Cardiovascular calcification is an important public health issue with an unmeet therapeutic need. We had previously shown that lysyl oxidase (LOX) activity critically influences vascular wall smooth muscle cells (VSMCs) and valvular interstitial cells (VICs) calcification by affecting extracellular matrix remodeling. We have delved into the participation of LOX in atherosclerosis and vascular calcification, as well as in the mineralization of the aortic valve.
MethodsImmunohistochemical and expression studies were carried out in human atherosclerotic lesions and experimental models, valves from patients with aortic stenosis, VICs, and in a genetically modified mouse model that overexpresses LOX in CMLV (TgLOXCMLV). Hyperlipemia and atherosclerosis was induced in mice through the administration of adeno-associated viruses encoding a PCSK9 mutated form (AAV-PCSK9D374Y) combined with an atherogenic diet.
ResultsLOX expression is increased in the neointimal layer of atherosclerotic lesions from human coronary arteries and in VSMC-rich regions of atheromas developed both in the brachiocephalic artery of control (C57BL/6 J) animals transduced with PCSK9D374Y and in the aortic root of ApoE−/− mice. In TgLOXCMLV mice, PCSK9D374Y transduction did not significantly alter the enhanced aortic expression of genes involved in matrix remodeling, inflammation, oxidative stress and osteoblastic differentiation. Likewise, LOX transgenesis did not alter the size or lipid content of atherosclerotic lesions in the aortic arch, brachiocephalic artery and aortic root, but exacerbated calcification. Among lysyl oxidase isoenzymes, LOX is the most expressed member of this family in highly calcified human valves, colocalizing with RUNX2 in VICs. The lower calcium deposition and decreased RUNX2 levels triggered by the overexpression of the nuclear receptor NOR-1 in VICs was associated with a reduction in LOX.
ConclusionsOur results show that LOX expression is increased in atherosclerotic lesions, and that overexpression of this enzyme in VSMC does not affect the size of the atheroma or its lipid content, but it does affect its degree of calcification. Further, these data suggest that the decrease in calcification driven by NOR-1 in VICs would involve a reduction in LOX. These evidences support the interest of LOX as a therapeutic target in cardiovascular calcification.
La calcificación cardiovascular es un importante problema de salud pública para el que no se dispone de estrategias farmacológicas eficaces. Previamente habíamos demostrado que la actividad lisil oxidasa (LOX) influye de manera determinante en la calcificación de las células musculares lisas de la pared vascular (CMLVs) y las células intersticiales valvulares (VICs) a través de su impacto en el remodelado de la matriz extracelular. Hemos profundizado en la participación de la LOX en la aterosclerosis y la calcificación asociada, así como en la mineralización de la válvula aórtica.
MétodosSe realizaron análisis inmunohistoquímicos y de expresión en lesiones ateroscleróticas humanas y de modelos experimentales, válvulas de pacientes con estenosis aórtica, VICs y estudios en un modelo de ratón modificado genéticamente que sobreexpresa LOX en CMLV (TgLOXCMLV), en el que se indujo hiperlipemia y aterosclerosis mediante la administración de virus adenoasociados que codifican para una forma mutada de la PCSK9 (AAV-PCSK9D374Y) y dieta aterogénica.
ResultadosLa expresión de la LOX se incrementa en la neoíntima de lesiones ateroscleróticas de arterias coronarias humanas y en regiones ricas en CMLV de las placas de ateroma desarrolladas tanto en la arteria braquiocefálica de animales control (C57BL/6 J) transducidos con PCSK9D374Y como en la raíz aórtica de ratones ApoE−/−. En ratones TgLOXCMLV, la transducción con PCSK9D374Y no alteró significativamente el incremento de la expresión aórtica de genes implicados en el remodelado de la matriz, la inflamación, el estrés oxidativo y la diferenciación osteoblástica. La transgénesis de LOX no afectó al tamaño ni al contenido lipídico de las lesiones ateroscleróticas del arco aórtico, la arteria braquiocefálica y la raíz aórtica, pero exacerbó la calcificación de la íntima de las lesiones. Entre los isoenzimas de la familia de lisil oxidasas, la LOX es el miembro más expresado en válvulas de pacientes muy calcificadas, detectándose en células VICs positivas para RUNX2. La menor deposición de calcio y la disminución de RUNX2 causadas por la sobreexpresión del receptor nuclear NOR-1 en VICs, se asoció a una reducción de los niveles de proteína de LOX.
