Histophilus somni is a Gram-negative bacterium that is associated with a disease complex (termed histophilosis) that can produce several clinical syndromes predominantly in cattle, but also in sheep. Histophilosis is well described in North America, Canada, and in some European countries. In Brazil, histophilosis has been described in cattle with respiratory, reproductive, and systemic disease, with only one case described in sheep. This report describes the occurrence of Histophilus somni-associated disease in sheep from Southern Brazil. Eight sheep with different clinical manifestations from five farms were investigated by a combination of pathological and molecular diagnostic methods to identify additional cases of histophilosis in sheep from Brazil. The principal pathological lesions were thrombotic meningoencephalitis, fibrinous bronchopneumonia, pulmonary abscesses, and necrotizing myocarditis. The main clinical syndromes associated with H. somni were thrombotic meningoencephalitis (n=4), septicemia (n=4), bronchopneumonia (n=4), and myocarditis (n=3). H. somni DNA was amplified from multiple tissues of all sheep with clinical syndromes of histophilosis; sequencing confirmed the PCR results. Further, PCR assays to detect Pasteurella multocida and Mannheimia haemolytica were negative. These findings confirmed the participation of H. somni in the clinical syndromes investigated during this study, and adds to the previous report of histophilosis in sheep from Brazil.
Histophilus somni (formerly Haemophilus somnus) is a Gram-negative bacterium that is associated with a disease complex (collectively termed histophilosis) that can produce several clinical syndromes including thrombotic meningoencephalitis (TME), pleuritis, polysynovitis, arthritis, bronchopneumonia, septicemia, myocarditis, otitis media, infertility, abortion, and mastitis in affected ruminants.1–4 These syndromes have been referred to as the H. somni disease complex, HSDC.5
Histophilosis or the HSDC, occurs predominantly in cattle with sporadic reports of disease occurring in several species of small ruminants. This bacterium has been isolated from healthy goats in Mexico6 and Hungary7 and in sheep from Ethiopia.8 Reports of H. somni associated diseases in sheep include TME,9–11 pneumonia,9 reproductive disorders,12 and endometritis9,13; spontaneous14 and experimentally induced epididymitis15 have also been described. Moreover, H. somni was associated with pneumonia in bighorn sheep.16
Descriptions of the HSDC in Brazil are incipient with abortions,17 respiratory impairment,18 systemic disease,19 and TME20 being described in cattle from different geographical regions; we believe that histophilosis might be a threat to the local beef cattle industry.18 However, the participation of H. somni associated disease in sheep from Brazil is restricted to a single case report of a ewe with endometritis.13 Consequently, to identify additional cases of histophilosis in sheep from Brazil, this study investigated the possible association of H. somni in sheep mortality from different regions of Paraná State, Southern Brazil (Fig. 1).
Gross demonstration of Histophilus somni associated lesions in sheep. There is multifocal necrotizing myocarditis (A) and fibrinous bronchopneumonia with abscess (B–C). Observe the severely congested meningeal vessels (D), petechial epicardial hemorrhages (E), pulmonary adhesions (F), and fibrinous bronchopneumonia with pulmonary abscess (G). Scale in centimeters.
Animals from this study were from different cities within the state of Paraná, Southern Brazil. Sheep from all farms were submitted to the Laboratory of Animal Pathology, UEL for routine autopsy and diagnostics. The geographical locations of the five farms affected, the biological data of affected sheep, and the clinical outcome are resumed at Table 1. Three farms (A, B, and C) are in northern Paraná, and the others in the northeastern (D) and southeastern (E) regions of this State. All farms contained breeds of sheep reared primarily for meat production, with the number of sheep varying from 20 (Farm D) to 1250 (Farm E). Sheep at Farms A, C, and E were routinely immunized against clostridial diseases; in addition, those at Farm C were also immunized against contagious ectima and foot-rot. Sheep at the other farms were not routinely immunized against infectious disease agents; all sheep were maintained predominantly on grassland pastures; water was obtained from streams or artesian wells within these farms.
