Botulinum toxin (BT) is a neurotoxin that causes flaccid paralysis by inhibiting the release of acetylcholine at the neuromuscular junction, and it may lead to long-term muscle atrophy. It is used to treat conditions associated with muscle hypertrophy or to enhance muscle flexibility, thereby facilitating surgical procedures. It has been shown that ultrasound-guided administration is superior to the anatomical landmarks technique as it reduces side effects and improves efficacy. Although some applications are not officially approved, evidence supports its efficacy and safety in the treatment of various conditions. Some of these more established conditions include anterior abdominal wall hernias, piriformis syndrome, thoracic outlet syndrome, bruxism, spasticity and cervical dystonia. The objective of this study is to review the uses of botulinum toxin in muscular and neuromuscular disorders, analysing its efficacy, safety and the importance of ultrasound guidance in its administration.
La toxina botulínica (TB) es una neurotoxina que, al inhibir la liberación de acetilcolina en la unión neuromuscular, provoca parálisis flácida y puede llevar a atrofia muscular a largo plazo. Se emplea en patologías asociadas a hipertrofia muscular o para incrementar la flexibilidad muscular, facilitando así las cirugías. Se ha demostrado que su administración guiada por ecografía es superior a la técnica basada en referencias anatómicas, ya que disminuye los efectos secundarios y mejora la eficacia. Aunque algunas aplicaciones no están incluidas en la ficha técnica, hay evidencia de su eficacia y seguridad en el tratamiento de múltiples patologías, algunas de ellas más estandarizadas como hernias de la pared abdominal anterior, síndrome del piriforme, síndrome del opérculo torácico, bruxismo, espasticidad y distonía cervical. El objetivo de este estudio es revisar los usos de la toxina botulínica en patologías musculares y neuromusculares, analizando su eficacia, seguridad y la importancia de la guía ecográfica en su administración.
Botulinum toxin (BT) is a neurotoxin synthesised by the bacterium Clostridium botulinum, known for causing flaccid paralysis.1 Its medical applications—under investigation since the 1980s—began with the approval by the Food and Drug Administration (FDA) for its therapeutic use in strabismus, hemifacial spasm and blepharospasm.2 Over the years, numerous additional indications have emerged, including disorders affecting the nervous system, urinary tract and skin adnexa.3
Currently, eight serotypes of BT have been identified,4 of which only serotypes A and, to a lesser extent, B are employed for medical purposes. These toxins cleave SNARE proteins (Soluble N-ethylmaleimide-sensitive factor Attachment protein REceptor), which mediate the fusion of acetylcholine-containing vesicles—acetylcholine being the neurotransmitter responsible for muscle contraction and the function of certain glands—with the synaptic membrane. In this manner, the release of acetylcholine is inhibited, resulting in a temporary presynaptic blockade at neuromuscular and neuroglandular junctions, thereby preventing muscle contraction and glandular secretion.1,2
This drug begins to act three days after administration, and its effect lasts for approximately three months, after which a gradual decline occurs due to the reinnervation of the previously blocked units.1,2 However, its effects are not limited to those produced acutely, as in the long term the flaccid paralysis induced by BT leads to a progressive reduction in muscle mass, making this substance highly useful in the treatment of muscle hypertrophy.5 Finally, with regard to the effects of BT, it is worth noting that previous studies have described its analgesic effect, which results from the blockade of SNARE proteins, as these are also involved in the release of nociceptive neuropeptides.1,2
BT is considered a safe drug with few contraindications, including allergy or hypersensitivity to the toxin or its excipients, infection at the injection site, and conditions that may amplify its effect—such as neuromuscular disorders, use of muscle relaxants or aminoglycoside antibiotics—potentially increasing the risk of adverse effects.3,6 On the other hand, treatment is not recommended in pregnant or breastfeeding women, as no studies have been conducted in these populations.5
In Spain, three BT type A (BT-A)-based medicinal products are currently approved for non-aesthetic therapeutic use: onabotulinumtoxinA (Botox®), abobotulinumtoxinA (Dysport®) and incobotulinumtoxinA (Xeomin®). Each is available in different formulations containing a variable number of product units.3,6
The differences between them are as follows:
- •
Efficacy and conversion:
- o