ConclusionesNuestros resultados muestran que la expresión de LOX está aumentada en lesiones ateroscleróticas, y que la sobreexpresión de este enzima en CMLV no afecta al tamaño ni al contenido lipídico de las lesiones pero sí a su grado de calcificación. Además, sugieren que la disminución de la calcificación inducida por NOR-1 en VICs estaría mediada por una reducción en nivel de LOX. Estas evidencias apoyan el interés de la LOX como diana terapéutica en la calcificación cardiovascular.
Cardiovascular calcification is a major public health concern that is characterised by the accumulation of calcium deposits in the form of hydroxyapatite crystals in the blood vessels and heart valves.1 This process leads to increased stiffness of the tissue; it alters its biomechanical properties and is accompanied by functional loss. Specifically, vascular calcification is associated with the development of atherosclerosis and could boost plaque instability, facilitating its rupture, and the appearance of cardiovascular events such as myocardial infarction or stroke,2 which is why the coronary calcium score is a predictive factor for cardiovascular events.3 Likewise, calcified aortic valve disease, which is the most common valve disease, leads to aortic stenosis that can compromise valve function and lead to heart failure.4,5 Despite the severe consequences of cardiovascular calcification and of its ever-greater prevalence due to populational aging, there are currently no efficacious drug treatments available that limit its progression, meaning that management of these patients consists largely of surgery or aortic valve substitution by transcatheter technology, which comprise expensive interventions.6 It is therefore essential that the mechanisms that drive the development of cardiovascular calcification be further elucidated so as to identify new treatment strategies.
Calcification is an active process that is regulated by means of similar mechanisms to those of bone mineralization and in which transdifferentiation of vascular smooth muscle cells (VSMC) and valvular interstitial cells (VIC) to an osteoblastic phenotype, inflammation, apoptosis, and oxidative stress, amongst others.7,8 A number of transcription factors are involved in the coordinated regulation of this process, including RUNX2 (Runt-related transcription factor 2), a critical factor in osteogenic transdifferentiation and mineralization,9,10 and the NOR-1 (neuron-derived orphan receptor-1) nuclear receptor, which has been implicated in the physiopathology of various cardiovascular diseases,11,12 and, more recently, in cardiovascular calcification.13 Similarly, remodelling of the extracellular matrix (ECM) has taken on particular relevance in cardiovascular calcification in the last several years. It has been posited that collagen fibres would act as a support in the process of mineralization and would guide hydroxyapatite crystal growth and deposition.14,15 In fact, recent studies indicate that the degree of ECM collagen fibre cross-linking has a crucial bearing on the mineralisation of the matrix and demonstrate the relevance of lysyl oxidase (LOX) activity in this process.16,17
The enzymes pertaining to the family of lysyl oxidases are responsible for the covalent cross-linking of collagen and elastin fibres in the ECM, and their activity dictates its biomechanical properties. This family consists of five members, LOX and four LOX-like enzymes (LOXL1-4), that catalyse a oxidative deamination reaction in lysine and hydroxylysine residues from collagen and elastin, yielding highly reactive semialdehydes that condense with each other to form intra- and intermolecular covalent bonds.18–21 We had previously documented the increased expression of LOX in calcified human valves and atherosclerotic lesions and that the action of LOX activity on the ECM contributes to the calcification of the VIC and of the VSMC.16,17 The current paper reports on the analyses performed on human atherosclerotic lesions and in experimental models, the valves of patients with aortic stenosis, VIC, as well as studies in a model in mice who have been genetically-modified to overexpress LOX in VSMC (TgLOXVSMC). We prove that LOX expression is high in atherosclerotic lesions and that when atherosclerosis is induced, the overexpression of LOX in VSMC in the TgLOXVSMC animals boosts mineralization of the intima, albeit it does not affect the size or lipid content of the lesions. Similarly, our results suggest that in VIC, lowering LOX levels would be responsible, at least partially so, for the decrease in the calcification provoked by the nuclear NOR-1 receptor.
Material and methodsStudies in human samplesCoronary artery samples were collected from the coronary arteries of hearts from cardiac transplantation procedures performed at the Hospital de la Santa Creu i Sant Pau (HSCSP). These samples were then fixed and processed for the immunohistochemical analyses. In the same way, samples of human aortic valves were obtained from individuals who underwent valve replacement at the HSCSP. Depending on their degree of calcification, the aortic valve samples were assigned into two categories: poorly calcified valves (PC), in which the calcified area was estimated to be less than 20% of the total area, and highly calcified valves (HC), in which the calcified area was judged to exceed 80%. The valves were used to isolate fresh VICs, and then frozen at −80 °C in order to later extract RNA or were processed for the immunohistochemical analyses. The use of these samples was approved by the Clinical Research Ethics Committee of the HSCSP (codes 12/267 and 19/267). All the studies involving human samples were carried out in accordance with the Declaration of Helsinki from 1975, revised in 2013, and written informed consent was obtained from either the patients themselves or their legal representatives.
