Os aneurismas do sistema venoso portal são entidades pouco comuns e definem‐se como uma dilatação do sistema venoso portal. Estes aneurismas têm sido classificados como congénitos ou adquiridos e, habitualmente, não requerem tratamento, exceto na presença de sintomas – que dependem do tamanho do aneurisma, da sua localização ou da presença de complicações, como trombose.
Apresenta‐se um caso clínico relativo a um doente do sexo masculino, 68 anos de idade, com o diagnóstico incidental de um aneurisma assintomático da veia porta de 37mm, com envolvimento da confluência da veia esplénica com a veia mesentérica superior. Optou‐se por uma abordagem conservadora, com vigilância imagiológica periódica anual com ecoDoppler.
Portal venous aneurysms are a rare condition characterized by dilatation of the portal venous system. These aneurysms can be congenital or acquired and usually do not require any treatment unless they are symptomatic–symptoms depend on the aneurysm size, location and complications, such as thrombosis.
We report a case of a 68 year‐old man, who was incidentally diagnosed with an asymptomatic 37mm portal vein aneurysm, with the involvement of the splenic vein confluence with the superior mesenteric vein. A conservative approach with annual monitoring by Doppler ultrasound was recommended.
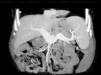
Doente do sexo masculino, 68 anos de idade, com antecedentes pessoais de hipertensão arterial, realizou tomografia computadorizada (TC) abdominopélvica em contexto de um episódio de insuficiência renal aguda relacionada com litíase renal, com o achado de possível massa cefalopancreática com cerca de 60×30mm. Na sequência, realizou angioTC que revelou um aneurisma fusiforme da veia porta, de diâmetro máximo de 37mm (figs. 1 e 2). Face a este achado, o doente foi encaminhado para consulta externa de angiologia e cirurgia vascular.
Nesse âmbito o doente foi observado, encontrando‐se assintomático do ponto de vista abdominal. Relativamente aos antecedentes, negava cirurgias abdominais prévias, episódios de hemorragia digestiva alta ou abuso de álcool.
Ao exame objetivo não havia evidência de estigmas de doença hepática. Segundo os resultados do estudo analítico realizado, o hemograma não revelou alterações, estando a função hepática, as transaminases e restantes parâmetros hepáticos avaliados normais. Na revisão da angioTC efetuada não havia sinais de trombose luminal, compressão de vísceras ou vasos adjacentes, sinais de doença hepática crónica ou hipertensão portal.
O presente caso constitui um achado incidental de um aneurisma da veia porta, com envolvimento da confluência da veia esplénica com a veia mesentérica superior, num paciente assintomático, sem sinais de doença hepática ou hipertensão portal, pelo que se optou por uma abordagem conservadora com vigilância imagiológica periódica anual com ecoDoppler.
ComentáriosOs aneurismas venosos são entidades pouco comuns e, quando presentes, encontram‐se maioritariamente nos membros inferiores e na região cervical. Com a crescente utilização dos métodos auxiliares de diagnóstico imagiológicos, têm sido identificados mais frequentemente aneurismas venosos de localização diversa.
Os aneurismas do sistema venoso portal constituem menos de 3% do total de aneurismas venosos1 e definem‐se como uma dilatação sacular ou fusiforme de uma veia do sistema venoso portal superior a 20mm2.
A etiologia dos aneurismas do sistema venoso portal tem sido discutida, contudo permanece ainda controversa. Neste campo, estes aneurismas têm sido classificados como congénitos ou adquiridos3. As causas congénitas incluem anomalias na parede do vaso, variações anatómicas embriológicas do sistema venoso portal ou regressão incompleta da porção distal da veia vitelina direita com formação de um divertículo remanescente, que pode crescer de forma aneurismática ao longo da vida3.
No que respeita às causas adquiridas, a doença hepática crónica que origina hipertensão portal tem sido apontada como a principal etiologia dos aneurismas venosos desse setor, uma vez que leva a enfraquecimento da íntima do vaso com hipertrofia compensatória da média. A substituição progressiva da hipertrofia da média por fibrose diminui a elasticidade do vaso, tornando‐o mais suscetível à dilatação4. Contudo, estão descritas outras causas como pancreatite, trauma e antecedentes cirúrgicos abdominais.
Relativamente à localização anatómica, Sfyroeras et al.5, numa revisão sistemática de 198 casos, concluíram que no sistema venoso portal a maioria dos aneurismas situa‐se na veia porta extra‐hepática (26,2%), seguindo‐se a confluência da veia mesentérica superior com a veia esplénica (18,6%), sendo os aneurismas da veia esplénica mais comuns que os da veia mesentérica superior (14,1 e 8,5%, respetivamente).
As complicações mais frequentes que advêm de aneurismas do sistema venoso portal não tratados são: a trombose, a rutura, a embolização, a hipertensão portal e a compressão de estruturas adjacentes5.
Cerca de 38% dos doentes são assintomáticos, sendo o diagnóstico incidental5. Quando estes aneurismas são sintomáticos, a dor abdominal (44,7%) e a hemorragia digestiva (7,3%) surgem como as principais queixas5.
Na maioria dos casos, esta entidade não requer tratamento, estando descrito que, em 88% dos doentes em seguimento, o diâmetro do aneurisma mantém‐se estável, sem registo de complicações5.
A presença de sintomatologia significativa – após exclusão de outros diagnósticos diferenciais mais prevalentes – e de complicações, como a trombose ou a rutura aneurismática, são as principais indicações para o tratamento cirúrgico6. Este irá depender da localização, tamanho e apresentação clínica do aneurisma, assim como das comorbilidades presentes, nomeadamente hipertensão portal e cirrose.
As técnicas cirúrgicas utilizadas na reparação de aneurismas do sistema venoso portal dependem, sobretudo, da presença de hipertensão portal. Nos casos em que não existe hipertensão portal, a aneurismorrafia e a aneurismectomia foram descritas como opções cirúrgicas com bons resultados. Na presença de hipertensão portal associada a doença hepática crónica, procedimentos envolvendo a construção de um shunt – que descomprime o sistema venoso portal, a fim de evitar o progressivo crescimento aneurismático – surgiram como alternativas cirúrgicas para estes doentes7.
Responsabilidades éticasProteção de pessoas e animaisOs autores declaram que para esta investigação não se realizaram experiências em seres humanos e/ou animais.
Confidencialidade dos dadosOs autores declaram que não aparecem dados de pacientes neste artigo.
Direito à privacidade e consentimento escritoOs autores declaram que não aparecem dados de pacientes neste artigo.
Conflito de interessesOs autores declaram não haver conflito de interesses.