OnabotulinumtoxinA and incobotulinumtoxinA have similar efficacy, with a conversion ratio of 1:1.7–9 However, a recent study suggests that onabotulinumtoxinA may exhibit greater biological activity, which could indicate that the two are not fully interchangeable.10
- o
AbobotulinumtoxinA requires a higher dose than onabotulinumtoxinA, with a conversion ratio of approximately 3:1 or 4:1.8
- •
Complexing proteins:
- o
These proteins accompany the neurotoxin, although their exact function is not yet fully understood. They are believed to protect and stabilise the neurotoxin or to facilitate its binding to tissues and absorption.7,8 However, they do not appear to be necessary for the stability of the drug, nor do they influence its effect.7
- o
IncobotulinumtoxinA is the only formulation that does not contain complexing proteins.7,8
- •
Risk of immunogenicity:
- o
IncobotulinumtoxinA is the least immunogenic, followed by abobotulinumtoxinA, with onabotulinumtoxinA being the most immunogenic of the three.7
- o
Despite these differences, the overall risk of immunogenicity is very low.8
- •
Tissue diffusion:
- o
There are no significant differences in drug diffusion. Although complexing proteins increase the size, they do not appear to have a substantial impact, as they dissociate rapidly after injection.7,8
- •
Storage and shelf life:
- o
The shelf life of abobotulinumtoxinA is two years, and that of onabotulinumtoxinA is three years, with both recommended to be stored at temperatures between 2 and 8 °C.
- o
IncobotulinumtoxinA has a shelf life of four years and can be stored at room temperature (up to 25 °C).7
The administration of BT has traditionally been guided by anatomical landmarks; however, growing evidence suggests that ultrasound-guided administration significantly reduces the rate of errors associated with off-target delivery, enabling more precise and safer injections.1,11,12 The toxin has a dispersion radius of approximately 2.5–3 cm from the point of administration. However, muscular fascia limits its diffusion, making intramuscular injection near the region of greatest innervation essential—further supporting the importance of ultrasound-guided administration.5 Most complications associated with image-guided procedures arise from the puncture itself.
This study aims to review some of the most common indications for the administration of BT, as well as the injection technique using ultrasound guidance.
Abdominal wall herniasVentral hernias represent the most common long-term complication following abdominal surgery. In cases of loss of domain, a considerable proportion of the abdominal viscera is contained within the hernia sac, making their return to the abdominal cavity impossible. In such cases, the use of pneumoperitoneum or BT injection into the anterolateral musculature has been described to improve the rate of fascial closure.6,13
MechanismWhereas the objective of pneumoperitoneum is to expand the abdominal cavity, BT acts by inducing flaccid paralysis of the musculature, thereby increasing flexibility and reducing lateral tension to facilitate closure. Significant changes have been observed in the lateral abdominal wall muscles, as measured by CT, including increased muscle length and decreased muscle width and hernia thickness, resulting in fascial closure rates exceeding 90%.6,13
As this technique is relatively new, certain aspects require further investigation, such as patient selection and standardisation of the procedure. There is significant variation in the injection techniques used, including the number of punctures, timing of injection, and the dose and dilution reported in the literature.6,13 Typical doses are 200–300 international units (U) of onabotulinumtoxinA or 500–600 U of abobotulinumtoxinA. Although the optimal dose has not yet been clearly established, the use of 100 U or less of onabotulinumtoxinA has been associated with suboptimal outcomes.13 At our centre, the protocol stipulates infiltration at three sites per side; however, a recent study that used only two punctures per side did not show significant differences, probably due to the spread of the administered volume along the lateral abdominal wall.14
The drug is infiltrated under image guidance, with ultrasound being the most commonly used modality. The use of fluoroscopy with CT has also been described for patients with significant abdominal wall thickness; however, in our experience, this has not been necessary.13
Although there is a tendency to infiltrate both the oblique and transverse muscles, one study excluded the latter without observing significant differences in surgical outcomes.13 As only a single comparative study has been conducted to our knowledge, further research in this field is required.
