Após a descrição inicial por Blaisdell e Hall1 nos anos 60 o bypass axilo-femoral tornou-se alternativa extra-anatómica à revascularização aórtica in situ, nomeadamente, no contexto de infecção protésica aórtica ou de doentes de frágil condição e elevado risco cirúrgico.
A primeira disrupção da anastomose proximal axilar foi divulgada por Daar e Finch no final da década de 70 2 e desde então alguns casos raros foram descritos promovendo um debate intenso sobre os aspectos bio-mecânicos envolvidos nesta forma de revascularização3–5.
Caso clínicoHomem de 70 anos, ex-fumador (100 UMA) com neoplasia pulmonar sob quimioterapia, status post crossover direitaesquerda por claudicação incapacitante (2009) removido passados 5 anos por trombose e infecção protésica (Staphylococcus aureus sensível a meticilina - MSSA), com revascularização associada através de bypass axilo-femoral superficial esquerda com prótese de politetrafluoretileno (PTFE) de 8mm. Após 2 meses da última intervenção o doente foi admitido com o diagnóstico de artrite séptica sub-astragalina esquerda (MSSA no líquido articular), cujo internamento se complicou abruptamente ao 2° dia por massa infra-clavicular esquerda, correspondente ao trajecto proximal do bypass axilo-femoral.
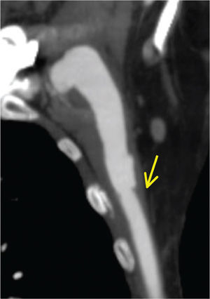
Objectivamente apresentava volumosa massa pulsátil e expansível indolor infra-clavicular esquerda, com enxerto pulsátil e pulsos distais presentes no membro inferior esquerdo. A avaliação por «Triplex Scan» e angioTC mostraram disrupção completa da anastomose axilar e migração distal da prótese axilo-femoral permeável (figs. 1 e 2).
Prontamente abordou-se por via supra-clavicular a artéria subclávia proximal, por via infra-clavicular a artéria axilar distal (fig. 3) e por incisão na parede lateral do tórax o enxerto protésico, permitindo a ressecção do falso aneurisma (composto pela cápsula fibrosa de incorporação protésica - fig. 4). Foi implantado um patch venoso na artéria axilar e reconstruído o bypass axilo-femoral por interposição de segmento de PTFE de 8mm (fig. 5).
ComentáriosO «pullout syndrome» deve-se ao stress aplicado sobre a anastomose axilar pelos movimentos associados do membro superior e inferior, culminando na disrupção anastomótica proximal de bypass axilo-femoral, complicação rara e temível. Desta forma criou-se a necessidade de implementar progressivas alterações à técnica inicial de Blaisdell e Hall1 para minimizar a sua incidência.






