VEXAS syndrome (Vacuoles, E1 enzyme, X-linked, Autoinflammatory, Somatic) is a recently described entity,1 regarded as a paradigm of hemato-inflammatory diseases in which somatic mutations in the UBA1 gene give rise to a mixed inflammatory and myelodysplastic phenotype. In the rheumatologic setting it has been characterized by polyarthritis, auricular and nasal chondritis, vasculitis of small and medium-sized vessels, and both peripheral and axial joint involvement, with a clinical spectrum that can mimic relapsing polychondritis, giant-cell arteritis, or chronic inflammatory arthritis.2,3 From a hematologic perspective, a strong association with myelodysplastic syndromes has been noted.4 However, in pulmonology its recognition remains limited, despite the fact that lung involvement may be a relevant initial manifestation, which justifies the presentation of the current clinical case.
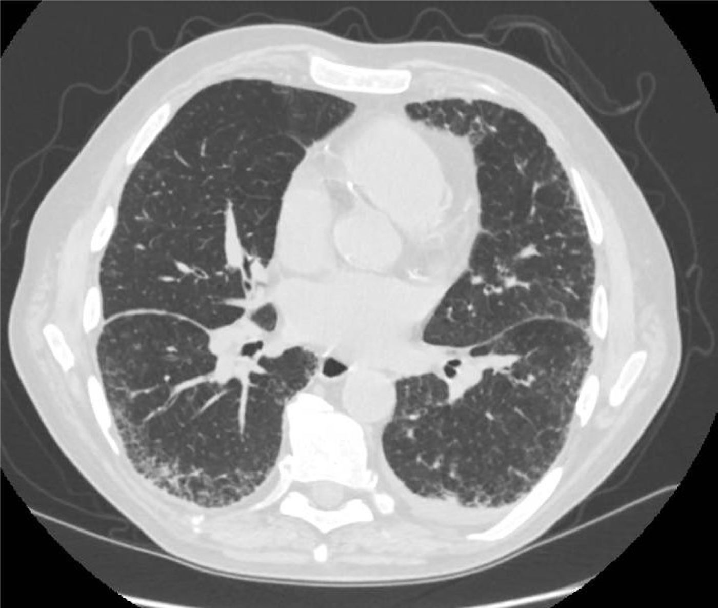
A 66-year-old man, former smoker, with a history of rheumatoid arthritis (RA), low-risk myelodysplastic syndrome (MDS), and chronic kidney disease, was followed in pulmonology for suspected interstitial lung disease (ILD). High-resolution computed tomography (HRCT) (Fig. 1) showed peripheral and bilateral interstitial reticulation with traction bronchiectasis and basal predominance, without honeycombing, consistent with a probable usual interstitial pneumonia (UIP) pattern. These findings showed progression compared with the previous CT scan, with increased extent of reticulation and traction bronchiectasis, without development of honeycombing.
Pulmonary function tests initially showed an FEV1 of 2.6 L (69% predicted), FVC of 4.12 L (82% predicted) with an FEV1/FVC ratio of 0.63, consistent with a moderate obstructive pattern, and DLCO of 65% predicted, During follow-up, DLCO showed a slight decrease (62% predicted), while lung volumes remained stable or improved (FVC 94% predicted). These findings do not provide clear evidence of functional progression and should be interpreted with caution, given the expected inter-test variability.
In the context of cytopenias and lack of response to corticosteroid therapy, a second bone marrow genetic study was performed, revealing a somatic UBA1 mutation compatible with VEXAS syndrome,1 thereby relating his respiratory manifestations to this hematologic process and to the coexisting RA. After discussion in a multidisciplinary committee, no antifibrotic therapy was initiated, as the functional changes were not clinically significant and lung volumes remained stable. The patient had not shown response to corticosteroids, and a watchful waiting strategy with close clinical, radiological, and functional follow-up was adopted. Hematologic treatment with azacitidine, a hypomethylating agent, was initiated.5
Pulmonary involvement in VEXAS syndrome is frequent and heterogeneous: published series report ground-glass opacities, reticulation, and consolidations in more than 70% of patients, which may mimic nonspecific interstitial pneumonia or organizing pneumonia. In some cases, the respiratory presentation precedes the hematologic diagnosis, potentially leading to misclassification as RA-associated ILD, as occurred in our patient. Likewise, the coexistence of macrocytic anemia should alert clinicians to this diagnostic possibility.1,2
In our patient, the HRCT pattern of probable UIP may be compatible with RA-associated ILD. However, the presence of progressive cytopenias, macrocytic anemia, and the subsequent identification of a somatic UBA1 mutation supported the diagnosis of VEXAS syndrome as the underlying systemic disorder, highlighting the potential overlap between RA-associated lung disease and VEXAS-related inflammatory manifestations.
From a practical standpoint, the finding of cytoplasmic vacuoles in myeloid or erythroid precursors on bone marrow aspirate is suggestive, but genetic confirmation of the UBA1 mutation is essential. Although the syndrome was initially described in men over 50 years of age, cases have been documented in women with X monosomy.5
Treatment is challenging and requires close multidisciplinary collaboration. Glucocorticoids often induce only partial improvement, whereas JAK inhibitors (e.g., ruxolitinib) and hypomethylating agents (azacitidine) have shown promising responses.5 Our patient did not respond to corticosteroids; therefore, therapy was changed to azacitidine. In selected cases, allogeneic hematopoietic stem-cell transplantation may be curative, although it carries substantial morbidity and mortality.5
In conclusion, VEXAS syndrome should be incorporated into the differential diagnosis of interstitial lung diseases with an autoimmune or inflammatory basis, especially in men with macrocytic anemia or concomitant MDS. Early detection not only guides prognosis and therapy but also fosters the necessary integration among pulmonology, hematology, and rheumatology in the assessment of these complex entities.
Ethical considerationsThis letter to the editor does not include identifiable information; therefore, it did not require approval by an Ethics Committee. No images or individualized clinical data are presented. Principles of confidentiality and current data protection regulations have been respected.
Artificial intelligence involvementThe article has not been partially or totally produced with the help of any artificial intelligence software or tool.
Informed consentWritten informed consent was obtained from the patient.
FundingThis study was conducted without any external funding sources.
Authors’ contributionsAll authors approved manuscript submission. All named authors meet the International Committee of Medical Journal Editors (ICMJE) criteria for authorship for this article, take responsibility for the integrity of the work as a whole, and have given their approval for this version to be published.
Conflicts of interestThe authors declare that there are no conflicts of interest regarding the publication of this paper.