Procedure- 1
Patient positioning. Supine or lateral decubitus, with the latter being more comfortable in our experience.
- 2
Marking on the abdominal wall. Three points are marked on each side of the anterolateral abdominal wall in a craniocaudal direction, approximately 3 cm apart. The most cranial point is located at the subcostal level, and the most caudal near the anterior superior iliac spine. This is performed under ultrasound guidance (or by scanogram if fluoroscopy with CT is used).6 At each injection point, all three muscles of the abdominal wall are infiltrated. As there are six injection points (three per side), a total of 18 infiltrations are performed.
- 3
Dosage. BT is diluted in normal saline using the doses and concentrations shown in Table 1. Since BT is supplied as a lyophilised powder, it is first reconstituted with 1 ml of normal saline. It is then transferred to a larger syringe, and the remaining diluent is added using a three-way stopcock. Syringes containing 8–9 ml of the mixture are prepared for each muscle at each infiltration point, resulting in a total of 18 syringes. If an assistant is available, they can refill the syringes to reduce the number required during the procedure; however, it is recommended to have at least six syringes prepared in advance to avoid interruptions (Fig. 1).
Table 1.Dosage and dilutions of botulinum toxin in normal saline for the indications described in this article.
Indication BT dose NS volume BT concentration Hernioplasty 300 Ua 150 ml 2 U/mL Piriformis syndrome 100 U 2–4 ml 25–50 U/mL Thoracic outlet syndrome Anterior scalene 25–50 U 1 ml 25–50 U/mL Pectoralis minor 100 U 10 ml 10 U/mL Bruxism 100 Ua 2 ml 50 U/mL BT: botulinum toxin (onabotulinumtoxinA); U: international units; NS: normal saline; S.: syndrome.
Data on the treatment of spasticity and cervical dystonia are not included, given the variability of target muscles depending on the clinical case. However, bibliographic references are provided in the body of the article from which this information can be obtained.
Figure 1.Preparation for botulinum toxin (BT) infiltration in the abdominal wall. (A) Materials required for abdominal wall infiltration: (1) loading syringe for drug dilution, (2) three-way stopcock, (3) ultrasound probe cover, (4) loading needles, (5) 22G spinal needles for muscle infiltration, (6) 1 ml insulin syringe for drawing the drug from the vial, (7) syringes for infiltration. (B) Transfer of the diluted toxin in 1 ml to a larger-capacity syringe with a three-way stopcock. (C) Patient with right-sided marking and postsurgical changes in the anterior abdominal wall resulting in an incisional hernia with loss of domain. Patient was later positioned in lateral decubitus to facilitate needle insertion.
- 4
Infiltration. Using a 22 G needle, the puncture is performed under ultrasound guidance, with the drug being deposited first in the deepest layer and then in the more superficial ones. The content should be deposited intramuscularly, although a small amount may leak into the intermuscular plane due to the puncture itself (Fig. 2).
Figure 2.BT infiltration in the abdominal wall. (A) Musculature of the anterolateral abdominal wall, with the transverse muscle (T) difficult to visualise, located deep to the internal oblique (IO) and external oblique (EO), a characteristic finding in patients with abdominal wall weakness. (B) Infiltration process with a 22G needle, with the drug being deposited in the IO after the T has already been infiltrated; both appear thickened.
- 5
Technical considerations. These patients present with abdominal wall weakness and, in some cases, the muscle may be difficult to visualise, particularly the transverse muscle. Assistance may be requested to inject the drug while the operator handles the needle and guides the procedure with ultrasound, providing greater stability. A transversus abdominis plane (TAP) block can be administered beforehand to enhance patient comfort during the procedure.
