Pseudoaneurysms are common vascular lesions that result as a complication of endovascular interventions, trauma, surgery, inflammatory and tumour processes. They can originate in thoracoabdominal or peripheral visceral arteries. Computed tomography angiography (CT angiography) is the imaging technique of choice for diagnostic confirmation, assessment of complications and therapeutic planning. Doppler ultrasound is initially used in accessible peripheral arteries. The complications of pseudoaneurysms can be potentially serious, mainly their rupture, so their early diagnosis and differentiation from other pathologies is essential to guide treatment. The objective of this manuscript is to represent the image of the pseudoaneurysm in different locations according to its etiology, as well as to review the imaging techniques, study protocols and diagnostic keys. Its complications will be discussed, paying special attention to those that require an emergent therapeutic attitude.
Los pseudoaneurismas son lesiones vasculares frecuentes que resultan como complicación de iatrogenia, traumatismos, procesos inflamatorios y tumorales. Pueden originarse en arterias viscerales toracoabdominales o periféricas. La angiografía por tomografía computarizada (angioTC) es la técnica de imagen de elección para su confirmación diagnóstica, valoración de complicaciones y planificación terapéutica. La ecografía Doppler se utiliza inicialmente en arterias periféricas accesibles. Las complicaciones de los pseudoaneurismas pueden ser potencialmente graves, principalmente su rotura, por lo que su diagnóstico precoz y su diferenciación con otras patologías resulta fundamental para orientar el tratamiento. El objetivo de este manuscrito es representar la imagen del pseudoaneurisma en diferentes localizaciones según su etiología, así como revisar las técnicas de imagen, protocolos de estudio y claves diagnósticas. Se abordarán sus complicaciones, prestando especial atención a aquellas que requieran de una actitud terapéutica emergente.
Pseudoaneurysms are vascular formations that arise from a damaged artery, with which they communicate through a neck. They are considered active bleeds contained by the adventitial layer or the surrounding tissues, hence the importance of early diagnosis and treatment.1 They are formed as a consequence of direct arterial injury, either iatrogenic or exogenous trauma, or indirectly secondary to erosion of the vascular wall by inflammatory, infectious or tumour-related processes.2–4
Diagnostic suspicion is established on the basis of a broad spectrum of clinical manifestations. Deep pseudoaneurysms are usually asymptomatic. However, superficial pseudoaneurysms may begin as a pulsatile mass, haematoma, anaemia, pain or signs of tissue ischaemia due to the vascular compromise they may be causing. Their natural course if left untreated varies from spontaneous thrombosis to rupture, which is the most serious related complication.3
The main differential diagnosis of pseudoaneurysm is true aneurysm. It can at times be challenging to differentiate between the two by imaging. True aneurysms are dilations of the arteries involving all three layers of the artery wall. They are usually asymptomatic and discovered incidentally.3 They tend to present with well-defined contours and atherosclerotic changes such as calcification and mural thrombus.4 In contrast, pseudoaneurysms show more irregular borders, narrower necks and are usually surrounded by a haematoma.3
The aim of this manuscript is to describe pseudoaneurysm imaging in different locations according to its aetiology, and to review imaging techniques, study protocols and key diagnostic findings. Its complications are also addressed, with special attention to those requiring an emerging therapeutic approach.
DiagnosisImaging procedures are not only necessary for diagnostic confirmation of the pseudoaneurysm, but also to assess its morphological characteristics and identify the artery from which it arises, in order to plan the therapeutic strategy.2
Ultrasound is the first choice in peripheral artery pseudoaneurysms because of its accessibility,2 as well as in paediatric patients, pregnant women and patients with renal failure. On ultrasound (B-mode), the pseudoaneurysm appears as an anechoic structure connected to the artery it arises from by a neck. The neck shows antegrade flow during systole and retrograde flow during diastole, referred to in the literature as "to-and-fro". On colour Doppler ultrasound, this translates into turbulent flow in the non-thrombosed portion of the pseudoaneurysm, where the characteristic "yin-yang" sign is sometimes seen.3,5 In the pulsed Doppler study, where flows and curves are evaluated, a bidirectional flow curve is detected (Fig. 1).
