El foramen oval permeable es una entidad frecuente que afecta a un 25-30% de la población1. Sin embargo, suele pasar desapercibido por las mínimas consecuencias hemodinámicas que produce en la mayoría de los casos. La falta de síntomas se explica porque las presiones en la aurícula izquierda, habitualmente, superan a las de la derecha. No obstante, en algunas situaciones estas presiones se invierten, y es en esos casos cuando se puede detectar un shunt derecha-izquierda y volverse una entidad con implicaciones hemodinámicas.
Se presenta el caso de una mujer de 64 años, fumadora con un índice paquetes año de 60, hipertensa, obesa mórbida y trastorno restrictivo, con oxigenoterapia crónica domiciliaria a 2lpm, insuficiencia cardiaca NYHA I/IV con fracción de eyección ventricular izquierda conservada. Acudió a urgencias por episodio de disnea súbita junto con deterioro del nivel de conciencia y desaturación de 78% en domicilio. Se realizó una TC de tórax que descartó la presencia de tromboembolismo pulmonar, objetivándose signos de insuficiencia cardiaca congestiva y edema pulmonar, con presencia de derrame pleural derecho y derrame pericárdico. En la ecocardiografía realizada de urgencias destacaba un aplanamiento del septo interventricular sugestivo de elevación de presiones derechas, una dilatación de cavidades derechas, con una presión arterial pulmonar sistólica estimada de al menos 50mmHg y derrame pericárdico ligero-moderado, sin signos de compromiso hemodinámico. Ante persistencia de disminución del sensorio y demostración de acidosis respiratoria grave (pH 7,18; pCO2 66mmHg, pO2 68mmHg, HCO3 21mmol), se inició ventilación mecánica no invasiva (VMNI) y se cursó ingreso hospitalario.
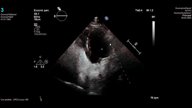
Tras 10 días ingresada con uso de VMNI nocturna se consigue mejoría de la hipercapnia, pero persiste con hipoxemia refractaria (precisa FiO2 60% para mantener SatO2 >90%). Sospechando un shunt derecha-izquierda por foramen oval permeable, se solicitó una ecocardiografía urgente con suero salino agitado que confirmó la sospecha: había paso precoz de moderada cantidad de burbujas hacia cavidades izquierdas. A su vez, persistían signos ecocardiográficos sugestivos de hipertensión pulmonar significativa, con una presión arterial pulmonar sistólica estimada de 80mmHg. Tras estos resultados se añadió sildenafilo (20mg/8h) y se retiró la VMNI con mejoría clara de la saturación, pudiendo ser dada de alta 3 días después del inicio del fármaco, que se mantuvo al alta. No se consideró en este caso intervención quirúrgica del foramen oval dada la mejoría clínica tras retirada de la VMNI y el inicio del sildenafilo, en una paciente con bastante comorbilidad.
El foramen oval es una alteración cardiológica que ocurre tras un cierre incompleto del foramen que perdura en la edad adulta. No se considera un verdadero defecto del septo auricular, porque no hay ninguna alteración estructural, sino que persiste un espacio entre el septum primum y el septum secundum. Generalmente permanece asintomático, pero puede manifestarse cuando se desarrolla un shunt derecha-izquierda debido a una elevación en las presiones de las cavidades derechas del corazón. Este cambio en el gradiente de presiones puede ocurrir por distintas situaciones: por elevación de la presión en la arteria pulmonar (como en la hipertensión pulmonar en nuestro caso) o por aumento de la presión de llenado en las cavidades derechas2,3, como en el derrame pericárdico, o por aplicación de PEEP, ambos presentes en esta paciente. El mecanismo mediante el cual la PEEP mejora la oxigenación es por el reclutamiento de unidades respiratorias que no eran viables para la ventilación4. Esto se consigue a expensas de producir cambios hemodinámicos a nivel cardiaco. Al incrementar el número de unidades pulmonares que participan en la ventilación, se aumenta el volumen pulmonar pasando de capacidad residual funcional a capacidad pulmonar total5. Este incremento de volumen dentro del tórax, que es una cavidad con un volumen prácticamente estático, causa un aumento de las presiones intratorácicas, aumentando la presión en la aurícula derecha, que es una cavidad con mucha compliancia. Por otra parte, la PEEP también produce un ascenso de la presión vascular transmural, al comprimirse los vasos intraalveolares por el aumento de volumen pulmonar y esto ocasiona elevación de la resistencia vascular pulmonar. Por todos estos mecanismos, la poscarga derecha se ve incrementada, aumentando a su vez la presión del ventrículo y, consecuentemente de la aurícula derecha.
Como conclusión, en un paciente con hipoxemia refractaria debería considerarse la posibilidad de un foramen oval permeable, siendo una situación no tan despreciable, sobre todo si existen factores que pueden favorecer el cambio de gradiente de presiones derecha-izquierda6,7,8. También sería importante recalcar la importancia de monitorizar los gases arteriales en pacientes tratados con VMNI, que requieran altas presiones, para detectar un empeoramiento de la hipoxemia, que podría deberse a un foramen oval permeable9.


