Benign rheumatoid nodules are subcutaneous nodules, identical in morphology and histology to the nodules that develop over the course of rheumatoid arthritis (RA); they present in individuals with no symptoms of arthritis and with negative rheumatoid factor (RF).
This article introduces the case of a 46-year-old caucasian male who consulted for a tumour in his right leg. He tested negative for rheumatoid factor, anticitrullinated protein antibodies, antinuclear antibodies, and antineutrophil cytoplasmic antibodies, as well as for acute phase reactants. A musculoskeletal ultrasound showed a solid tumour of 3.5 × 1.5 cm with well-defined margins in the soleus muscle, and with a heterogeneous hypoechoic structure with intra- and peri-lesional vascularisation. The MRI showed a fibrous tumour with no signs suggestive of aggressive growth. An ultrasound-guided biopsy showed the characteristic histology of a rheumatoid nodule. The clinical presentation, diagnosis, differential diagnosis, and treatment of benign rheumatoid nodules are discussed.
Los nódulos reumatoides benignos son nódulos subcutáneos, idénticos en su morfología e histología a los que ocurren en el transcurso de la artritis reumatoide (AR), que aparecen en personas sin síntomas de artritis y con factor reumatoide (FR) negativo.
Se presenta el caso de un varón de 46 años de raza caucasiana que consultó por tumoración en pierna derecha. Destacaba negatividad de factor reumatoide, anticuerpos anti-péptido citrulinado, anticuerpos antinucleares y anticuerpos anticitoplasma de neutrófilo, así como normalidad de los reactantes de fase aguda. Una ecografía musculoesquelética mostró una tumoración sólida de 3,5 × 1,5 cm, de márgenes bien definidos, en músculo sóleo, con una estructura heterogénea hipoecoica con vascularización intra y perilesional. La resonancia magnética evidenció una tumoración de carácter fibroso sin datos sugestivos de agresividad. Una biopsia guiada por ecografía mostró histología característica de nódulo reumatoide. Se discuten la clínica, diagnóstico, diagnóstico diferencial y tratamiento de los nódulos reumatoides benignos.
Rheumatoid nodules are subcutaneous nodular lesions with a histology characterized by a central necrotic area surrounded by a palisade of fibroblasts and histiocytes, and peripheral granulation tissue.1 They present in around 20–25% of the patients with rheumatoid arthritis (RA) and are associated with a positive rheumatoid factor (RF), a more aggressive disease and higher rates of systemic manifestations.2 Benign rheumatoid nodules are subcutaneous, with an identical morphology and histology to the nodules that develop over the course of RA, presenting in individuals with rheumatological symptoms.3 This article discusses the case of a benign rheumatoid nodule in the leg of a middle-aged male. This is a rare location for this condition.
Clinical caseCaucasian, 46-year-old male, with unremarkable medical history, who consulted because of a tumor detected in the right leg one month back during self-examination. The patient had no particular clinic or data suggestive of gout or rheumatic fever.
During a physical examination, a solid, well defined, painless tumor was identified in the posteroinferior margin of the right calf.
The analytical tests were normal, except for elevated cholesterol, triglycerides, and LDL cholesterol levels, and a mild increase in uric acid. The patient tested negative for FR, ACPA, ANA and ANCA, and the acute phase reactants were normal.
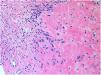
A musculoskeletal ultrasound showed a solid 3.5 × 1.5 cm tumor with well-defined margins, localized in the soleus muscle, with a predominantly hypoechoic heterogeneous structure with intralesional and perilesional vascularization (Fig. 1). An MRI confirmed the presence of a solid and deep tumor in the posterior compartment of the distal end of the calf, of characteristic fibrous origin (Fig. 2). An ultrasound-guided biopsy evidenced histological lesions characteristic of a rheumatoid nodule (Figs. 3 and 4). The suggested therapy was intralesional infiltration with depot corticosteroid preparation; however, since the lesion was asymptomatic and its size shrunk in the control ultrasound, the patient dismissed the procedure.
Ultrasound image of the posterior margin of the calf, with a solid nodule with well-defined margins (marked between calipers), of heterogeneous structure, mostly hypoechoic, with no cystic areas or peritumoral edema, localized between the muscle belly of the flexor digitorum longus (FLP) and the soleus (SO).
MRI. Sagittal T1-weighted spin-echo (A) showing an oval shape lesion, isointense with the muscle and the fat sign divided into the cranial and caudal poles of the lesion (arrows). Axial T1-weighted plane, with (B) and without (C) gadolinium, depicting an isointense lesion (curved arrow) with the contiguous musculature, but with the contrast medium the lesion enhances mostly centrally.
Benign rheumatoid nodules, also called pseudo-rheumatoid or isolated,4 present in individuals with no clinical manifestations, serological or radiological alterations of a rheumatological condition. They are more frequent in children between 2 and 10 years old, exceptionally developing after 18 years of age.5–7 These are structures of variable size (5 mm–5 cm), hard texture, painless, movable and usually not attached to deep planes.2 The nodules are usually localized in the occipital region of the scalp and in the pre-tibial region of the lower extremities; normally they regress spontaneously in a variable period of time ranging from one month to 3 years, and often relapse before they finally go away.7,8 Because of this clinical behavior, it has been suggested that these benign rheumatoid nodules are a different clinical entity from RA and rheumatoid nodulosis.
In adults, the development of benign rheumatoid nodules does not seem to represent a risk factor for developing RA, although one case of progression to RA has been reported 50 years after the occurrence of the nodules.9
The laboratory tests are typically normal. The accurate diagnosis is histological.8 Excising the nodule for pathological anatomy testing is not usually recommended, since this may increase the risk of local recurrence.10
Benign, rheumatoid nodules usually do not require any treatment since they tend to undergo spontaneous remission, though some cases have been described of a local injection of 40 mg of triamcinolone acetonide with lidocaine11,12 and, less often, 2 infiltrations of 2 ml of fluorouracil 25 mg/ml,12 or the topical administration of 0.1% tacrolimus twice a day,13 which may reduce the size of the lesion.
There is a need to consider the differential diagnosis with annular granuloma, rheumatoid nodulosis, monosodium urate crystals and acute rheumatic nodules, inter alia.14
Conflict of interestsThe authors have no conflict of interests to disclose.
Please cite this article as: Rusinovich O, Morán LM, Botello LN, Andreu JL. Nódulo reumatoide benigno en sóleo. Reporte de un caso. Rev Colomb Reumatol. 2021;28:152–155.






