metricas
covid
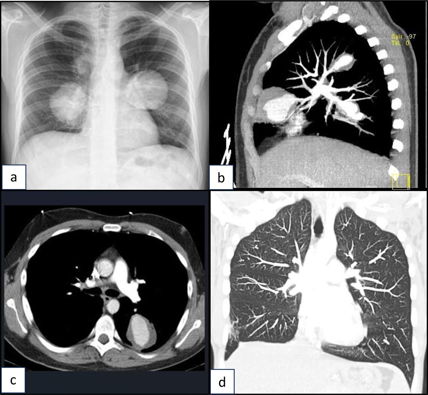
Open Respiratory Archives Hemoptysis in a Young Man with Behçet’s Disease
Journal Information
Article type: Clinical Image
Full text access
Pre-proof, online 26 December 2025
Hemoptysis in a Young Man with Behçet’s Disease
Visits
22
Ana Fernandesa,
Corresponding author
rita_fernandes80@hotmail.com

Corresponding author: Pulmonology Department, Algarve Local Health Unit, Faro, Portugal, Rua Leão Penedo, 8000-836 Faro, Portugal
, Nuno Santosb, Miguel Castrob
a Pulmonology Department, Algarve Local Health Unit, Faro, Portugal
b Radiology Department, Algarve Local Health Unit, Portimão, Portugal
This item has received
Download PDF