Geographical location, principal clinical manifestations, and outcome of sheep with histophilosis.
| Sheep # | Farms | Geographical location | Biological data | Principal clinical manifestations | Evolution (days) | Outcome |
|---|---|---|---|---|---|---|
| 1 | A | Bom Sucesso, Northern Paraná; n=200 Mortality, 2 | 10-Day-old, lamb, Texel | Apathy Dyspnea Locomotor difficulties Omphalitis Swollen joints | 2 | Spontaneous death |
| 2 | B | Londrina, Northern Paraná; n=30 Mortality, 6 | 2-Year-old, Mixed-breed, ram | Apathy Anorexia Bilateral nasal secretions Dyspnea Lateral recumbency Nonproductive cough | 1 | Spontaneous death |
| 3 | 3-Month-old, Mixed-breed, ewe | Found dead | – | Spontaneous death | ||
| 4 | C | Londrina, Northern Paraná; n=65 Mortality, 9 | 2-Year-old, Ile de France, ewe | Abnormal gait Anorexia Apathy Congested mucus membranes Recumbency Ruminal atony | 3 | Spontaneous death |
| 5 | D | Cianorte, Northeastern Paraná; n=250 Mortality, 20 | 2.5-Year-old, cross-breed, ewe | Respiratory difficulties Bilateral seromucus nasal secretion Diarrhea | 4 | Spontaneous death |
| 6 | E | Ipiranga; Southeastern Paraná; n=1250; Mortality, 150 | 12-Day-old, Texel | Respiratory difficulties Apathy | 12 | Spontaneous death |
| 7 | 12-Day-old, Texel | Respiratory difficulties Apathy | 12 | Spontaneous death | ||
| 8 | 12-Day-old, Texel | Respiratory difficulties Apathy | 12 | Spontaneous death |
Apathy (n=6) and respiratory discomfort (n=4) were the predominant clinical manifestations reportedly observed; sheep # 3 was found dead without any clinical manifestation of disease. A cesarean section was done on sheep # 4 due to ruminal atony, abnormal gait and apathy, and a 3-month old fetus that died intra-uterus was surgically removed. However, the ewe died spontaneously two days later. In addition, one neonate lamb (#1) had omphalitis, enlarged knee and elbow joints and locomotory difficulties. The evolution of clinical manifestations was acute in all cases and all died spontaneously.
A routine autopsy was done soon after the death of all animals; selected tissue fragments (cerebrum, cerebellum, lung, myocardium, liver, kidneys, and intestine) were fixed by immersion in 10% buffered formalin solution and routinely processed for histopathological evaluation. Duplicate sections of the organs mentioned above from all animals, as well as sterile swabs from the affected joints (knee and elbow) and the umbilical cord of animal #1 were collected freshly during necropsy, and maintained at −80°C until processed for molecular testing. Additionally, samples collected freshly at necropsy were plated in BHI agar with 5% of sheep blood and processed for microbiological culture as described.13
Extraction of nucleic acids, PCR assays, and sequencingNucleic acids extracted from tissue fragments (Table 2) of all animals as described,21 were used in PCR assays designed to amplify specific amplicons of bacterial pathogens associated with systemic disease in ruminants. These assays targeting the 16s rRNA gene of H. somni,22 species and type-specific isolates of Pasteurella multocida,23 and the lktC-artJ intergenic region of Mannheimia haemolytica.24 Pulmonary fragments of all animals were evaluated to identify the RNA of bovine respiratory syncytial virus, BRSV.25 Purulent exudate from the abscesses of sheep were collected freshly at necropsy and used in a PCR assay designed to identify the 16S rDNA gene of Trueperella (Arcanobacterium) pyogenes (T. pyogenes).26 Positive controls included nucleic acids of H. somni,19P. multocida, M. haemolytica, and BRSV from previous reports,27 and from housekeeping sample (T. pyogenes). Nuclease-free water was used as negative controls in all PCR assays. PCR products were separated by electrophoresis in 2% agarose gels, stained with ethidium bromide, and examined under ultraviolet light. The amplified PCR products were then purified and submitted for direct sequencing using the DYEnamic ET Dye Terminator Cycle Sequencing Kit (GE Healthcare, Little Chalfont, UK) with the forward and reverse primers in the 3500 Genetic Analyzer (Applied Biosystems, Carlsbad, USA).