81-year-old man presenting with a pulsatile left inguinal tumour-like lesion at the puncture site with haematoma extending to the root of the thigh after transfemoral catheterisation eight days prior. Colour (A) and spectral (B) Doppler ultrasound images showing a pseudoaneurysm with turbulent flow and the "yin-yang" sign inside the sac (arrow) connecting to the left superficial femoral artery via a neck (arrowhead). Spectral Doppler reveals the bidirectional arterial flow characteristic of pseudoaneurysm.
Computerised tomography angiography (CT angiography) is the diagnostic test of choice for thoracic, abdominal and peripheral pseudoaneurysms which are not accessible by ultrasound. It is used to characterise the vascular anatomy, diagnose vascular diseases and plan treatment.3 Non-ionic contrast material with a concentration of at least 300 mg/mL and a minimum flow rate of 3 mL/s should be used in any patient weighing 50 kg or over. The dose needs to be selected taking into account the duration of the examination and the patient's weight and comorbidities. After intravenous injection of iodinated contrast, thin slice acquisitions (at least 1.5 mm) are made and timed at 20−30 s and 70−120 s to coincide with peak arterial and venous enhancement, respectively.3,6 A non-contrast acquisition to distinguish hyperdense contrast elements, for example, ingested material, arterial calcifications and embolization material, may facilitate the diagnosis.6
In most cases, the pseudoaneurysm behaves on CT angiography as an area of hyper-attenuation in the basal phase that enhances after contrast administration, with the same density as the artery it arises from (Fig. 2) in all phases, meaning it is hyperdense in the arterial phase and decreases in density in the venous phase. However, in some cases their behaviour can vary. For example, large pseudoaneurysms tend to take longer to reach full contrast filling. When the pseudoaneurysm is partially thrombosed, the thrombosed area can be identified as a central or peripheral hypodense area. It should be noted that when the flow is slow or turbulent, there may be retained blood that is denser. Their morphology does not change in the successive phases of the study and they usually have irregular contours and a well-defined narrow neck.1,3
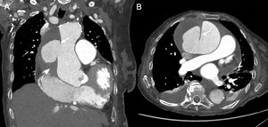
94-year-old woman admitted for congestive heart failure who, that morning, had developed chest and abdominal pain with paraesthesia in both lower limbs. Coronal (A) and axial (B) reconstructions of chest CT angiography to study pulmonary arteries for suspected pulmonary thromboembolism show a large pseudoaneurysm in the ascending thoracic aorta (arrow) and an adjacent mediastinal haematoma (arrowhead) containing the pseudoaneurysm.
Magnetic resonance imaging (MRI), like CT angiography, enables multiphase vascular imaging with similar enhancement patterns, but uses potentially less nephrotoxic contrast and does not use ionising radiation. In addition, MR images can depict vascular flow without injection of contrast material. Limitations include longer image acquisition time and high sensitivity to motion artifacts related to pulsations in the aneurysm sac.3
Conventional angiography is the gold standard for diagnosing pseudoaneurysm. The high spatial resolution of digital subtraction angiography makes it possible to assess small vessels and treatment can be administered concomitantly.4,5 However, it requires adequate pre-planning by CT angiography to get a comprehensive picture of the patient's process and thereby reduce the radiation time and the amount of contrast used. The pseudoaneurysm appears as a contrasting saccular dilatation connecting to an artery.4
IatrogenicPseudoaneurysms account for 1.5% of vascular complications associated with diagnostic angiography and up to 6% after endovascular therapeutic procedures2 (Fig. 3). The incidence of complications related to vascular access puncture, including pseudoaneurysm, haematoma, arteriovenous fistula, thrombotic occlusion and extravasation, is 0.7–9%.2 They are related not only to the types of procedure, but also to the patient's underlying condition, to clinical and analytical decompensations secondary to the acute process, and to the medication the patient may be taking, such as anticoagulants or antiplatelet agents.2
29-year-old man on peritoneal dialysis with a history of renal transplant who had embolization of the transplanted kidney one month ago, and since then developed a mass in the right inguinal region where the puncture was made. Sagittal maximum intensity projection (A) and 3D (B) CT angiography reconstructions of the right lower limb in arterial phase showing a bilobed pseudoaneurysm (arrow) arising from the right common femoral artery.
