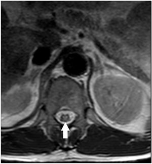
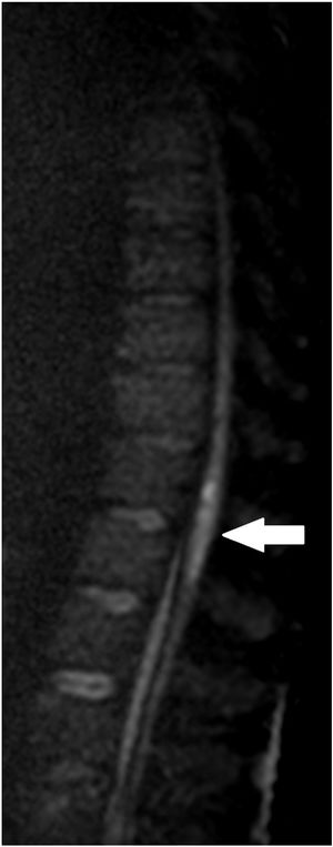
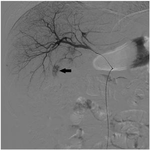
We present the case of a 63-year-old man with liver cirrhosis of mixed aetiology (alcoholic and hepatitis C virus infection) and a diagnosis of a 14-mm hepatocarcinoma in segment III and 40 mm in segment VI. Transarterial chemoembolisation (TACE) of hepatocellular carcinoma was performed by super-selective catheterisation of the feeding arteries of the tumour nodules and they were embolised with doxorubicin (DC-Beads 100−300 μ and 300−500 μ) (Fig. 1). Following the procedure, he developed symptoms consistent with urinary retention, paraesthesia and paresis in both lower limbs with the inability to walk. In the emergency thoracolumbar MRI performed due to suspected spinal cord ischaemia after TACE, an increased signal was observed in the distal portion of the cord and the conus medullaris with moderate restriction in the diffusion sequence (Figs. 2–4), possibly related to an acute ischaemic injury at the level of T11, which was confirmed. Following rehabilitation, the patient was discharged with preserved ambulation.
TACE is based on the almost exclusively arterial vascularisation of the hepatocarcinoma.1 In our patient, the clinical symptoms were accounted for by the existence of an artery feeding the tumour collaterally to one of the spinal arteries that supply the spinal cord, with the chemotherapeutic material entering the spinal cord and inducing unusual transient acute spinal cord ischaemia.
Conflicts of interestThe authors declare that they have no conflicts of interest.







