Nontuberculous mycobacteria (NTM) are a very heterogeneous group, which includes more than 270 species.1 Over the last 10 years, NTM infections have been on the increase. This is particularly true of Mycobacterium malmoense in Northern Europe,2 although it remains very rare in other parts of the world. We present a case of septic arthritis of the wrist due to Mycobacterium malmoense.
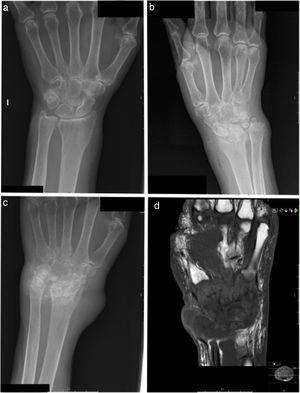
This was a 74-year-old woman from Galicia with no history of travel abroad who lived in a rural environment, but had no domestic animals. Three years previously she had been diagnosed with seronegative rheumatoid arthritis after an episode of oligoarthritis, treated with methotrexate (22.5 mg/week) and prednisone (10 mg/day). Since the onset of the disease, the patient had suffered from discomfort, mainly in the left wrist, with an initially normal X-ray (Fig. 1A). She consulted for pain and swelling of the left wrist, and X-ray showed polyarthritis of the carpus and radiocarpal joint (Fig. 1B); etanercept (50 mg/week) was added to her treatment, with clinical improvement. Eight months later the patient was admitted for arthritis of the left wrist with spontaneous discharge of exudate; she had not previously had infiltration and had not suffered trauma. Her C-reactive protein (CRP) was 1.7 mg/l, with an erythrocyte sedimentation rate (ESR) of 6 mm/h. X-ray (Fig. 1C) and arthrocentesis were performed, with release of purulent fluid; there was no bacterial or fungal growth in cultures and she was treated empirically with levofloxacin (500 mg/day) and rifampicin (600 mg/day). Three weeks later, she was readmitted for a large swelling on her wrist with purulent drainage through three fistulas. MRI (Fig. 1D) showed severe involvement of the carpal bones, with heterogeneous fluid collection on the dorsal aspect; antibiotic therapy was discontinued and surgical debridement was performed with release of caseous material. In all intra-surgical specimens the auramine stain was positive, with the presence of acid-fast bacilli. Molecular detection of the genome of Mycobacterium tuberculosis complex was performed (Cepheid Xpert MTB/RIF, USA). The result was negative; suspected MNT infection was treated with rifampicin (150 mg)/isoniazid (75 mg)/pyrazinamide (400 mg)/ethambutol (275 mg; 3 tablets/day), linezolid (600 mg/12 h) and levofloxacin (500 mg/24 h). Three weeks later, Mycobacterium malmoense grew in all the samples, with identification by Genotype Mycobacterium CM/AS (Bruker, Germany), subsequently confirmed by sequencing (rpo®). Antibiogram (Sensititre SLOMYCO, Thermo Fisher, Germany) showed resistance to isoniazid and streptomycin and sensitivity to rifampicin, ethambutol, clarithromycin, moxifloxacin and amikacin. The treatment was changed to rifampicin (450 mg/24 h) and ethambutol (800 mg/24 h). The patient required further surgical cleaning of the wound on two more occasions and made good progress. She attended a check-up six months after starting treatment, with no inflammatory findings on examination, and continued treatment with rifampicin and ethambutol. Follow-up was subsequently lost due to the patient's death from causes unrelated to the infection.
(A) Normal X-ray. (B) X-ray of bone showing polyarthritis at the carpus and radiocarpal joint; joint with synovial calcifications. (C) Follow-up bone X-ray eight months after image B; progression of joint damage can be seen, with bone involvement suggesting osteomyelitis. (D) Magnetic resonance imaging. T1-weighted image with contrast shows widespread severe damage in all carpal bones, distal ulna and radius and second to fifth metacarpals, as well as synovial thinning in all carpal joints, with a heterogeneous fluid collection on the dorsal aspect of the wrist.
Mycobacterium malmoense was first isolated in 1954 in Malmo (Sweden) and the first infection was described in 1977 by Sroder and Juhlin.2 It is a slow-growing environmental microorganism isolated from water and soil.3 The most common NTM is Mycobacterium avium complex, but in recent years the incidence of M. malmoense infection has been increasing, especially in northern Europe, where it is the second most common NTM.4
M. malmoense is most often associated with cervical lymphadenitis in children and respiratory infections in adults. It is usually isolated from respiratory samples, with clinical relevance in 70–80% of cases.3 Lung involvement is similar to tuberculosis, and risk factors are chronic obstructive pulmonary disease, bronchiectasis, cystic fibrosis, chest disease, HIV infection and other immunosuppressive conditions.3,4 Extrapulmonary involvement occurs in 21% of cases,4 being exceptional in adults, but common in children in the form of mild lymphadenitis. Cases of tenosynovitis have been reported, but only five cases of septic arthritis, all of them with comorbidities and/or on immunosuppressive treatment.5–9 Our case stands out for the severity of the osteoarticular involvement and the previous treatment with etanercept. Anti-TNF-alpha drugs are not only associated with a greater risk of TB infection, but also with a higher risk of NTM infection, with an increased prevalence in areas where TB is not endemic. In these cases, NTM infection has an increased risk of extrapulmonary involvement, including osteoarticular and/or disseminated disease.10
The treatment regimen is not well defined; most strains of M. malmoense are sensitive to ethambutol and some to rifampicin. Debridement was performed in all reported cases of arthritis. Three patients received ethambutol-rifampicin-clarithromycin, one ethambutol-clarithromycin and one rifampicin-clarithromycin. The duration of treatment was 18–24 months.5–9
The case we present here highlights the need to consider NTM, including emerging species such as M. malmoense, in the differential diagnosis of arthritis, especially in patients on immunosuppressive therapy or with comorbidities. Clinical suspicion and effective sampling and processing are necessary for early diagnosis, with the aim of reducing morbidity, joint destruction and consequent loss of function.
FundingNo funding was received.
AuthorshipAll authors made intellectual contributions to the article and approved the final version thereof.
Conflicts of interestThere are no conflicts of interest.
To Ana María Rodríguez Rey of the Microbiology Department for her help.