Another cause of iatrogenic pseudoaneurysms is surgical interventions. They can occur as a complication of any type of surgery7,8 (Figs. 4–6). They arise from direct injury to the arteries in the vicinity of the surgical site or the approach routes. One example is those secondary to trocar management in laparoscopic surgery (Fig. 7).
A 58-year-old man who attended with a tumour-like lesion in the right inguinal region of one week’s duration following femoropopliteal bypass surgery. Coronal (A) and 3D (B) CT angiography reconstructions of the right thigh in arterial phase, showing a giant pseudoaneurysm (arrow) located at the anterior margin of the bifurcation of the common femoral artery, at the level of the proximal anastomosis of the femoropopliteal graft.
85-year-old woman who underwent surgery one month ago for fracture of the right hip. She was seen for the second time in Accident and Emergency for severe pain accompanied by induration, oedema and increased temperature in the region of the surgical wound. Sagittal maximum intensity projection (A) and 3D (B) CT angiography reconstructions of the left lower limb in arterial phase show a vascular formation arising from a perforating branch of the left deep femoral artery consistent with pseudoaneurysm. It remains in intimate contact with a displaced bone fragment that appears to be attached to the femur (arrowhead).
36-year-old woman who had a caesarean section and required re-operation within 24 h due to massive haemoperitoneum secondary to ruptured ovarian endometrioma. She was re-admitted with tympanic abdomen and severe pain. Suspecting active abdominal bleeding, CT angiography of the abdomen and pelvis identified a pseudoaneurysm of the left uterine artery (arrow) in the axial (A) and sagittal (B) maximum intensity projection reconstructions of the arterial phase. During admission, she suffered massive metrorrhagia, so it was decided to re-operate and a bleeding point was detected in the hysterography. However, in view of the situation of haemorrhagic shock during surgery, a subtotal hysterectomy was performed. A few hours later, the patient had significant metrorrhagia with clinical repercussions and the haemodynamic option was finally chosen, which successfully embolised the uterine arteries. After that, her progression was favourable.
A 55-year-old man who had a laparoscopic appendicectomy three days ago, found to have a drop in haemoglobin levels from 11.7 to 7.8 g/dL and abundant serohaematic content in the drainage since the operation. Due to the suspicion of intra-abdominal haemorrhage, CT angiography of the abdomen and pelvis was performed. Coronal maximum intensity projection (A) and 3D (B) reconstructions of the arterial phase showing a pseudoaneurysm arising from the left deep inferior epigastric artery (arrow), probably secondary to arterial injury from the passage of the laparoscopic trocar. The staples are visible at the trocar access point (arrowhead).
It should be noted that hepatic artery pseudoaneurysms are particularly common in the context of trauma in interventions such as liver transplant, cholecystectomy, percutaneous transhepatic cholangiography (PTC), biliary drainage and biliary catheter and stent placement. Their incidence has increased with the introduction of percutaneous and laparoscopic biliary procedures.3
Inflammatory or infectiousInflammatory processes can lead to destruction of the architecture of the arterial wall and fragmentation of the elastic tissues, resulting in the formation of pseudoaneurysms.4,9 In acute pancreatitis, pancreatic enzymes cause necrotising arteritis and are one of the most common causes of pseudoaneurysms in the splenic, coeliac and superior mesenteric arteries3,4 (Fig. 8). In chronic pancreatitis, a long-lasting pseudocyst can injure the vascular wall as a result of persistent compression, ischaemia and elastolytic action of its enzymatic contents.9,10 In acute cholecystitis, pseudoaneurysms are usually located in the hepatic and cystic arteries in proximity to the gallbladder3,11,12 (Fig. 9). Rupture of a pseudoaneurysm in a cholecystitis bed can lead to a haemorrhagic complication in the gallbladder, or haemobilia, which is a surgical emergency.3
A 50-year-old man with a previous history of chronic pancreatitis had an episode of exacerbation. Axial (A) and coronal (B) CT angiography reconstructions of the abdomen and pelvis in the arterial phase show a pseudoaneurysm of the splenic artery (arrow) adjacent to the tail of the pancreas and close to the splenic hilum. The pancreas shows numerous calcifications (arrowhead) as a sign of chronic pancreatitis.