Isolation, culture, and induction of calcification in VICThe leaflets of the aortic valves were washed in abundant PBS and cut into small fragments under sterile conditions that were digested with 1 mg/mL of collagenase II (LS004176, Worthington Biochemical, Lakewood, NJ, USA) dissolved in PBS for 1 h at 37 °C and constant stirring.13,17 Following digestion, the tissue was centrifuged for 5 min at a rate of 500 × g and the sediment obtained was resuspended in DMEM/F-12 medium supplemented with 20% of foetal bovine serum (FBS; Thermo Fischer Scientific, Waltham, MA, USA), 50 ng/mL of insulin, and 10 ng/mL of fibroblast 2 growth factor. The cells were seeded on on gelatine-coated plates and subcultured. To induce calcification, low pass (3–4) VICs were cultured in osteogenic medium (OM; DMEM 4 g/l glucose with 5% FBS, 2 mM Na2HPO4, and 50 mg/mL L-ascorbic acid) as has been previously outlined.13,17
Analysis of calcium deposition in VICIn order to visualize the calcium deposits in the ECM, the cultured VIC were stained using 1% Alizarin Red.13,17 Briefly put, after fixing the cells with 4% paraformaldehyde for
15 min, the 1% Alizarin Red solution was added and, 5 min later, the excess stain was eliminated with a copious amount of water.
Overexpression of NOR-1 in VIC by lentiviral transductionVICs were transduced with a recombinant lentivirus to overexpress the human NOR-1 cDNA using the pLVX-NOR-1construct.13 The empty pLVX vector was used as a control. Cells were transduced for 24 h and selected with puromycin for 5 days prior to osteogenic induction.
Induction of atherosclerosis in test animalsThe studies were conducted in a transgenic mouse model overexpressing human LOX in VSMC on a C57BL/6 J genetic background (TgLOXVSMC).17,22,23 The control animals included wild-type [WT] litter mates, as well as animals who were deficient in apolipoprotein E (ApoE–/–). The animals were cared for and maintained in the Animal Experimentation Unit of the Institut de Recerca of the HSCSP (IRHSCSP) under conditions controlled for both humidity and temperature (21 ± 1 °C) and having a standard cycle of light/ dark (12-h cycles of light/ dark). All procedures were approved by the Ethics Committee of the IRHSCSP (Law5/ dated 21 June 1995; Generalitat de Catalunya); likewise, the standing European and National regulations regarding animal protection (European Directive 2010/63/EU and Royal Decree 53/2013) were strictly followed.
Atherosclerosis and calcification were induced in 15 week-old male TgLOXVSMC and WT mice by means of a single injection into the tail vein of adeno-associated viral vectors (AAV) encoding for a gain-of-function mutated form of PCSK9 (AAV-PCSK9D374Y) (Unidad de Vectores Virales CNIC, Madrid, Spain).13,17 Control groups were treated with saline. After 24 h, all animals were fed ad libitum with a diet high in fat (21%) and cholesterol (1.25% added) (D12108C, Research Diets, New Brunswick, USA). Animals were randomly assigned to the different experimental groups using a random number generator. At 20 weeks, the animals were anaesthetised (150 mg/kg ketamine and 1 mg/kg medetedomidine; i.p.) and sacrificed by bilateral thoracotomy. The aorta and the first branch of the aortic arch (brachiocephalic artery) were isolated and processed as follows: the brachiocephalic artery was fixed for paraffin or OCT embedding and frozen at −80 °C; one group of aortas was frozen at −80 °C in order to isolate RNA, while in another group, the aortic arch was fixed, embedded in OCT, and subsequently frozen at −80 °C for histological and immunohistochemical analyses. In addition, the upper part of the heart was isolated, embedded in OCT and frozen at −80 °C so as to analyse the atherosclerotic lesions that had developed in the aortic root.
Studies were likewise performed in 8-week-old Studies were likewise performed in 8-week-old ApoE−/− mice (Charles River) fed an atherogenic diet (D12108C; Research Diets) for 12 weeks. The control group was provided with a standard diet. The upper part of the heart of these animals was isolated to analyse the atherosclerotic lesions in the aortic root.
Plasma analysesS Heparinised blood was collected from the submandibular vein of both the TgLOXVSMC and WT mice at baseline and by intracardiac aspiration 20 weeks post AAV transduction. Plasma levels of total cholesterol (Wako Cholesterol E, Wako Pure Chemicals), triglycerides (with glycerol correction; L-type Trygliceride M, Wako Pure Chemicals), and circulating human PCSK9 (Human PCSK9 Quantikine ELISA Kit) were analysed.
