covid
Medicina Universitaria Emerging pathogens in the central nervous system: a cerebral abscess by Streptoc...
Journal Information
Vol. 16. Issue 65.
Pages 177-180 (October 2014)
Vol. 16. Issue 65.
Pages 177-180 (October 2014)
Full text access
Emerging pathogens in the central nervous system: a cerebral abscess by Streptococcus porcinus
Visits
5987
Daniel Martínez-Bustamantea, Samuel Pérez-Cárdenasa, Mauricio Arteaga-Treviñoa, Ángel Raymundo Martínez-Ponce de Leóna
a Neurosurgery and Neurologic Endovascular Therapy Service, “Dr. José Eleuterio González” University Hospital, UANL, Monterrey, Nuevo León, México
This item has received
Article information
Abstract
Full Text
Bibliography
Download PDF
Statistics
Figures (4)
Show moreShow less

Brain abscesses can cause an incapacitating neurological deficit in up to 50% of patients, thus the reduction of these sequelae becomes the main goal of its timely and specific surgical and medical treatment. With technological advances in bacteriological identification and diagnostic imaging, the clinical suspicion can be confirmed, and the specific etiological agent can be identified in a larger number of cases. New pathogens have emerged through this process, such as Streptococcus porcinus, in which the ability to affect the central nervous system has not been documented.

A clinical case is presented of a brain abscess in an immunocompetent patient, and its favorable response to surgical drainage through a skull burr hole and needle aspiration with antibiotic therapy (ceftriaxone, metronidazole and vancomycin) is discussed.

Keywords:
Brain abscess
Streptococcus
Emerging infectious disease
Full Text

Introduction

Brain abscesses are supurative, focal intracranial infections, which start as a localized area of cerebritis in the parenchyma, and become collections of purulent material wrapped inside a highly vascularized capsule.1 Its incidence in the United States is between 1500 and 2000 cases a year. It is estimated to be a higher number in developing countries.2 The causes may vary depending on the patient’s socioeconomic conditions and his/her location, for instance, in underdeveloped countries otogenic infections are the most common; additionally, in 25% to 38% of the cases the source is unknown, thus classifying it as “cryptogenic”. Signs and symptoms are not specific for this pathology; patients develop headaches and fevers, and show decreased consciousness, nausea and/or vomiting as well as seizures. A key point for patient treatment is the pathogen identification through a culture of the obtained material after performing surgical drainage of the abscess. Isolated microorganisms are frequently Streptococcus and Staphylococcus strains, however, it is common to find multiple organisms. Nevertheless the range of negative results in cerebral abscess cultures may be up to 34%.2

An emerging infectious disease (EID) is an infectious disease whose incidence has increased in the past 35 years and is projected to increase in the future.3 EIDs are caused by identified infectious species or strains that may be part of an already known infection (i.e. Influenza) or that is disseminating in a new population. Below, we present an emerging pathogen, which until now hadn’t occurred in the central nervous system, as well as the patient’s surgical treatment and evolution.

Case presentation

The patient was a 38-year-old male, construction worker, from a rural community —lacking drinking water and a sewage system— called Galeana, in Nuevo León, Mexico, with a low socio-economic level, occasional alcoholism, with a history of second-degree electrical burns on face and both hands seven months prior to his hospital admission. His symptoms began with a holocranial headache of moderate intensity and left upper limb monoparesis; due to this he went for a consultation at a first-level hospital in his community, where he was referred to a second-level hospital and a cranial CT scan were performed. Next he was referred to our hospital’s Emergency Department where he was assessed 48 h after the onset of symptoms, the intensity of his headache having increased and adding an altered state of consciousness. During physical and neurological examination the patient scored 14 points on the Glasgow coma scale. He was somnolent, with isocoric pupils at 3 mm and a normal response to luminous stimulus. He also suffered from left VII cranial nerve supranuclear palsy, uneven left-sided hemiparesis 4/5 superior on the Lovett scale and inferior Barre sign, left pyramidal syndrome. His sensitive and vestibular-cerebellar systems were unaltered.

On cranial CT scan, we were able to observe a right parietal heterogeneous lesion in the motor cortex with an approximate volume of 5 mL with a perilesional vasogenic edema, involving folds and grooves, with a respected mid-line and ventricular system and a basal cistern without alterations, bone lesions or fractures.