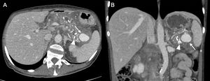
50-year-old man who came in with arterial hypotension, fever and pain in the right hypochondriac region. Blood tests showed increased acute phase reactants. With clinical suspicion of complicated biliary colic, ultrasound of the abdomen and pelvis (A) showed signs of acute calculous cholecystitis and, when colour Doppler was applied, a structure with the "yin-yang" sign was detected in the hepatic hilum (arrow). Sagittal maximum intensity projection reconstruction of the arterial phase CT angiography (B) confirms a pseudoaneurysm of the right hepatic artery (arrow). It progressed to haemorrhagic cholecystitis and urgent embolization of the pseudoaneurysm was performed.
Mycotic pseudoaneurysms are those arising from infectious colonisation of the arterial wall via haematogenous route, irrespective of the microorganism and its pathophysiology. Traumatic or iatrogenic factors could cause endothelial damage, making it easier for bacteria from the circulation to invade the arterial wall.13 Predisposing factors are described as arterial hypertension, diabetes mellitus, atherosclerosis, immunosuppression and corticosteroid therapy. These pseudoaneurysms are rare and only isolated cases are reported in the literature,12 where the most common causative germs are Staphylococcus aureus and Salmonella spp.13 On imaging, they usually present as saccular or multilobular aneurysmal dilations with rapid expansion and formation of gas and/or surrounding soft tissue mass (Fig. 10). Diagnosis is based on a combination of four criteria: clinical presentation (fever, predisposing factors); laboratory findings (increased acute phase reactants and positive culture); and radiological and intraoperative findings (purulent material in the aneurysmal cavity or surrounding tissues). The presence of one of the criteria in isolation is not sufficient for diagnosis.14
76-year-old man with stage IV urothelial carcinoma in progression and currently undergoing chemotherapy who was admitted for hypoxaemic respiratory failure due to respiratory infection. During admission, he suffered progressive worsening with renal failure and continuous elevation of acute phase reactants. Coronal reconstruction of contrast-enhanced chest CT in arterial phase showing a pericardial effusion (asterisk) with enhancement of the pericardial layers (dashed arrow), as well as a new saccular dilation in the aortic arch related to mycotic pseudoaneurysm (arrow) and a peri-pseudoaneurysmal inflammatory collection (arrowhead). Due to the patient's clinical status and his progressive underlying disease, a conservative approach was taken and the patient’s deterioration led to his death.
Other infections such as tuberculosis, syphilis and COVID-19 have been linked to the formation of pulmonary artery pseudoaneurysms (PAP). PAP are a rare and potentially fatal cause of haemoptysis. The vast majority are solitary and are most likely to occur in the peripheral branches of the pulmonary artery.15 Rasmussen’s pseudoaneurysms are PAP caused by direct invasion of the vascular wall by Mycobacterium tuberculosis, usually in the vicinity of a tuberculous cavity.15,16 Cases of PAP have been reported in patients with COVID-19 starting with haemoptysis, caused by inflammatory and vasculitic processes affecting the pulmonary vessels.15
Tumour-relatedPseudoaneurysm formation as a consequence of direct invasion of the arterial wall by a tumour is extremely rare.17,19 Although any tumour could trigger the development of pseudoaneurysms by the above injury mechanism, isolated cases related to lung tumours and lymphomas have been reported.