Gene expression analysesTotal RNA was isolated using TriPure Isolation Reagent (Roche Diagnostics, Mannheim, GE) as per the manufacturer’s instructions. The RNA was retrotranscribed into cDNA using the High Capacity cDNA reverse Transcription Kit (Applied Biosystems, Foster City, CA, USA). The mRNA level was quantified by real-time PCR with the ABI PRISM 7900 H T detection system (Applied Biosystems), and the following specific probes provided by Integrated DNA Technologies or the TaqMan™ gene expression assays-on-demand system (Applied Biosystems): Lox(Mm.PT.58 .12951302), Col1a1 (Collagen α-1 type I; Mm.PT.58.7562513), Nox2 (NADPH oxidase 2; Mm01287743_m1), Mcp1 (monocyte chemoattractant protein 1; Mm00441242_m1), Il6 (interleukin 6; Mm.PT.58 .10005566), Il1b (Mm.PT.58.41616450), Runx2(Mm00501584_m1), Opn (osteopontin; Mm00436767_m1), Alpl (alkaline phosphatase; Mm.PT.58.8794492). Gapdh (Mm.PT.39a.1) was used as a normalisation control. Relative mRNA levels were determined following the 2−−ΔΔCt method.
Western BlotTotal protein from VICs seeded in single layers was obtained using a lysis buffer containing 10 mM Tris-HCl (pH 7.4), 1 mM orthovanadate, and 1% SDS. Electrophoresis of protein lysates was then carried out on 10% polyacrylamide gels with sodium dodecylsulphate prepared in the laboratory. Protein was transferred to polyvinylidene difluoride membranes (Immobilon®-P Transfer Membrane; Merck-Millipore) which were blocked with 5% skimmed milk powder. The membranes were incubated for 16 h with antibodies directed against LOX (NB-100-2530, Novus Biologicals) and RUNX2 (ab23981). They were then incubated with the corresponding horseradish peroxidase-conjugated secondary antibody (Dako Products, Agilent). The membranes were developed using Luminata™ Western HRP Substrate reagent (Immobilon, Merck-Millipore), which was detected by Curix rp2 plus autoradiographic films (Agfa) developed following standard photographic procedures. The films were scanned on the GS-800 densitometer (Bio-rad) and relative quantification of the bands was performed using Quantity One software (Bio-rad). A molecular weight marker was included to estimate the molecular weight of the proteins detected (Protein Marker VI (10-245) prestained, PanReac, Applichem, Barcelona). The homogeneity of loading in all the lanes was verified by means of β-actin (A5441, Sigma).
Histological and immunohistochemical analysesHuman coronary arteries and aortic valves and the mouse vascular samples (aortic root, aortic arch, and brachiocephalic artery) were either fixed in 4% paraformaldehyde and embedded in paraffin (human coronary arteries and aortic valves and murine brachiocephalic arteries) or frozen and embedded in OCT (mouse vascular samples). Sections of the paraffin-embedded samples were prepared, deparaffinised, and subsequently rehydrated in a gradient of alcohols and washed with distilled water. Epitope unmasking was achieved using 10 mM citrate buffer (pH 6.0) in a boiling water bath for 20 min. In turn, microsections of OCT-embedded samples were tempered, fixed with cold acetone for 10 min, and washed with PBS. The sections were then incubated in a 3% solution of H2O2 diluted in methanol for 30 min to block endogenous peroxidase activity. The sections were then exposed to 10% normal serum, blocked with avidin and endogenous biotin (Vector Laboratories, Burliname, CA, USA), and incubated with a specific primary antibody directed against LOX (1/100; ab31238, Abcam) and RUNX2 (1/100; ab23981, Abcam). The following day, the preparations were incubated with the appropriate biotinylated secondary antibody and then with Vectastain (ABC) avidin-biotin peroxidase complex reagent (Vector Laboratories) for 30 min. Finally, they were incubated with 3,3'-diaminobenzidine (DAB), counterstained with haematoxylin, dehydrated, and mounted with DPX. At the same time, negative controls were carried out in which the primary antibody was omitted to exclude the non-specific signal.
Histological analyses were conducted using Oil Red O (ORO) and 1% Alizarin Red staining on OCT-embedded sections of the aortic root, aortic arch, and brachiocephalic artery in order to analyse the lipid content and calcification of the atherosclerotic lesion, respectively. Von Kossa staining was used to visualise the calcified area in sections of human aortic valves.
