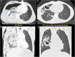
Varón de 17 años que sufre un accidente de moto con traumatismo torácico lateral izquierdo cerrado de alto impacto. No tenía antecedentes de interés. A su ingreso se aprecia en la TC torácica la formación de neumotórax con varias áreas de contusión pulmonar bilaterales (fig. 1 A y B). Se coloca drenaje torácico durante 5 días y, ante la presencia de fuga aérea persistente a esfuerzos máximos, se realiza una nueva TC. En esta, se aprecia expansión casi completa del pulmón y formaciones quísticas de gran tamaño que se corresponden con neumatoceles (fig. 1 C y D).
A y B) TCMD de tórax, corte axial y coronal: extensa hemorragia alveolar derecha en cuyo seno se identifican espacios quísticos con niveles hidroaéreos compatibles con laceraciones pulmonares (flecha). Hidroneumotórax y enfisema subcutáneo derechos. Pequeños focos contusivos pulmonares izquierdos. C y D) TCMD de tórax, corte axial y coronal: reexpansión pulmonar tras tubo de tórax, con práctica resolución de la hemorragia alveolar derecha. Los espacios quísticos hidroaéreos presentes en el estudio previo han perdido los niveles y presentan ahora un aspecto extraño en relación con neumatoceles postraumáticos (puntas de flecha).
El neumatocele es un espacio aéreo con pared dentro del parénquima pulmonar que puede ser secundario a un traumatismo, a un proceso infeccioso o a una distensión excesiva del pulmón. La laceración del parénquima por el trauma forma un espacio ovoideo que se rellena de aire y/o sangre1. Su incidencia es del 3%1 y es más frecuente a edades tempranas. Plantea el diagnóstico diferencial con enfermedades infecciosas, quistes congénitos o malformaciones adenoides quísticas. Los antecedentes de traumatismo y las contusiones pulmonares orientan al neumatocele2. Suele resolverse espontáneamente. El tratamiento va dirigido a asegurar la correcta oxigenación y se utilizará antibioterapia si hay sospecha de infección secundaria con formación de abscesos.



