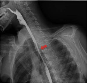
A 20-year-old man presented with chest pain and fever. Computed tomography of the chest showed a fusiform paravertebral mass measuring 27 × 30 × 100 mm indicative of a superinfected collection (Fig. 1). An oesophageal transit study with Gastrografin® ruled out perforation (Fig. 2). A decision was made to administer antibiotic therapy and perform a surgical examination given the evidence of superinfection. Intraoperative oesophagogastroduodenoscopy revealed, 30−36 cm from the dental arch, whitish oesophageal mucosa with haemorrhagic suffusion, a mass effect and two orifices draining a purulent fluid (Fig. 3). Right lateral thoracoscopy revealed thickening of the oesophageal wall, with no evidence of cyst formation. On subsequent imaging tests, the collection was seen to gradually shrink and then disappear. Oesophageal biopsies in follow-up oesophagogastroduodenoscopy yielded no histological findings.
Oesophageal intramural dissection consists of laceration of the mucosa, resulting in longitudinal dissection that separates the mucosa from the submucosa.1,2 In a contained perforation, the muscle layer remains intact.1–3 Microorganisms can breach the lacerated mucosa and complicate the situation with an intramural oesophageal abscess.1 This finding is rare and usually iatrogenic in patients on anticoagulation therapy.1,2 However, we have reported an idiopathic case in a young patient with no history of endoscopic manipulation, vomiting or trauma. Imaging tests may show a double-lumen oesophagus or, as in this case, a hypodense paraoesophageal collection.1
Please cite this article as: Díaz Alcázar MdM, Martín-Lagos Maldonado A, Mundi Sánchez-Ramade JL, García Robles A. Absceso intramural esofágico por disección mucosa y perforación esofágica contenida. Gastroenterol Hepatol. 2022;45:144–145.