Deep gluteal syndrome refers to compression of the sciatic nerve within the subgluteal space, causing pain in the buttocks or posterior hip region. This pain worsens with internal rotation and flexion of the hip combined with knee extension, leading to restricted joint mobility.15,16 This syndrome has an incidence of between 0.3% and 6% among patients with low back pain.17
One of its most common causes is piriformis syndrome, in which the muscle compresses the nerve due to hypertrophy or dynamic entrapment. Less commonly, piriformis syndrome may be caused by anomalies in the muscle’s insertions, in which case BT infiltration can be useful in selected cases.15
MechanismIn instances of muscular hypertrophy, BT has been used preoperatively after conservative management and corticosteroid–anaesthetic injections have proved unsuccessful.15,16 Its use helps to reduce the volume of the piriformis muscle, thereby alleviating the space-occupying effect that may be responsible for the symptoms.
It has been reported that BT A produces a more gradual pain relief than triamcinolone and lidocaine, one week after its administration. For the treatment to be effective, accurate injection is essential, as it also helps to avoid sciatic nerve block and the most common adverse effect—prolonged pain, which is thought to result from injection into the tendinous portion. Both ultrasound and CT are useful for guiding the injection.16,17
ProcedureBy ultrasound:
- 1
Patient positioning. Prone position.
- 2
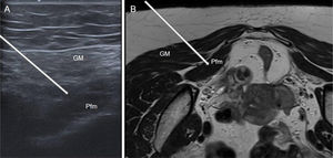
Ultrasound technique. The transducer is placed transversely over the gluteal region, with the greater trochanter positioned on the lateral side of the image and the ischial spine on the medial side. The piriformis muscle is seen underneath the gluteus maximus, extending from the sacrum to the greater trochanter, lying superficial to the ilium. If there is any uncertainty, the patient can be asked to bend the knee and perform internal and external rotation of the hip to see how the piriformis muscle moves. The sciatic nerve is identified, typically lying deep and medial to the piriformis muscle.18 (Fig. 3)
Figure 3.Theoretical course of BT infiltration in the piriformis muscle. (A) Ultrasound image, and (B) the corresponding MRI, with the course indicated by a white arrow. With the patient in the prone position, access would be from lateral to medial, traversing the gluteus maximus (GM) to reach the piriformis (Pfm).
- 3
Infiltration. A 22 G spinal needle is used, inserted from lateral to medial until the needle tip reaches the piriformis muscle. The drug is injected at the appropriate dose (Table 1).
- 4
Technical considerations. The choice between a linear or convex probe depends on the patient’s body thickness.18 It is recommended to inject the drug into the medial region of the piriformis, as this is where the muscle has the greatest innervation and, theoretically, where the effect would be more pronounced.17
By CT:
- 1
Patient positioning. Prone position.
- 2
Access. The approach is made vertically, at a 90-degree angle to the horizontal surface, slightly above and medial to the ischial spine.
- 3
Infiltration. BT can be mixed with contrast to facilitate assessment of the final distribution of the drug.15,19
TOS is a condition caused by compression of neurovascular structures along their course between the scalene muscles, the costoclavicular space and under the pectoralis minor (PM). The clinical presentation varies depending on the structure being compressed, with the neurogenic form being the most common.20–22
As the pathophysiology of the condition is not yet well understood, diagnosis is challenging and requires a combination of clinical history, physical examination, imaging techniques and electrophysiological studies. Diagnostic tests include the use of injections with local anaesthetics or, more recently, with BT. These injections can provide temporary relief and help predict a successful surgical outcome, with reported high specificity (90%) and a positive predictive value of 99%.22
MechanismThe literature varies regarding both the muscles targeted for injection and the dosage of BT used. In most cases, the anterior scalene is injected, and in some cases the middle scalene, PM and subclavius muscles, depending on the suspected level of compression.20 At our hospital, we primarily perform isolated injection of the PM in cases of suspected PM syndrome, where the compression is believed to occur at this level. In TOS with predominantly neurogenic symptoms, a greater response has been reported when the PM is injected in addition to the scalene muscles.20
No imaging guidance method has been shown to be superior to others;20 however, due to the superficial location of the musculature, ultrasound is considered the most appropriate technique.