On brain MRI, we were able to observe a hyperintense lesion in the right parietal on T2, isointense on T1, with a perilesional edema without restricted diffusion. In the gadolinium contrast-enhanced sequence, we were able to see the characteristic “ring-shaped” lesion (figure 1).

Figure 1 Gadolinium contrast-enhanced sequence magnetic resonance imaging, with an intracerebral lesion on the right parietal lobe which shows the “ring shape”.

Under the diagnostic suspicion for cerebral abscess, medical surgical treatment consisted of draining the abscess through a small transcortical incision via a temporal skull burr hole (22 mm diameter) and needle aspiration. After we performed the procedure, we obtained 20 mL of dark green purulent fluid. We reported the immediate Gram stain with positive cocci Gram stain, abundant polymorphonuclears and scarce limphocytes (figure 2). The final culture report isolated S. porcinus; the antibiogram was not performed because the bacteria perished.

Figure 2 Puncture and drainage of the abscess by temporal skull burr hole showing purulent liquid.

The patient’s postoperative evolution was satisfactory, left fascio-corporal weakness remained with the same characteristics and pyramidal syndrome. We began antibiotic therapy with 2 g of ceftriaxone every 12 h, 1 g of vancomycin every 12 h, and 500 mg of metronidazole every 8 h, also 8 mg of dexamethasone every 8 h and 100 mg of phenytoin every 8 h. All medications were administered intravenously.

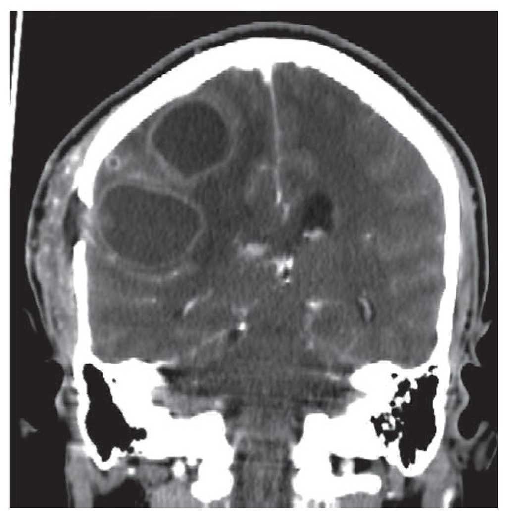
We performed a cranial CT scan with contrast 10 days after surgery, where we were able to see an abscess recurrence and an increment in size to 15 mL (figure 3). The patient remained in the same clinical condition during that period of time. We decided to perform a second surgery consisting of a right parietal burr hole (22 mm) and reopening of the initial right temporal burr hole for abscess needle aspiration, obtaining 15 mL of yellowish green purulent fluid from the parietal burr hole and 12 mL of hematic fluid mixed with dark green purulent fluid from the temporal skull burr hole.

Figure 3 Contrasted coronal computerized tomography scan with bilobed recurrent abscess.

The patient continued with the same antibiotic scheme for 15 days then we stopped vancomycin as indicated by the Infectious Diseases Service, continuing the ceftriaxone and metronidazole scheme at the same dosage for 8 weeks. We performed a brain CT scan with contrast and we observed cerebral abscess resolution with a minor residual vasogenic edema in the surgical area (figure 4). The patient was discharged alert and conscious without superior mental function alterations, isocoric and normoreactive pupils, left VII cranial nerve supranuclear palsy, and left upper limb monoparesis characterized by a Mingazzini sign, left hemibody hyperreflexia, hemodynamically stable, afebrile and tolerating an oral diet.

Figure 4 Contrasted computerized tomography scan with abscess drainage, empty capsule shown.