Principal pathological findings, histophilosis syndromes, and distribution of Histophilus somni DNA in sheep.
| Sheep # | Pathological alterations | Histophilosis syndromes | H. somni DNA | |||||
|---|---|---|---|---|---|---|---|---|
| Gross lesions | Histopathological findings | Cerebrum | Cerebellum | Lung | Heart | Other organs/tissues | ||
| 1; 10-day-old, lamb | Congestion of meningeal vessels Hydroperitoneum Omphalitis Petechiae at thymus Polyarthritis Pulmonary edema Pericardium: petechial hemorrhages | Purulent bronchopneumonia Cerebral hemorrhage and thrombosis Necrotizing myocarditis Pulmonary edema Thrombi (kidneys, lungs, lymph nodes, and cerebellum) Thymic hemorrhage | Myocarditis Omphalitis Polyarthritis Septicemia | NC | NC | + | + | Knee joint Umbilical veina |
| 2; Mixed-breed, ram | Cranioventral pulmonary consolidation Hydropericardium Pulmonary edema Multifocal myocardial necrosis Serous atrophy of pericardial fat | Brainstem: rhombencephalitis and thrombosis Cerebrum: meningoencephalitis and thrombosis Liver: hepatocelular degeneration and thrombosis Necrotizing myocarditis Purulent bronchopneumonia | TME | +a | +a | − | ND | Brainstem |
| 3; Mixed-breed, ewe | Cerebrum: congestion of meningeal vessels Pulmonary edema Cranioventral pulmonary consolidation Haemonchosis Monieziosis Pericardium: petechial hemorrhages | Thrombotic hepatitis Hemorrhagic myocarditis Pulmonary edema and congestion Cerebral congestion | Myocarditis Septicemia | + | − | + | + | ND |
| 4; Ile de France, ewe | Abomasal ulcerations due to Haemonchus contortus Cerebrum: congestion of meningeal vessels Hydrothorax Kidneys: chocolate colored Liver: increased consistency Myocardial hemorrhages Pulmonary edema Uterus: emaciated with dark-reddish exudate | Necrotizing myocarditis Cerebrum: meningoencephalitis, bacterial embolism, and thrombosis Chronic hepatitis with bridging fibrosis Tubular renal necrosis Pulmonary edema | Myocarditis Septicemia TME | +a | + | + | + | Brainstem Livera Kidney Spleen Uterus |
| 5; Cross-breed, ewe | Abomasal ulcerations due to Haemonchus contortus Adherence (pulmonary pleural and ribs) Cranioventral pulmonary consolidation Hydropericardium Meninges: thickened with congested vessels Pericardium: petechial hemorrhages Pulmonary abscess Purulent nasal secretion | Cerebrum and cerebellum: meningoencephalitis with hemorrhage, thrombosis, and bacterial embolism Chronic proliferative hepatitis Fibrinous bronchopneumonia, thrombosis, and bacterial embolism Hemorrhagic nephritis and thrombosis Necrotizing myocarditis and thrombosis Liver: thrombosis | Bronchopneumonia Septicemia TME | +a | ND | + | ND | Pulmonary abscess |
| 6; 12-day-old, Texel | Cranioventral pulmonary consolidation | Fibrinous bronchopneumonia | Bronchopneumonia | ND | ND | + | + | ND |
| 7; 12-day-old, Texel | Cranioventral pulmonary consolidation | Fibrinous bronchopneumonia | Bronchopneumonia | ND | ND | + | ND | ND |
| 8; 12-day-old, Texel | Cranioventral pulmonary consolidation Pleuritis | Fibrinous bronchopneumonia Thrombotic meningoencephalitis | Bronchopneumonia TME | + | ND | + | + | ND |
+, positive; −, negative; TME, thrombotic meningoencephalitis; ND, not determined; NC, not collected.