ProcedureFor the PM:
- 1
Patient positioning. Supine position.
- 2
Ultrasound technique. The transducer is placed obliquely over the pectoral region, aligned with the axis of the PM. The PM is located underneath the pectoralis major. Vascular structures, corresponding to pectoral branches of the thoracoacromial trunk, may be found between the two muscles and should be avoided.
- 3
Infiltration. A fan-shaped injection is performed at three points within the muscle belly to ensure adequate distribution of the drug, using a 22 G needle. To facilitate the procedure, the needle should be directed obliquely from caudal to cranial rather than cranial to caudal, as the shoulder may hinder proper needle alignment in a horizontal plane. This is particularly the case in patients with PM syndrome, who often present with increased shoulder protraction, which limits access (Fig. 4).
- 4
Dosage. In the literature, the dose typically ranges between 20 and 50 U, although higher doses have been reported. We typically use 100 U, as we perform a single session with both therapeutic and diagnostic aims.
- 5
Additional considerations. A local anaesthetic such as 1% lidocaine may be added, not primarily for patient comfort, but to assess whether there is immediate improvement in diagnostic tests during physical examination, which may correlate with a good response to BT.
For the anterior scalene:
- 1
Patient positioning. Supine position with the neck slightly rotated towards the contralateral side.23
- 2
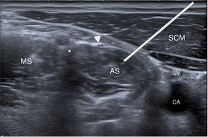
Ultrasound technique. The anterior scalene is identified deep to the sternocleidomastoid, with the carotid space—containing the major cervical vessels and the vagus nerve—located medially. Overlying the anterior scalene is the phrenic nerve, while the brachial plexus and subclavian vessels lie beneath it.23 (Fig. 5)
Figure 5.Anatomical plane for infiltration of the anterior scalene (AS), located deep to the sternocleidomastoid (SCM) and the phrenic nerve (arrowhead). The white line represents the theoretical course to be followed. The brachial plexus (asterisk) is visualised between the anterior and middle scalenes (MS), and medially the carotid space is identified, with the internal jugular vein (IJV) partially collapsed and the carotid artery (CA).
- 3
Infiltration. A 22 G needle is inserted from medial to lateral, passing through the sternocleidomastoid and avoiding the phrenic nerve to reach the anterior scalene.23
- 4
Dosage. The dose reported in The literature ranges between 25 and 50 U.
- 5
Additional considerations. The use of local anaesthetic is discouraged to prevent inadvertent blockade of the brachial plexus or phrenic nerve.23
Bruxism is a parafunctional habit involving involuntary clenching or grinding of the teeth, which leads to hypertrophy of the masseter muscle.5
It can cause mandibular pain and referred pain in the temporal and auricular regions, as well as facial disfigurement. At the intraoral level, occlusal wear occurs and there may be difficulty with mouth opening.24
MechanismTreatment of this condition involves behavioural changes, muscle relaxants, physiotherapy and occlusal splints. If these are unsuccessful, BT injections can be performed5,24 as they have been reported to reduce muscle contraction and decrease masticatory pressure by up to 20–30%, along with a reduction in muscle mass of up to 31%.5
Procedure- 1
Technique. Injection of BT into the masseter has been performed without image guidance, using a quadrilateral defined by anatomical landmarks: the superior border from the earlobe to the corner of the mouth, the inferior border along the mandibular margin, and the anterior and posterior borders correspond to the masseter muscle’s limits.5,24 With ultrasound guidance, these anatomical landmarks can be used to explore the muscle and identify three injection sites. The temporalis muscle can also be examined, with two sites marked. Although injection into the masseter is generally sufficient for bruxism, experienced surgeons also recommend injecting the temporalis.5 (Fig. 6)
Figure 6.Example of anatomical landmarks for masseter infiltration. (A) Reference points for BT injection into the masseter, with the anatomical landmarks described in the body text, marked by white dotted lines. On the right, ultrasound anatomical sections corresponding to the most superior (B) and most inferior (C) level, where the masseter muscle is visualised (thickness indicated by a white line).