Statistical analysisResults are displayed as the mean ± standard error of the mean (SME). The statistical tests performed to determine significant differences were Student’s t-test, one-way or two-way ANOVA analysis, or multiple group comparison following two-way ANOVA analysis with repeated measures using Tukey’s post-hoc correction. The data were analysed using GraphPad Prism software (version 8.0.2). Differences were deemed significant when p < 0.05.
ResultsLOX is increased in atherosclerotic lesions found in both patients and animal modelsImmunohistochemical analyses performed on the lesion-free human coronary arteries exhibited strong LOX expression in the vascular endothelium that was virtually undetectable in the tunica media of these samples. In contrast, an intense signal for LOX was observed in the thickened VSMC-rich neointima in coronary arteries with atherosclerotic lesions (Fig. 1). Similarly, we characterised the expression of this enzyme in two murine models of atherosclerosis. As depicted in Fig. 1B and 1C, LOX was identified in the neointima of atherosclerotic lesions that had formed in the brachiocephalic artery of PCSK9D374Y−transduced C57BL/6 J animals fed an atherogenic diet (Fig. 1B), as well as in the VSMCs of atheromatous plaques present in the aortic root of ApoE−/−/−mice fed an atherogenic diet (Fig. 1C).
LOX is increase in human atherosclerotic lesions and in murine models. (A) Images representative of the immunohistochemical analyses for LOX in healthy human coronary arteries (left) and those with atherosclerotic lesion (right). The lower panels belong to the magnification of the areas indicated in the upper panels. Bars: 500 μm (upper panel), 100 μm (middle panel), and 50 μm (lower panel). (B) LOX expression analysed by immunohistochemistry and quantitative analysis of the immunostaining of brachiocephalic arteries of mice C57BL/6J in whom atherosclerosis was induced by means of transduction with PCSK9D374Y and atherogenic diet, as well as the arteries with no lesion belonging to animals who received saline solution (saline solution n = 5, PCSK9 n = 8). Bars: 100 μm (upper panel) and 50 μm (lower panel). (C) Representative images and quantification of the immunohistochemical analyses for LOX in the aortic roots of ApoE–/– animals fed a standard diet (Std) and an atherogenic diet (ATG) for 12 weeks (n = 4). The lower images exhibit the magnification of the areas indicated in the upper panels. The results are expressed as the mean ± SME. *p < 0.01 vs. saline s. or Std. diet. Bars: 100 μm.
To study the role of LOX in atherosclerosis and vascular calcification, we performed an in vivo approach in TgLOXVSMCmice in which hyperlipaemia and atherosclerosis were induced by AAV transduction of PCSK9D374Ytogether with feeding them an atherogenic diet.17 This resulted in a significant rise in plasma levels of the human PCSK9 protein in both WT and TgLOXVSMC animals transduced with PCSK9D374Y (Fig. 2), which as translated into a similar increase in plasma levels of total cholesterol and triglycerides in both experimental animals (Fig. 2A). No differences in lesion size were noted between WT and TgLOXVSMC animals transduced with PCSK9 D374Y (data not shown). We then ascertained the impact of LOX overexpression in VSMC on the lipid content of atherosclerotic lesions developed in different vascular beds. The analysis performed of the atheroma plaques stained with ORO present in the aortic arch, brachiocephalic artery, and aortic root demonstrated that there were no significant differences in terms of the lipid content of lesions developed in WT and TgLOXVSMC mice in any of the vascular beds examined (Fig. 2B).
Impact of induction with PCSK9D374Y together with an atherosclerotic diet on PCSK9 plasma levels and circulating lipids and the development of atherosclerotic lesions in mice. The TgLOXVSMC mice (black bars) and control (WT; white bars) received a single injection of AAV-PCSK9D374Y and were fed an atherogenic diet for 20 weeks. (A) Plasma levels of the human PCSK9 protein (hPCSK9) and total cholesterol and triglycerides at the beginning (0 weeks) and end (20 weeks) of the experimental procedure. The results are expressed as the mean ± SME (n = 15). * p < 0.0001 vs. t = 0. (B) Representative images of Oil Red O (ORO) staining and its quantification in sections of aortic roots (upper panel, n = 15), aortic arch (middle panel, n = 7), and brachiocephalic artery (upper panel, n = 7–9) of each experimental group after 20 weeks of study. The results are expressed as the mean ± SME.
Transduction with PCSK9D374 increased the expression of genes involved in ECM remodelling (Lox, Col1a1) and vascular oxidative stress (Nox2) to a comparable extent in the atherosclerotic aorta of both the TgLOXVSMC and WT animals (Fig. 3A). Furthermore, both experimental groups also displayed a similar increase in the mRNA levels of different inflammatory mediators such as Il1b, Il6, and Mcp1 (Fig. 3B), as well as calcification (Runx2, Opn, and Alpl) (Fig. 3C).
