metricas
Enfermedades Infecciosas y Microbiología Clínica (English Edition) Corynebacterium kroppenstedtii and granulomatous mastitis: The importance of rec...
Journal Information
Visits
421
Vol. 44. Issue 3.
(March 2026)
Brief report
Full text access

Corynebacterium kroppenstedtii and granulomatous mastitis: The importance of recognizing when normal flora matters

Corynebacterium kroppenstedtii y mastitis granulomatosa. La importancia de saber valorar cuando la flora habitual se convierte en un problema
Visits
421
María Lezaun Andreua,
Corresponding author
mlezaun@salud.aragon.es

Corresponding author.
, Belén María Lambán Pera, Paula Martín Solerb, Andrea Carilla San Románb, Amparo Boquera Alberta, Juan Manuel García-Lechuz Moyac
a Servicio de Microbiología y Parasitología del Hospital Universitario Miguel Servet, Spain
b Servicio de Anatomía Patológica del Hospital Universitario Miguel Servet, Spain
c Sección de exudados, Laboratorio de Microbiología y Parasitología, Hospital Universitario Miguel Servet y Departamento de Microbiología, Facultad de Medicina de la Universidad de Zaragoza
This item has received
Article information
Abstract
Full Text
Bibliography
Download PDF
Statistics
Figures (1)
fig0005
Tables (1)
Table 1. Clinical data.
Tables
Abstract
Introduction

Corynebacterium kroppenstedtii is a gram-positive, non-spore-forming, non-motile, lipophilic bacillus that belongs to the normal human skin flora. Granulomatous mastitis is a benign inflammatory breast condition with a complex diagnosis and treatment. Numerous studies have linked C. kroppenstedtii to granulomatous mastitis.

Methods

We conducted a clinical review on three patients with granulomatous mastitis caused by C. kroppenstedtii, identified by MALDI-TOF MS. We tested antibiotic susceptibility combining both disk diffusion and gradient diffusion assays, following EUCAST and CLSI guidelines.

Results

In all three cases, C. kroppenstedtii was isolated in pure culture. Antibiotic susceptibility results were similar for most antibiotics, with variable susceptibility to clindamycin and tetracycline.

Conclusions

These three cases support the role of C. kroppenstedtii in the etiopathogenesis of granulomatous mastitis highlighting the importance of evaluating is isolation in patients with this disease.

Keywords:
Corynebacterium kroppenstedtii
Granulomatous mastitis
Breast infection
Lipophilic bacteria
Targeted therapy
MALDI-TOF MS
Microbiological diagnosis
Resumen
Introducción

Corynebacterium kroppenstedtii es un bacilo gram positivo, no esporulado, inmóvil y lipofílico que forma parte de la flora habitual de la piel humana. La mastitis granulomatosa es una infección inflamatoria benigna de la mama cuyo diagnóstico y tratamiento son complejos. Son numerosos los estudios que relacionan a Corynebacterium kroppenstedtii con esta patología.

Métodos

Se realizó una revisión clínica de tres pacientes con mastitis granulomatosa por Corynebacterium kroppenstedtii, identificado mediante MALDI-TOF MS y se testó la sensibilidad antibiótica combinando métodos disco-placa y tiras de gradiente de difusión siguiendo criterios EUCAST y CLSI.

Resultados

En los tres casos se aisló en cultivo puro Corynebacterium kroppenstedtii y los resultados de sensibilidad fueron similares en la mayoría de antibióticos, exceptuando una sensibilidad variable a clindamicina y tetraciclina.

Conclusiones

Corynebacterium kroppenstedtii es un microorganismo implicado en la etiopatogenia de la mastitis granulomatosa y su aislamiento debe valorarse en pacientes afectadas por esta patología.

