metricas
covid
Annals of Hepatology Drug induced liver injury secondary to interferon-beta (IFN-β) in multiple scle...
Journal Information
Vol. 5. Issue 1.
Pages 56-59 (January - March 2006)
Visits
2373
Vol. 5. Issue 1.
Pages 56-59 (January - March 2006)
Open Access
Drug induced liver injury secondary to interferon-beta (IFN-β) in multiple sclerosis
Visits
2373
V. Byrnes1,
Corresponding author
vbyrnes@bidmc.harvard.edu

Address for correspondence: V. Byrnes M.D. E-mail:
, N. Afdhal1, T. Challies2, P.E. Greenstein3
1 Departments of Gastroenterology Beth Israel Deaconess Hospital, Harvard Medical School, Boston, MA
2 Pathology Beth Israel Deaconess Hospital, Harvard Medical School, Boston, MA
3 Neurology. Beth Israel Deaconess Hospital, Harvard Medical School, Boston, MA.
This item has received

Under a Creative Commons license
Article information
Abstract
Full Text
Bibliography
Download PDF
Statistics
Figures (3)
Show moreShow less
Abstract

Post marketing studies of Interferon-β (IFNβ) therapy in multiple sclerosis (MS) have demonstrated surprisingly high rates of hepatotoxicity. Grade 3 hepatotoxicity (AST and ALT > 5 to 20 upper limit normal) or higher has been observed in as many as 1.4% of MS patients on IFNβ. We report three cases of IFNβ induced hepatitis in MS and discuss the pathology findings and possible mechanisms of drug-induced liver injury.

Key words:
Liver
interferon-beta (IFN-β)
multiple sclerosis
liver injury
Full Text

Post marketing studies of Interferon-β (IFNβ) therapy in multiple sclerosis (MS) have demonstrated surprisingly high rates of hepatotoxicity. Grade 3 hepatotoxicity (AST and ALT > 5 to 20 upper limit normal) or higher has been observed in as many as 1.4% of MS patients on IFNβ.1 We present three cases of IFNβ induced hepatitis and discuss the possible mechanisms of drug-induced liver injury.

Case 1

A 37 year old woman with MS presented with general malaise, pruritis and jaundice ten months after starting IFNβ-1a (Avonex 30μg IM once weekly). Laboratory tests demonstrated elevated aminotransferases with AST 695 IU/mL, ALT 1,031 IU/mL and total bilirubin of 11.9 mg/dL. Viral serology for hepatitis viruses was negative. Anti-nuclear antibody (ANA) and anti-smooth muscle antibody (ASMA) were weakly positive, at a titer of 1:40 and 1:20, respectively. Serum IgG was 1,370 mg/dL (700- 1,600 mg/dL). A liver biopsy revealed mild hepatitis without plasma cells, granulomas or bile duct damage (Figure 1A). The patient continued on IFNβ therapy with normalization of aminotransferases within eight weeks. She had persistently normal aminotransferases until nine months later when IFNβ (Avonex) was switched to IFNβ- 1a (Rebif, 22 μg subcutaneous TIW, cumulative dose of 110 μg) for worsening MS. Ten days after starting Rebif she again developed malaise, right upper quadrant pain and jaundice. ALT was 397 IU/mL and AST 287 IU/mL. Viral serology was negative, ANA was 1:80, and ASMA was 1:40, serum IgG 1,827 mg/dL. Other medications included citalopram, topiramate, baclofen, diazepam, and the oral contraceptive pill. All medications were discontinued on the day of presentation without improvement of clinical symptoms Aminotransferases continued to rise and peaked at day 14 following discontinuation of Rebif, (ALT 1,292 IU/mL and AST 1,019 IU/mL). A liver biopsy demonstrated submassive hepatic necrosis with severe portal and lobular inflammation. Necrosis and architectural collapse was most marked in the periportal and centrivenular regions (Figure 1B). IFNβ- a was not restarted and the liver enzymes normalized within eight weeks, (AST 20 IU/mL, ALT 11 IU/mL). All other medications were reintroduced sequentially without adverse effect.

Figure 1A.

H&E (4X) stain of the initial liver biopsy showing minimal portal inflammation while the second biopsy. 1B. (10X) demonstrates centrivenular hepatic necrosis (arrow) and mononuclear cell inflammation with collapse.