Expression of genes involved in extracellular matrix remodelling (ECM), oxidative stress, inflammation, and calcification in aortas of mice in whom atherosclerosis had been induced. The TgLOXVSMC mice (black bars) and control (WT; white bars) received a single injection of AAV-PCSK9D374Y or saline solution and were fed an atherogenic diet for 20 weeks. Levels of mRNA of genes indicative of ECM remodelling (Lox and Col1a1) and oxidative stress (Nox2) (A), inflammation (Il1β, Il6, and Mcp1) (B), and calcification markers (Runx2, Opn, and Alpl) (C) in each experimental group. The results are expressed as the mean ± SME (n = 12). p < 0.05; *vs. WT-saline; #vs. TgLOX-saline.
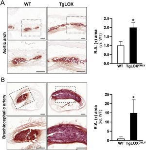
While we did not detect differences in the expression of osteogenic markers in the aortas of WT and TgLOXVSMC animals transduced with PCSK9D374Y, quantification carried out using Alizarin Red revealed increased mineralization of the atherosclerotic lesions in the transgenic mice that overexpressed LOX in the VSMCs, in the atheroma plaques in both the aortic arch (Fig. 4) and in the brachiocephalic artery (Fig. 4B).
LOX overexpression exacerbated calcification of the atherosclerotic lesions. (A–B) Representative images of Alizarin Red (A.R.) staining and its quantification in sections of atherosclerotic lesions of the aortic arch (A) and of the brachiocephalic artery (B) of WT mice (white bars) and TgLOXVSMV (lack bars) transduced with AAV-PCSK9D374Y and fed an atherogenic diet. The lower panels correspond to the magnification of the areas indicated in the upper panels. Bars: 100 μm. The results are expressed as the mean ± SME (n = 7-9). *p < 0.05 vs. WT transduced with PCSK9D374Y.
Our earlier studies indicate that LOX activity also plays a material role in the calcification of the aortic valve.17 This study probed the expression of the members of the LOX family (LOX and LOX isoenzymes L1-4) in aortic valves from a cohort of patients undergoing valve replacement surgery in the HSCSP; there were both highly and slightly calcified valves (Fig. 5A). No significant differences were detected with respect to age, sex, smoking status, or drug treatment between these two patient groups.17 As exhibited in Fig. 5B, the isoenzymes most intensely expressed in the slightly calcified valves were LOX and LOXL1; LOXL2 and LOXL3 display intermediate expression, whereas LOXL4 is the member of this family that is least expressed. The highly calcified valves increased the levels of LOX mRNA and LOXL2 in comparison with those that were less mineralised, while the expression of the remaining isoenzymes was not affected by the degree of valve calcification. It is worth noting that in the samples that presented a high degree of calcification, the LOX isoenzyme expression is significantly higher than the remaining members of this family (Fig. 5B). In line with the expression data, the immunohistochemical analyses reflect an intense LOX signal in the highly calcified valves in areas close to the calcification (Von Kossa positive areas). Studies of consecutive sections evinced the colocalization of LOX with the RUNX2 calcification marker (Fig. 5C). The expression of LOX, as well as that of RUNX2, were all but undetectable in the less calcified valves (Fig. 5C).
Expression of LOX and of LOX-like isoenzymes (LOXL) in human aortic valves with varying degrees of calcification. (A) Representative images of poorly (PC) and highly calcified (HC) human aortic valves. (B) Levels of mRNA of LOX and LOXL1-4 I PC (n = 26; white bars) and HC (n = 53; black bars) human aortas. The results are expressed as the mean ± SME. p < 0.05; * vs. PC aortic valves; # vs. LOX in PC valves; $ vs. LOX in HC valves. (C) Representative images of the Von Kossa stain and immunohistochemical analyses of LOX and RUNX2 in HC and PC valves. The panels on the right show the magnification of the areas indicated in the images on the left. Bars: 100 μm (right and left panel) and 50 μm (middle panel).
In earlier studies, our group has reported that the NOR-1 transcription factor limits the mineralisation of VICs.13 In light of the prior results, we analysed whether this effect of NOR-1 modifies the expression of LOX. In Fig. 6A and as previously reported, the lentiviral overexpression of NOR-1 in VICs cultured in osteogenic medium significantly limited the deposit of calcium with respect to the control cells (transduced with the empty pLVX vector and accordingly, the expression of the osteogenic differentiation marker RUNX2 was decreased (Fig. 6B). It is worth noting that these responses correlated with a highly significant reduction of the level of LOX protein (Fig. 6B).