The obtained sequences were examined for quality analysis of chromatogram readings by using the PHRED software (http://asparagin.cenargen.embrapa.br/phph); sequences were only accepted if base quality was equal to or greater than 20. Consensus sequences were then generated by the CAP3 program (http://asparagin.cenargen.embrapa.br/cgi-bin/phph/cap3.pl), after which the partial nucleotide sequences were initially compared by the Basic Local Alignment Search Tool (BLAST) program (http://www.ncbi.nlm.nih.gov/BLAST) with similar sequences deposited in GenBank. Phylogenetic tree and sequence alignments based on the 16s rRNA gene of the Pasteurellaceae family were then created by using MEGA 628; Model selection indicated the Jukes-Cantor model as being the most appropriate for determination of the phylogenetic relationship with the Maximum Likelihood method. The initial tree for the heuristic search was obtained by applying the Neighbor-Joining method to a matrix of pairwise distances estimated using the Maximum Composite Likelihood approach. E. coli was used as the out-group to provide stability to the generated tree.
ResultsPathological findings and histophilosis syndromesThe principal pathological alterations are resumed in Table 2. The most frequent gross findings (Fig. 2A–G) observed were cranioventral pulmonary consolidation (n=6); congestion of meningeal vessels of the brain, petechial hemorrhages of the heart, and pulmonary edema were observed in four sheep. Multifocal myocardial necrosis was observed in sheep # 2, while pulmonary abscesses were observed in sheep #5. Omphalitis (navel-ill) and marked swelling of both knee and elbow joints (joint-ill) occurred in the neonatal lamb (# 1). Endometritis was suspected due to the abnormal uterine exudate observed in the sheep (#4) that had a dead fetus removed surgically.
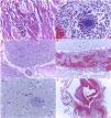
The principal histopathological findings (Fig. 2A–F) observed in affected sheep included TME (n=4), necrotizing myocarditis (n=4), purulent (n=2) and fibrinous (n=3) bronchopneumonia, and pulmonary abscesses (n=1). The lamb (# 1) with omphalitis and joint ill had TME, purulent bronchopneumonia with widespread thrombosis that affected the kidneys, lungs, and lymph nodes. Further, TME and necrotizing myocarditis were observed in the ewe (# 4), while vascular congestion of the brain, lungs, and kidneys, suggestive of septicemia, occurred in her 3-month-old fetus that suffered intrauterine fetal death.
The clinical syndromes associated with H. somni observed during this study were: (a) bronchopneumonia, with lesions in sheep # 5, 6, 7, and 8; (b) myocardial disease, observed in sheep # 1, 3, and 4; (c), TME, affecting sheep # 2, 4, 5, and 8, (d) septicemia, sheep # 1, 3, 4, and 5; and (e) omphalitis and polyarthritis in sheep #1.
Furthermore, repeated attempts at bacterial culture and identification were frustrating, since the growth of colonies of H. somni did not occur from any of the samples collected.
Molecular identification of H. somni DNA in tissuesH. somni DNA was amplified from multiple affected tissues of all sheep (Table 2). Further, the disseminated distribution of H. somni DNA was more widespread in sheep # 1, 2, 3, 4, and 5. In addition, H. somni DNA was amplified from the umbilical vein and joints (knee and elbow) of the neonatal lamb (# 1) that had navel and joint ill. It must be highlighted that H. somni DNA was identified in multiple tissues (cerebrum, cerebellum, brainstem, liver, kidney, and spleen) of the sheep # 4 as well as in the kidney and spleen of her 3-month-old fetus. Further, T. pyogenes DNA was amplified from the purulent exudate of the pulmonary abscess of sheep # 5, where H. somni DNA was also identified by PCR indicating that both pathogens participated in the development of the lung abscess of this sheep; all other PCR assays yielded negative results.
Partial sequences of the 16s rRNA gene of H. somni were obtained from the umbilical vein (GenBank accession No. KP419695) of sheep #1, the cerebrum of sheep # 2 (KU726866), 6 (KU726864), and 5 (KU726867), the liver (KU726865) of sheep #4, and the kidney (KU726862) and spleen (KU726863) of the 3-month-old-fetus. Initial BLAST analyses revealed that these sequences demonstrated 98–99% identity with similar isolates of H. somni deposited in GenBank. Phylogenetic analyses revealed that the sequences derived from this study clustered with other isolates of H. somni (Fig. 3); the nucleotide sequences used for phylogenetic analyses during this study are given in Fig. 3. Furthermore, the isolates derived from the cerebrum and liver of sheep # 5 were identical to those obtained from spleen and kidney of her 3-month-old fetus that suffered intrauterine death.