- 2
Dosage. It is recommended to dilute 100 U of BT in 2 ml, yielding 10 U per 0.2 ml. A volume of 0.2 ml is infiltrated at each of the three marked points in the masseter and at the two marked points in the temporalis on each side.5,24
- 3
Infiltration. For infiltration, a 30 G needle is inserted perpendicular to the skin until bone contact is reached, and the injection is administered slowly, with slight withdrawal at the end of each dose to ensure that the toxin reaches both the deep and superficial layers of the masseter.
Ultrasound-guided marking should reduce the incidence of complications, being particularly important in this procedure to avoid involvement of the facial mimic muscles and, in more severe cases, injury to the facial nerve.5,24
SpasticityStroke is one of the leading causes of disability worldwide, producing spasticity in 4–42.6% of cases, which is disabling in 2–13%.25,26
BT is the first-line treatment for post-stroke spasticity and other forms of spastic paresis, such as that caused by multiple sclerosis or spinal cord injury.25,27,28In childhood cerebral palsy, its use facilitates a more physiological gait, while in adults it improves functionality and quality of life, albeit with a temporary effect.26,27
The aim of treatment is to reduce motor overactivity, enabling both active and passive movement of the spastic limbs, alleviating pain and cramps, and preventing deformities.25,28
Infiltration is usually performed using anatomical landmarks, although ultrasound or electromyography improves accuracy, and their use is recommended in specific muscles such as the iliopsoas, gracilis, and those of the forearm and leg.26,27
There is no maximum number of muscles to infiltrate, but it is recommended to prioritise two or three areas, bearing in mind that muscles with dynamic (reducible) contracture and those of smaller size respond better. In cases of generalised spasticity, BT is usually combined with oral antispastic agents. It is also recommended to combine the treatment with physiotherapy exercises to improve results.25–27
In childhood cerebral palsy, treatment is recommended to start as early as possible, particularly to prevent hip dislocations. Although BT is licensed from the age of two years, it has been used in younger children with good response and without an increase in adverse effects.27
We do not provide the doses of BT used in this condition due to the large number of different target muscles; however, these can be found in the review by Garcia-Ruiz et al., which outlines spasticity patterns and individualised recommendations.27
Cervical dystoniaCervical dystonia is the most common focal dystonia,29,30 characterised by abnormal cervical postures that interfere with daily activities and cause pain in 43.1% of patients.29
The treatment of choice is BT, which improves quality of life and reduces pain.11,29
Doses vary according to clinical presentation and the muscles involved, with initial doses of 500 U of abobotulinumtoxinA and 120 U of incobotulinumtoxinA,29 while according to the study by Dressler et al., the dose of onabotulinumtoxinA is variable, with a mean of 262.6 ± 141.6 U.30
A variable number of muscles are usually treated per session, approximately 6 ± 2, the most common being the trapezius with the paravertebral nuchal musculature, the splenius capitis, the sternocleidomastoid, and the levator scapulae. The specific doses for each muscle are reported in the study by Dressler et al.30
Infiltration has traditionally been guided by anatomical landmarks, but ultrasound has shown an estimated accuracy ranging from 81% to 100%. This technique is crucial due to the limited thickness of the cervical musculature and the proximity of adjacent muscle bellies with opposing functions, where inadvertent injection into an antagonist muscle could worsen symptoms. In addition, ultrasound enables the identification and avoidance of neurovascular structures and allows more accurate selection of the affected muscles.11,29,31
Electromyography has also been reported to improve outcomes;11,29,31 however, as a functional guide, it does not allow visualisation of neurovascular structures that should be avoided. Furthermore, in this condition, some muscles are hyperactive (dystonic) while others are reflexively activated to compensate for the abnormal movement, and electromyography may misinterpret the activity of compensatory muscles as that of the primary dystonic muscles, leading to erroneous injections into antagonist muscles. According to Fietzek et al., the ideal guidance method is ultrasound, supported by electromyography in complex cases.31