The effect of NOR-1 overexpression in valvular interstitial cells (VICs) on calcification and LOX expression. Valvular interstitial cells (VICs) were transduced with a lentiviral vector to overexpression NOR-1 (pLVX/NOR-1, pNOR-1) or with the empty lentiviral vector (pLVX) and incubated in an osteogenic medium (OM). (A) Representative images of the Alizarin Red staining in VICs transduced with pNOR-1 or pLVX and exposed to OM. Bars: 100 μm. (B) Representative images of the Western Blot analysis of LOX and RUNX2 protein levels in these cells. The bar graph illustrates the densitometric quantification of the levels of LOX in the cells transduced with pLVX (white bars) and pNOR-1 (black bars). The results are expressed as the mean ± SME (n = 4). *p < 0.05 vs. VICs transduced with pLVX exposed to OM.
LOX activity is a determining factor in the process of MEX maturation and fibrosis that underlies the development of an array of pathologies,18,20 and influences cardiovascular calcification,16,17 a pathophysiological process associated with cardiovascular diseases such as aortic valve degeneration or coronary artery disease, the prevalence of which is on the rise and for which there are no useful pharmacological tools currently available to limit its progression.1,4–6,8 Recent studies have linked LOX to the ectopic calcification associated with both the development of atherosclerosis and aortic valve disease.16,17 Our results in the present study have documented that LOX expression is upregulated in atherosclerotic lesions, and by using a genetically modified animal model, we confirmed the proactive role of LOX activity in calcification of the tunica intima of advanced lesions. Furthermore, we have established that LOX overexpression in VSMCs has no effect on either the size or the lipid content of experimental atherosclerotic lesions, but exerts a marked pro-calcification effect, and that LOX depletion might contribute to a decrease in NOR-1-mediated mineralisation.
Immunohistochemical analyses in healthy human coronary arteries have revealed intense expression of LOX in the vascular endothelium, as previously documented in porcine aorta24 and in consonance with the contribution of this enzyme to the maintenance of vascular homeostasis.24–27 Likewise, our analyses illustrated strong LOX expression in the neointima of atherosclerotic lesions in human coronary arteries, as well as in the brachiocephalic artery and aortic root in two experimental models in which atheroma formation was provoked by means of different mechanisms. In a similar vein, other authors have reported that LOX is detected in atherosclerotic plaques in human carotid endarterectomies, in regions in which there is active fibrogenesis, where expression of this enzyme would be linked to a stable plaque phenotype.28 In fact, this study has revealed an inverse association between the level of LOX expression and the incidence of myocardial infarction during the follow-up of these patients, thereby implying that increased LOX expression could prevent the rupture of the fibrous sheath by augmenting the degree of maturation of the lesion’s collagen.28 However, beyond its involvement in MEX remodelling, this enzyme has been linked to multiple processes at the cardiovascular level, from VSMC proliferation and neointimal thickening,22,23 all the way to arterial rigidity and vascular oxidative stress,29,30 cardiac hypertrophy,31 and, more recently, cardiovascular calcification.16,17
Indeed, we had previously noted that VSMC calcification is associated with greater LOX expression and a corresponding increase in the deposition of highly cross-linked collagen.16 Using gene silencing and overexpression techniques in culture, we have demonstrated that LOX not only contributes to the mineralisation of ECM, but also to osteoblastic transdifferentiation of VSMCs.16 To corroborate this evidence in vivo, we induced calcification and atherosclerosis in mice by transduction with adeno-associated viruses expressing a gain-of-function mutant of PCSK9 and administration of an atherogenic diet.32 This approach has proven to be highly effective in the treatment of osteoblastic osteoblastic bone mineralisation.33 In this way, the need to backcross TgLOXVSMC animals with hypercholesterolaemic strains susceptible to atheroma development such as ApoE-/-or LDL receptor-deficient mice could be avoided.13,17,34–37Likewise, we had previously revealed that the induction of atherosclerosis and calcification following this strategy in TgLOXVSMC mice aggravates atherosclerosis specifically in the region of the abdominal aorta.17 In fact, in the present study we have determined that LOX transgenesis does not modify the extent of the atherosclerotic lesion in the aortic root, aortic arch, or brachiocephalic artery, thereby confirming the earlier results that limited the pro-atherosclerotic effect of this enzyme to the abdominal aorta. Nevertheless, and although no differences were detected in terms of lesion area or lipid content in these vascular niches, LOX transgenic animals displayed increased calcium deposition, as evidenced by Alizarin Red staining, with results analogous to those obtained using Von Kossa staining or by means of a fluorescent probe with affinity for hydroxyapatite.17 Calcification has a markedly harmful effect on the development of the atherosclerotic lesion and does so by means of exacerbated vascular inflammation, among other mechanisms.38 The atherosclerosis/ calcification model used in our study reproduces this aspect of the disease, with greater aortic expression of inflammatory mediatos, including MCP-1. However, and despite the fact that TgLOXVSMC mice exhibit increased calcium deposition in the vascular wall, the induction of inflammatory mediators was unaffected by LOX transgenesis, although this enzyme has been reported to regulate MCP-1 expression in VSMC.22 Similarly, after transduction with PCSK9, the augmented expression of osteoblastic differentiation markers in the aorta was similar between control animals and TgLOXVSMC mice.