The pseudoaneurysms described in patients with lung cancer were most often located in the pulmonary arteries. Aortic pseudoaneurysm is a rare complication of lung cancer, especially adenocarcinoma; the exact causal mechanism is unclear, with very few cases reported in the medical literature19,20 (Fig. 11).
A 75-year-old man with long-standing weight loss came in with a left axillary mass. Outpatient ultrasound showed a large clump of lymphadenopathy, so a contrast-enhanced chest CT was performed. Axial maximum intensity projection (A) and sagittal (B) reconstructions confirmed the abnormal left axillary clump of lymphadenopathy (asterisk) and a mediastinal tumour mass (arrowhead) in contact with the aortic arch, with focal saccular dilation of the aorta showing some degree of parietal irregularity, suggestive of pseudoaneurysm (arrow). Histological analysis confirmed that the areas of lymphadenopathy were metastases of squamous cell carcinoma, with pulmonary origin being suspected. The decision was made to start oncological treatment with imaging to monitor response and adopt a conservative approach with the pseudoaneurysm due to the complexity of the intervention because of its location and the underlying invasive lesion.
In the context of diffuse large B-cell lymphoma, cases have been reported of aortic pseudoaneurysm due to direct invasion of a peri-aortic mass. However, it is extremely rare and fewer than 10 cases have been reported worldwide.17 Pseudoaneurysms can arise as a consequence of lymphomas developing in the arterial wall in patients without an associated peri-aortic mass, although this mechanism of injury is even more rare.18
TraumaticVascular injuries can occur as a result of external trauma, whether blunt or penetrating, due to an accident, assault or other circumstances (Fig. 12). Minor blunt trauma can cause pseudoaneurysms in anticoagulated patients who are at increased risk of bleeding.21 In the extremities, most post-traumatic pseudoaneurysms are secondary to penetrating injuries and most commonly occur in the upper limbs.5,21
31-year-old woman who suffered an assault involving a penetrating stab wound with right submandibular entry and extensive accompanying bleeding requiring compression. Coronal maximum intensity projection (A) and 3D CT angiography reconstructions of the supra-aortic trunks in arterial phase showing a focal dilation of the right common carotid artery a few millimetres from its bifurcation, consistent with post-traumatic pseudoaneurysm.
Traumatic pseudoaneurysm of the superficial temporal artery is rare. It usually develops as a painless pulsatile mass in the temporal region, often following blunt or penetrating craniocerebral injury. The time of onset is variable and is influenced by the nature of the lesion; it can appear 2−6 h after the trauma or weeks later22 (Fig. 13).
86-year-old man presenting with craniocerebral injury one month prior and since then a pulsatile mass in the left frontotemporal region of about 3 cm in diameter (arrowhead) (A). The ultrasound scan (B) shows an oval image arising from the left temporal artery with a sac with mobile internal echoes and turbulent flow consistent with a pseudoaneurysm of the left temporal artery (arrow), partially thrombosed and with bidirectional flow on spectral Doppler. The pseudoaneurysm can also be seen in the sagittal maximum intensity projection reconstruction of baseline brain CT (C).
A spontaneous pseudoaneurysm may be the manifestation of vascular anomalies related to diseases such as neurofibromatosis, type 1 (NF1), fibromuscular dysplasia, vasculitis or collagen vascular diseases.4,25 The histopathology of NF1 includes cystic medial degeneration, disruption of the tunica elastica and fibromuscular dysplasia, leading to endothelial weakening and the development of lesions such as pseudoaneurysms.24
Most pseudoaneurysms that form in the carotid territory are of undetermined origin. Pseudoaneurysms in the common carotid artery are rare; they account for 0.3–14% of all aneurysmal disease and 0.5–1% of all surgical interventions on the carotid. Most cases are diagnosed incidentally and they may occur due to rupture of an atheromatous plaque with intimal tear. A high incidence of arterial hypertension, diabetes, COPD and coronary disease has been reported in these patients23 (Fig. 14).