Palabras clave:
Corynebacterium kroppenstedtii
Mastitis granulomatosa
Infección mamaria
Bacteria lipofílica
Terapia dirigida
MALDI-TOF
Diagnóstico microbiológico
Full Text
Introduction

Corynebacterium kroppenstedtii is a gram-positive, facultatively anaerobic, non-spore-forming, non-motile, lipophilic bacillus that ferments glucose and belongs to the normal human skin flora.1,5,12 Granulomatous mastitis is a rare, benign, chronic inflammatory condition of the breast characterized by non-caseating granulomas in the mammary lobules, sometimes accompanied by microabscesses.5,12 It management is challenging as it represents a multifactorial clinical entity frequently associated with autoimmune disorders, pregnancy and breastfeeding.1,7,12 In recent years, numerous studies have highlighted the association between this condition and C. kroppenstedtii, underscoring its clinical relevance and the need for accurate microbiological identification.1,10–15Paviour et al. first reported the identification of C. kroppenstedtii as a causative agent of granulomatous mastitis in 2002 in Polynesian women.3 Since then, multiple studies have reinforced its role in the pathogenesis of this condition.1,10–15 As a member of the lipophilic corynebacteria, due to the lack of mycolic acids in its cell wall, C. kroppenstedtii is capable of surviving within lipid vacuoles of breast tissue.1–5 This affinity suggests the use of antibiotics with high tissue distribution and lipid solubility, such as ciprofloxacin, doxycycline, linezolid, clindamycin, and trimethoprim–sulfamethoxazole.2–4 Although most isolates are susceptible to commonly used antibiotics, resistance to penicillin, imipenem, erythromycin, clindamycin, and TMP–SMX has been documented.1,10

Other species of Corynebacterium have also been reported in cases of granulomatous mastitis, including C. amycolatum (Paviour et al.3) and C. tuberculostearicum (Paviour et al.3; Hara et al.4). However, the majority of studies still focus on C. kroppenstedtii as the predominant species associated with this condition.

This study aims to highlight the clinical relevance of C. kroppenstedtii in granulomatous mastitis and underscore the importance of accurate microbiological diagnosis to guide appropriate and early-targeted therapy.

Methods

We reviewed three clinical cases of women diagnosed with granulomatous mastitis in which C. kroppenstedtii was isolated. All cases were diagnosed in our hospital during the period 2024–2025. We collected clinical data including age, presenting and accompanied symptoms, pregnancy status, breastfeeding, hospital admission, surgical procedures, antibiotic therapy, use of corticoids and outcome. The local ethics committee approved the study (CEICA).

We received breast tissue samples obtained by fine needle aspiration. We performed Gram staining and bacterial cultures using Columbia blood agar (5%), chocolate agar incubated under 5% CO2 at 35°C, Schaedler agar in anaerobic conditions, and thioglycolate broth for enrichment. The identification was achieved using MALDI-TOF MS (Bruker®) and our database corresponds to HighFlexX v 2.9.1.615. Antimicrobial susceptibility was assessed using disk diffusion for penicillin, ciprofloxacin, moxifloxacin, vancomycin, clindamycin, tetracycline, linezolid and rifampicin. The interpretation was carried out following EUCAST Clinical Breakpoint Tables v 15.0.8

We also check antimicrobial susceptibility for gentamycin and trimethoprim–sulfamethoxazole performing diffusion gradient assay. The interpretation was completed following CLSI breakpoints Tables 2015, M45, 3rd ed.9

Finally, we performed histopathological analysis on tissue samples from all three patients.

Results

We studied three cases of granulomatous mastitis attributable to C. kroppenstedtii. We collected clinical data and summarized them in Table 1.

Table 1.

Clinical data.

Characteristic  Case 1  Case 2  Case 3 
Age  26  29  49 
Presenting symptom  Lump in left breast  Lump in right breast  Pain in left breast 
Accompanied symptoms  Tenderness on palpation, redness, and local warmth  Tenderness on palpation and local warmth  Redness and local warmth 
Fever  Yes  No  No 
Pregnancy status  Yes  No  No 
Breastfeeding history  No  No  Yes 
Hospital admission required  Yes  No  No 
Surgical intervention  After multiple drainages mastectomy was performed  Single drainage  Multiple drainages 
Final diagnosis  Granulomatous mastitis  Granulomatous mastitis  Granulomatous mastitis 
Changes in antibiotic therapy  6 times  1 time  5 times 
Targeted antibiotic  None  Clindamycin  Ciprofloxacine 
Use of corticoids  Prednisone  No  No 
Negative samples after resolution  No  Yes  Yes 
Comorbidities  No  No  No 
Immunosuppression  No  No  No 
Clinical resolution  After mastectomy  Complete resolution  Complete resolution 