Discussion

Emerging and re-emerging diseases have been the focal point during the last decade because of technological advances to make a diagnosis, either in the field of imaging studies or in new laboratory and bacteriological techniques, all this in order to increase our ability to identify the pathogens causing the diseases in a timely manner, and implement appropriate therapies and preventative measures to impede the spread of a condition or disease to dimensions that go from an epidemic outbreak to a pandemic. S. porcinus is a Streptococcus beta-hemolytic of the Lancefield groups E, P, V, U, NG1 (A1, C1), NG2 and NG3, first isolated from a pig in 1937 and formally described in 1984.4 The pig has been established as its main reservoir, however it has been isolated from other animals such as sheep, rabbits, dogs and cows, colonizing the upper airway and the genitourinary tract, causing supurative infections like lymphadenitis, pneumonia, cellulitis and septicemia. It has also been related to endocarditis and miscarriages.5,6

Isolation documentation of S. porcinus in human sources is rare and has been linked mainly to genitourinary tract infections in women who are at a reproductive age. Since 1960 there have been 32 reported cases in humans; 22 in women, 3 in men and 7 in which gender was not documented, 18 being isolated in the genitourinary tract (amniotic fluid, placenta, cervix, vagina or urine), 6 from wounds, 3 in blood and 1 from the navel, leaving 4 in which no isolation place was reported.5,7 Related infections to this pathogen included chorioamnionitis or postpartum endometritis, cellulitis and septicemia. However, the transmission mechanism of this bacteria is not clear, and up to this moment it is believed to colonize the genitourinary tract due to alterations in the vaginal flora and by contact, because in two of the isolations in wounds it was in people who were in contact with pork at the workplace.

We reported the first clinical case in our institution of a brain abscess (in which S. porcinus was isolated) in an immunocompetent patient. Because we didn’t have specific scientific documentation about the infection in the central nervous system by this agent, we followed the basic principles of cerebral abscess treatment when this met surgical criteria8, deciding to perform a surgical drainage through a skull burr hole of the lesion and not a craniotomy (the patient’s clinic’s first choice) due to the experience in our service and the opinion of the Infectious Diseases Service, who indicated effective antibiotics against this pathogen, taking into account its bacteriological group, because a mortality rate of 10% and disabling neurological deficits in up to 45% of patients has been established.9

Cerebral intraparenchymal abscesses are a common entity in neurosurgical practices. Nevertheless, the pathogen spectrum that may cause infection in the central nervous system is wide and has expanded through the years for different reasons such as HIV infections and patients who undergo organ transplants which require pharmacological immunosuppression for prolonged periods of time. Another important aspect is the evolution of bacteriological identification techniques which have also made more efficient and expedited treatments in immunocompetent as well as immunosuppressed patients possible; this is of great help to continue reducing morbidity associated with this condition.

In conclusion, the treatment was effective in accomplishing the healing of a patient infected by an uncommon pathogen. It is important to highlight the fact that as far as we were concerned, there hadn’t been a report of its isolation in brain tissue. On the other hand, we must encourage the sharing of this information, because there is the potential risk of a new strain of microorganisms that may appear as an emerging disease and cause outbreaks, or even pandemics.


Received: January 2014;

Accepted: March 2014

*Corresponding author:

Servicio de Neurocirugía y Terapia Endovascular Neurológica,

Hospital Universitario “Dr. José Eleuterio González”,

UANL, Ave. Francisco I. Madero y Ave.

Gonzalitos s/n, Col. Mitras Centro,

C.P. 64460 Monterrey, Nuevo León, México.

E-mail address:
angel-marcelo@yahoo.com (A.R. Martínez Ponce de León).

Bibliography
[1]
Management of bacterial brain abscesses. Neurosurg Focus. 2008;24:E4.
[2]
Abscesos cerebrales piógenos. Rev Inst Nal Neurol Neurocir. 1975;3:13-29.
[3]
Risk factors for human disease emergence. Philosophical Transactions of the Royal Society B. 2001;356:983-9.
[4]
Brain abscess: clinical experience and analysis of prognostic factors. Surg Neurol. 2005;63:442-50.
[5]
Taxonomic studies on streptococci of serological groups E, P, U and V: description of Streptococcus porcinus sp. nov. Syst Appl Microbiol. 1984;5:402-13.
[6]
Epidemiological, biochemical and antimicrobial susceptibility characteristics of Streptococcus pseudoporcinus isolated in Quebec, Canada, from 1997 to 2006. J Med Microbiol. 2007;56:1620-4.
[7]
Phenotypic and genotypic characteristics of Streptococcus porcinus isolated from human sources. J Clin Microbiol. 2005;43:4592-601.
[8]
Identification of Streptococcus porcinus from human sources. J Clin Microbiol. 1995;33:385-8.
[9]
Handbook of neurosurgery. 6th ed. New York: Thieme; 2006. p. 217-25.
Download PDF
Article options
Tools