The most frequent adverse effects are mild dysphagia, which usually resolves within 2–3 weeks, with a higher incidence in abobotulinumtoxinA (19.4%) and incobotulinumtoxinA (12.6%), and transient weakness of the neck extensor muscles.29
Ultrasound, alone or combined with electromyography, optimises the treatment of cervical dystonia by improving injection accuracy and reducing adverse effects.29
Other less widespread and emerging uses of botulinum toxinEpicondylitisLateral epicondylitis is the leading cause of elbow pain, with a prevalence of 1–3%. It is an overuse tendinopathy of the wrist extensor complex, mainly affecting the extensor carpi radialis brevis and the extensor digitorum communis, with excessive traction on the muscle–tendon complex being a key factor in its development and chronification.32–34
BT has been proposed as a treatment in cases resistant to conservative management, thanks to its ability to temporarily paralyse the wrist extensor muscles, thereby reducing tension at the enthesis and repetitive microtrauma, and promoting tendon tissue repair.32–34
However, the available studies show discrepancies regarding the optimal dose, which ranges from 10 to 60 U depending on whether it is administered at one or several sites, as well as regarding the ideal infiltration location.32–34 Although pain is usually most intense at the origin of the common extensor tendon, a recent review questions whether the epicondyle is the most appropriate site, showing less pain reduction according to the visual analogue scale.34 However, the study by Lee et al. demonstrated that ultrasound-guided infiltration into the common extensor tendon significantly improves pain and grip strength, in contrast to other studies that reported a reduction in strength. The authors therefore suggest that tendon infiltration may minimise motor impairment and enhance functionality.33 On the other hand, Song et al. identified the point of greatest analgesic effect at one-third of the forearm length, where the posterior interosseous nerve runs adjacent to the extensor digitorum communis and the extensor carpi ulnaris, although with a higher risk of motor weakness.34
The main adverse effect is transient weakness of the extensor musculature, particularly of the third finger, although it is usually mild and reversible.32–34
Another aspect to consider is that most studies rely on anatomical landmarks to carry out the infiltration, although some have used ultrasound for more precise placement of the toxin.
In summary, although the efficacy of BT is clear, further comparative studies are needed to determine the most effective doses and techniques to maximise benefits and minimise adverse effects.
Plantar fasciopathyPlantar fasciopathy is one of the most prevalent foot disorders and the most common cause of chronic heel pain.35,36 It results from repetitive microtrauma to the plantar fascia which, together with biomechanical imbalances—such as excessive pronation or limited ankle dorsiflexion—causes degeneration and inflammation at its calcaneal insertion.37
Initial treatment is conservative, including rest, insoles, stretching and shockwave therapy. If these measures fail, corticosteroid injections may be used, although their efficacy is usually limited and temporary.35 As a last resort, surgery may be considered, carrying the risk of compromising the stability of the medial longitudinal arch and affecting the terminal stance phase of gait.36,37
BT has recently emerged as a therapeutic option. Comparative studies with placebo and corticosteroids have shown that BT is not only effective compared with placebo but may also provide results equal or superior to corticosteroids, with longer-lasting effects.35,36,38
Although there is no consensus on the optimal dose—ranging from 50 to 200 U—or on the injection sites, several approaches have been described. These include infiltration at the calcaneal insertion of the plantar fascia or at more distal sites, involving the quadratus plantae, flexor digitorum brevis and abductor hallucis.35,37 One study investigated infiltration of the gastrocnemius–soleus complex, reporting promising results.36 The Windlass mechanism describes how, when the toes extend, the plantar fascia tightens and shortens, contributing to elevation of the medial arch of the foot and stabilisation of the foot during the push-off phase. This phenomenon, described by Higgs, is crucial for gait efficiency. Relaxation of the gastrocnemius–soleus complex reduces tension on the plantar fascia and the calcaneus, facilitating activation of the Windlass mechanism and improving foot functionality.