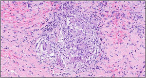
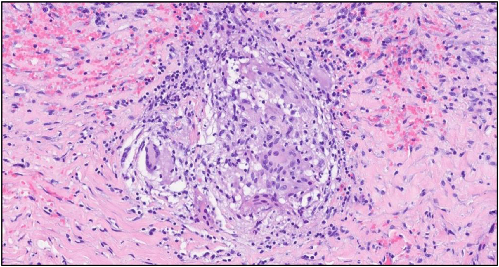
Histological examination revealed granulomas with multinucleated giant cells associated with lipid vacuoles, a fibrous stroma, lymphohistiocytic infiltration, and red blood cell extravasation (see Fig. 1).

Fig. 1.

Histological section of breast tissue from the first case.

From the microbiology laboratory, we observed numerous polymorphonuclear cells in the Gram stain and only in case 3, we saw coryneform gram-positive bacilli. After 48h of incubation at 35°C on blood agar, smooth, round, grey, non-hemolytic, immobile colonies were isolated. MALDI-TOF MS identified C. kroppenstedtii in all three cases (scores obtained 1.87, 2.41 and 1.99, respectively). Antibiotic susceptibility testing showed resistance to penicillin and gentamycin, variable susceptibility to clindamycin and tetracycline, and consistent susceptibility to vancomycin, ciprofloxacin, moxifloxacin, trimethoprim–sulfamethoxazole, linezolid, and rifampicin.

Conclusions

This study reinforces the clinical evidence of an existing relationship between C. kroppenstedtii and granulomatous mastitis. The data show that factors such as pregnancy and breastfeeding are associated with a worse disease progression. This may be explained by the elevated levels of progesterone, estrogen, and prolactin during these periods, which create an environment that promotes inflammation and granuloma formation.1,2,5,7

We decided to report these three cases because this organism is still often considered a contaminant when isolated in the microbiology laboratory. However, evidence suggests otherwise. Urbaniak et al. showed that Corynebacterium species are rarely recovered from healthy breast tissue, and Johnstone et al. demonstrated their presence deep in breast tissue within granulomatous inflammation, supporting a true pathogenic role.13,14 These findings reinforce the importance of recognizing C. kroppenstedtii as a clinically relevant pathogen rather than dismissing it as contamination.

We also wanted to emphasize the importance of an accurate microbiological diagnosis to guide clinicians toward the most appropriate treatment once antibiotic susceptibility results are available. In these cases, the importance of using lipophilic antibiotics should be highlighted, given the lipophilic nature of C. kroppenstedtii and their improved penetration into breast tissue.

Finally, we consider necessary the publication of additional cases of granulomatous mastitis caused by C. kroppenstedtii and their antibiotic management, in order to increase awareness of this pathogen and provide guidance for optimal therapeutic strategies.

CRediT authorship contribution statement

All authors participated significantly in the preparation of the manuscript, meeting the audit criteria established by the International Committee of Medical Journal Editors.

MLA carried out the analysis and processing of all relevant data, as well as the writing of the article. BMLP and ABA supported the lead author in writing and organizing the data. JMGLM, the faculty member in charge of the section, developed the idea and design of the article and reviewed and corrected the work prepared by MLA.

PMS and ACSR contributed to the understanding and interpretation of the data provided by the Pathology Department, as well as to the contribution of a multidisciplinary approach.

Ethical considerations

This study was conducted in accordance with the ethical principles set out in the Declaration of Helsinki and current national regulations.

For the review of the patients’ medical records and the processing of their data, authorization was requested from the Research Ethics Committee of the Community of Aragon (CEICA), who reviewed and approved the research under the reference number (C.I. PI25/333).

The confidentiality and anonymity of the information analyzed was guaranteed at all times.

Informed consent

This study was conducted through a retrospective review of medical records, without direct intervention with the patients. The principles of confidentiality and personal data protection regulations were respected at all times. Since there was no direct contact with the patients and no additional procedures were performed, the requirement for informed consent was waived.