Moreover, oxidative stress is a key mediator of vascular calcification by regulating VSMC transdifferentiation, inflammation, DNA damage, and ECM remodelling, among other mechanisms.39 In this context, we had observed that atherosclerotic lesions in TgLOXVSMC mice presented increased production of reactive oxygen species (ROS). In fact, the reaction catalysed by LOX triggers the generation of H2O2 as a by-product,20 and a number of studies, including those carried out by our group, have shown that LOX expression is associated with increased oxidative stress at the cardiovascular level.29–31,40 Under baseline conditions, the aortas of TgLOXVSMC mice have elevated levels of H2O and superoxide anion together with greater NADPH oxidase activity and lower mitochondrial membrane potential. While the interrelationship is complex between the various sources of reactive oxygen species in the context of various diseases, such as hypertension,41 NOX2 expression, which is significantly enhanced in mice transduced for PCSK9, remains unaltered by LOX transgenesis, ruling out the possibility that NOX2 could contribute substantially to the increased oxidative stress detected in the lesions of the TgLOXVSMC mice.
As far as the involvement of LOX in calcified aortic valve disease is concerned, our recent research has evinced that this enzyme exhibits greater expression of this enzyme in calcified valves compared to healthy valves, and that LOX-induced ECM remodelling compounds calcium deposition in VIC.13 Analyses performed in a new cohort of patients with valve disease have illustrated that LOX and LOXL1 are the most highly expressed enzymes of this family in mildly calcified valves, whereas in extensively calcified valves, LOX accounts for most of this isoenzyme. Immunohistochemical analyses confirm intense LOX expression in heavily calcified valves, and in particular in those areas that are positive for RUNX2, an essential transcription factor involved in calcification, which supports the implication of LOX in this disease. Nonetheless, little is known about the mechanisms that regulate the expression of this enzyme in this condition specifically. The NOR-1 nuclear receptor has recently been linked to the pathophysiology of valvular calcification. Concretely, this nuclear receptor negatively regulates the expression of genes involved in the osteogenic differentiation of VICs, where it restricts the mineralisation of ECM.13 In this study, we have found that the lesser detree of calcium deposition promoted by NOR-1 overexpression in VICs goes hand-in-hand with a highly significant reduction not only of RUNX2, but also of LOX. These data suggest that inhibition of this enzyme could be one of the mechanisms by which NOR-1 would limit the process of mineralisation in these cells.
Pharmacological inhibition of LOX by b-aminopropionitrile (BAPN) had proven the contribution of lysyl oxidase activity to matrix mineralisation in VSMCs16 and VICs.13 While the inclusion of an experimental BAPN treatment arm in the current study would have corroborated the in vivo relevance of LOX in this process, our results underpin the contribution of LOX to cardiovascular calcification and suggest that strategies aimed at modulating the activity of this enzyme could be useful in the treatment of these diseases.
FundingThis work has been made possible thanks to the funding obtained through the Spanish Foundation of Atherosclerosis (Grant FEA 2022 Basic Research in Atherosclerosis). Moreover, the study has received funding from the Carlos III Institute of Health (PI21/01048) and the Ministry for Science and Innovation (PID2021-122509OB-I00), funded by MCIN/AEI/10.13039/501100011033 and by «ERDF A way to make Europe». C.B.-S. is funded by an FPU [a programme aimed at training university faculty] contract (FPU19/05257, Ministry for Universities).
AuthorshipC.B.-S and J.A. and N.R. conducted the studies in the experimental model, analysis, and interpretation of the results. M.T. contributed to the clinical aspects of the study, data analysis and interpretation, as well as to the critical revision of the content. J.M.-G. and C.R came up with the conception of the study and its design, in addition to writing the manuscript.
Conflict of interestsThe authors have no conflict of interests to declare.