66-year-old female smoker with a history of arterial hypertension, dyslipidaemia, pulmonary embolism and deep vein thrombosis who, for months has been able to palpate a pulsatile right laterocervical mass, with no apparent cause. An ultrasound scan was performed at her health centre, detecting an aneurysmal dilation of the right internal carotid artery. Sagittal maximum intensity projection reconstruction of supra-aortic trunk CT angiography in arterial phase (A) confirming the presence of the right internal carotid artery-dependent pseudoaneurysm (arrow), and arteriogram (B) used for endovascular treatment with stenting. Both images show vascular loops and segmental dilatations (arrowhead) involving bilateral vertebral and carotid territories, which in this patient had not been attributed to any disorder until now.
If left untreated, pseudoaneurysms can lead to complications such as thromboembolism, neurovascular compression, infection and rupture.21 Their incidence varies depending on the site, aetiology and time since onset. Thromboembolism is more common in true aneurysms, while in pseudoaneurysms, rupture, extrinsic compression and infection are the main complications.3 Oedema and thrombosis may occur as a result of venous compression. Infection is usually associated with haematomas, which serve as a breeding ground for opportunistic germs.2
Rupture is the most serious complication of pseudoaneurysm. It can occur spontaneously or during treatment.2 The likelihood of visceral pseudoaneurysms rupturing is 70%, compared to 20% for true visceral aneurysms.26 In aortic pseudoaneurysms, the risk is high as a result of high wall tension. In fact, a 61% rupture rate has been reported if left untreated.19 Anticoagulant therapy and chemotherapy have been described as predisposing factors contributing to pseudoaneurysm rupture.8,17 On CT angiography, active bleeding secondary to rupture will be seen as a hyperdense focal area in the arterial phase very close to the pseudoaneurysm, which changes its morphology and density in successive phases of the study27 (Fig. 15).
14-year-old male with abdominal pain, hypotension and rectorrhagia after recent surgery for acute appendicitis with peritonitis. Axial maximum intensity projection reconstructions of CT angiography of the abdomen and pelvis in arterial (A) and venous (B) phases showing a bilobed pseudoaneurysm (arrow) of the ileocolic artery in the surgical bed. It is accompanied by a focal area of active contrast extravasation (arrowhead) that is evident in the venous phase (B), related to bleeding due to rupture of the pseudoaneurysm.
Early treatment of pseudoaneurysms is necessary, regardless of size and location, due to the high risk of rupture.26 Endovascular techniques, such as embolization with coils or plugs, injection of liquid embolising materials, or their exclusion by stenting, enable minimally-invasive treatment of pseudoaneurysms with high success rates and are therefore playing an increasingly important role compared to conventional surgery.26 Compression has been shown to be effective in superficial pseudoaneurysms with a diameter of 1–2 cm, and ultrasound-guided thrombin injection is particularly indicated when the neck diameter is <8 mm.28
ConclusionsPseudoaneurysms are common vascular lesions with a broad spectrum of clinical manifestations and causes. CT angiography is the imaging procedure of choice for diagnosis, assessment of possible complications and treatment planning. Doppler ultrasound is initially used in accessible peripheral pseudoaneurysms. Rupture of a pseudoaneurysm is a serious complication, so early diagnosis is essential to guide treatment.
CRediT authorship contribution statement- •
Responsible for the integrity of the study: DMR and DAM-R.
- •
Study conception: DMR and DAM-R.
- •
Study design: DMR and DAM-R.
- •
Data collection: DMR and DAM-R.
- •
Data analysis and interpretation: DMR and DAM-R.
- •
Literature search: DMR and DAM-R.
- •
Drafting of the article: DMR and DAM-R.
- •
Critical review of the manuscript with intellectually relevant contributions: DMR and DAM-R.
- •
Approval of the final version: DMR and DAM-R.
This study received no specific grants from public agencies, the commercial sector or non-profit organisations.
















