly active people and they have obviously meant that the system failed, since without actually fracturing the bone, the suture gave way, leaving the loose implant to migrate to above the second metatarsal in both cases. It is more than likely that the loss of reduction was because MTR rupture took place before healing was strong enough to maintain reduction; in fact, these ruptures occurred early. These last two complications beg the question of whether they were the result of a mechanical failure (material in poor condition in these cases in particular) or biomechanical failure (inability to assume heavy weight-bearing in individuals with heavy foot use). To be able to discern between once cause and another will call for long-term follow-ups and longer case series to find trends or patterns that can account for these failures.
These 4 complications took place in cases 4, 5, 7, and 9 of our series in chronological order; that is to say, in all likelihood the placement of the hole for the MTR system in these first cases was not the correct one, above all, thinking of the stress fractures we have had. As a result of these first complications, we subsequently ensured optimal placement of the orifice in the anteroposterior, mediolateral, and craniocaudal planes in order for this system to work properly, protected by cortical bone on all edges, which we believe has been key to overcoming part of this issue; that is, as with all techniques, it calls for an adequate learning curve.
These complications simply serve to remind us that while MTR makes it possible to resolve the problems associated with many osteotomies, it entails other possible complications that are specific to its design, and hence, as with other techniques, its use must be assessed within the context of the case being treated and should be called on just like any other option in our treatment arsenal, albeit acknowledging the need for longer-term studies with greater statistical power to draw safer conclusions.
In recent years, the boom in percutaneous and minimally invasive surgery has been so spectacular and has overlapped conventional surgery to such an extent that there are shared indications, making it very difficult to draw conclusions from the tremendous amount of new surgical techniques that exist and that have come together with the well-known, conventional ones.51–56 One defect that is common to practically all the papers is that they lack methodological rigour and, although in the opinion of some authors, these techniques do not present any advantages with respect to pain, hospital stay, walking, or oedema, it would be inappropriate to fail to delve deeper into the advantages these new techniques bring, for they certainly have some, as long as the indications are the right ones and they are performed by specialist units in each department.
The results obtained in this manuscript support our idea that the MTR system is a good system to correct moderate Hallux valgus, with an adequate learning curve, with similar functional and radiological outcomes as the usual techniques (Table 5), but making it possible to avoid the osteotomy of the first metatarsal with its consolidation times and possible complications.
Results of studies published in literatures.
| Author | Year | Number of patient s (feet) | Technique | Mean follow-up | IMA improvement | HVA improvement | AOFAS improvement | Satisfaction |
| Bauer et al.10 | 2009 | 168 (189) | Percutane ous Reverdin-Isham | 12 months | 3° | 14° | 45 | 87% |
| Magnan et al.14 | 2005 | 88 (118) | Percutane ous (distal osteotomy) | 36 months | 5° | 17.8° | 88.2 (final) | 91% |
| Siclari et al.12 | 2009 | 49 (59) | Arthroscopic release+percutane ous distal osteotomy | 31 months | 45 | |||
| Potenza et al.24 | 2009 | 42 (52) | Chevron – McBride | 30 months | 6° | 12° | 42 | |
| Laffenetre et al.48 | 2005 | 136 | Isham-Akin | 28 months | 1.8° | 15.3° | 90% | |
| Martínez Nova et al.49 | 2008 | 26 (30) | Akin | 12 months | 2.8° | 14° | 90% | |
| Daould et al.50 | 2008 | 22 (24) | Isham-Akin | 29 months | 1.7° | 13.4° | 96% | |
| Deenik et al.34 | 2008 | 115 (136) | Chevron (66)Scarf (70) | – | 3°3° | 13°11° | 4144 | |
| Coughlin et al.21 | 2008 | 108 (127) | Proximal osteotomy+McBride | 27 months | 9.1° | 20° | 34 | 93% |
| Cano et al. | 2001 | 22 (24) | Mini TightRope | 24 months | 4.8° | 10° | 40 | 90% |
HVA: Hallux valgus angle; IMA: intermetatarsal angle; Satisfaction: degree of subjective patient satisfaction with the surgery.
Finally, we should like to highlight the homogeneity in taking radiological measurements using the Syngo computer system (Siemens)® as it enables accurate angle measurement, eliminating human errors,57,58 although more long-term, comparative studies are needed against different software to determine its true efficacy.
Level of evidenceLevel of evidence III.
Protection of human and animal subjectsThe authors declare that no experiments were performed on humans or animals for this investigation.
Confidentiality of dataThe authors will declare that they have followed the protocols of their work centre on the publication of patient data and that all the patients included in the study have received sufficient information and have given their informed consent in writing to participate in that study.
Right to privacy and informed consentThe authors must have obtained the informed consent of the patients and /or subjects mentioned in the article. The author for correspondence must be in possession of this document.
Conflict of interestThe authors have no conflict of interests to declare.
Please cite this article as: Cano-Martínez JA, et al. Tratamiento del Hallux valgus moderado con sistema mini TightRope®: técnica modificada. Rev esp cir ortop traumatol. 2011;55(5):358–368.