Declaration of generative AI and AI-assisted technologies in the manuscript preparation process

During the preparation of this work the authors used ChatGPT (OPEN AI) in order to assist in language editing, sentence formulation and organization of the manuscript text. After using this tool/service, the authors reviewed and edited the content as needed and take full responsibility for the content of the published article.

Funding

This article was not funded.

Conflict of interest

There is no conflict of interest.

References
[1]
N. Sanchez Eluchans, C. Barberis, R. Cittadini, et al.
Infecciones mamarias por Corynebacterium kroppenstedtii: comunicación de 4 casos.
Rev Argent Microbiol, 53 (2021), pp. 304-308
[2]
S. Li, Q. Huang, P. Song, et al.
Clinical characteristics and therapeutic strategy of granulomatous mastitis accompanied by Corynebacterium kroppenstedtii: a retrospective cohort study.
BMC Womens Health, 23 (2023), pp. 388
[3]
S. Paviour, S. Musaad, S. Roberts, et al.
Corynebacterium species isolated from patients with mastitis.
Clin Infect Dis, 35 (2002), pp. 1434-1440
[4]
Q. Luo, Q. Chen, J. Feng, et al.
Classification of 27 Corynebacterium kroppenstedtii-like isolates associated with mastitis in China and descriptions of C. parakroppenstedtii sp. nov. and C. pseudokroppenstedtii sp. Nov.
Microbiol Spectr, 10 (2022),
[5]
C. Tan, F.I. Lu, P. Aftanas, et al.
Whole genome sequence of Corynebacterium kroppenstedtii isolated from a case of recurrent granulomatous mastitis.
[6]
Q. Zhang, S. Wu, P. Song, et al.
Antibiotic resistance and resistance mechanism of Corynebacterium kroppenstedtii isolated from patients with mastadenitis.
Eur J Clin Microbiol Infect Dis, 42 (2023), pp. 525-528
[7]
A. Tauch, I. Fernández-Natal, F. Soriano.
A microbiological and clinical review on Corynebacterium kroppenstedtii.
Int J Infect Dis, 48 (2016), pp. 33-39
[8]
Clinical and Laboratory Standards Institute.
Methods for Antimicrobial Dilution and Disk Susceptibility Testing of Infrequently Isolated or Fastidious Bacteria, M45.
3rd ed., Clinical and Laboratory Standards Institute, (2015),
[9]
The European Committee on Antimicrobial Susceptibility Testing.
Breakpoint Tables for Interpretation of MICs and Zone Diameters. Version 15.0.
(2025),
[10]
H.C. Dobinson, T.P. Anderson, S.T. Chambers, M.P. Doogue, L. Seaward, A.M. Werno.
Antimicrobial treatment options for granulomatous mastitis caused by Corynebacterium species.
J Clin Microbiol, 53 (2015), pp. 2895-2899
[11]
Brouwer de Koning IM, Lemson A, Renders NHM, et al. Inflammatory granulomatous mastitis caused by Corynebacterium kroppenstedtii: A clinical challenge: Challenge of C. kroppenstedtii induced mastitis. Clin Infect Pract. 3033;15:100147, https://doi.org/10.1016/j.clinpr.2022.100147
[12]
T. Hara, Y. Tanaka, M. Suzuki, et al.
Inflammatory granulomatous mastitis caused by Corynebacterium kroppenstedtii: a clinical challenge.
[13]
K.J. Johnstone, J. Robson, S.G. Cherian, J. Wan Sai Cheong, K. Kerr, J.F. Bligh.
Cystic neutrophilic granulomatous mastitis associated with Corynebacterium including Corynebacterium kroppenstedtii.
Pathology, 49 (2017), pp. 405-412
[14]
C. Urbaniak, J. Cummins, M. Brackstone, et al.
Microbiota of human breast tissue.
Appl Environ Microbiol, 80 (2014), pp. 3007-3014
[15]
T. Hara, H. Kitagawa, K. Tadera, et al.
Clinical and microbiological characteristics of granulomatous mastitis caused by Corynebacterium species: a case series.
J Infect Chemother, 31 (2025),
Copyright © 2026. The Author(s)
Article options
Tools