Ten months later she was given a trial of intravenous gammaglobulin (IVIG) at a dose of 400 mg/kg/day for 3 consecutive days, in an effort to halt MS progression. Within two weeks the AST was 99 IU/mL, ALT was 145 IU/mL and increased to a peak of 536 IU/mL and 755 IU/ mL, respectively. This was accompanied by a rise in PT to 13.8 seconds (INR 1.3). Repeat viral and autoimmune serology was unchanged from before. A liver biopsy demonstrated similar features to the previous one, with submassive hepatic necrosis, confluent areas of hepatocyte loss and bridging necrosis.

On this occasion the patient was treated with oral prednisone 60 mg daily and had a rapid improvement in her aminotransferases. Azathioprine 75 mg (1.5 mg/kg) was subsequently added. Two years later the patient is maintained on Azathioprine monotherapy with persistently normal AST and ALT (17 IU/mL and 22 IU/mL, respectively).

Case 2

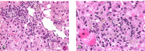
A 37 yr old lady with an 8 year history of MS was started on IFNβ-1a (Rebif) 8.8 μg subcutaneously, TIW. Baseline aminotransferases were normal. Following a cumulative dose of 70.4 μg of IFNβ-1a (8 doses) the patient developed low grade fever and was noted to have ALT 230 IU/mL and AST 81 IU/mL. Concomitant medications included ibuprofen 400-800 mg daily for the week prior to presentation and levothryoxine for longstanding hypothyroidism. All medications were stopped at this time point. The AST and ALT increased to a peak of ALT 914 IU/mL and AST 301 IU/mL, 21 days following cessation of therapy. Viral and autoimmune serology was negative and serum IgG was 1,109 mg/dL. A liver biopsy was performed one week after the peak abnormal aminotransferases revealing moderate lobular inflammation with centrivenular hepatocyte drop out and prominent pigment filled Kupfer cells indicative of a healing acute hepatitis injury (Figure 2). The patient was commenced on prednisone 60 mg for 2 weeks followed by a taper to 0 mg over 4 weeks and had a rapid improvement of her aminotransferases.

Figure 2A.

H& E (4X) image of portal triad with inflammation (arrow) and centrivenular hemorrhage and, 2B. (10x) image demonstrating hepatocellular drop-out and lipofuschin-laden Kupffer cells, (arrow) indicative of acute resolving hepatitis.

Case 3

A 30 yr old female was started on IFN-β 1a (Rebif) 8.8 μg subcutaneously TIW for newly diagnosed MS. After two weeks the dose was increased to 22 μg TIW and two weeks later the dose was further increased to 44 μg TIW. The patient had baseline liver aminotransferases, which were normal (ALT 20 IU/mL, AST 19 IU/mL). Two weeks into therapy with Rebif, ALT increased to 37 IU/ mL and AST 30 IU/mL. These remained within normal range until week nine of treatment when her ALT increased to 108 IU/mL and her AST to 94 IU/mL. This patient was not taking any concomitant medication. At this time Rebif was discontinued but the patient had ongoing hepatitis with a peak in ALT of 235 IU/mL and AST of 139 IU/mL, 21 days after stopping Rebif. Her ANA was positive at 1:160 and her ASMA was positive at 1:20, with a normal IgG 1,020 mg/dL. Her baseline ANA titer was 1:640. Six weeks later her AST was still elevated at 87 IU/mL and her ALT 137 IU/mL. A liver biopsy was performed which showed moderate lobular mononuclear inflammation with apoptosis and focal pericentral collapse consistent with drug induced hepatitis (Figure 3).

Figure 3A.

H& E (10X) image demonstrating increased mononuclear cell inflammation in left upper quadrant with apoptotic hepatocyte (arrow). 3B. (40X) demonstrates a paucity of hepatocytes indicative of pericentral collapse with numerous lipofuschin-laden Kupffer cells (arrow).

Discussion

These three cases represent the upper end of the spectrum of liver injury reported in MS patients treated with type I interferons. Post marketing studies have reported de novo ALT elevations in as many as 37% of MS treated with IFN-βs.1,2 Elevations in aminotransferases are graded according to the WHO classification and are as follows: grade 0 within normal limits, grade 1 > upper limit normal (ULN) to 2.5 times ULN, grade 2 > 2.5 times ULN-5 times ULN, grade 3 >5 times ULN-20 times ULN, grade 4 >20 times ULN.