Adverse effects of BT are uncommon, mild and transient.38 In contrast, corticosteroid injections carry a 2.4–5.7% risk of plantar fascia rupture and atrophy of the plantar fat pad.36,37
Further studies will be required to determine the optimal doses and injection sites for this treatment.
Low back painLow back pain is a prevalent symptom affecting 50% of the population annually, with a significant impact on quality of life.39–41 Although it usually resolves spontaneously, it may become chronic in 5–10% of cases.39
BT has been proposed as a treatment for chronic low back pain, aiming to reduce lumbar stiffness attributed to sustained contraction of the erector spinae muscles.40–43 The doses reported range from 100 to 200 U per session, and although there is no consensus in the literature on the optimal location of the injection sites, most studies describe injections into the lumbar paravertebral muscles, mainly the erector spinae and multifidus, with bilateral distribution between L1 and L5. Trigger points are prioritised when present, although the number of injection sites varies.39,41–43
However, the evidence regarding its efficacy is contradictory. A 2011 review evaluating three randomised clinical trials found no long-term benefits, highlighting the low quality of the evidence and the need for more rigorous studies.39 Recent investigations, such as those by Cogné et al.40 and Jain et al.,41 likewise found no significant differences compared with placebo, probably owing to the multifactorial complexity of chronic low back pain. Nevertheless, studies such as those by Sahoo et al.42 and Foster et al.43 reported a reduction in pain following injections.
In summary, although BT may be useful in specific cases of chronic low back pain, there is no consensus on its overall efficacy, and current findings remain inconsistent. In addition, most trials have administered the injections without image guidance.
ConclusionRecent reports have described the use of BT in treating disorders associated with muscle hypertrophy or hyperexcitability and in facilitating surgical repair of ventral hernias, with image guidance advised to optimise outcomes and limit adverse effects. However, further studies are needed to determine the optimal dose and the most appropriate patient selection for each treatment.
- 1
It has been demonstrated that image guidance—primarily ultrasound—for the administration of BT in medical treatments not only increases safety and reduces adverse effects, but also enhances efficacy.
- 2
In the treatment of ventral hernias with loss of domain, preoperative progressive pneumoperitoneum and BT are used, the latter being safe to administer and allowing fascial closure rates of over 90%.
- 3
The use of BT has been shown to be effective in the treatment of conditions associated with muscle hypertrophy, such as piriformis syndrome, thoracic outlet syndrome, and bruxism, as well as in those related to neuromuscular hyperexcitability, such as spasticity and cervical dystonia.
- 1
Research coordinators: Javier Llorente Peris.
- 2
Study concept: Javier Llorente Peris, Juan Miranda Bautista, Pablo Menéndez Fernández-Miranda.
- 3
Study design: Javier Llorente Peris.
- 4
Data collection: N/A.
- 5
Data analysis and interpretation: N/A.
- 6
Statistical processing: N/A.
- 7
Literature search: Javier Llorente Peris, Juan Miranda Bautista, Pablo Menéndez Fernández-Miranda.
- 8
Drafting of article: Javier Llorente Peris, Juan Miranda Bautista, Pablo Menéndez Fernández-Miranda.
- 9
Critical review of the manuscript with intellectually relevant contributions: Javier Llorente Peris, Juan Miranda Bautista, Pablo Menéndez Fernández-Miranda.
- 10
Approval of the final version: Javier Llorente Peris, Juan Miranda Bautista, Pablo Menéndez Fernández-Miranda.
Given the type of article, it is not necessary to indicate authors contributions in data collection, analysis, or statistical processing.
Ethical responsibilitesHuman and animal protection. The authors declare that no experiments on humans or animals were carried out for this research.
Data confidentiality. The authors declare that no patient data appear in this article.
Right to privacy and informed consent. The authors declare that no patient data appear in this article.
FundingThe authors declare that they have not received any funding for this article.
The authors declare that they have no conflicts of interest.
To our department colleagues Joseba Mirena Zulueta and José Luis Lerma for their guidance and support, and to Santiago Miranda Bautista for sharing knowledge on the use of botulinum toxin in enthesopathies.








