The patient is an 86-year-old female with multiple comorbidities, c with dementia, institutionalized, with multiple emergency visits due to irreducible rectal prolapse.
She was scheduled for a Delorme's procedure with spinal anesthesia. During the surgical exploration, an indurated area of raised and starred borders on the anterior face of the rectum, near the apex of the prolapse was found, suspicious for solitary rectal ulcer, although the differential diagnosis with neoplasia had to be made (Fig. 1).
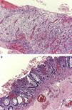
The evolution was satisfactory with discharge on the second postoperative day. The pathological analysis confirmed the diagnosis of solitary rectal ulcer, identifying an ulcer with granulation tissue (a), edema (b) and fibrosis in the lamina propia (c) (Fig. 2).
Please cite this article as: Torrijo Gómez I, Balciscueta Coltell Z, Sanjuan Jiménez J, Uribe Quintana N. Úlcera rectal solitaria en paciente con prolapso rectal. Cir Esp. 2018;96:234.