Grade 4 hepatotoxicity was observed in the first two cases presented with grade 3 hepatotoxicity, in the remaining case. The mechanism of IFNβ induced hepatotoxicity in MS patients is largely unknown. As with any drug, IFN β can cause liver injury as a result of an idiosyncratic reaction, a hypersensitivity reaction or it may indeed induce autoimmune reaction in an already susceptible host. It is likely that the liver injury in the last two patients was due to an idiosyncratic reaction. Such reactions typically occur within weeks of initial exposure to IFNβ and may continue to evolve even after drug withdrawal, as was the case in these patients. Moreover the use of concomitant medication especially ibuprofen increases the likelihood of IFNβ induced hepatotoxicity.3

While the first patient’s presentation is consistent with an idiosyncratic reaction, it is somewhat atypical for same. She had three distinct episodes of severe hepatitis with three different drugs (Avonex, Rebif and IVIG). Her initial episode of hepatitis occurred following ten months of exposure to IFNβ. Interestingly, this episode of hepatitis resolved despite ongoing treatment with the offending agent. Resolution of IFNβ induced hepatitis has been reported in cases of less severe hepatotoxicity (68% of grade 1 and 48% of grade 2), and likely occurs due to the presence of an adaptive phenotype.2,4,5 However, the subsequent increase in the dose and frequency of IFNβ (when switched to Rebif) may have overwhelmed the suppressor or attenuator mechanisms involved in adaptation, and caused submassive hepatic necrosis. Genetic factors resulting in enzyme defects or alterations in the major-histocompatability- complex (MHC) class I and II cell receptors may increase an individual’s susceptibility to liver injury from multiple drugs and could account for the recurrent hepatotoxicity in this patient following exposure to IVIG.5

IFNβ and IVIG are both immunogenic and it is also possible that exposure to these agents induced an autoimmune hepatocellular injury in this patient. Induction of autoimmune hepatitis due to IFNβ has been described.6 Unfortunately, the presence of ANA and ASMA alone is insufficient evidence for induction of autoimmunity. ANA and ASMA have been observed in 45% of MS patients prior to initiating IFNβ and levels of both these autoantibodies fluctuate during the course of treatment.7

While experience with immuno-modulatory therapy in MS patients is accumulating, we advocate close monitoring of aminotransferases before, and at regular intervals during treatment. In patients with prior evidence of drug induced hepatic injury, care should be taken when switching from one IFNβ to another, or from one disease-modifying drug to another. Immediate discontinuation of the offending drug in moderate to severe hepatitis could prove to be life saving.

Acknowledgement

The authors would like to thank to William Lee MD, from the Division of Digestive and Liver Diseases, University of Texas Southwestern Medical School, Dallas, for his helpful comments.

References
[1.]
Tremlett H.L., Yoshida E.M., Oger J..
Liver injury associated with the beta-interferons for MS: a comparison between the three products.
Neurology, 62 (2004), pp. 628-631
[2.]
Tremlett H.L., Oger J..
Elevated aminotransferases during treatment with interferon-beta for multiple sclerosis: actions and outcomes.
Mult Scler, 10 (2004), pp. 298-301
[3.]
Francis G.S., Grumser Y., Alteri E., Micaleff A., O’Brien F., Alsop J., Stam Moraga M., et al.
Hepatic reactions during treatment of multiple sclerosis with interferon-beta-1a: incidence and clinical significance.
[4.]
Jaeschke H., Gores G.J., Cederbaum A.I., Hinson J.A., Pessayre D., Lemasters J.J..
Mechanisms of hepatotoxicity.
Toxicol Sci, 65 (2002), pp. 166-176
[5.]
Lee W.M..
Drug-induced hepatotoxicity.
N Engl J Med, 349 (2003), pp. 474-485
[6.]
Durelli L., Bongioanni M.R., Ferrero B., Oggero A., Marzano A., Rizzetto M..
Interferon treatment for multiple sclerosis: autoimmune complications may be lethal.
Neurology, 50 (1998), pp. 570-571
[7.]
Speciale L., Saresella M., Caputo D., Ruzzante S., Mancuso R., Calvo M.G., Guerini F.R., et al.
Serum auto antibodies presence in multiple sclerosis patients treated with beta-interferon 1a and 1b.
J Neurovirol, 6 Suppl (2000), pp. S57-61
Copyright © 2006. Fundación Clínica Médica Sur, A.C.
Download PDF
Article options
Tools