Phylogenetic tree based on the 16S rRNA gene sequences of Histophilus somni and selected Pasteurellaceae members generated by MEGA 6. The tree was constructed by the Neighbor-Joining method, based on 1000 bootstrapped data sets; distances values were calculated by using the Jukes-Cantor parameter model. The GenBank accession numbers and country of origin of the sequences are given; the sequences derived from this study are highlighted (black dot).
The importance of this report lies is the identification of H. somni DNA in multiple tissues of sheep with histopathological lesions that characterize several typical clinical syndromes of HSDC previously described in cattle,2–5 and sheep.9 These results add to the occurrence of this pathogen as an important disease agent of ruminants in this country, considering the recent descriptions of H. somni-associated diseases,19 abortions,17 and TME in cattle,20 as well as endometritis in one sheep.13 Consequently, these findings represent the first study to effectively confirm several clinical syndromes associated with H. somni in sheep from Brazil; a previous study only identified this pathogen in one ewe.13 Collectively, these findings contribute to the hypothesis that histophilosis is indeed a threat not only to beef cattle from Brazil,18 but to ruminants on a wider scale, principally due to the development of respiratory, reproductive, and neurological disease in susceptible herds. Further, we postulate that cases of histophilosis in Brazil are probably underdiagnosed since most veterinary clinicians might have confused these syndromes with other disease processes of ruminants.
The results from this study have identified the DNA of H. somni within multiple tissues as well as from the knee joint and affected umbilical cord of the neonatal lamb (#1), thereby characterizing systemic histophilosis. Moreover, nucleotide sequencing of the amplicons confirmed these findings, associating this bacterium with the pathogenesis of the omphalitis (navel-ill), arthritis (joint-ill), bronchopneumonia, and myocarditis herein described. In addition, this sheep also presented TME and myocarditis, clinical syndromes frequently associated with H. somni in cattle,29–31 and sheep9,10; these syndromes were also demonstrated experimentally in sheep.32
Another interesting finding during this study was the amplification of H. somni DNA from multiple tissues of sheep # 5 and her fetus, confirming the vertical transmission of this pathogen; similar results were described in dairy cattle from different geographical regions of Brazil.17 Although this was not an abortion per se, infection by H. somni resulted in fetal death, suggesting that this pathogen is also associated with reproductive disorders in sheep, since H. somni DNA was identified in rams with epididymitis,9,14 and in ewes with endometritis.9,13 Alternatively, H. somni is a known abortifacient agent of cattle with descriptions of natural infections in countries including Canada,33 the UK,34 USA,35 and Brazil.17
The phylogenetic analysis demonstrated that the isolates of H. somni derived from this study clustered with those of cattle and sheep from different geographical locations; this suggest the close phylogenetic relationship of these strains irrespective of their geographical origin, confirming that the same pathogen affects cattle and sheep, as was previously demonstrated.36 Unfortunately, bacterial isolation would have been ideal to define the biochemical characteristics of this pathogen but growth of H. somni was not successful. Culture of H. somni from infected tissues is considered a difficult task,4,22 which may explain the frustrated attempts at culture during this investigation. In this regard, PCR identification with subsequent sequencing, as herein described, is recommended to identify this bacterial pathogen from infected tissues or environmental samples.22
ConclusionH. somni DNA was identified in multiple tissues of sheep from different geographical regions of the state of Paraná with clinical syndromes of histophilosis confirmed by histopathological evaluations. These findings suggest that this bacterial pathogen was associated with sheep morbidity and mortality from these regions.
Conflicts of interestThe authors declare that they have no conflicts of interest.
S.A. Headley, A.P.F.R.L. Bracarense., A.F. Alfieri, J.A.N. Lisboa, and A.A. Alfieri are recipients of the National Council for Scientific and Technological Development (CNPq; Brazil) fellowships and grants. This study was partially funded by a CNPq grant (Proposal #448797/2014-3) and a joint CNPq/Ministry of Agriculture (MAPA) grant (Protocols #578645/2008-4 and #478254/2012-1).






