INTRODUCTION
The carrot (Daucus carota L.) is a vegetable that belongs to Umbelliferae family (Apiaceae). Few reports of vegetable-induced respiratory symptoms have been reported 1-8. The handling of carrot has rarely been described as a cause of asthma, and few previous reports of carrot-induced asthma have been confirmed by objective tests 1. Hypersensitivity to carrot is frequently associated with allergy to Apiaceae spices and sensitization to birch and mugwort pollens 6,9-11. We report a patient in whom sensitisation to carrot was due to an occupational exposition in the kitchen of a hospital. Her carrot-induced asthma was demonstrated by results of immunologic tests and challenge procedures.
CASE REPORT
A 40-year-old cook woman was first seen with sneezing, rhinorrhea, contact urticaria on her hands, coughing, and wheezing with asthma reactivation within few minutes of handling or cutting raw carrots. Shortly after ingestion of raw carrots, she experienced oropharyngeal itching, hoarseness, cough, and wheezy dyspnea. She suffered from perennial asthma since she began to work in the kitchen of a geriatric hospital. She did not tolerate that anybody cut raw carrots beside her, and she needed to leave out of the kitchen while the other cooks cut raw carrots. She did not present symptoms after eating cooked carrots. She could eat all kind of Apiaceae spices and cooked celery; however, when handling fresh celery she showed mild cutaneous itching.
Allergy Study
Results of skin prick tests with common inhalants were negative. Skin tests were also performed, prick by prick, with fresh carrot and fresh celery. Skin prick test were also performed with extracts of other Umbelliferae vegetables (cumin, coriander, aniseed, caraway, parsley, and fennel) which were prepared at 1:10 wt/vol in phosphate-buffered saline. Results of skin tests were positive in response to carrot, celery, aniseed and fennel. Rubbing test with fresh carrot was positive.
Total serum IgE was 152 kU/L. Specific IgE to carrot (CAP System FEIA; Pharmacia, Uppsala, Sweden) was positive 4.44 kU/L. Specific IgE (CAP system FEIA) to celery was 2.5 kU/L, aniseed 0.47kU/L, fennel 0.5kU/L, and parsley 0.38kU/L. Specific IgE to mugwort, grass and birch pollens (CAP system FEIA) were all negative.
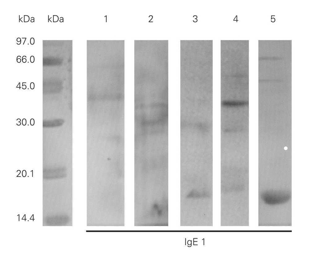
Protein extracts of Artemisia vulgaris, Apium graveolems, Daucus carota, Betula verrucosa and recombinant form of major allergen of carrot, rDau c 1 (Biomay) were separated by sodium dodecyl sulphate-polyacrylamide gel electrophoresis (SDS-PAGE). The binding of IgE antibody to allergens was analyzed by Western blot using sera from the allergic patient and anti-human IgE peroxidase conjugate (Dako, Carpinteria, California, USA). Chemiluminiscence detection reagents (Cheluminiscence Reagent PLUS Western lightning. Perkin Elmer) were added following the manufacturer's instructions. The IgE-immunoblotting showed two bands in carrot extract: a band with apparent molecular weight of 30 kd and other band of 18 kd (fig. 1).
Figure 1.--IgE-Immunoblotting. Lane1: Artemisia vulgaris. Lane 2: Apium graveolems. Lane 3: Daucus carota. Lane 4: Betula verrucosa. Lane 5: rDau c 1.
Inhalative provocation test was performed as a handling test. After 3 months without going to work, her asthmatic symptoms were controlled. Then, a use test with fresh carrots was performed. She was cutting little slices of 5 fresh carrots in a closed room for 5 minutes. She elicited a fall in FEV1 of 25 % from baseline 10 minutes after this challenge. In a different day a conjunctival challenge test was strongly positive with a carrot extract at 1:20 wt/vol in phosphate buffer saline.
DISCUSSION
Carrots have rarely been described as a cause of asthma 1. In our patient, the sensitization to carrot was demonstrated by results of immunologic tests and challenge procedures. Moreover, hypersensitivity to celery and other Apiaceae spices was also observed. Hypersensitivity to carrot is frequently associated with allergy to celery and Apiaceae spices and sensitization to birch and mugwort pollens, which is due to cross-allergenicity among them 6,9-11. Bet v 1 and Bet v 2 and their homologs have been identified as cross-reacting structures in birch pollen, fresh fruits, and vegetables 12. The allergen Dau c 1 from carrot has been identified as a Bet v 1 homologous protein 13. However, in our patient the carrot allergy did not associate sensitization to birch, grass and/or mugwort pollens. The IgE-immunoblotting showed two bands in carrot extract: a band with apparent molecular weight of 30 kd and other band of 18 kd (fig. 1). The band with apparent molecular weight of 30 kd could correspond a phenylcoumaran benzylic ether reductase (PCBER) 14. Dau c 1 is the band of 18 kd. Dau c 1 did not appear to be the unique allergen in this case, suggesting that additional allergens may induce her sensitization. The fact that our patient could eat cooked carrots may be due to destruction or extraction of carrot allergens by cooking. Primary sensitization due to airborne allergens of foods and the lack of pollen allergy in this patient are notorious events.



